当前位置:首页>学习笔记>学习笔记|自体牙移植的临床决策(下)

学习笔记|自体牙移植的临床决策(下)

  • 2026-05-29 21:23:02
学习笔记|自体牙移植的临床决策(下)

Endodontics

自体牙移植的

临床决策(下)

四、自体牙移植术的

操作流程

自体牙移植术的操作流程(图8、9)包括术前准备、手术步骤、术后治疗及医嘱等。

图8:自体牙移植术操作流程示意图(由牙体牙髓科研究生宛朵绘制)

(一)术前准备

1.严格筛选适应证,系统评估患者全身状况,确保患者能够耐受手术治疗。

向患者说明手术流程、预期效果、相关风险及费用,在充分知情同意的基础上建立治疗共识,并签署知情同意书。对患者开展口腔卫生指导,确保患者理解并配合后续治疗要求。口腔局部准备包括良好的口腔卫生状况,必要时进行全口洁治,同时记录完善的口内影像资料。

2.术前设计:

通过锥形束CT对供体牙及受牙区进行三维重建,重点评估牙根的形态特征(长度、弯曲度等)、阻力点及与周围解剖结构的关系,阻生牙还需明确其骨埋伏深度和邻牙毗邻情况。计算机辅助快速原型(Computer Aided Rapid Prototyping, CARP)和3D打印手术导板,能够精确复制供体牙形态,并预先确定其在受体部位的最佳三维定位。术前制备3D打印的供体牙模型,不仅能减少供体牙术中试戴次数和离体时间,还能最大限度地避免损伤其牙周膜,从而降低牙根吸收和附着丧失等并发症的发生风险。

图8:1例右下智齿移植至第一磨牙的临床病例(图引自Tsukiboshi M, Tsukiboshi C, Levin L. A step-by step guide for autotransplantation of teeth. Dent Traumatol. 2023;39 Suppl 1:70-80. doi:10.1111/edt.12819)(A)术前曲面体层片;(B)右下第一磨牙根尖片;(C)右下第一磨牙口内照;(D)右下第一磨牙CBCT矢状位截图;(E)右下第一磨牙远中根CBCT的冠状位截图;(F)右下第一磨牙CBCT轴位截图;(G)3D打印供体牙模型;(H)右下第一磨牙拔除后根尖片;

(二)手术步骤

1.麻醉与消毒

同常规拔牙。

2.受牙区患牙拔除

同期移植时,应先拔除受牙区患牙,然后再取出供体牙。若受牙区患牙有牙周或根尖周慢性炎症,需在拔牙后彻底清除牙槽窝内的病变组织。若供体牙为多根牙,在不影响其就位的前提下,应尽量保留受牙区的牙槽中隔,这有助于增强再植后的初期稳定性。

当受牙区感染较重或骨质明显缺损时,建议拔牙后2~4周(牙槽窝表面形成完整上皮覆盖)再行移植手术。

3.供体牙拔出

供体牙微创拔出是自体牙移植成功的关键。供体牙完全萌出时,应选择合适的拔牙钳,并将其置于釉质牙骨质界冠方,避免使用牙挺,防止损伤牙周膜、牙根表面硬组织及牙槽嵴顶。供体牙阻生时,应切开、翻瓣,用高速手机或超声骨刀去除供体牙表面的牙槽骨,避免损伤牙冠和牙根。若供体牙根尖未发育完全,应将根尖处的牙乳头小心取出,以保证牙根后期继续发育。供体牙拔出后应在显微镜下观察是否存在裂纹、缺损或折断等。若牙根折断而余留牙根超过总长度2/3时,应立即在体外进行根管倒预备和倒充填,然后进行移植,否则应放弃移植。供体牙在体外操作过程中需保持牙根湿润,可置于生理盐水或HBSS平衡液中,以维持牙周膜活性。供体牙拔出后应复位牙槽窝和黏膜瓣,并缝合止血。

4.受牙区牙槽窝预备

切开、翻瓣,确保获得理想的手术视野和操作空间。用低速手机或超声骨切割设备预备受牙区,需全程冷却,避免骨热损伤。牙槽窝预备标准:移植牙就位后,其釉牙骨质界位于牙槽嵴顶冠方1 mm内,同时牙根周围存在1 mm间隙;发育中的供体牙需额外增加预备深度,以满足后续牙根发育需求。延期移植时,在牙槽嵴顶和邻牙牙龈边缘处设计切口,翻全厚瓣暴露3~5mm的牙槽骨,可在邻牙远中颊侧区域增设垂直切口来改善手术视野。

5.移植供体牙

可先采用3D打印供体牙模型进行试植,评估其在牙槽窝内的固位稳定性、邻接关系及咬合状况,并据此后续预备受牙区,减少供体牙实际试植次数及离体时间,最大限度降低牙周膜机械性损伤风险。通过多方位旋转寻找最佳就位方向,避免使用暴力挤压。未完全发育的年轻供体牙,应特别保护根尖牙乳头,相对低位植入。

图8续1:(I)翻瓣暴露受牙区牙槽嵴;(J、K)牙槽窝预备;(L)预备好的牙槽窝;(M)3D打印牙试戴;(N)3D打印牙就位后;

图8续2:(O)再次试戴3D打印牙,确保完全就位;(P)切开供体牙牙龈;(Q)翻瓣暴露供体牙;(R)超声骨刀切除供体牙冠方牙槽骨;(S)进一步去除软组织阻力;(T)拔除供体牙;(U)试戴供体牙;(V)供体牙就位后根尖片;

6.黏膜瓣缝合

牙龈组织严密关闭有利于预防术后感染,为牙周组织愈合创造有利环境。角化龈不足病例,可采用改良的内外斜联合切口设计,最大限度保留角化龈,并创造良好的软组织适应性。

7.固定

固定前需反复检查并调整咬合关系,消除所有牙合干扰。缝线、非刚性材料或个性化预成牙弓夹板,允许再植牙保持一定生理动度,有利于形成牙周膜愈合。固定时间4~8周为宜。

8.影像学评估

供体牙固定后,拍摄X线根尖片或锥形束CT,对供体牙牙根和受牙区的匹配情况、供体牙与邻牙的邻接情况以及咬合曲线的协调程度等进行评估。

图8续3:(W、X、Y)缝合受植区牙龈瓣膜;(Z)缝合供牙区牙龈;(AA、BB)固定并放置牙周塞治剂;(CC)拆线后可视牙齿松动度情况酌情采用牙周夹板固定;(DD)术后1个月拆除固定装置根尖片  

(三)术后治疗及医嘱

术后3~5天患者应口服抗生素,同时使用含漱液维护口腔卫生。术后7天拆除敷料和缝线,必要时进行咬合调整。术后4~8周功能恢复期内,应严格避免使用移植牙咀嚼。根据临床评估在1~2个月后拆除固定装置。

牙根发育完成的移植牙,牙髓愈合的可能性很小,必须行根管治疗。根管治疗通常在术后2-4周移植牙具有一定稳定性后开始。可采用氢氧化钙作为过渡性根管充填材料,一方面可发挥强效抗菌作用,保障愈合期根管系统保持无菌环境;另一方面可抑制炎症性牙根外吸收发生。待术后2个月后确认牙周组织愈合良好,再更换为永久性的根充材料。

根尖孔未闭合的年轻供体牙,移植后有望实现牙髓活血运重建、牙根继续发育并最终形成硬组织闭合。这类移植牙可采取观察性策略,定期进行电活力测试和影像学检查评估牙髓状态。仅当出现不可逆性牙髓炎、牙髓坏死、根尖周炎症状或炎性根吸收迹象时,方需实施相应的牙髓治疗。

后续治疗计划应循序渐进,必要的正畸调整应在术后12周开始实施,最终修复治疗应待再植牙完全稳定后方可进行。

(四)自体牙移植术的疗效评估及并发症

牙根发育完全的自体移植牙,根管治疗后3、6、12个月复查,此后每年复查一次;牙根未完全发育的供体牙,移植术后1、2、3、6、9、12、18、24个月复查,之后每年复查 1 次。移植牙术后 1 年进行愈合评估,评定内容包括主观症状、临床检查和影像学检查。自体牙移植成功的标准为:

(1)移植牙无不适感,能正常发挥咀嚼功能;

(2)临床检查:移植牙无松动,叩诊无不适,牙龈无红肿,牙周探诊深度正常,年轻恒牙牙髓活力正常;移植牙术后 3~6个月松动度在II度内、术后 6~12个月松动度在I度内的,仍有进一步稳定和成功的潜力,应于术后1年再行疗效评估。

(3)影像学检查:移植牙无进行性牙根外吸收,牙根周围有正常宽度的牙周膜间隙,可见硬骨板影像;对于未完全发育的牙齿,要求牙根继续发育形成;对发育完全的牙齿,需根管充填恰填。

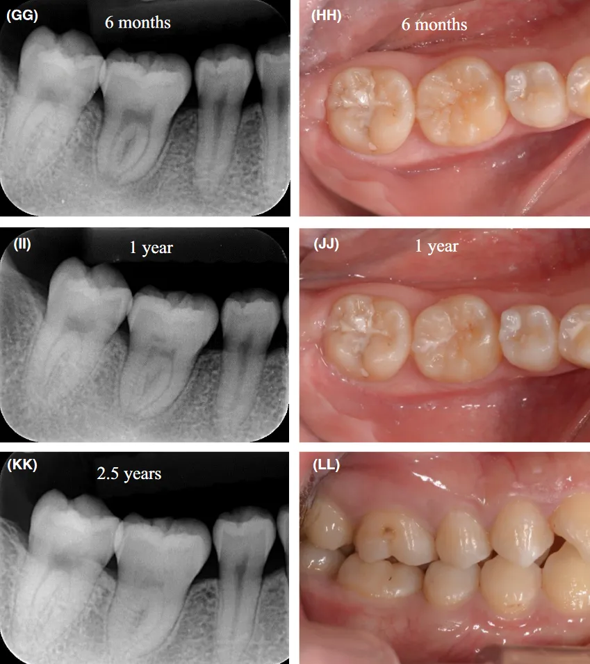
图8续4:(EE)术后2个月根尖片;(FF)术后3个月根尖片;(GG)术后6个月根尖片;(HH)术后6个月口内照;(II)术后1年根尖片;(JJ)术后1年口内照;(KK)术后2.5年根尖片;(LL)术后2.5年咬合照

以上成功指标中任意一项出现异常,就可判定自体牙移植失败。如出现相关临床症状或体征,影像学检查显示牙根未继续发育、根尖周透射影、牙根有进行性的外吸收等。未满足上述成功条件,但仍存留在口腔内能行使部分功能的移植牙,如有I~II度松动,周围软组织有炎症表现,牙根及其周围骨组织有不同程度吸收,与口腔内成功的移植牙合称为留存牙。

自体牙移植术的成功率虽略低于存留率,但二者均达到了临床应用标准。Meta分析显示,自体牙移植术的成功率为89.4%,存留率为96.1%。研究显示,自体牙移植术后1年的存留率高达97.4%~98.0%, 5年存留率为 81%~98.2%,随着时间的延长,其存留率有下降的趋势。

自体牙移植术后并发症主要包括牙槽骨粘连、牙根外吸收、牙髓钙化、牙髓坏死及牙齿动度增加等(表1)。其中,牙髓相关并发症发生率较高:文献报道牙髓钙化发生率约为53.4%,牙髓坏死发生率约为34.3%。牙根外吸收(包括炎症性外吸收与替代性外吸收)总体发生率约为10.4%,是影响移植牙长期留存的重要因素。此外,约8%的病例可能出现牙齿动度增加。上述结果表明,自体牙移植术具有临床可行性,但术后需密切监测牙髓状态与牙根外吸收等关键问题。

表1:自体牙移植术后主要并发症的发生率

五、数字化技术在

自体牙移植领域应用

静态导航技术(Static Navigation Technique,SNT)与动态导航技术(Dynamic Navigation Technique,DNT)在一定程度上显著提高了自体牙移植术的操作精准性与临床成功率,显示出良好的应用前景。然而,该类技术目前仍处于发展和完善阶段,其长期疗效、适应证及操作规范仍有待通过更多高质量研究进一步验证和探索。

1.静态导航技术:

在人类尸体下颌骨研究中,针对基于 CAD-CAM 的数字化手术导板辅助自体牙移植技术进行了定位精度评估(图9)。结果显示,与自由手操作相比,导板辅助下的牙槽窝制备能更精确地匹配供体牙形态,大多移植牙在就位过程中仅需微调即可良好就位。这说明数字化引导技术在单根牙自体移植中具有较高的可行性和定位精度,展现出良好的临床应用前景。

图9(图引自Abella Sans F, Garcia-Font M, Nagendrababu V, et al. Accuracy of CAD-CAM Surgically Guided Tooth Autotransplantation Using Guided Templates and Custom-designed Osteotomes in Human Cadaver Mandibles. J Endod. 2023;49(8):1035-1043.

doi:10.1016/j.joen.2023.06.008)数字化手术导板辅助的自体牙移植:(A)拔除供体牙;(B)数字化手术导板辅助下受牙区牙槽窝预备;(C、D)确认受牙区牙槽窝预备情况;(E)3D打印供体牙模型试戴;(F)将供体牙移植到牙槽窝

2.动态导航技术:

2025年的一篇病例报告,首次报道了动态导航系统在自体牙移植术中的应用(图10、11)。该系统通过实时监控牙槽窝预备过程的深度与方向,显著提高了牙槽窝制备的精确性,增强了手术的可控性与可预测性,同时最大限度地降低了对邻近组织的损伤风险。

图10(图引自Chen X, Li J, Zhang Y, Wang H. Navigation-guided autotransplantation: a novel technique for precise and predictable tooth placement. J Oral Maxillofac Surg. 2023;81(4):345-352. doi:10.1016/j.joms.2022.12.005.)结合动态导航技术的自体牙移植:(A)术前口内照;(B)术前根尖片;(C)3D打印供体牙模型试戴;;(D)根尖切除、根管倒预备及倒充填;(E)供体牙就位并固定;(F)术后2个月口内照;(G)术后2个月CBCT矢状位截图;(H)术后2个月CBCT冠状位截图

图11(图引自Chen X, Li J, Zhang Y, Wang H. Navigation-guided autotransplantation: a novel technique for precise and predictable tooth placement. J Oral Maxillofac Surg. 2023;81(4):345-352. doi:10.1016/j.joms.2022.12.005.):动态导航技术在自体牙移植术中的应用:(A、B)36近中根、远中根及根分叉的手术导板规划;(C)设计的6个手术导板;(D)采用X-Guide®导航系统进行受牙区牙槽窝预备(冠状面、矢状面及咬合面视图);(E)黄色部分标示的是需去除的多余牙槽骨;(F)使用 X-Mark® 探针复查牙槽窝预备情况

六、全文总结

自体牙移植术是利用患者自身牙齿修复牙列缺损的生物学治疗技术,在恢复咀嚼功能、维持牙槽骨形态及保留天然牙本体感觉方面具有独特价值。其成功依赖于对牙周组织及牙髓组织愈合机制的深入理解,以及对适应证、手术细节和术后管理的严格把握。尽管该技术不断进步,成功率逐步提升,但仍面临适应证标准不一、操作规范缺乏统一、长期疗效需进一步观察等挑战。数字化技术的应用可提升手术精准度与可预测性。未来,仍需通过更多高质量临床研究完善诊疗体系,推动该技术在规范化、个性化方向上持续发展,使其成为更具竞争力的牙列缺损修复选择。

参考文献

向上滑动阅览

1.侯锐.自体牙移植.北京:人民军医出版社,2012

2.PLOTION G, ABELLA SANS F, DUGGAL MS, et al. Clinical procedures and outcome of surgical extrusion, intentional replantation and tooth autotransplantation – a narrative review. International Endodontic Journal,2020,53: 1636-1652

3.PLOTION G, ABELLA SANS F, DUGGAL MS, et al. European Society of Endodontology position statement: Surgical extrusion, intentional replantation and tooth autotransplantation. International Endodontic Journal,2021,54(5): 655-659

4.PLOTION G, ABELLA SANS F, DUGGAL MS, et al. Present status and future directions: Surgical extrusion, intentional replantation and tooth autotransplantation. International Endodontic Journal,2022,55(Suppl. 3): 827-842

5.侯锐, 田磊. 自体牙移植术历史与展望. 中国实用口腔科杂志,2013,6(8): 452-455

6.中华口腔医学会牙及牙槽外科专业委员会. 自体牙移植术规范化操作流程中国专家共识. 中国口腔颌面外科杂志,2020,18(5): 390-394

7.GOSTILO D, JĀKOBSONE . Criteria and prognostic factors for survival and success rates for autotransplantation in the area of first and second molars. Swiss Dent J,2025,135(1):145-174

8.SINGH AK, KHANAL N, ACHARYA N, et al. What are the complications, success and survival rates for autotransplanted teeth? an overview of systematic reviews and metanalyses. Healthcare (Basel),2022,10(5):835

9.LUCAS-TAULÉ E, BOFARULL-BALLÚS A, LLAQUET M, et al. Does root development status affect the outcome of tooth autotransplantation? a systematic review and meta-analysis. Materials (Basel), 2022,15(9):3379

10.ALKOFAHI H, MAGHAIREH A, FNAISH M, et al. Application of platelet‐rich fibrin as regeneration assistant in immediate auototransplantation of third molar with unformed roots: case report and review of literature. Case Reports in Dentistry,2020,2020(1): 8170646

11.ZHANG H, CAI M, LIU Z, et al. Combined application of virtual simulation technology and 3-dimensional-printed computer-aided rapid prototyping in autotransplantation of a mature third molar. Medicina,2022,58(7): 953

12.WEI X, DU Y, ZHOU X, et al. Expert consensus on digital guided therapy for endodontic diseases. International Journal of Oral Science, 2023, 15(1): 54

13.PEDRINACI I, CALATRAVA J, COUSO-QUEIRUGA E, et al. Tooth autotransplantation with adjunctive application of enamel matrix derivatives using a digital workflow: A prospective case series. Journal of Dentistry,2024,148: 105131

14.TOW AP. Autotransplantation: a lost art worthy of revival in the era of implants. Gen Dent. 2022,70(4):28-32

15.HEBOYAN A, AVETISYAN A, KAROBARI MI, et al. Tooth root resorption: A review. Sci Prog,2022,105(3):368504221109217

16. BAXMANN M, HUTH KC, KÁRPÁTI K, et al. Autogenous transplantation of teeth across clinical indications: A systematic review and meta-analysis. J Clin Med,2025,14(14):5126

17. Tsukiboshi M, Tsukiboshi C, Levin L. A step-by step guide for autotransplantation of teeth. Dent Traumatol. 2023;39 Suppl 1:70-80. doi:10.1111/edt.12819

18. Abella Sans F, Garcia-Font M, Nagendrababu V, et al. Accuracy of CAD-CAM Surgically Guided Tooth Autotransplantation Using Guided Templates and Custom-designed Osteotomes in Human Cadaver Mandibles. J Endod. 2023;49(8):1035-1043. doi:10.1016/j.joen.2023.06.008

19. Chen X, Li J, Zhang Y, Wang H. Navigation-guided autotransplantation: a novel technique for precise and predictable tooth placement. J Oral Maxillofac Surg. 2023;81(4):345-352. doi:10.1016/j.joms.2022.12.005.

20. Cremona M, Bister D, Sherriff M, Abela S. Prognostic factors, outcomes, and complications for dental autotransplantation: an umbrella review. Eur J Orthod. 2024;46(1):cjad067. doi:10.1093/ejo/cjad067

21. Chung WC, Tu YK, Lin YH, Lu HK. Outcomes of autotransplanted teeth with complete root formation: a systematic review and meta-analysis. J Clin Periodontol. 2014;41(4):412-423. doi:10.1111/jcpe.12228

22. Almpani K, Papageorgiou SN, Papadopoulos MA. Autotransplantation of teeth in humans: a systematic review and meta-analysis. Clin Oral Investig. 2015;19(6):1157-1179. doi:10.1007/s00784-015-1473-9

23. Aravena-Salazar JP, Matus-Miranda G, Dethlefs-Canto J, Niklander SE. New complementary alternatives in third molar autotransplantation: A systematic review. Med Oral Patol Oral Cir Bucal. 2024;29(2):e241-e247. Published 2024 Mar 1. doi:10.4317/medoral.26233

END

作者|王天昊、宛朵

指导老师|史瑞棠

审核|张琛

编辑|史凯玥

微信公众号:北京口腔医院牙体牙髓

长按识别关注我们!

转载请注明出处

最新文章

随机文章

基本 文件 流程 错误 SQL 调试
  1. 请求信息 : 2026-05-31 01:14:45 HTTP/2.0 GET : https://67808.cn/a/467142.html
  2. 运行时间 : 0.092370s [ 吞吐率:10.83req/s ] 内存消耗:4,609.90kb 文件加载:140
  3. 缓存信息 : 0 reads,0 writes
  4. 会话信息 : SESSION_ID=f11674ab44be66307b178d7b5984ce98
  1. /yingpanguazai/ssd/ssd1/www/no.67808.cn/public/index.php ( 0.79 KB )
  2. /yingpanguazai/ssd/ssd1/www/no.67808.cn/vendor/autoload.php ( 0.17 KB )
  3. /yingpanguazai/ssd/ssd1/www/no.67808.cn/vendor/composer/autoload_real.php ( 2.49 KB )
  4. /yingpanguazai/ssd/ssd1/www/no.67808.cn/vendor/composer/platform_check.php ( 0.90 KB )
  5. /yingpanguazai/ssd/ssd1/www/no.67808.cn/vendor/composer/ClassLoader.php ( 14.03 KB )
  6. /yingpanguazai/ssd/ssd1/www/no.67808.cn/vendor/composer/autoload_static.php ( 4.90 KB )
  7. /yingpanguazai/ssd/ssd1/www/no.67808.cn/vendor/topthink/think-helper/src/helper.php ( 8.34 KB )
  8. /yingpanguazai/ssd/ssd1/www/no.67808.cn/vendor/topthink/think-validate/src/helper.php ( 2.19 KB )
  9. /yingpanguazai/ssd/ssd1/www/no.67808.cn/vendor/topthink/think-orm/src/helper.php ( 1.47 KB )
  10. /yingpanguazai/ssd/ssd1/www/no.67808.cn/vendor/topthink/think-orm/stubs/load_stubs.php ( 0.16 KB )
  11. /yingpanguazai/ssd/ssd1/www/no.67808.cn/vendor/topthink/framework/src/think/Exception.php ( 1.69 KB )
  12. /yingpanguazai/ssd/ssd1/www/no.67808.cn/vendor/topthink/think-container/src/Facade.php ( 2.71 KB )
  13. /yingpanguazai/ssd/ssd1/www/no.67808.cn/vendor/symfony/deprecation-contracts/function.php ( 0.99 KB )
  14. /yingpanguazai/ssd/ssd1/www/no.67808.cn/vendor/symfony/polyfill-mbstring/bootstrap.php ( 8.26 KB )
  15. /yingpanguazai/ssd/ssd1/www/no.67808.cn/vendor/symfony/polyfill-mbstring/bootstrap80.php ( 9.78 KB )
  16. /yingpanguazai/ssd/ssd1/www/no.67808.cn/vendor/symfony/var-dumper/Resources/functions/dump.php ( 1.49 KB )
  17. /yingpanguazai/ssd/ssd1/www/no.67808.cn/vendor/topthink/think-dumper/src/helper.php ( 0.18 KB )
  18. /yingpanguazai/ssd/ssd1/www/no.67808.cn/vendor/symfony/var-dumper/VarDumper.php ( 4.30 KB )
  19. /yingpanguazai/ssd/ssd1/www/no.67808.cn/vendor/topthink/framework/src/think/App.php ( 15.30 KB )
  20. /yingpanguazai/ssd/ssd1/www/no.67808.cn/vendor/topthink/think-container/src/Container.php ( 15.76 KB )
  21. /yingpanguazai/ssd/ssd1/www/no.67808.cn/vendor/psr/container/src/ContainerInterface.php ( 1.02 KB )
  22. /yingpanguazai/ssd/ssd1/www/no.67808.cn/app/provider.php ( 0.19 KB )
  23. /yingpanguazai/ssd/ssd1/www/no.67808.cn/vendor/topthink/framework/src/think/Http.php ( 6.04 KB )
  24. /yingpanguazai/ssd/ssd1/www/no.67808.cn/vendor/topthink/think-helper/src/helper/Str.php ( 7.29 KB )
  25. /yingpanguazai/ssd/ssd1/www/no.67808.cn/vendor/topthink/framework/src/think/Env.php ( 4.68 KB )
  26. /yingpanguazai/ssd/ssd1/www/no.67808.cn/app/common.php ( 0.03 KB )
  27. /yingpanguazai/ssd/ssd1/www/no.67808.cn/vendor/topthink/framework/src/helper.php ( 18.78 KB )
  28. /yingpanguazai/ssd/ssd1/www/no.67808.cn/vendor/topthink/framework/src/think/Config.php ( 5.54 KB )
  29. /yingpanguazai/ssd/ssd1/www/no.67808.cn/config/app.php ( 0.95 KB )
  30. /yingpanguazai/ssd/ssd1/www/no.67808.cn/config/cache.php ( 0.78 KB )
  31. /yingpanguazai/ssd/ssd1/www/no.67808.cn/config/console.php ( 0.23 KB )
  32. /yingpanguazai/ssd/ssd1/www/no.67808.cn/config/cookie.php ( 0.56 KB )
  33. /yingpanguazai/ssd/ssd1/www/no.67808.cn/config/database.php ( 2.48 KB )
  34. /yingpanguazai/ssd/ssd1/www/no.67808.cn/vendor/topthink/framework/src/think/facade/Env.php ( 1.67 KB )
  35. /yingpanguazai/ssd/ssd1/www/no.67808.cn/config/filesystem.php ( 0.61 KB )
  36. /yingpanguazai/ssd/ssd1/www/no.67808.cn/config/lang.php ( 0.91 KB )
  37. /yingpanguazai/ssd/ssd1/www/no.67808.cn/config/log.php ( 1.35 KB )
  38. /yingpanguazai/ssd/ssd1/www/no.67808.cn/config/middleware.php ( 0.19 KB )
  39. /yingpanguazai/ssd/ssd1/www/no.67808.cn/config/route.php ( 1.89 KB )
  40. /yingpanguazai/ssd/ssd1/www/no.67808.cn/config/session.php ( 0.57 KB )
  41. /yingpanguazai/ssd/ssd1/www/no.67808.cn/config/trace.php ( 0.34 KB )
  42. /yingpanguazai/ssd/ssd1/www/no.67808.cn/config/view.php ( 0.82 KB )
  43. /yingpanguazai/ssd/ssd1/www/no.67808.cn/app/event.php ( 0.25 KB )
  44. /yingpanguazai/ssd/ssd1/www/no.67808.cn/vendor/topthink/framework/src/think/Event.php ( 7.67 KB )
  45. /yingpanguazai/ssd/ssd1/www/no.67808.cn/app/service.php ( 0.13 KB )
  46. /yingpanguazai/ssd/ssd1/www/no.67808.cn/app/AppService.php ( 0.26 KB )
  47. /yingpanguazai/ssd/ssd1/www/no.67808.cn/vendor/topthink/framework/src/think/Service.php ( 1.64 KB )
  48. /yingpanguazai/ssd/ssd1/www/no.67808.cn/vendor/topthink/framework/src/think/Lang.php ( 7.35 KB )
  49. /yingpanguazai/ssd/ssd1/www/no.67808.cn/vendor/topthink/framework/src/lang/zh-cn.php ( 13.70 KB )
  50. /yingpanguazai/ssd/ssd1/www/no.67808.cn/vendor/topthink/framework/src/think/initializer/Error.php ( 3.31 KB )
  51. /yingpanguazai/ssd/ssd1/www/no.67808.cn/vendor/topthink/framework/src/think/initializer/RegisterService.php ( 1.33 KB )
  52. /yingpanguazai/ssd/ssd1/www/no.67808.cn/vendor/services.php ( 0.14 KB )
  53. /yingpanguazai/ssd/ssd1/www/no.67808.cn/vendor/topthink/framework/src/think/service/PaginatorService.php ( 1.52 KB )
  54. /yingpanguazai/ssd/ssd1/www/no.67808.cn/vendor/topthink/framework/src/think/service/ValidateService.php ( 0.99 KB )
  55. /yingpanguazai/ssd/ssd1/www/no.67808.cn/vendor/topthink/framework/src/think/service/ModelService.php ( 2.04 KB )
  56. /yingpanguazai/ssd/ssd1/www/no.67808.cn/vendor/topthink/think-trace/src/Service.php ( 0.77 KB )
  57. /yingpanguazai/ssd/ssd1/www/no.67808.cn/vendor/topthink/framework/src/think/Middleware.php ( 6.72 KB )
  58. /yingpanguazai/ssd/ssd1/www/no.67808.cn/vendor/topthink/framework/src/think/initializer/BootService.php ( 0.77 KB )
  59. /yingpanguazai/ssd/ssd1/www/no.67808.cn/vendor/topthink/think-orm/src/Paginator.php ( 11.86 KB )
  60. /yingpanguazai/ssd/ssd1/www/no.67808.cn/vendor/topthink/think-validate/src/Validate.php ( 63.20 KB )
  61. /yingpanguazai/ssd/ssd1/www/no.67808.cn/vendor/topthink/think-orm/src/Model.php ( 23.55 KB )
  62. /yingpanguazai/ssd/ssd1/www/no.67808.cn/vendor/topthink/think-orm/src/model/concern/Attribute.php ( 21.05 KB )
  63. /yingpanguazai/ssd/ssd1/www/no.67808.cn/vendor/topthink/think-orm/src/model/concern/AutoWriteData.php ( 4.21 KB )
  64. /yingpanguazai/ssd/ssd1/www/no.67808.cn/vendor/topthink/think-orm/src/model/concern/Conversion.php ( 6.44 KB )
  65. /yingpanguazai/ssd/ssd1/www/no.67808.cn/vendor/topthink/think-orm/src/model/concern/DbConnect.php ( 5.16 KB )
  66. /yingpanguazai/ssd/ssd1/www/no.67808.cn/vendor/topthink/think-orm/src/model/concern/ModelEvent.php ( 2.33 KB )
  67. /yingpanguazai/ssd/ssd1/www/no.67808.cn/vendor/topthink/think-orm/src/model/concern/RelationShip.php ( 28.29 KB )
  68. /yingpanguazai/ssd/ssd1/www/no.67808.cn/vendor/topthink/think-helper/src/contract/Arrayable.php ( 0.09 KB )
  69. /yingpanguazai/ssd/ssd1/www/no.67808.cn/vendor/topthink/think-helper/src/contract/Jsonable.php ( 0.13 KB )
  70. /yingpanguazai/ssd/ssd1/www/no.67808.cn/vendor/topthink/think-orm/src/model/contract/Modelable.php ( 0.09 KB )
  71. /yingpanguazai/ssd/ssd1/www/no.67808.cn/vendor/topthink/framework/src/think/Db.php ( 2.88 KB )
  72. /yingpanguazai/ssd/ssd1/www/no.67808.cn/vendor/topthink/think-orm/src/DbManager.php ( 8.52 KB )
  73. /yingpanguazai/ssd/ssd1/www/no.67808.cn/vendor/topthink/framework/src/think/Log.php ( 6.28 KB )
  74. /yingpanguazai/ssd/ssd1/www/no.67808.cn/vendor/topthink/framework/src/think/Manager.php ( 3.92 KB )
  75. /yingpanguazai/ssd/ssd1/www/no.67808.cn/vendor/psr/log/src/LoggerTrait.php ( 2.69 KB )
  76. /yingpanguazai/ssd/ssd1/www/no.67808.cn/vendor/psr/log/src/LoggerInterface.php ( 2.71 KB )
  77. /yingpanguazai/ssd/ssd1/www/no.67808.cn/vendor/topthink/framework/src/think/Cache.php ( 4.92 KB )
  78. /yingpanguazai/ssd/ssd1/www/no.67808.cn/vendor/psr/simple-cache/src/CacheInterface.php ( 4.71 KB )
  79. /yingpanguazai/ssd/ssd1/www/no.67808.cn/vendor/topthink/think-helper/src/helper/Arr.php ( 16.63 KB )
  80. /yingpanguazai/ssd/ssd1/www/no.67808.cn/vendor/topthink/framework/src/think/cache/driver/File.php ( 7.84 KB )
  81. /yingpanguazai/ssd/ssd1/www/no.67808.cn/vendor/topthink/framework/src/think/cache/Driver.php ( 9.03 KB )
  82. /yingpanguazai/ssd/ssd1/www/no.67808.cn/vendor/topthink/framework/src/think/contract/CacheHandlerInterface.php ( 1.99 KB )
  83. /yingpanguazai/ssd/ssd1/www/no.67808.cn/app/Request.php ( 0.09 KB )
  84. /yingpanguazai/ssd/ssd1/www/no.67808.cn/vendor/topthink/framework/src/think/Request.php ( 55.78 KB )
  85. /yingpanguazai/ssd/ssd1/www/no.67808.cn/app/middleware.php ( 0.25 KB )
  86. /yingpanguazai/ssd/ssd1/www/no.67808.cn/vendor/topthink/framework/src/think/Pipeline.php ( 2.61 KB )
  87. /yingpanguazai/ssd/ssd1/www/no.67808.cn/vendor/topthink/think-trace/src/TraceDebug.php ( 3.40 KB )
  88. /yingpanguazai/ssd/ssd1/www/no.67808.cn/vendor/topthink/framework/src/think/middleware/SessionInit.php ( 1.94 KB )
  89. /yingpanguazai/ssd/ssd1/www/no.67808.cn/vendor/topthink/framework/src/think/Session.php ( 1.80 KB )
  90. /yingpanguazai/ssd/ssd1/www/no.67808.cn/vendor/topthink/framework/src/think/session/driver/File.php ( 6.27 KB )
  91. /yingpanguazai/ssd/ssd1/www/no.67808.cn/vendor/topthink/framework/src/think/contract/SessionHandlerInterface.php ( 0.87 KB )
  92. /yingpanguazai/ssd/ssd1/www/no.67808.cn/vendor/topthink/framework/src/think/session/Store.php ( 7.12 KB )
  93. /yingpanguazai/ssd/ssd1/www/no.67808.cn/vendor/topthink/framework/src/think/Route.php ( 23.73 KB )
  94. /yingpanguazai/ssd/ssd1/www/no.67808.cn/vendor/topthink/framework/src/think/route/RuleName.php ( 5.75 KB )
  95. /yingpanguazai/ssd/ssd1/www/no.67808.cn/vendor/topthink/framework/src/think/route/Domain.php ( 2.53 KB )
  96. /yingpanguazai/ssd/ssd1/www/no.67808.cn/vendor/topthink/framework/src/think/route/RuleGroup.php ( 22.43 KB )
  97. /yingpanguazai/ssd/ssd1/www/no.67808.cn/vendor/topthink/framework/src/think/route/Rule.php ( 26.95 KB )
  98. /yingpanguazai/ssd/ssd1/www/no.67808.cn/vendor/topthink/framework/src/think/route/RuleItem.php ( 9.78 KB )
  99. /yingpanguazai/ssd/ssd1/www/no.67808.cn/route/app.php ( 1.72 KB )
  100. /yingpanguazai/ssd/ssd1/www/no.67808.cn/vendor/topthink/framework/src/think/facade/Route.php ( 4.70 KB )
  101. /yingpanguazai/ssd/ssd1/www/no.67808.cn/vendor/topthink/framework/src/think/route/dispatch/Controller.php ( 4.74 KB )
  102. /yingpanguazai/ssd/ssd1/www/no.67808.cn/vendor/topthink/framework/src/think/route/Dispatch.php ( 10.44 KB )
  103. /yingpanguazai/ssd/ssd1/www/no.67808.cn/app/controller/Index.php ( 4.81 KB )
  104. /yingpanguazai/ssd/ssd1/www/no.67808.cn/app/BaseController.php ( 2.05 KB )
  105. /yingpanguazai/ssd/ssd1/www/no.67808.cn/vendor/topthink/think-orm/src/facade/Db.php ( 0.93 KB )
  106. /yingpanguazai/ssd/ssd1/www/no.67808.cn/vendor/topthink/think-orm/src/db/connector/Mysql.php ( 5.44 KB )
  107. /yingpanguazai/ssd/ssd1/www/no.67808.cn/vendor/topthink/think-orm/src/db/PDOConnection.php ( 52.47 KB )
  108. /yingpanguazai/ssd/ssd1/www/no.67808.cn/vendor/topthink/think-orm/src/db/Connection.php ( 8.39 KB )
  109. /yingpanguazai/ssd/ssd1/www/no.67808.cn/vendor/topthink/think-orm/src/db/ConnectionInterface.php ( 4.57 KB )
  110. /yingpanguazai/ssd/ssd1/www/no.67808.cn/vendor/topthink/think-orm/src/db/builder/Mysql.php ( 16.58 KB )
  111. /yingpanguazai/ssd/ssd1/www/no.67808.cn/vendor/topthink/think-orm/src/db/Builder.php ( 24.06 KB )
  112. /yingpanguazai/ssd/ssd1/www/no.67808.cn/vendor/topthink/think-orm/src/db/BaseBuilder.php ( 27.50 KB )
  113. /yingpanguazai/ssd/ssd1/www/no.67808.cn/vendor/topthink/think-orm/src/db/Query.php ( 15.71 KB )
  114. /yingpanguazai/ssd/ssd1/www/no.67808.cn/vendor/topthink/think-orm/src/db/BaseQuery.php ( 45.13 KB )
  115. /yingpanguazai/ssd/ssd1/www/no.67808.cn/vendor/topthink/think-orm/src/db/concern/TimeFieldQuery.php ( 7.43 KB )
  116. /yingpanguazai/ssd/ssd1/www/no.67808.cn/vendor/topthink/think-orm/src/db/concern/AggregateQuery.php ( 3.26 KB )
  117. /yingpanguazai/ssd/ssd1/www/no.67808.cn/vendor/topthink/think-orm/src/db/concern/ModelRelationQuery.php ( 20.07 KB )
  118. /yingpanguazai/ssd/ssd1/www/no.67808.cn/vendor/topthink/think-orm/src/db/concern/ParamsBind.php ( 3.66 KB )
  119. /yingpanguazai/ssd/ssd1/www/no.67808.cn/vendor/topthink/think-orm/src/db/concern/ResultOperation.php ( 7.01 KB )
  120. /yingpanguazai/ssd/ssd1/www/no.67808.cn/vendor/topthink/think-orm/src/db/concern/WhereQuery.php ( 19.37 KB )
  121. /yingpanguazai/ssd/ssd1/www/no.67808.cn/vendor/topthink/think-orm/src/db/concern/JoinAndViewQuery.php ( 7.11 KB )
  122. /yingpanguazai/ssd/ssd1/www/no.67808.cn/vendor/topthink/think-orm/src/db/concern/TableFieldInfo.php ( 2.63 KB )
  123. /yingpanguazai/ssd/ssd1/www/no.67808.cn/vendor/topthink/think-orm/src/db/concern/Transaction.php ( 2.77 KB )
  124. /yingpanguazai/ssd/ssd1/www/no.67808.cn/vendor/topthink/framework/src/think/log/driver/File.php ( 5.96 KB )
  125. /yingpanguazai/ssd/ssd1/www/no.67808.cn/vendor/topthink/framework/src/think/contract/LogHandlerInterface.php ( 0.86 KB )
  126. /yingpanguazai/ssd/ssd1/www/no.67808.cn/vendor/topthink/framework/src/think/log/Channel.php ( 3.89 KB )
  127. /yingpanguazai/ssd/ssd1/www/no.67808.cn/vendor/topthink/framework/src/think/event/LogRecord.php ( 1.02 KB )
  128. /yingpanguazai/ssd/ssd1/www/no.67808.cn/vendor/topthink/think-helper/src/Collection.php ( 16.47 KB )
  129. /yingpanguazai/ssd/ssd1/www/no.67808.cn/vendor/topthink/framework/src/think/facade/View.php ( 1.70 KB )
  130. /yingpanguazai/ssd/ssd1/www/no.67808.cn/vendor/topthink/framework/src/think/View.php ( 4.39 KB )
  131. /yingpanguazai/ssd/ssd1/www/no.67808.cn/vendor/topthink/framework/src/think/Response.php ( 8.81 KB )
  132. /yingpanguazai/ssd/ssd1/www/no.67808.cn/vendor/topthink/framework/src/think/response/View.php ( 3.29 KB )
  133. /yingpanguazai/ssd/ssd1/www/no.67808.cn/vendor/topthink/framework/src/think/Cookie.php ( 6.06 KB )
  134. /yingpanguazai/ssd/ssd1/www/no.67808.cn/vendor/topthink/think-view/src/Think.php ( 8.38 KB )
  135. /yingpanguazai/ssd/ssd1/www/no.67808.cn/vendor/topthink/framework/src/think/contract/TemplateHandlerInterface.php ( 1.60 KB )
  136. /yingpanguazai/ssd/ssd1/www/no.67808.cn/vendor/topthink/think-template/src/Template.php ( 46.61 KB )
  137. /yingpanguazai/ssd/ssd1/www/no.67808.cn/vendor/topthink/think-template/src/template/driver/File.php ( 2.41 KB )
  138. /yingpanguazai/ssd/ssd1/www/no.67808.cn/vendor/topthink/think-template/src/template/contract/DriverInterface.php ( 0.86 KB )
  139. /yingpanguazai/ssd/ssd1/www/no.67808.cn/runtime/temp/6df755f970a38e704c5414acbc6e8bcd.php ( 12.06 KB )
  140. /yingpanguazai/ssd/ssd1/www/no.67808.cn/vendor/topthink/think-trace/src/Html.php ( 4.42 KB )
  1. CONNECT:[ UseTime:0.000629s ] mysql:host=127.0.0.1;port=3306;dbname=no_67808;charset=utf8mb4
  2. SHOW FULL COLUMNS FROM `fenlei` [ RunTime:0.000910s ]
  3. SELECT * FROM `fenlei` WHERE `fid` = 0 [ RunTime:0.000346s ]
  4. SELECT * FROM `fenlei` WHERE `fid` = 63 [ RunTime:0.000274s ]
  5. SHOW FULL COLUMNS FROM `set` [ RunTime:0.000491s ]
  6. SELECT * FROM `set` [ RunTime:0.000204s ]
  7. SHOW FULL COLUMNS FROM `article` [ RunTime:0.000600s ]
  8. SELECT * FROM `article` WHERE `id` = 467142 LIMIT 1 [ RunTime:0.000469s ]
  9. UPDATE `article` SET `lasttime` = 1780161285 WHERE `id` = 467142 [ RunTime:0.004873s ]
  10. SELECT * FROM `fenlei` WHERE `id` = 65 LIMIT 1 [ RunTime:0.000252s ]
  11. SELECT * FROM `article` WHERE `id` < 467142 ORDER BY `id` DESC LIMIT 1 [ RunTime:0.000421s ]
  12. SELECT * FROM `article` WHERE `id` > 467142 ORDER BY `id` ASC LIMIT 1 [ RunTime:0.000344s ]
  13. SELECT * FROM `article` WHERE `id` < 467142 ORDER BY `id` DESC LIMIT 10 [ RunTime:0.004885s ]
  14. SELECT * FROM `article` WHERE `id` < 467142 ORDER BY `id` DESC LIMIT 10,10 [ RunTime:0.003642s ]
  15. SELECT * FROM `article` WHERE `id` < 467142 ORDER BY `id` DESC LIMIT 20,10 [ RunTime:0.004328s ]
0.095040s