当前位置:首页>学习笔记>(学习笔记)胃泌酸腺肿瘤/胃底腺型肿瘤病理诊断

(学习笔记)胃泌酸腺肿瘤/胃底腺型肿瘤病理诊断

  • 2026-03-30 06:59:29
(学习笔记)胃泌酸腺肿瘤/胃底腺型肿瘤病理诊断

🌹寄语

胃的泌酸腺肿瘤,已经有很多老师分享过精彩内容啦~这次我整理了一份文字纯享版,只做知识点小结,方便大家平时随手查阅、轻松记忆。内容仅供学习交流使用,不作为临床诊疗依据。如果文中有疏漏之处,非常欢迎各位老师、同行多多指正,一起进步~

本文内容来自张黎老师讲课《泌酸腺肿瘤病理诊断及鉴别诊断》及文献。

Part1

以下根据张黎老师课件整理笔记,下方链接有详细记录

课程笔记 |第九讲《“泌酸腺肿瘤”的病理诊断及鉴别诊断》

OGA(泌酸腺腺瘤)诊断标准(WHO2019)

【基本定义】

  • 性质良性上皮性肿瘤。
  • 细胞构成由向主细胞、壁细胞分化(或混合分化)的柱状细胞组成。
  • 临床风险60% 比例可能进展为腺癌(伴黏膜下层浸润)。

【组织学诊断要点】

  1. 腺体形态模拟泌酸(胃底)腺的结构。
  2. 细胞模式主细胞为主(最常见)、以壁细胞为主,或两种细胞类型混合。
  3. 腺体结构异型性明显,可相互吻合形成 “无尽腺体(endless glands)”。
  4. 细胞特征腺细胞可复层 / 多层排列,核的异型性非常轻微。

【免疫组化指标】

胃蛋白酶原 I(Pepsinogen I)和MUC6阳性(⭐ 99%为主细胞分化)。

🌺知识补充胃蛋白酶原 I(Pepsinogen I)表达胃底腺主细胞,MUC6

表达幽门腺、黏液颈细胞、胃底腺黏液颈细胞。

“胃底腺型腺癌 / 泌酸腺腺瘤” 病理诊断特征

【核心争议】命名与肿瘤性质尚未统一。目前该病变的命名、良恶性界定仍存在学术分歧。

【不同体系的分类差异】

  1. 日本分类

    • 命名:统一称为 “胃底腺型胃癌(gastric adenocarcinoma of fundic-gland type,GA-FG)”
    • 争议:日本国内也有反对观点,认为应归为 “腺瘤”。
  2. WHO(2019 版)分类

    • 局限于黏膜内:命名为 “泌酸腺腺瘤(Oxyntic gland adenoma,OGA)”;
    • 浸润至黏膜下层:命名为 “胃底腺型胃癌(GA-FG)”;
🌺 依据浸润深度区分,未对两者的形态学特征做区分。
  1. 外科病理学分

    • 第 10 版:提及 “胃底腺型胃癌”;
    • 第 11 版:重新归为 “泌酸腺腺瘤”。
核心共识目前已明确其为具有特征性的肿瘤性病变
诊断难度一旦熟悉其特征,诊断较简单,仅通过传统HE 染色即可明确。
病变部位多位于近端胃。
⭐ 命名风险:需谨慎使用 “癌” 的诊断表述(避免因过度诊断导致全胃切除等过度治疗)。

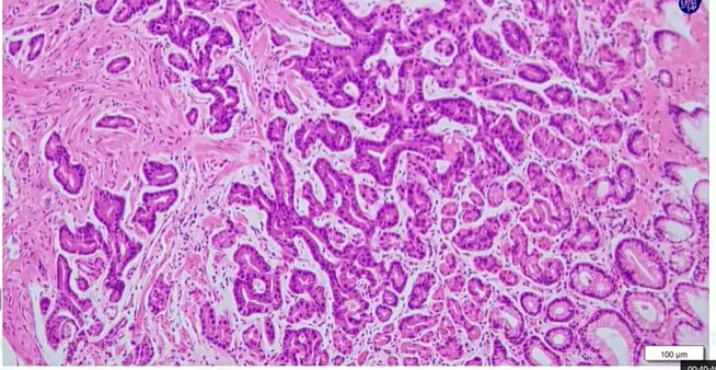
【“胃底腺型腺癌 / 泌酸腺腺瘤”的镜下特征】:结构异型+两种细胞特征

  • 分化程度分化极好,形态接近正常胃底腺细胞;以主细胞为主型,壁细胞多分布于肿瘤边缘 / 表面。

  • 异型性细胞异型性极低,仅见胞增大、密度增高,可复层 / 多层排列;核从基底层上移,核分裂像罕见。

  • 增殖活性Ki-67 阳性率多小于 5%。

组织结构

  • 腺体结构复杂,相互吻合形成 “endless glands”(无尽腺体);少见筛状结构,无坏死

与正常组织的关系与周围正常组织似乎有过渡(分界不绝对清晰

背景粘膜接近正常,无肠化、无萎缩

肿瘤间质表现为正常、水肿或粘液变,无促纤维间质反应

“胃底腺型腺癌 / 泌酸腺腺瘤”的临床特征

【一般临床特征】

  1. 发病率:极低,小于 0.01%
  2. 年龄与性别
    • 平均发病年龄 66 岁(范围 39-85 岁),男女比例约 2.2:1
  3. 病因相关
    • HP 感染率不足 40%(传统胃癌 HP 感染率超 70%)
    • 可能与 PPI(质子泵抑制剂)使用相关
    • 几乎所有病例的胃黏膜背景无萎缩、无肠化
  4. 病变部位:80% 位于胃的上三分之一区域,仅少数(仅 1 例报道)位于下三分之一
  1. 病变大小
    平均直径 1cm,最大可达 8.5cm
  2. 大体形态
    • 隆起型(SMT,黏膜下肿瘤样表现):60%
    • 平坦型:25%
    • 凹陷型:15%

内镜特征

主要表现:SMT 样隆起、黏膜褪色调、局部血管扩张,且背景黏膜无萎缩、无肠化。

NBI(窄带成像)特征:边界不清,IP(胃小凹)增宽、MCE(微囊样扩张)隐窝开口增大、缺乏异型血管。

病例展示:

活检病理报告中诊断“癌”要非常慎重

🌺 报告备注示范一泌酸腺肿瘤,备注:此肿瘤比较少见,诊断上有分歧,部分参考书命名为胃底腺腺癌,部分参考书命名为泌酸腺息肉/腺瘤。总体此病预后较好,属于低度恶性或恶性潜能未定的肿瘤,建议局部完整切除后随访即可。(仅供参考)

🌺 报告备注示范二泌酸腺肿瘤,备注:泌酸腺肿瘤需要完整切除肿瘤明确诊断,无浸润者诊断为泌酸腺腺瘤,有黏膜下浸润者诊断为胃底腺腺癌,预后良好。(仅供参考)

“胃底腺型腺癌 / 泌酸腺腺瘤”的鉴别诊断

    一、胃底腺型腺癌与牵手形态早期胃癌的鉴别诊断

    🌺 共同点

    两者均表现为:结构异型明显 + 低度异型细胞

    🌺 不同点

    鉴别维度
    胃底腺型腺癌
    牵手形态的早期胃癌
    细胞特征
    含主细胞、壁细胞两种细胞
    可出现印戒细胞
    炎症表现
    炎症轻,几乎无 HP 感染(HP-)
    炎症重,多与 HP 相关
    粘膜背景
    无萎缩、无肠化
    多伴有萎缩、肠化
    内镜表现(白光 + 放大)
    多为 SMT(黏膜下肿瘤样表现)
    多为 Ⅱb、Ⅱb+Ⅱc 等平坦型形态

    二、胃底腺型腺癌与胃底腺息肉的鉴别诊断

    🌺 共同点

    • 细胞构成:均以主细胞、壁细胞为主
    • 粘膜背景:背景很干净,炎细胞少
    • 胃底腺息肉的核心病理特点正常胃底腺为基础上见扩张的囊性嗜酸性腺体。

    🌺不同点

    1. 结构异型性
      • 胃底腺型腺癌:结构异型更显著。
      • 胃底腺息肉:仅见个别囊性扩张腺体。
    2. 细胞分布与形态
      • 胃底腺型腺癌:主细胞为主型;细胞轻度不典型,可复层 / 多层,核向腔面上移。
      • 胃底腺息肉:正常的细胞、壁细胞,多为单层,核位于基底。
    3. 浸润情况
      • 胃底腺型腺癌:多浸润至SM1黏膜下层的上1/3)。
      • 胃底腺息肉:无浸润。

    🌺 关联提示

    两者可能存在合并关系(本单位 16 例胃底腺型腺癌中,47% 合并胃底腺息肉),供参考。

    三、胃底腺型腺癌(GA-FG)与神经内分泌肿瘤(NET,2 型)的鉴别诊断

    🌺相同点

    SMT 样大体形态,背景无萎缩,结构异型 + 低异型度细胞。

    🌺  免疫组化指标差异

    免疫组化指标
    GA-FG
    Ⅱ 型 NET
    Pepsinogen-1
    +
    -
    MUC6
    +
    -
    CD56
    ±, 可局灶 +
    弥漫 +
    Syn
    ±, 可局灶 +
    弥漫 +
    CgA(重要鉴别)
    -
    弥漫 +
    MUC5AC
    -
    -
    Ki-67

    胃底腺粘膜型腺癌(GA-FGM)

    【分化特点】:胃底腺分化 + 小凹上皮分化。

    【成分性质】:两种成分均为肿瘤性。

    GA-FG/OGA 小结笔记

    1. 性质

    GA-FG/OGA 是一种恶性程度很低的特殊肿瘤,和传统意义上的胃癌完全不一样。

    2. 诊断

    • HE 切片足够时,可观察到两种细胞特征:异型度低 + 结构异型 + 浸润性生长(癌)
    • 活检时两者区别有一定困难,临床易漏诊,需多做活检。

    3. 临床特点

    • 好发人群:老年人
    • 好发部位:近端胃
    • 病灶大小:多数小于 1cm
    • 生长方式:隆起性为主
    • 幽门螺杆菌:基本 HP 阴性
    • 背景黏膜:无萎缩、肠化背景,常伴有胃底腺息肉
    • 发病率:可能在上升

    4. 治疗

    • 局部治疗足够(ESD、EMR),活检咬除并非真正的完全咬除,活检 “癌” 谨慎出口
    • 即使是 SM2,只要切缘阴性,无需追加手术
    • 新版外科病理学将此类肿瘤归为良性肿瘤

    5. 活检病理报告技巧

    可以发:泌酸腺肿瘤

    备注:WHO 定义为粘膜内为泌酸腺腺瘤,浸润至黏膜下为胃底腺腺癌,是一种恶性程度极低的特殊少见肿瘤,建议局部完整切除后再评估。

    Part2
    胃泌酸腺肿瘤诊断思路
    Part3
    以下内容为文献知识点提炼,方便查询和记忆,详见以下原文链接
    讲座 精彩推荐|胃底腺型肿瘤的临床病理学特征及研究进展

    🌺  胃底腺型肿瘤为具有胃底腺分化的罕见胃肿瘤亚型,起源于黏膜固有层的主细胞或壁细胞前驱细胞,主要包括

    • 泌酸腺腺瘤(oxyntic gland adenoma,OGA)、
    • 胃底腺型腺癌(gastric adenocarcinoma of the fundic gland type,GA-FG
    • 胃底腺黏膜型腺癌(gastiric adenocarcinoma of fundic gland mucosa type,GA-FGM)。

    🌺  泌酸腺腺瘤和胃底腺型腺癌属于低级别胃底腺型肿瘤,预后好;胃底腺黏膜型腺癌属于高级别胃底腺型肿瘤,具有更高的侵袭性和脉管侵犯率。

    🌺 2019版WHO消化系统肿瘤分类将胃底腺来源肿瘤纳入并分为2种组织学类型,OGA和GA-FG,两者区别在于有无黏膜下浸润

    🌺 2021年Ueyama等又提出了胃底腺黏膜分化的胃型上皮肿瘤(gastric epithelial neoplasm of fundic-gland mucosa lineage,GEN-FGML)的概念,并对分类进行了完善。将GEN-FGML分为3种类型:OGA、GA-FG和GA-FGM,OGA和GA-FG为低级别肿瘤,GA-FGM则归类为高级别肿瘤,并进一步将GA-FGM分为3种组织学亚型。到目前为止,Ueyama等对胃底腺来源肿瘤的分类最为完善和反映不同组织学类型的生物学行为,已被应用于临床实践当中。

    🌺 低级别胃底腺型肿瘤

    组织学特点

    主要由主细胞分化细胞构成,细胞呈柱状,胞质偏嗜碱性,腺体具有明显结构异型,包括不规则分支、扭曲等,与周围正常胃底腺明显不同。低级别胃底腺型肿瘤包括OGA和GA-FG,二者具有相同的临床及病理特征,鉴别点为是否伴有黏膜下浸润。OGA为具有胃底腺分化的位于黏膜内的上皮性肿瘤。GA-FG为具有胃底腺分化的低异型性分化型腺癌,伴有黏膜下浸润。
    组化

    主细胞表达Pepsinogen 1和/或MUC6,壁细胞表达H+/K+-ATPase,表面正常胃小凹上皮MUC5AC阳性,MUC2阴性,p53往往阴性,Ki-67阳性指数一般<5%,且阳性细胞分布不均匀。

    🌺 高级别胃底腺型肿瘤

    GA-FGM属于高级别胃底腺型肿瘤。比OGA和GA-FG体积更大,浸润更深,淋巴管和血管侵犯及淋巴结转移更常见,具有较高的组织学不典型性,还可伴有普通型分化型腺癌。

    • 组织学特点

    胃底腺样分化成+有胃小凹上皮或颈黏液腺体分化具有更高的组织学异型性,部分病例还可伴有普通型分化型腺癌。

    Ueyama等的研究将GA-FGM分为3型,

    • 1型:表面为胃小凹上皮分化肿瘤成分(表面露出),深部为胃底腺分化肿瘤成分,两者呈明显分层,保持正常组织结构,此型预后相对较好;

    • 2型:胃底腺分化和小凹上皮和/或黏液细胞分化肿瘤成分混合存在,组织结构紊乱,表面露出,免疫组织化学显示黏膜表层及深部均可见MUC5AC阳性的肿瘤细胞,MUC6、Pepsinogen 1和/或H+/K+-ATPase阳性的肿瘤细胞大部分位于黏膜深层,此型预后最差;

    • 3型:不同分化的肿瘤成分混合存在,局限在黏膜深层或侵及黏膜下层,表面覆盖正常胃小凹上皮,此型恶性度居中,相对少见。

    • 免疫组化

    所有病变均不同程度表达Pepsinogen 1、MUC5AC和MUC6,多数病变局灶表达H+/K+-ATPase,部分病例可局灶表达p53,Ki-67阳性指数高于GA-FG,平均9.9%。

    表1泌酸腺腺瘤(OGA)、胃底腺型腺癌(GA-FG)和胃底腺黏膜型腺癌(GA-FGM)的临床及病理学鉴别要点
    [学习笔记]张黎老师系列讲课—“泌酸腺肿瘤”病理诊断及鉴别诊断
    讲座 精彩推荐|胃底腺型肿瘤的临床病理学特征及研究进展

    最新文章

    随机文章

    基本 文件 流程 错误 SQL 调试
    1. 请求信息 : 2026-04-05 02:53:11 HTTP/2.0 GET : https://67808.cn/a/468053.html
    2. 运行时间 : 0.078587s [ 吞吐率:12.72req/s ] 内存消耗:4,484.39kb 文件加载:140
    3. 缓存信息 : 0 reads,0 writes
    4. 会话信息 : SESSION_ID=7dc5cbc412738f4caf9ac0c1d94935db
    1. /yingpanguazai/ssd/ssd1/www/no.67808.cn/public/index.php ( 0.79 KB )
    2. /yingpanguazai/ssd/ssd1/www/no.67808.cn/vendor/autoload.php ( 0.17 KB )
    3. /yingpanguazai/ssd/ssd1/www/no.67808.cn/vendor/composer/autoload_real.php ( 2.49 KB )
    4. /yingpanguazai/ssd/ssd1/www/no.67808.cn/vendor/composer/platform_check.php ( 0.90 KB )
    5. /yingpanguazai/ssd/ssd1/www/no.67808.cn/vendor/composer/ClassLoader.php ( 14.03 KB )
    6. /yingpanguazai/ssd/ssd1/www/no.67808.cn/vendor/composer/autoload_static.php ( 4.90 KB )
    7. /yingpanguazai/ssd/ssd1/www/no.67808.cn/vendor/topthink/think-helper/src/helper.php ( 8.34 KB )
    8. /yingpanguazai/ssd/ssd1/www/no.67808.cn/vendor/topthink/think-validate/src/helper.php ( 2.19 KB )
    9. /yingpanguazai/ssd/ssd1/www/no.67808.cn/vendor/topthink/think-orm/src/helper.php ( 1.47 KB )
    10. /yingpanguazai/ssd/ssd1/www/no.67808.cn/vendor/topthink/think-orm/stubs/load_stubs.php ( 0.16 KB )
    11. /yingpanguazai/ssd/ssd1/www/no.67808.cn/vendor/topthink/framework/src/think/Exception.php ( 1.69 KB )
    12. /yingpanguazai/ssd/ssd1/www/no.67808.cn/vendor/topthink/think-container/src/Facade.php ( 2.71 KB )
    13. /yingpanguazai/ssd/ssd1/www/no.67808.cn/vendor/symfony/deprecation-contracts/function.php ( 0.99 KB )
    14. /yingpanguazai/ssd/ssd1/www/no.67808.cn/vendor/symfony/polyfill-mbstring/bootstrap.php ( 8.26 KB )
    15. /yingpanguazai/ssd/ssd1/www/no.67808.cn/vendor/symfony/polyfill-mbstring/bootstrap80.php ( 9.78 KB )
    16. /yingpanguazai/ssd/ssd1/www/no.67808.cn/vendor/symfony/var-dumper/Resources/functions/dump.php ( 1.49 KB )
    17. /yingpanguazai/ssd/ssd1/www/no.67808.cn/vendor/topthink/think-dumper/src/helper.php ( 0.18 KB )
    18. /yingpanguazai/ssd/ssd1/www/no.67808.cn/vendor/symfony/var-dumper/VarDumper.php ( 4.30 KB )
    19. /yingpanguazai/ssd/ssd1/www/no.67808.cn/vendor/topthink/framework/src/think/App.php ( 15.30 KB )
    20. /yingpanguazai/ssd/ssd1/www/no.67808.cn/vendor/topthink/think-container/src/Container.php ( 15.76 KB )
    21. /yingpanguazai/ssd/ssd1/www/no.67808.cn/vendor/psr/container/src/ContainerInterface.php ( 1.02 KB )
    22. /yingpanguazai/ssd/ssd1/www/no.67808.cn/app/provider.php ( 0.19 KB )
    23. /yingpanguazai/ssd/ssd1/www/no.67808.cn/vendor/topthink/framework/src/think/Http.php ( 6.04 KB )
    24. /yingpanguazai/ssd/ssd1/www/no.67808.cn/vendor/topthink/think-helper/src/helper/Str.php ( 7.29 KB )
    25. /yingpanguazai/ssd/ssd1/www/no.67808.cn/vendor/topthink/framework/src/think/Env.php ( 4.68 KB )
    26. /yingpanguazai/ssd/ssd1/www/no.67808.cn/app/common.php ( 0.03 KB )
    27. /yingpanguazai/ssd/ssd1/www/no.67808.cn/vendor/topthink/framework/src/helper.php ( 18.78 KB )
    28. /yingpanguazai/ssd/ssd1/www/no.67808.cn/vendor/topthink/framework/src/think/Config.php ( 5.54 KB )
    29. /yingpanguazai/ssd/ssd1/www/no.67808.cn/config/app.php ( 0.95 KB )
    30. /yingpanguazai/ssd/ssd1/www/no.67808.cn/config/cache.php ( 0.78 KB )
    31. /yingpanguazai/ssd/ssd1/www/no.67808.cn/config/console.php ( 0.23 KB )
    32. /yingpanguazai/ssd/ssd1/www/no.67808.cn/config/cookie.php ( 0.56 KB )
    33. /yingpanguazai/ssd/ssd1/www/no.67808.cn/config/database.php ( 2.48 KB )
    34. /yingpanguazai/ssd/ssd1/www/no.67808.cn/vendor/topthink/framework/src/think/facade/Env.php ( 1.67 KB )
    35. /yingpanguazai/ssd/ssd1/www/no.67808.cn/config/filesystem.php ( 0.61 KB )
    36. /yingpanguazai/ssd/ssd1/www/no.67808.cn/config/lang.php ( 0.91 KB )
    37. /yingpanguazai/ssd/ssd1/www/no.67808.cn/config/log.php ( 1.35 KB )
    38. /yingpanguazai/ssd/ssd1/www/no.67808.cn/config/middleware.php ( 0.19 KB )
    39. /yingpanguazai/ssd/ssd1/www/no.67808.cn/config/route.php ( 1.89 KB )
    40. /yingpanguazai/ssd/ssd1/www/no.67808.cn/config/session.php ( 0.57 KB )
    41. /yingpanguazai/ssd/ssd1/www/no.67808.cn/config/trace.php ( 0.34 KB )
    42. /yingpanguazai/ssd/ssd1/www/no.67808.cn/config/view.php ( 0.82 KB )
    43. /yingpanguazai/ssd/ssd1/www/no.67808.cn/app/event.php ( 0.25 KB )
    44. /yingpanguazai/ssd/ssd1/www/no.67808.cn/vendor/topthink/framework/src/think/Event.php ( 7.67 KB )
    45. /yingpanguazai/ssd/ssd1/www/no.67808.cn/app/service.php ( 0.13 KB )
    46. /yingpanguazai/ssd/ssd1/www/no.67808.cn/app/AppService.php ( 0.26 KB )
    47. /yingpanguazai/ssd/ssd1/www/no.67808.cn/vendor/topthink/framework/src/think/Service.php ( 1.64 KB )
    48. /yingpanguazai/ssd/ssd1/www/no.67808.cn/vendor/topthink/framework/src/think/Lang.php ( 7.35 KB )
    49. /yingpanguazai/ssd/ssd1/www/no.67808.cn/vendor/topthink/framework/src/lang/zh-cn.php ( 13.70 KB )
    50. /yingpanguazai/ssd/ssd1/www/no.67808.cn/vendor/topthink/framework/src/think/initializer/Error.php ( 3.31 KB )
    51. /yingpanguazai/ssd/ssd1/www/no.67808.cn/vendor/topthink/framework/src/think/initializer/RegisterService.php ( 1.33 KB )
    52. /yingpanguazai/ssd/ssd1/www/no.67808.cn/vendor/services.php ( 0.14 KB )
    53. /yingpanguazai/ssd/ssd1/www/no.67808.cn/vendor/topthink/framework/src/think/service/PaginatorService.php ( 1.52 KB )
    54. /yingpanguazai/ssd/ssd1/www/no.67808.cn/vendor/topthink/framework/src/think/service/ValidateService.php ( 0.99 KB )
    55. /yingpanguazai/ssd/ssd1/www/no.67808.cn/vendor/topthink/framework/src/think/service/ModelService.php ( 2.04 KB )
    56. /yingpanguazai/ssd/ssd1/www/no.67808.cn/vendor/topthink/think-trace/src/Service.php ( 0.77 KB )
    57. /yingpanguazai/ssd/ssd1/www/no.67808.cn/vendor/topthink/framework/src/think/Middleware.php ( 6.72 KB )
    58. /yingpanguazai/ssd/ssd1/www/no.67808.cn/vendor/topthink/framework/src/think/initializer/BootService.php ( 0.77 KB )
    59. /yingpanguazai/ssd/ssd1/www/no.67808.cn/vendor/topthink/think-orm/src/Paginator.php ( 11.86 KB )
    60. /yingpanguazai/ssd/ssd1/www/no.67808.cn/vendor/topthink/think-validate/src/Validate.php ( 63.20 KB )
    61. /yingpanguazai/ssd/ssd1/www/no.67808.cn/vendor/topthink/think-orm/src/Model.php ( 23.55 KB )
    62. /yingpanguazai/ssd/ssd1/www/no.67808.cn/vendor/topthink/think-orm/src/model/concern/Attribute.php ( 21.05 KB )
    63. /yingpanguazai/ssd/ssd1/www/no.67808.cn/vendor/topthink/think-orm/src/model/concern/AutoWriteData.php ( 4.21 KB )
    64. /yingpanguazai/ssd/ssd1/www/no.67808.cn/vendor/topthink/think-orm/src/model/concern/Conversion.php ( 6.44 KB )
    65. /yingpanguazai/ssd/ssd1/www/no.67808.cn/vendor/topthink/think-orm/src/model/concern/DbConnect.php ( 5.16 KB )
    66. /yingpanguazai/ssd/ssd1/www/no.67808.cn/vendor/topthink/think-orm/src/model/concern/ModelEvent.php ( 2.33 KB )
    67. /yingpanguazai/ssd/ssd1/www/no.67808.cn/vendor/topthink/think-orm/src/model/concern/RelationShip.php ( 28.29 KB )
    68. /yingpanguazai/ssd/ssd1/www/no.67808.cn/vendor/topthink/think-helper/src/contract/Arrayable.php ( 0.09 KB )
    69. /yingpanguazai/ssd/ssd1/www/no.67808.cn/vendor/topthink/think-helper/src/contract/Jsonable.php ( 0.13 KB )
    70. /yingpanguazai/ssd/ssd1/www/no.67808.cn/vendor/topthink/think-orm/src/model/contract/Modelable.php ( 0.09 KB )
    71. /yingpanguazai/ssd/ssd1/www/no.67808.cn/vendor/topthink/framework/src/think/Db.php ( 2.88 KB )
    72. /yingpanguazai/ssd/ssd1/www/no.67808.cn/vendor/topthink/think-orm/src/DbManager.php ( 8.52 KB )
    73. /yingpanguazai/ssd/ssd1/www/no.67808.cn/vendor/topthink/framework/src/think/Log.php ( 6.28 KB )
    74. /yingpanguazai/ssd/ssd1/www/no.67808.cn/vendor/topthink/framework/src/think/Manager.php ( 3.92 KB )
    75. /yingpanguazai/ssd/ssd1/www/no.67808.cn/vendor/psr/log/src/LoggerTrait.php ( 2.69 KB )
    76. /yingpanguazai/ssd/ssd1/www/no.67808.cn/vendor/psr/log/src/LoggerInterface.php ( 2.71 KB )
    77. /yingpanguazai/ssd/ssd1/www/no.67808.cn/vendor/topthink/framework/src/think/Cache.php ( 4.92 KB )
    78. /yingpanguazai/ssd/ssd1/www/no.67808.cn/vendor/psr/simple-cache/src/CacheInterface.php ( 4.71 KB )
    79. /yingpanguazai/ssd/ssd1/www/no.67808.cn/vendor/topthink/think-helper/src/helper/Arr.php ( 16.63 KB )
    80. /yingpanguazai/ssd/ssd1/www/no.67808.cn/vendor/topthink/framework/src/think/cache/driver/File.php ( 7.84 KB )
    81. /yingpanguazai/ssd/ssd1/www/no.67808.cn/vendor/topthink/framework/src/think/cache/Driver.php ( 9.03 KB )
    82. /yingpanguazai/ssd/ssd1/www/no.67808.cn/vendor/topthink/framework/src/think/contract/CacheHandlerInterface.php ( 1.99 KB )
    83. /yingpanguazai/ssd/ssd1/www/no.67808.cn/app/Request.php ( 0.09 KB )
    84. /yingpanguazai/ssd/ssd1/www/no.67808.cn/vendor/topthink/framework/src/think/Request.php ( 55.78 KB )
    85. /yingpanguazai/ssd/ssd1/www/no.67808.cn/app/middleware.php ( 0.25 KB )
    86. /yingpanguazai/ssd/ssd1/www/no.67808.cn/vendor/topthink/framework/src/think/Pipeline.php ( 2.61 KB )
    87. /yingpanguazai/ssd/ssd1/www/no.67808.cn/vendor/topthink/think-trace/src/TraceDebug.php ( 3.40 KB )
    88. /yingpanguazai/ssd/ssd1/www/no.67808.cn/vendor/topthink/framework/src/think/middleware/SessionInit.php ( 1.94 KB )
    89. /yingpanguazai/ssd/ssd1/www/no.67808.cn/vendor/topthink/framework/src/think/Session.php ( 1.80 KB )
    90. /yingpanguazai/ssd/ssd1/www/no.67808.cn/vendor/topthink/framework/src/think/session/driver/File.php ( 6.27 KB )
    91. /yingpanguazai/ssd/ssd1/www/no.67808.cn/vendor/topthink/framework/src/think/contract/SessionHandlerInterface.php ( 0.87 KB )
    92. /yingpanguazai/ssd/ssd1/www/no.67808.cn/vendor/topthink/framework/src/think/session/Store.php ( 7.12 KB )
    93. /yingpanguazai/ssd/ssd1/www/no.67808.cn/vendor/topthink/framework/src/think/Route.php ( 23.73 KB )
    94. /yingpanguazai/ssd/ssd1/www/no.67808.cn/vendor/topthink/framework/src/think/route/RuleName.php ( 5.75 KB )
    95. /yingpanguazai/ssd/ssd1/www/no.67808.cn/vendor/topthink/framework/src/think/route/Domain.php ( 2.53 KB )
    96. /yingpanguazai/ssd/ssd1/www/no.67808.cn/vendor/topthink/framework/src/think/route/RuleGroup.php ( 22.43 KB )
    97. /yingpanguazai/ssd/ssd1/www/no.67808.cn/vendor/topthink/framework/src/think/route/Rule.php ( 26.95 KB )
    98. /yingpanguazai/ssd/ssd1/www/no.67808.cn/vendor/topthink/framework/src/think/route/RuleItem.php ( 9.78 KB )
    99. /yingpanguazai/ssd/ssd1/www/no.67808.cn/route/app.php ( 1.72 KB )
    100. /yingpanguazai/ssd/ssd1/www/no.67808.cn/vendor/topthink/framework/src/think/facade/Route.php ( 4.70 KB )
    101. /yingpanguazai/ssd/ssd1/www/no.67808.cn/vendor/topthink/framework/src/think/route/dispatch/Controller.php ( 4.74 KB )
    102. /yingpanguazai/ssd/ssd1/www/no.67808.cn/vendor/topthink/framework/src/think/route/Dispatch.php ( 10.44 KB )
    103. /yingpanguazai/ssd/ssd1/www/no.67808.cn/app/controller/Index.php ( 4.81 KB )
    104. /yingpanguazai/ssd/ssd1/www/no.67808.cn/app/BaseController.php ( 2.05 KB )
    105. /yingpanguazai/ssd/ssd1/www/no.67808.cn/vendor/topthink/think-orm/src/facade/Db.php ( 0.93 KB )
    106. /yingpanguazai/ssd/ssd1/www/no.67808.cn/vendor/topthink/think-orm/src/db/connector/Mysql.php ( 5.44 KB )
    107. /yingpanguazai/ssd/ssd1/www/no.67808.cn/vendor/topthink/think-orm/src/db/PDOConnection.php ( 52.47 KB )
    108. /yingpanguazai/ssd/ssd1/www/no.67808.cn/vendor/topthink/think-orm/src/db/Connection.php ( 8.39 KB )
    109. /yingpanguazai/ssd/ssd1/www/no.67808.cn/vendor/topthink/think-orm/src/db/ConnectionInterface.php ( 4.57 KB )
    110. /yingpanguazai/ssd/ssd1/www/no.67808.cn/vendor/topthink/think-orm/src/db/builder/Mysql.php ( 16.58 KB )
    111. /yingpanguazai/ssd/ssd1/www/no.67808.cn/vendor/topthink/think-orm/src/db/Builder.php ( 24.06 KB )
    112. /yingpanguazai/ssd/ssd1/www/no.67808.cn/vendor/topthink/think-orm/src/db/BaseBuilder.php ( 27.50 KB )
    113. /yingpanguazai/ssd/ssd1/www/no.67808.cn/vendor/topthink/think-orm/src/db/Query.php ( 15.71 KB )
    114. /yingpanguazai/ssd/ssd1/www/no.67808.cn/vendor/topthink/think-orm/src/db/BaseQuery.php ( 45.13 KB )
    115. /yingpanguazai/ssd/ssd1/www/no.67808.cn/vendor/topthink/think-orm/src/db/concern/TimeFieldQuery.php ( 7.43 KB )
    116. /yingpanguazai/ssd/ssd1/www/no.67808.cn/vendor/topthink/think-orm/src/db/concern/AggregateQuery.php ( 3.26 KB )
    117. /yingpanguazai/ssd/ssd1/www/no.67808.cn/vendor/topthink/think-orm/src/db/concern/ModelRelationQuery.php ( 20.07 KB )
    118. /yingpanguazai/ssd/ssd1/www/no.67808.cn/vendor/topthink/think-orm/src/db/concern/ParamsBind.php ( 3.66 KB )
    119. /yingpanguazai/ssd/ssd1/www/no.67808.cn/vendor/topthink/think-orm/src/db/concern/ResultOperation.php ( 7.01 KB )
    120. /yingpanguazai/ssd/ssd1/www/no.67808.cn/vendor/topthink/think-orm/src/db/concern/WhereQuery.php ( 19.37 KB )
    121. /yingpanguazai/ssd/ssd1/www/no.67808.cn/vendor/topthink/think-orm/src/db/concern/JoinAndViewQuery.php ( 7.11 KB )
    122. /yingpanguazai/ssd/ssd1/www/no.67808.cn/vendor/topthink/think-orm/src/db/concern/TableFieldInfo.php ( 2.63 KB )
    123. /yingpanguazai/ssd/ssd1/www/no.67808.cn/vendor/topthink/think-orm/src/db/concern/Transaction.php ( 2.77 KB )
    124. /yingpanguazai/ssd/ssd1/www/no.67808.cn/vendor/topthink/framework/src/think/log/driver/File.php ( 5.96 KB )
    125. /yingpanguazai/ssd/ssd1/www/no.67808.cn/vendor/topthink/framework/src/think/contract/LogHandlerInterface.php ( 0.86 KB )
    126. /yingpanguazai/ssd/ssd1/www/no.67808.cn/vendor/topthink/framework/src/think/log/Channel.php ( 3.89 KB )
    127. /yingpanguazai/ssd/ssd1/www/no.67808.cn/vendor/topthink/framework/src/think/event/LogRecord.php ( 1.02 KB )
    128. /yingpanguazai/ssd/ssd1/www/no.67808.cn/vendor/topthink/think-helper/src/Collection.php ( 16.47 KB )
    129. /yingpanguazai/ssd/ssd1/www/no.67808.cn/vendor/topthink/framework/src/think/facade/View.php ( 1.70 KB )
    130. /yingpanguazai/ssd/ssd1/www/no.67808.cn/vendor/topthink/framework/src/think/View.php ( 4.39 KB )
    131. /yingpanguazai/ssd/ssd1/www/no.67808.cn/vendor/topthink/framework/src/think/Response.php ( 8.81 KB )
    132. /yingpanguazai/ssd/ssd1/www/no.67808.cn/vendor/topthink/framework/src/think/response/View.php ( 3.29 KB )
    133. /yingpanguazai/ssd/ssd1/www/no.67808.cn/vendor/topthink/framework/src/think/Cookie.php ( 6.06 KB )
    134. /yingpanguazai/ssd/ssd1/www/no.67808.cn/vendor/topthink/think-view/src/Think.php ( 8.38 KB )
    135. /yingpanguazai/ssd/ssd1/www/no.67808.cn/vendor/topthink/framework/src/think/contract/TemplateHandlerInterface.php ( 1.60 KB )
    136. /yingpanguazai/ssd/ssd1/www/no.67808.cn/vendor/topthink/think-template/src/Template.php ( 46.61 KB )
    137. /yingpanguazai/ssd/ssd1/www/no.67808.cn/vendor/topthink/think-template/src/template/driver/File.php ( 2.41 KB )
    138. /yingpanguazai/ssd/ssd1/www/no.67808.cn/vendor/topthink/think-template/src/template/contract/DriverInterface.php ( 0.86 KB )
    139. /yingpanguazai/ssd/ssd1/www/no.67808.cn/runtime/temp/6df755f970a38e704c5414acbc6e8bcd.php ( 12.06 KB )
    140. /yingpanguazai/ssd/ssd1/www/no.67808.cn/vendor/topthink/think-trace/src/Html.php ( 4.42 KB )
    1. CONNECT:[ UseTime:0.000583s ] mysql:host=127.0.0.1;port=3306;dbname=no_67808;charset=utf8mb4
    2. SHOW FULL COLUMNS FROM `fenlei` [ RunTime:0.000639s ]
    3. SELECT * FROM `fenlei` WHERE `fid` = 0 [ RunTime:0.000283s ]
    4. SELECT * FROM `fenlei` WHERE `fid` = 63 [ RunTime:0.000252s ]
    5. SHOW FULL COLUMNS FROM `set` [ RunTime:0.000480s ]
    6. SELECT * FROM `set` [ RunTime:0.000196s ]
    7. SHOW FULL COLUMNS FROM `article` [ RunTime:0.000493s ]
    8. SELECT * FROM `article` WHERE `id` = 468053 LIMIT 1 [ RunTime:0.000686s ]
    9. UPDATE `article` SET `lasttime` = 1775328791 WHERE `id` = 468053 [ RunTime:0.001154s ]
    10. SELECT * FROM `fenlei` WHERE `id` = 65 LIMIT 1 [ RunTime:0.000214s ]
    11. SELECT * FROM `article` WHERE `id` < 468053 ORDER BY `id` DESC LIMIT 1 [ RunTime:0.000450s ]
    12. SELECT * FROM `article` WHERE `id` > 468053 ORDER BY `id` ASC LIMIT 1 [ RunTime:0.000365s ]
    13. SELECT * FROM `article` WHERE `id` < 468053 ORDER BY `id` DESC LIMIT 10 [ RunTime:0.000622s ]
    14. SELECT * FROM `article` WHERE `id` < 468053 ORDER BY `id` DESC LIMIT 10,10 [ RunTime:0.000698s ]
    15. SELECT * FROM `article` WHERE `id` < 468053 ORDER BY `id` DESC LIMIT 20,10 [ RunTime:0.000996s ]
    0.080264s