点击蓝字关注“学检验”
说一说前几天的一个案例,病史显示患者是通过急诊入住的肥胖代谢中心,患者于12小时前无明显诱因出现上腹部疼痛,伴恶心呕吐,呕吐物为胃液,就诊于贵州省******第二附属医院,行腹部CT见胃窦部、十二指肠水平段周围少许气体影,阑尾粪石并阑尾炎征象,实验室检查感染指标未见明显增高,予止痛治疗后无明显好转,为进一步诊疗就诊于我院,我科总住院医师会诊后以“腹痛原因”收治入院。
而临床的初步诊断:腹痛原因:急性阑尾炎?、消化道穿孔?;泌尿系结石?入院后立即进行了相关检查,其中生化检查结果如下:

可以看到患者多项指标均有异常,但主要反映肝功能(ALT和AST、TBIL和DBIL)和肾功能(尿素和肌酐)的指标均正常,当然引起我注意的就是患者蛋白结果的异常,其中球蛋白异常增高,而白蛋白却下降,白球比明显下降,一个腹痛患者为什么白蛋白和球蛋白会如此的异常,因为对于急性阑尾炎来说,其诊断标准主要依据的是患者的临床表现,体格检查以及相关辅助检查(当然主要是指影像学检查),而实验指标最大变化的可能是血常规的白细胞计数以及C反应蛋白的异常,于是查看了患者的血常规结果:
可以看到患者白细胞并没有升高,但是患者红细胞、血红蛋白、以及血小板均有下降,结合患者白球蛋白结果的异常,虽然临床病史并没有提及相关的疼痛表现,对于经常做生化检验的同行们来说,肯定会联想到该患者会不会还有其它相关的血液系统疾病引起白球蛋的异常,于是我们通过他的生化血给他加做了一下血清蛋白电泳:

从加做的血清蛋白电泳结果不难发现,患者有明显的M蛋白峰,且其峰值占总蛋白比例极高,通过换算的其浓度59.88g/L,已经是很高浓度了,于是我通过企业微信找到管床医生,跟他说我的想法和建议


管床老师也很快回应了我,血清蛋白电泳和免疫固定电泳一起做,虽然在开单过程中还出现了一个小插曲,误将血红蛋白电泳开成血清蛋白电泳,不过还好后面通过交流都改好了,由于接近下班时间了,而且已经是周五了,于是我们只有周末给他加做了


刚好周末上班,我把结果发给管床医生


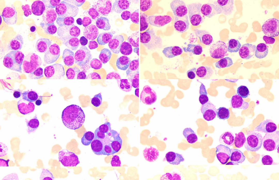
当然在血液科医生会诊后,给病人开出一系列血液系统疾病的检查:










最后患者在阑尾手术后直接转入血液内科进行治疗

最后的临床诊断也进行了修改

最后来说说血清蛋白电泳检查项目:
血清蛋白电泳是一种将血清蛋白质按电荷、分子大小在电场中分离,并测定各组分比例的实验室技术。其结果以电泳图谱和百分比/绝对值呈现,是评估肝脏功能、营养状态、急慢性炎症、肾脏疾病和单克隆/多克隆免疫球蛋白增殖的关键筛查工具。
血清蛋白电泳是连接蛋白质代谢、肝脏功能、炎症状态和免疫系统疾病的一座关键桥梁。尤其是对γ球蛋白区模式的识别,往往能为复杂的临床问题提供至关重要的诊断方向。
当然关于血清蛋白电泳筛查群体,感兴趣的可以看看前面发过的一篇文章学习笔记一M蛋白筛查的目标群体
多发性骨髓瘤(MM)作为浆细胞恶性增殖性疾病,在血液系统恶性肿瘤中占据重要地位,在很多国家是血液系统第 2 位常见恶性肿瘤,由于该疾病临床表现具有高度异质性,早期症状往往缺乏特异性,这使得其在临床实践中极易被误诊或漏诊。血清M蛋白测定技术对于高球蛋白血症患者MM具有一定的初筛价值,在此基础上进一步进行骨髓活检确诊,为MM的诊断和治疗争取宝贵的时间。不过目前在我们医院该项目还未纳入体检。
学习永远在路上,个人观点,仅供参考!