当前位置:首页>学习笔记>韩光丽教授拔牙间隙关闭中的力学分析学习笔记

韩光丽教授拔牙间隙关闭中的力学分析学习笔记

  • 2026-04-27 03:05:15
韩光丽教授拔牙间隙关闭中的力学分析学习笔记

请在微信客户端打开

1. 生物力学的重要性
  • 核心理念
    : 生物力学和Tweed思想是正畸学的本源与精髓
  • 理论基础
    : 所有正畸技术创新都源于Tweed思想的传承与拓展
  • 实践方向
    : 对Tweed思想的提炼与精深应用是正畸
2. Tweed思想的传承
  • 历史意义
    : Tweed思想并未过时,仍是现代正畸技术的基础
  • 创新关系
    : 当代正畸技术的革新都是对Tweed思维的传承与拓展
  • 应用价值
    : 对Tweed思想的精深应用是解决临床问题的关键

三、间隙关闭的临床问题

1. 间隙关闭的常见问题
  • 典型问题
    : 牙缝无法关闭是临床常见难题,即使牙齿已拉倒但间隙仍在
  • 自我反思
    : 需要思考是否真正掌握了间隙关闭技术
  • 代价评估
    : 间隙关闭不应以后牙支抗或前牙美学标准为代价
2. 间隙关闭的思考
  • 解决关键
    : 理解生物力学效应和牙弓形态三维改变
  • 终极目标
    : 实现美学与功能统一的牙中位目标
  • 核心原则
    : 坚持美学终末定位是成功的关键
1. 美学标准的重要性
  • 决策依据
    : 美学标准是决定拔牙与否的关键指标
  • 动态管控
    : 美学标准也是前牙终末位动态管控的基因指标
  • 方法选择
    : 需根据具体情况选择关闭曲法或滑动法
2. 美学指标的应用——这些美学指标是决定拔牙与否的关键指标,前牙终末的动态管控的金标准。
  • 面部评估
    : 包括面部凸度、唇组织形态和厚度
  • 比例关系
    : 需评估鼻唇颏关系、鼻唇角、颏唇沟
  • 牙列特征
    : 关注上下中线、笑弧、笑线、前牙转矩
  • 咬合关系
    : 评估前牙覆合、覆盖情况

五、间隙关闭的时机

  • 关键问题
    : 何时开始关闭拔牙间隙是首要考虑的问题
  • 基本条件
    需在牙弓排齐整平、打开咬合后进行
  • 临床误区
    : 许多医生对"排齐整平"和"打开咬合"理解不准确
2. 咬合打开的标准
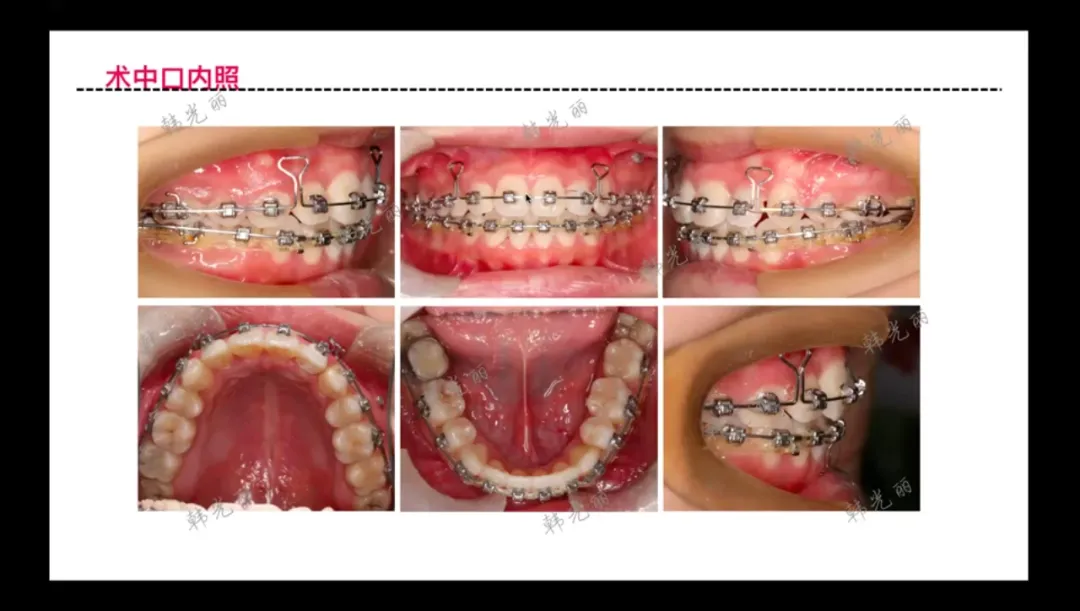
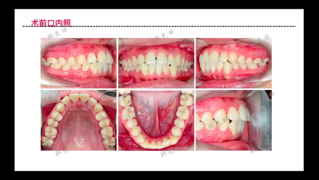
中间下面这张口内正面图覆合较深,前牙内倾,后牙向缺隙中伸长的。
  • 典型错误
    : 前牙内倾、后牙伸长倾倒的"过山车效应"
  • 判断标准
    : 需确保咬合完全打开,弓丝完全入槽
  • 严重后果
    : 咬合未打开直接导致间隙关闭失败

六、间隙关闭的失败原因

1. 过山车效应
  • 临床表现
    : 前牙下沉、后牙倾斜,形成类似过山车的牙弓形态
  • 影像特征
    : 尖牙和双尖牙区出现开合现象
  • 根本原因
    : 使用细丝、牙齿倾斜导致力学系统失效
2. 支抗控制失败
  • 影像表现
    : 根尖骨质大量吸收,骨皮质丧失
  • 临床后果
    : 前牙根部骨开裂、根外露
  • 预防措施
    : 正确评估咬合状态后再开始间隙关闭

七、间隙关闭的正确方法

1. 排齐整平的重要性
  • 过山车效应
    :拔牙病例中若控制不当,会出现前牙远中倾斜、后牙近中倾斜的现象,导致前牙覆合加深和磨牙区开合,间隙关闭过程呈现非直线性的起伏状态
  • 关键控制点
    • 标准托槽定位
      :每个槽沟中线需与临床牙冠中央平齐,确保排齐后牙弓趋近整平状态
    • 弓丝选择
      :必须在方丝阶段(全尺寸或较粗方钢丝)进行间隙关闭,细丝无法有效控制倾斜
    • 第二磨牙处理
      :深Spee曲线患者必须将第二磨牙纳入矫治器,否则第一磨牙无法获得有效伸长,因为它的最低点是第一磨牙、第二磨牙、双尖牙。第一磨牙伸长是不太可能,必须要将第二磨牙纳入。
    • 咬合状态
      :前牙需达到切对切关系或全无接触的近开合状态
  • 实施步骤
    • 上颌制作超Spee曲线摇椅弓,下颌制作反Spee曲线摇椅弓
    • 必须使用原丝(初始弓丝)开始构建这两种弓形
    • 牙弓完全整平后方可开始关闭间隙
2. 摇椅弓的应用
  • 生理性Spee曲线
    :正常范围为0-2.5mm,第一磨牙(6号牙)为最低点,第二磨牙(7号牙)相对较高
  • 临床应用原则
    • 深Spee曲线患者必须使用反Spee曲线摇椅弓(下颌)和超Spee曲线摇椅弓(上颌)
    • 仅平直弓丝无法达到理想牙弓形态时,需通过摇椅弓主动调整纵合曲线
    • 双尖牙和第一磨牙的整平需以第二磨牙纳入为前提条件
如果覆合控制失败,前后牙咬合关系也不可能得不到矫正。前牙尖牙是远中倾斜,弓丝入槽引导前牙2至2覆合加深。

八、覆合控制的方法

  • 核心机制
    • 升高后牙:通过摇椅弓实现
    • 压低前牙:采用多用途弓或种植钉
    • 竖直后牙:调整后牙轴倾度
    • 前倾前牙:维持前牙108°唇倾度(与水平面夹角)
  • 失败后果
    :深覆合未纠正将直接导致前后牙咬合关系无法建立
    2. 临床常用方法
    • 摇椅弓
      :通过弓形设计升高后牙
    • 多用途弓
      :精准控制前牙2-2区压低量,对认定后牙的力量不够,对前牙2-2控制是有效的。
    • 前牙区种植钉
      :推荐使用MIA微型种植体系统
    • 远中倾斜尖牙
      :先用片段弓矫正轴倾度,再纳入主弓丝,避免前牙段弓丝下沉
    • 低角深覆合
      :配合上颌前牙平面导板使用
    • 高角病例
      :推荐2×4多用途弓,重点控制前牙压低
    • 特殊病例处理
    • 三类主要技术

九、支抗控制策略

  • 低角病例处理
    :尽可能采用非拔牙矫治,避免咀嚼率加深导致覆合加重。推荐使用平面导板升高后牙,并尽早将第二恒磨牙纳入矫治体系。
  • 摇椅弓应用
    :适用于所有常规案例,通过特殊弓形设计有效打开并维持咬合关系。
  • 高角病例禁忌
    :禁用平面导板,应采用多用途弓

    (2×4)(2 \times 4)(2×4)

    或种植钉压低前牙,特别适合下颌平面角较陡的病例。
  • 间隙关闭力度
    :使用轻力关闭拔牙间隙,过大的牵引力会导致前牙转矩失控(牙冠内倾),进而加深覆合。
差异性间隙关闭概念:后牙在拔牙间隙当中的比例划分。如果后牙在关闭间隙当中占据非常少甚至完全没有用到后牙近中移动这样的间隙话,这种支抗叫做强支抗,所有拔牙间隙留给前牙。
中度支抗:支抗前牙和后牙的移动距离基本相等平均占据拔牙间隙1/2。
弱支抗:75%甚至更多的拔牙间隙由后牙近中移动来关闭,保持前牙的位置基本不动。
  • 后牙稳定策略
    :通过增加支抗牙数目、使用刚性连接装置(TPA横腭杆、FRC纤维加强复合体)、建立良好尖窝咬合关系或种植钉来减小后牙牙周膜应力。
  • 骨皮质优势
    :下颌骨皮质因骨质致密具有天然支抗优势,仅在三类病例需要整体内收下前牙时才考虑种植钉辅助。
2. 支抗保护装置
  • 方案预评估
    :治疗前需精确评估支抗需求,防止后牙关系失调(不可逆)或前牙过度内倾(可用带阻挡曲弓丝补救)。
  • 装置选择
    • 自锁矫治系统通过降低摩擦力间接保护支抗
    • 舌弓/横腭杆建立刚性连接(韩氏"定海神针"理论)
    • 口外弓适用于第二磨牙未萌出的青少年
  • 临床要点
    • 后牙达尖窝关系时,前牙必须整体内收
    • II类病例推荐上颌拔4下颌拔5以增加支抗牙数目
    • 慎用颌间牵引(可能引起下颌偏斜),优先选择弓内牵引

十一、临床操作演示

在关闭间隙过程当中时对上下颌的牙弓支抗进行控制。
1. 强支抗案例
  • 操作流程
    • 拔牙后立即进行4个象限尖牙向后结扎(结扎丝套结扎圈连接6-3)防止前牙唇倾。
  • 更换方丝弓配合摇椅弓整平牙列
  • 先建立尖牙中性关系,再调整后牙关系
  • 最后进行前牙区控根内收
  • 核心要点
    :全程维持横腭杆,确保上颌后牙绝对稳定
  • 先建立尖牙中性关系,再调整后牙关系
  • 最后进行前牙区控根内收
  • 核心要点
    :全程维持横腭杆,确保上颌后牙绝对稳定
2. 弱支抗案例
  • 力学特点
    :允许后牙前移关闭大部分间隙,前牙仅需少量内收
  • 技术优势
    :更符合生理性移动,特别适用于下颌病例
  • 注意事项
    :需定期检查后牙前移量,防止过度近中移动影响咬合关系

十二、间隙关闭的注意事项

1. 牙齿终末位置
  • 美学控制要点
    :对于前牙严重拥挤但嘴唇薄、颌骨发育不足的患者,需精确控制内收量。若拔牙后内收过度会导致嘴唇变瘪,破坏侧貌美学标准(如杨幂案例所示),使面部失去牙弓支撑而显老态。
  • 临床操作流程
    • 拔除四个双尖牙后,需先将尖牙固定在牙弓内(通过尖牙向后结扎或牵引)
    • 解除前牙拥挤→整平牙列→调整尖牙/磨牙至中性关系
    • 三到三紧密连扎后,逐步近中移动第二双尖牙→第一磨牙→第二磨牙
      2. 间隙分配原则
      • 分段控制技术
        :当前牙内收不足而后牙已达理想中性关系时,需将牙弓分为前牙区与后牙区(通常在2号牙与3号牙之间设计关闭曲),通过分段控制实现精确间隙关闭。
      • 力学优势
        :关闭曲法通过曲的回弹力使牙齿与弓丝同步移动,避免滑动法需要克服的弓丝-托槽摩擦力
十、间隙关闭方法比较
1. 滑动法特点
  • 力学特性
    :通过轻力持续牵引实现间隙关闭,需配合尖牙向后结扎防止前牙唇倾
  • 优势
    :操作简便,适用于大多数常规病例
  • 关键控制
    :必须维持尖牙位置稳定,避免前牙段因排齐力脱离生理位置(牙根应位于基骨中央,冠根角保持约108°)
    2. 关闭曲法特点
    • 力学特性
      :通过弓丝预置曲形结构产生关闭力,力量相对集中
    • 适用范围
      :特别适用于需要精确控制牙齿移动方向的复杂病例
    • 生物力学
      :后牙在基骨中移动阻力较小,无需额外转矩控制

      十三、间隙关闭失败处理

  • 滑动法失控
    • 主弓丝硬度不足时,链状橡皮筋牵引会导致后牙远中倾斜
    • 引发Spee曲线加深,增加前牙负担
    • 根本原因:链状弹力圈力量(通常>70g)远大于推荐结扎力(<70g的瞬时爆发力)力学不可预测性:滑动法的摩擦力系统难以精确控制,特别是当使用弹性牵引直接挂接于弓丝时,缺乏正规训练的医生易犯"见缝挂圈"的错误。
2. 解决方案
  • 分段控制策略
    • 采用关闭曲法可避免滑动摩擦,通过曲的弹性形变回弹力实现牙齿移动
    • 前牙区与后牙区独立控制,特别适用于需要差异内收的病例
  • 力量分级原则
    • 尖牙牵引应使用结扎丝(瞬时力)或轻力弹性结扎(<70g)
    • 避免使用持续性强力链状橡皮筋牵引

十四、临床案例分析

1. 强支抗案例
  • 力学特点
    :摩擦力不可预测导致力系统不可控,主弓丝硬度不足时可能出现尖牙远中倾斜、Spee曲线加深和前牙覆合加深
  • 适用场景
    :推荐用于中度支抗病例,因会产生前后牙双向移动效果(前牙后移+后牙前移)
  • 强制抗处理
    :需附加额外装置如种植钉、横腭杆、拉丝弓或口外弓结合使用
  • 临床占比
    :临床使用率达95%-98%,是主要间隙关闭方法
2. 弱支抗案例
  • 核心机制
    :无需克服滑动摩擦力,后牙段提供强支抗(多牙联合对抗前牙段)
  • 分段控制
    :可将弓丝分为前牙段和后牙段进行独立控制
  • 三维调整
    • 垂直向:通过前牙段弓丝高度实现压低作用
    • 转矩控制:可精确施加正转矩
  • 特殊病例应用
    :当前牙过度直立(<108°)或存在骨性问题时,滑动法无法继续内收,关闭曲成为唯一选择
  • 曲型变化
    :可采用梯形曲、斜形曲、钥匙曲或双钥匙曲等不同形态
  • 滑动法优势
    :中度以下支抗适用,操作相对简单
  • 滑动法缺陷
    :施加力量受摩擦力影响而减小
  • 关闭曲优势
    :节省后牙支抗,三维控制精准,便于施加不同力矩
  • 关闭曲缺陷
    :临床操作复杂度较高

十五、Tweed分析方法

  • 美学评估
    • Tweed分析法结合软组织侧貌改善
    • 颌骨饱满度影响前牙转矩:过度丰满需正转矩,欠丰满需略唇倾维持
  • 骨骼关系
    • 利用青少年颌骨生长潜能实现整体位移
    • 需协调上下颌骨矢状向和宽度关系
  • 历史地位
    :Tweed理论体系在上世纪60年代已形成完整三维诊断体系
2. 难度分析
  • 处理层级
    • 优先解决颌骨宽度和矢状向异常
    • 其次处理牙弓间隙
  • 关键步骤
    • 尖牙先行至中性关系
    • 磨牙建立正确窝沟关系
    • 必须完成整平(咬合打开)作为前提
  • 美学原则
    :始终关注软组织侧貌变化,不能仅关注牙齿排列
  • 核心要素
    • 面部软组织侧貌(首要决定因素)
    • 牙列拥挤度
    • 生长发育状况
    • Spee曲线形态
    • 支抗需求评估
    • 牙弓突度
    • 垂直骨面型(高角/低角)

十六、治疗计划制定

1. 拔牙方案
  • 三维考量
    • 需综合分析颌骨矢状向、垂直向关系
    • 结合软组织面型决定牙齿移动方案
  • 功能目标
    • 解除拥挤提供排齐空间
    • 改善牙弓突度和侧貌
    • 调整尖牙/磨牙关系和中线
    • 确保长期稳定性
      2. 支抗设计
      • 95%以上病例可采用滑动法
      • 关闭曲保留用于特殊病例的关键调整阶段
      • 当前牙直立受限或需要三维精细控制时采用
      • 可灵活设计曲型和分段方式
      • 中度支抗为基础设计
      • 强制抗病例需配合种植钉等辅助装置
      • 滑动法强化
      • 关闭曲选择
      • 临床决策

十七、治疗过程展示

1. 初期治疗
  • 治疗顺序原则
    :先解决颌骨宽度和矢状向异常问题,再处理牙列关系
  • 尖牙引导原则
    :以尖牙关系为导向,先达成中性关系,再调整后牙成尖窝咬合关系
  • 美学优先原则
    :根据美学原则确定前牙内收位置,再确定磨牙位置及支抗类型
  • 传统方法缺陷
    • 使用链状皮圈拉尖牙向后易导致力量控制不佳
    • 产生"过山车效应"造成尖牙远中倾斜
    • 会加深前牙区的深覆合
  • 改进技术
    • 改用结扎丝结合弹性结扎圈
    • 力量更持久稳定
    • 避免尖牙倾斜和覆合加深
      • 使用tieback wire技术
      • 六号牙上设置灰色结扎圈
      • 连接前牙区结扎丝
      • 利用弹性实现稳定后移
      • 不引起前牙区覆合加深
      • 细丝上用链状强行拉尖牙向后
      • 导致尖牙冠近中倾斜
      • 覆合加深
      • 不良技术
      • 推荐技术
2. 间隙关闭
  • 第一步
    • 尖牙远中移动
    • 注意上下牙弓宽度协调
    • 达到上下尖牙中性关系
    • 调整磨牙为尖窝咬合
  • 第二步
    • 前牙段排齐整平
    • 控根关闭拔牙间隙
    • 注意后牙支抗保护
  • 第三步
    • 观察鼻唇角变化
    • 监测上前牙、下前牙唇倾度
    • 防止前牙过于直立
  • 支抗保护要点
    • 强支抗:关闭曲法/滑动法+种植钉/口外弓
    • 中支抗:滑动法
    • 弱支抗:滑动法,前牙整体内收,后牙逐个前移
    • 设计先行:粘托槽前就确定支抗类型
    • 复诊检查:每次复诊观察支抗是否丢失
    • 支抗类型选择:
  • 间隙关闭监测要点
    • 中线位置:一旦错过难以调整
    • 前牙转矩:防止过早直立影响内收
    • 前牙覆合覆盖关系
    • 前牙在基骨中的位置
    • 后牙宽度和尖窝关系
    • Bolton指数协调性:特别注意侧前牙过小情况

十八、治疗效果评估

1. 头影测量对比
2. 面型改善

十九、临床经验

  • 生理性维持要素
    :前牙斜导引导和正常生理角度对维持治疗效果至关重要,每天数百次咀嚼运动中的咬合关系稳定是长期保持的关键
  • Bolton指数处理原则
    :宁可保留个别牙齿间隙(特别是较小牙齿两侧),也要优先保证后牙尖窝关系的最佳匹配
  • 稳定性认知误区
    :反对"正畸复发必然,保持相对"的观点,认为扎实的生物力学基础可实现稳定治疗效果
  • 间隙关闭监测指标
    • 侧貌改变与中线对齐
    • 前牙转矩控制
    • 前牙覆合覆盖关系
    • 牙齿在基骨中的三维位置
    • 后牙宽度协调性

总结

1. 关键点回顾
2. 常见错误避免
  • 牵引钩定位
    :必须精确位于2、3号牙之间居中位置,偏2或偏3会导致滑动法关闭间隙时弓丝移动受阻
  • 力学控制要点
    • 使用足够尺寸的粗方丝维持牙轴直立
    • 避免过大牵引力导致"过山车效应"
    • 保持弓丝平直和中线居中
  • 弓形适配原则
    • 必须与患者基骨解剖匹配
    • 参考模型确定牙轴中心位置
    • 弓丝宽度应与托槽最颊侧位置精确吻合
  • 组织保护要求
    :避免弓形对牙龈、粘膜等软组织造成压迫

二十、临床常见问题

1. 常见问题解决:
  • 临床常见问题
    :在正畸治疗中经常遇到间隙无法关闭的情况,这与操作者的临床经验密切相关
  • 预防措施
    • 正确进行诊断评估
    • 准确实施打开咬合操作
    • 注意个体差异对治疗效果的影响
  • 处理指南
    :将常见问题系统化整理,为临床工作提供明确指导
2)排齐整平易出现的问题及预防
  • 防止前牙唇倾
    • 弓丝末端回弯(cinchback)
    • 弓丝向后结扎(tieback)
    • 尖牙向后结扎(laceback)
      :有效控制尖牙位置,防止前牙过度唇倾
    • 弓丝末端处理技术
    • 尖牙"8"字结扎
      :特殊结扎方式增强支抗控制
  • 复合加深的预防
    • 前牙被迫过度内倾
    • 牙根可能突破骨皮质
    • 后牙向近中倾斜倾倒
    • 严重后果
    • 临床警示
      :严格杜绝。
    • 典型表现
      :牙根暴露等严重并发症
  • 支抗控制要点
    • 维持间隙的必要条件
    • 保证治疗顺利完成的基础
    • 支抗的重要性
    • 第二磨牙处理
      :必须使用蜡固定,这是临床操作的关键步骤

2. 临床解决技巧:
1)关不了的间隙解析与指导
  • 尖牙向后结扎
    : 采用"8"字结扎技术控制尖牙位置
  • 弓丝末端处理
    : 通过回弯(cinchback)或向后结扎(tieback)防止前牙唇倾
  • 矫治力控制
    : 弓丝更换需循序渐进,保持力量柔和持久
  • 整平时机
    : 牙弓未完全平整前不应过早关闭间隙
  • 磨牙控制
    : 使用摇椅形唇弓维持磨牙直立
  • 辅助装置
    : 早期配合腭杆、腭托、舌弓或种植钉增强支抗
  • 检查要点
    :
    • 牙弓平整度
      : 确认弓丝完全入槽且无台阶
    • 牵引钩位置
      : 需居中无阻挡(常见被忽视问题)
    • 咬合干扰
      : 深覆𬌗或个别牙伸长会阻碍牙齿移动
    • 不良习惯
      : 吐舌习惯会产生对抗力(成千上万次舌推力)
    • 肌肉因素
      : 偏侧咀嚼或低角病例肌力过大会限制移动
    • 解剖限制
      : 牙根接触骨皮质或存在牙根粘连
2)拔牙间隙难以关闭:强支抗病例
  • 典型表现
    : 后牙已达中性关系但前牙间隙残留
  • 根本原因
    :
    • 上前牙转矩控制不足导致唇倾
    • 前牙区存在咬合干扰
  • 临床特征
    : 复合覆盖关系良好但间隙顽固
  • 关键技术
    :
    • 使用关闭曲在前牙区施加压低力和正转矩
    • 同步完成内收和控根移动
  • 操作要点
    : 需先充分整平牙弓再进行精确转矩控制
3)拔牙间隙难以关闭:尖牙没建立中性关系
  • 错误表现
    : 在尖牙仍为II类关系时强行关闭间隙
  • 后果
    : 35区间隙难以关闭,存在严重咬合干扰
  • 关键指标
    : 尖牙必须达到I类尖窝关系
  • 分步解决
    :
    • 优先拉上颌尖牙向后建立I类关系
    • 消除上下颌牙弓间的咬合干扰
    • 确认尖牙位置正确后再关闭剩余间隙
  • 常见错误
    : 过早开始整体内收导致治疗停滞
4)拔牙间隙难以关闭:轻中度支抗中磨牙前移困难
  • 解剖因素
    :
    • 低角病例咀嚼肌力过强
    • Spee曲线未完全整平
    • 第二磨牙未纳入矫治系统
    • 第一磨牙近中倾斜
  • 生物力学特点
    : 磨牙在强大咬合力下移动阻力大
  • 关键措施
    :
    • 前牙区使用改良平导打开咬合
    • 必须将第二磨牙纳入矫治系统
    • 通过颌间牵引分散咬合力
  • 注意事项
    : 需要持续评估磨牙直立度
5)拔牙间隙难以关闭:门牙间隙关闭困难
  • 五大病因
    :
    • Bolton指数不调
      : 牙量比例异常需调整
    • 切牙形态问题
      : 需进行外形修整或改形
    • 牙轴异常
      : 需加大轴倾度改善接触关系
    • 切牙过长
      : 需要同步实施压低治疗
    • 舌习惯干扰
      : 吞咽时舌尖异常位置产生持续推力
  • 诊断要点
    : 观察舌体位置和吞咽模式
6)拔牙间隙难以关闭:35微小间隙关闭困难
  • 生物力学原理
    : 通过加大第二前磨牙轴倾度创造关闭空间
  • 联合措施
    : 配合轻力压低增强牙齿近远中向移动
  • 临床提示
    : 0.5mm以下间隙可通过精细调整完成
7)个性化诊断策略实战:面部骨骼牙量骨量难度系数与间隙分析
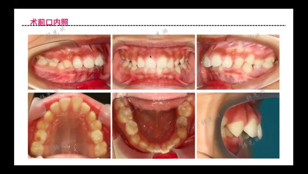
  • 临床表现
    :
    • 凸面型伴开唇露齿
    • 下颌后缩颏部发育不足
    • 深覆𬌗深覆盖
    • 远中磨牙关系
  • 特殊因素
    : 第二磨牙刚萌出,乳磨牙滞留
    • 发育状况
      : 所有第二前磨牙及第二磨牙牙胚存在
    • 关节评估
      : 髁突形态及关节间隙正常
    • 治疗隐患
      : 多颗恒牙尚未萌出增加治疗复杂性
  • 异常指标
    :
    • IMPA 108°(正常88°)提示下前牙严重唇倾
    • FMIA 48°(正常65-68°)反映凸面型严重
    • FMA 24°显示下颌平面角基本正常
  • 颌骨关系
    : ANB 6.1°证实骨性II类倾向
    关键发现
    :
    • 颌平面角16°(男性正常11°)提示平面陡峭
    • PFH/AFH 0.73处于正常范围低限
    • 治疗策略
      : 需要控制颌平面防止进一步顺时针旋转
    • 比例异常
      : 全颏厚>上唇厚(正常应相等)
    • 面型评估
      : Z角44°(正常70-80°)证实严重凸面型
    • 下切牙定位
      : 需要更直立位置补偿软组织不平衡
    • 颅面难度值
      : 96分(中度难度)
    • 间隙分析值
      : 5.5分
    • 总难度值
      : 101.5分(中重度难度范围)
    • 治疗决策
      : 拔除四个第一前磨牙及滞留乳磨牙
    8)个性化诊断策略实战:治疗设计
    • 双期治疗策略
      • 第一期:口外弓+Activator导下颌向前
      • 第二期:固定矫治器精细调整
    • 拔牙方案
      :拔除14,24,34,44,55,65,75,85共8颗牙齿,为牙列排齐创造间隙
    • 支抗控制
      • TPA(横腭杆)加强后牙支抗
      • 上颌后牙区种植钉辅助前牙内收
    • 治疗阶段
      • 精调阶段确保咬合关系
      • 保持器佩戴需超过2年以维持疗效
    9)个性化诊断策略实战:
      • 横腭杆提供主要支抗控制
      • 种植钉用于精确控制前牙移动方向
      • 采用滑动法关闭拔牙间隙
      • 尖牙首先达到中性关系(实际出现超中性移动)
      • 原因分析:未及时取下尖牙上的太白Y形牵引装置
      • 间隙关闭技术
      • 支抗系统
    • 生物力学控制
      • 尖牙过度后移通过带环系统补偿
      • 最终面型改善显著(下唇仍轻度外翻)
      • 种植钉主要改变牙根生物力学方向
      • 实现前牙控根移动和牙槽骨改建
      • 力学方向控制
      • 治疗意外处理
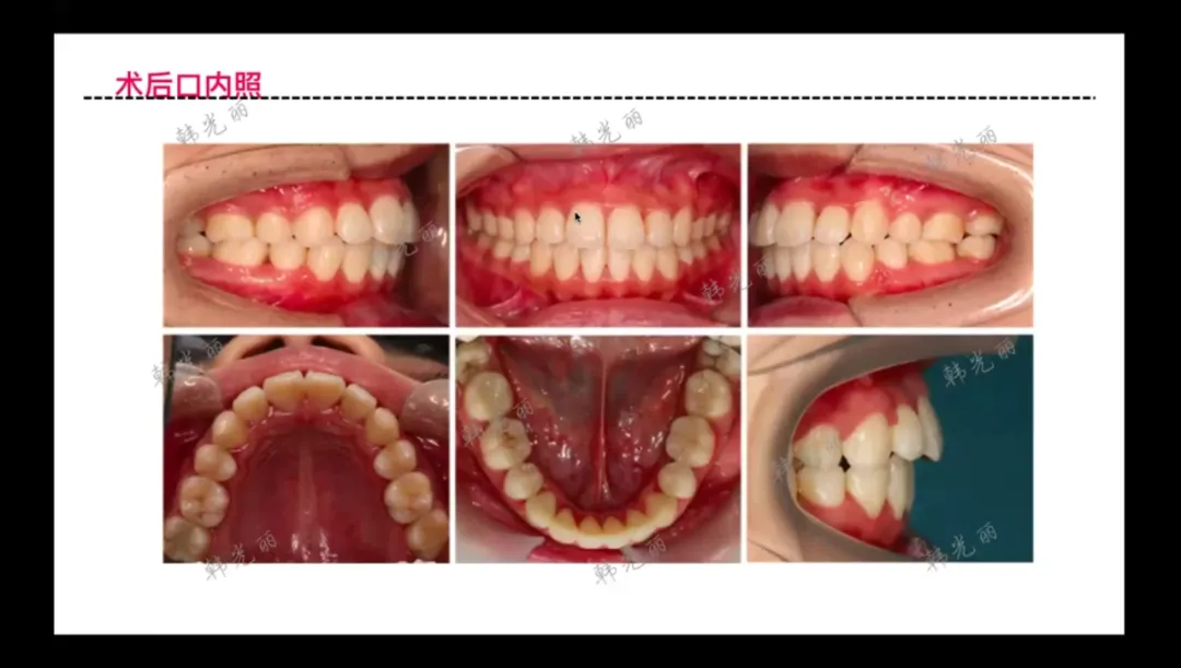
    • 治疗效果评估
      • 全牙区牙根平行度理想
      • 前牙区牙槽骨形态改善明显
      • 颏部发育显著改善(仍较正常人稍欠)
      • 咬合关系达到"终身稳定"标准
      • 面型改善
      • 口腔状况
    • 头影测量分析
      • 平面角改善至8°(原16°)
      • PFH/AFH比值0.74(理想范围0.65-0.75)
      • IMPA 89°(减少19°达到理想值)
      • FMIA 67°(从44°显著改善)
      • FMA 24°(保持稳定)
      • SNA 79.7°(减少1.4°)
      • SNB 78.4°(增加3.5°)
      • ANB 1.3°(改善4.8°)
      • 矢状向改变
      • Tweed三角
      • 垂直向改变
    • 治疗前后对比
    组织改变
    • 硬软组织均发生显著改建
    • 前牙区牙槽骨形态优化
    治疗特色:
    通过力学方向控制实现骨性改变
    达到"牙-骨"协调的理想治疗效果
    女孩双颌前凸案例
      • 患者特征
        :19岁女性,表现为严重双颌前凸伴朝天鼻、鼻梁塌陷等面部特征
      • 口腔情况
        :牙列整齐但存在双颌前凸,兼具牙性与骨性前突特征
    治疗方案实施
      • 初始方法
        :采用滑动法关闭间隙,使用中重度支抗进行控制
      • 力学控制
        :通过种植钉(粽子丁)实现控根和力学方向调整,重点控制上颌骨及牙根部
      • 治疗转换
        :当尖牙/后牙已达中性关系但前牙未完全内收时,改用关闭曲法完成剩余间隙关闭
      • 精细调整
        :同步实施前牙段压低操作及正转矩加深处
    治疗效果评估
      • 面部改善
        :鼻小柱下方区域(颏部、唇部、唇峰、鼻唇角)获得显著形态改变
      • 局限说明
        :鼻梁塌陷问题仍存在(骨性结构限制)
    • 咬合关系验证
    咬合状态
    :建立完美的牙合关系,实现功能性咬合与美学效果的统一
    拔牙间隙关闭相关问题
      • 二乘四特点
        :避开双尖牙区,专门针对前牙压低设计,避免后牙垂直向伸长
      • 常规摇椅弓特点
        :会导致后牙伸长,需要额外控制后牙高度
      • 排牙机制
        :即便使用二乘四技术,仍需有细丝进行牙齿排齐,不能完全避开双尖牙区
    • 支抗钉使用时机与目的
      • 改变力学牵引方向
      • 控制前牙内收转矩
      • 引导牙根骨改建
      • 最佳选择
        :横腭杆(TPA)是解决支抗控制的主要方法
      • 支抗钉用途
      • 使用效果
        :使前牙在正转矩状态下内收,改善牙槽骨突度
    • 不锈钢丝关间隙技术要点
      • 采用尖牙向后结扎技术
      • 避免前牙区因钢丝交互力导致唇倾
      • 全尺寸不锈钢丝已有良好整平功能
      • 仅在咬合未完全打开时少量添加
      • 添加过多会导致入槽困难
      • 摇椅弓添加
      • 防唇倾方法
    • 过山车效应分析与预防
      • 整平未完成即开始关间隙
      • 使用过粗方丝
      • 施加过强力量(如频繁更换链状皮圈)
      • 产生原因
      • 正确做法
        :严格遵循治疗阶段,完成整平后再关间隙
    • 下颌后牙前移控制
      • 使用粗丝滑动法关闭间隙
      • 添加Spee曲线进行整平
      • 确保后牙段形成向后向下的弓形
      • 预防措施
    • 二类牵引使用原则
      • 优先使用功能矫正器
      • 通过良好整平和直立实现咬合调整
      • 易导致磨牙近中倾斜
      • 可能引起舌侧倾倒
      • 青少年第二磨牙未萌出时风险更高
      • 慎用原因
      • 替代方案
      • 适用情况
        :仅用于个别牙精细调整阶段
    • 尖牙控制技术
      • 从治疗开始即实施
      • 持续至整平完成
      • 主要目的为防止前牙唇倾
      • 使用结扎圈套在牵引钩上
      • 附加长结扎丝固定于尖牙
      • 可将低位尖牙逐步带入正确位置
      • T形牵引技术
      • 尖牙向后结扎
    • 间隙关闭常见问题处理
      • 必须先行打开咬合
      • 可允许轻度开合状态
      • 绝对避免前牙咬住下牙
      • 确保第二磨牙纳入弓形
      • 使用足够粗的方丝维持弓形
      • 后牙区变窄
      • 咬合干扰
    • 转矩控制方法
      • 关闭曲法:在主弓丝前牙段加大转矩
      • 滑动法:通过摇椅弓产生转矩
      • 辅助装置:使用转矩簧进行精细控制
      • 实现途径
      • 判断标准
        :以获得足够正转矩为目标,方法可灵活选择
    • 咬合打开判断标准
      • 通用原则
        :任何案例均可使用摇椅弓打开咬合
      • 高角病例
        :需特别注意控制后牙高度
      • 技术本质
        :理解力学原理比机械选择技术更重要

    最新文章

    随机文章

    基本 文件 流程 错误 SQL 调试
    1. 请求信息 : 2026-04-27 12:48:32 HTTP/2.0 GET : https://67808.cn/a/484108.html
    2. 运行时间 : 0.082044s [ 吞吐率:12.19req/s ] 内存消耗:4,768.77kb 文件加载:140
    3. 缓存信息 : 0 reads,0 writes
    4. 会话信息 : SESSION_ID=43960aeb6a9074679e1a12a79d4eda3e
    1. /yingpanguazai/ssd/ssd1/www/no.67808.cn/public/index.php ( 0.79 KB )
    2. /yingpanguazai/ssd/ssd1/www/no.67808.cn/vendor/autoload.php ( 0.17 KB )
    3. /yingpanguazai/ssd/ssd1/www/no.67808.cn/vendor/composer/autoload_real.php ( 2.49 KB )
    4. /yingpanguazai/ssd/ssd1/www/no.67808.cn/vendor/composer/platform_check.php ( 0.90 KB )
    5. /yingpanguazai/ssd/ssd1/www/no.67808.cn/vendor/composer/ClassLoader.php ( 14.03 KB )
    6. /yingpanguazai/ssd/ssd1/www/no.67808.cn/vendor/composer/autoload_static.php ( 4.90 KB )
    7. /yingpanguazai/ssd/ssd1/www/no.67808.cn/vendor/topthink/think-helper/src/helper.php ( 8.34 KB )
    8. /yingpanguazai/ssd/ssd1/www/no.67808.cn/vendor/topthink/think-validate/src/helper.php ( 2.19 KB )
    9. /yingpanguazai/ssd/ssd1/www/no.67808.cn/vendor/topthink/think-orm/src/helper.php ( 1.47 KB )
    10. /yingpanguazai/ssd/ssd1/www/no.67808.cn/vendor/topthink/think-orm/stubs/load_stubs.php ( 0.16 KB )
    11. /yingpanguazai/ssd/ssd1/www/no.67808.cn/vendor/topthink/framework/src/think/Exception.php ( 1.69 KB )
    12. /yingpanguazai/ssd/ssd1/www/no.67808.cn/vendor/topthink/think-container/src/Facade.php ( 2.71 KB )
    13. /yingpanguazai/ssd/ssd1/www/no.67808.cn/vendor/symfony/deprecation-contracts/function.php ( 0.99 KB )
    14. /yingpanguazai/ssd/ssd1/www/no.67808.cn/vendor/symfony/polyfill-mbstring/bootstrap.php ( 8.26 KB )
    15. /yingpanguazai/ssd/ssd1/www/no.67808.cn/vendor/symfony/polyfill-mbstring/bootstrap80.php ( 9.78 KB )
    16. /yingpanguazai/ssd/ssd1/www/no.67808.cn/vendor/symfony/var-dumper/Resources/functions/dump.php ( 1.49 KB )
    17. /yingpanguazai/ssd/ssd1/www/no.67808.cn/vendor/topthink/think-dumper/src/helper.php ( 0.18 KB )
    18. /yingpanguazai/ssd/ssd1/www/no.67808.cn/vendor/symfony/var-dumper/VarDumper.php ( 4.30 KB )
    19. /yingpanguazai/ssd/ssd1/www/no.67808.cn/vendor/topthink/framework/src/think/App.php ( 15.30 KB )
    20. /yingpanguazai/ssd/ssd1/www/no.67808.cn/vendor/topthink/think-container/src/Container.php ( 15.76 KB )
    21. /yingpanguazai/ssd/ssd1/www/no.67808.cn/vendor/psr/container/src/ContainerInterface.php ( 1.02 KB )
    22. /yingpanguazai/ssd/ssd1/www/no.67808.cn/app/provider.php ( 0.19 KB )
    23. /yingpanguazai/ssd/ssd1/www/no.67808.cn/vendor/topthink/framework/src/think/Http.php ( 6.04 KB )
    24. /yingpanguazai/ssd/ssd1/www/no.67808.cn/vendor/topthink/think-helper/src/helper/Str.php ( 7.29 KB )
    25. /yingpanguazai/ssd/ssd1/www/no.67808.cn/vendor/topthink/framework/src/think/Env.php ( 4.68 KB )
    26. /yingpanguazai/ssd/ssd1/www/no.67808.cn/app/common.php ( 0.03 KB )
    27. /yingpanguazai/ssd/ssd1/www/no.67808.cn/vendor/topthink/framework/src/helper.php ( 18.78 KB )
    28. /yingpanguazai/ssd/ssd1/www/no.67808.cn/vendor/topthink/framework/src/think/Config.php ( 5.54 KB )
    29. /yingpanguazai/ssd/ssd1/www/no.67808.cn/config/app.php ( 0.95 KB )
    30. /yingpanguazai/ssd/ssd1/www/no.67808.cn/config/cache.php ( 0.78 KB )
    31. /yingpanguazai/ssd/ssd1/www/no.67808.cn/config/console.php ( 0.23 KB )
    32. /yingpanguazai/ssd/ssd1/www/no.67808.cn/config/cookie.php ( 0.56 KB )
    33. /yingpanguazai/ssd/ssd1/www/no.67808.cn/config/database.php ( 2.48 KB )
    34. /yingpanguazai/ssd/ssd1/www/no.67808.cn/vendor/topthink/framework/src/think/facade/Env.php ( 1.67 KB )
    35. /yingpanguazai/ssd/ssd1/www/no.67808.cn/config/filesystem.php ( 0.61 KB )
    36. /yingpanguazai/ssd/ssd1/www/no.67808.cn/config/lang.php ( 0.91 KB )
    37. /yingpanguazai/ssd/ssd1/www/no.67808.cn/config/log.php ( 1.35 KB )
    38. /yingpanguazai/ssd/ssd1/www/no.67808.cn/config/middleware.php ( 0.19 KB )
    39. /yingpanguazai/ssd/ssd1/www/no.67808.cn/config/route.php ( 1.89 KB )
    40. /yingpanguazai/ssd/ssd1/www/no.67808.cn/config/session.php ( 0.57 KB )
    41. /yingpanguazai/ssd/ssd1/www/no.67808.cn/config/trace.php ( 0.34 KB )
    42. /yingpanguazai/ssd/ssd1/www/no.67808.cn/config/view.php ( 0.82 KB )
    43. /yingpanguazai/ssd/ssd1/www/no.67808.cn/app/event.php ( 0.25 KB )
    44. /yingpanguazai/ssd/ssd1/www/no.67808.cn/vendor/topthink/framework/src/think/Event.php ( 7.67 KB )
    45. /yingpanguazai/ssd/ssd1/www/no.67808.cn/app/service.php ( 0.13 KB )
    46. /yingpanguazai/ssd/ssd1/www/no.67808.cn/app/AppService.php ( 0.26 KB )
    47. /yingpanguazai/ssd/ssd1/www/no.67808.cn/vendor/topthink/framework/src/think/Service.php ( 1.64 KB )
    48. /yingpanguazai/ssd/ssd1/www/no.67808.cn/vendor/topthink/framework/src/think/Lang.php ( 7.35 KB )
    49. /yingpanguazai/ssd/ssd1/www/no.67808.cn/vendor/topthink/framework/src/lang/zh-cn.php ( 13.70 KB )
    50. /yingpanguazai/ssd/ssd1/www/no.67808.cn/vendor/topthink/framework/src/think/initializer/Error.php ( 3.31 KB )
    51. /yingpanguazai/ssd/ssd1/www/no.67808.cn/vendor/topthink/framework/src/think/initializer/RegisterService.php ( 1.33 KB )
    52. /yingpanguazai/ssd/ssd1/www/no.67808.cn/vendor/services.php ( 0.14 KB )
    53. /yingpanguazai/ssd/ssd1/www/no.67808.cn/vendor/topthink/framework/src/think/service/PaginatorService.php ( 1.52 KB )
    54. /yingpanguazai/ssd/ssd1/www/no.67808.cn/vendor/topthink/framework/src/think/service/ValidateService.php ( 0.99 KB )
    55. /yingpanguazai/ssd/ssd1/www/no.67808.cn/vendor/topthink/framework/src/think/service/ModelService.php ( 2.04 KB )
    56. /yingpanguazai/ssd/ssd1/www/no.67808.cn/vendor/topthink/think-trace/src/Service.php ( 0.77 KB )
    57. /yingpanguazai/ssd/ssd1/www/no.67808.cn/vendor/topthink/framework/src/think/Middleware.php ( 6.72 KB )
    58. /yingpanguazai/ssd/ssd1/www/no.67808.cn/vendor/topthink/framework/src/think/initializer/BootService.php ( 0.77 KB )
    59. /yingpanguazai/ssd/ssd1/www/no.67808.cn/vendor/topthink/think-orm/src/Paginator.php ( 11.86 KB )
    60. /yingpanguazai/ssd/ssd1/www/no.67808.cn/vendor/topthink/think-validate/src/Validate.php ( 63.20 KB )
    61. /yingpanguazai/ssd/ssd1/www/no.67808.cn/vendor/topthink/think-orm/src/Model.php ( 23.55 KB )
    62. /yingpanguazai/ssd/ssd1/www/no.67808.cn/vendor/topthink/think-orm/src/model/concern/Attribute.php ( 21.05 KB )
    63. /yingpanguazai/ssd/ssd1/www/no.67808.cn/vendor/topthink/think-orm/src/model/concern/AutoWriteData.php ( 4.21 KB )
    64. /yingpanguazai/ssd/ssd1/www/no.67808.cn/vendor/topthink/think-orm/src/model/concern/Conversion.php ( 6.44 KB )
    65. /yingpanguazai/ssd/ssd1/www/no.67808.cn/vendor/topthink/think-orm/src/model/concern/DbConnect.php ( 5.16 KB )
    66. /yingpanguazai/ssd/ssd1/www/no.67808.cn/vendor/topthink/think-orm/src/model/concern/ModelEvent.php ( 2.33 KB )
    67. /yingpanguazai/ssd/ssd1/www/no.67808.cn/vendor/topthink/think-orm/src/model/concern/RelationShip.php ( 28.29 KB )
    68. /yingpanguazai/ssd/ssd1/www/no.67808.cn/vendor/topthink/think-helper/src/contract/Arrayable.php ( 0.09 KB )
    69. /yingpanguazai/ssd/ssd1/www/no.67808.cn/vendor/topthink/think-helper/src/contract/Jsonable.php ( 0.13 KB )
    70. /yingpanguazai/ssd/ssd1/www/no.67808.cn/vendor/topthink/think-orm/src/model/contract/Modelable.php ( 0.09 KB )
    71. /yingpanguazai/ssd/ssd1/www/no.67808.cn/vendor/topthink/framework/src/think/Db.php ( 2.88 KB )
    72. /yingpanguazai/ssd/ssd1/www/no.67808.cn/vendor/topthink/think-orm/src/DbManager.php ( 8.52 KB )
    73. /yingpanguazai/ssd/ssd1/www/no.67808.cn/vendor/topthink/framework/src/think/Log.php ( 6.28 KB )
    74. /yingpanguazai/ssd/ssd1/www/no.67808.cn/vendor/topthink/framework/src/think/Manager.php ( 3.92 KB )
    75. /yingpanguazai/ssd/ssd1/www/no.67808.cn/vendor/psr/log/src/LoggerTrait.php ( 2.69 KB )
    76. /yingpanguazai/ssd/ssd1/www/no.67808.cn/vendor/psr/log/src/LoggerInterface.php ( 2.71 KB )
    77. /yingpanguazai/ssd/ssd1/www/no.67808.cn/vendor/topthink/framework/src/think/Cache.php ( 4.92 KB )
    78. /yingpanguazai/ssd/ssd1/www/no.67808.cn/vendor/psr/simple-cache/src/CacheInterface.php ( 4.71 KB )
    79. /yingpanguazai/ssd/ssd1/www/no.67808.cn/vendor/topthink/think-helper/src/helper/Arr.php ( 16.63 KB )
    80. /yingpanguazai/ssd/ssd1/www/no.67808.cn/vendor/topthink/framework/src/think/cache/driver/File.php ( 7.84 KB )
    81. /yingpanguazai/ssd/ssd1/www/no.67808.cn/vendor/topthink/framework/src/think/cache/Driver.php ( 9.03 KB )
    82. /yingpanguazai/ssd/ssd1/www/no.67808.cn/vendor/topthink/framework/src/think/contract/CacheHandlerInterface.php ( 1.99 KB )
    83. /yingpanguazai/ssd/ssd1/www/no.67808.cn/app/Request.php ( 0.09 KB )
    84. /yingpanguazai/ssd/ssd1/www/no.67808.cn/vendor/topthink/framework/src/think/Request.php ( 55.78 KB )
    85. /yingpanguazai/ssd/ssd1/www/no.67808.cn/app/middleware.php ( 0.25 KB )
    86. /yingpanguazai/ssd/ssd1/www/no.67808.cn/vendor/topthink/framework/src/think/Pipeline.php ( 2.61 KB )
    87. /yingpanguazai/ssd/ssd1/www/no.67808.cn/vendor/topthink/think-trace/src/TraceDebug.php ( 3.40 KB )
    88. /yingpanguazai/ssd/ssd1/www/no.67808.cn/vendor/topthink/framework/src/think/middleware/SessionInit.php ( 1.94 KB )
    89. /yingpanguazai/ssd/ssd1/www/no.67808.cn/vendor/topthink/framework/src/think/Session.php ( 1.80 KB )
    90. /yingpanguazai/ssd/ssd1/www/no.67808.cn/vendor/topthink/framework/src/think/session/driver/File.php ( 6.27 KB )
    91. /yingpanguazai/ssd/ssd1/www/no.67808.cn/vendor/topthink/framework/src/think/contract/SessionHandlerInterface.php ( 0.87 KB )
    92. /yingpanguazai/ssd/ssd1/www/no.67808.cn/vendor/topthink/framework/src/think/session/Store.php ( 7.12 KB )
    93. /yingpanguazai/ssd/ssd1/www/no.67808.cn/vendor/topthink/framework/src/think/Route.php ( 23.73 KB )
    94. /yingpanguazai/ssd/ssd1/www/no.67808.cn/vendor/topthink/framework/src/think/route/RuleName.php ( 5.75 KB )
    95. /yingpanguazai/ssd/ssd1/www/no.67808.cn/vendor/topthink/framework/src/think/route/Domain.php ( 2.53 KB )
    96. /yingpanguazai/ssd/ssd1/www/no.67808.cn/vendor/topthink/framework/src/think/route/RuleGroup.php ( 22.43 KB )
    97. /yingpanguazai/ssd/ssd1/www/no.67808.cn/vendor/topthink/framework/src/think/route/Rule.php ( 26.95 KB )
    98. /yingpanguazai/ssd/ssd1/www/no.67808.cn/vendor/topthink/framework/src/think/route/RuleItem.php ( 9.78 KB )
    99. /yingpanguazai/ssd/ssd1/www/no.67808.cn/route/app.php ( 1.72 KB )
    100. /yingpanguazai/ssd/ssd1/www/no.67808.cn/vendor/topthink/framework/src/think/facade/Route.php ( 4.70 KB )
    101. /yingpanguazai/ssd/ssd1/www/no.67808.cn/vendor/topthink/framework/src/think/route/dispatch/Controller.php ( 4.74 KB )
    102. /yingpanguazai/ssd/ssd1/www/no.67808.cn/vendor/topthink/framework/src/think/route/Dispatch.php ( 10.44 KB )
    103. /yingpanguazai/ssd/ssd1/www/no.67808.cn/app/controller/Index.php ( 4.81 KB )
    104. /yingpanguazai/ssd/ssd1/www/no.67808.cn/app/BaseController.php ( 2.05 KB )
    105. /yingpanguazai/ssd/ssd1/www/no.67808.cn/vendor/topthink/think-orm/src/facade/Db.php ( 0.93 KB )
    106. /yingpanguazai/ssd/ssd1/www/no.67808.cn/vendor/topthink/think-orm/src/db/connector/Mysql.php ( 5.44 KB )
    107. /yingpanguazai/ssd/ssd1/www/no.67808.cn/vendor/topthink/think-orm/src/db/PDOConnection.php ( 52.47 KB )
    108. /yingpanguazai/ssd/ssd1/www/no.67808.cn/vendor/topthink/think-orm/src/db/Connection.php ( 8.39 KB )
    109. /yingpanguazai/ssd/ssd1/www/no.67808.cn/vendor/topthink/think-orm/src/db/ConnectionInterface.php ( 4.57 KB )
    110. /yingpanguazai/ssd/ssd1/www/no.67808.cn/vendor/topthink/think-orm/src/db/builder/Mysql.php ( 16.58 KB )
    111. /yingpanguazai/ssd/ssd1/www/no.67808.cn/vendor/topthink/think-orm/src/db/Builder.php ( 24.06 KB )
    112. /yingpanguazai/ssd/ssd1/www/no.67808.cn/vendor/topthink/think-orm/src/db/BaseBuilder.php ( 27.50 KB )
    113. /yingpanguazai/ssd/ssd1/www/no.67808.cn/vendor/topthink/think-orm/src/db/Query.php ( 15.71 KB )
    114. /yingpanguazai/ssd/ssd1/www/no.67808.cn/vendor/topthink/think-orm/src/db/BaseQuery.php ( 45.13 KB )
    115. /yingpanguazai/ssd/ssd1/www/no.67808.cn/vendor/topthink/think-orm/src/db/concern/TimeFieldQuery.php ( 7.43 KB )
    116. /yingpanguazai/ssd/ssd1/www/no.67808.cn/vendor/topthink/think-orm/src/db/concern/AggregateQuery.php ( 3.26 KB )
    117. /yingpanguazai/ssd/ssd1/www/no.67808.cn/vendor/topthink/think-orm/src/db/concern/ModelRelationQuery.php ( 20.07 KB )
    118. /yingpanguazai/ssd/ssd1/www/no.67808.cn/vendor/topthink/think-orm/src/db/concern/ParamsBind.php ( 3.66 KB )
    119. /yingpanguazai/ssd/ssd1/www/no.67808.cn/vendor/topthink/think-orm/src/db/concern/ResultOperation.php ( 7.01 KB )
    120. /yingpanguazai/ssd/ssd1/www/no.67808.cn/vendor/topthink/think-orm/src/db/concern/WhereQuery.php ( 19.37 KB )
    121. /yingpanguazai/ssd/ssd1/www/no.67808.cn/vendor/topthink/think-orm/src/db/concern/JoinAndViewQuery.php ( 7.11 KB )
    122. /yingpanguazai/ssd/ssd1/www/no.67808.cn/vendor/topthink/think-orm/src/db/concern/TableFieldInfo.php ( 2.63 KB )
    123. /yingpanguazai/ssd/ssd1/www/no.67808.cn/vendor/topthink/think-orm/src/db/concern/Transaction.php ( 2.77 KB )
    124. /yingpanguazai/ssd/ssd1/www/no.67808.cn/vendor/topthink/framework/src/think/log/driver/File.php ( 5.96 KB )
    125. /yingpanguazai/ssd/ssd1/www/no.67808.cn/vendor/topthink/framework/src/think/contract/LogHandlerInterface.php ( 0.86 KB )
    126. /yingpanguazai/ssd/ssd1/www/no.67808.cn/vendor/topthink/framework/src/think/log/Channel.php ( 3.89 KB )
    127. /yingpanguazai/ssd/ssd1/www/no.67808.cn/vendor/topthink/framework/src/think/event/LogRecord.php ( 1.02 KB )
    128. /yingpanguazai/ssd/ssd1/www/no.67808.cn/vendor/topthink/think-helper/src/Collection.php ( 16.47 KB )
    129. /yingpanguazai/ssd/ssd1/www/no.67808.cn/vendor/topthink/framework/src/think/facade/View.php ( 1.70 KB )
    130. /yingpanguazai/ssd/ssd1/www/no.67808.cn/vendor/topthink/framework/src/think/View.php ( 4.39 KB )
    131. /yingpanguazai/ssd/ssd1/www/no.67808.cn/vendor/topthink/framework/src/think/Response.php ( 8.81 KB )
    132. /yingpanguazai/ssd/ssd1/www/no.67808.cn/vendor/topthink/framework/src/think/response/View.php ( 3.29 KB )
    133. /yingpanguazai/ssd/ssd1/www/no.67808.cn/vendor/topthink/framework/src/think/Cookie.php ( 6.06 KB )
    134. /yingpanguazai/ssd/ssd1/www/no.67808.cn/vendor/topthink/think-view/src/Think.php ( 8.38 KB )
    135. /yingpanguazai/ssd/ssd1/www/no.67808.cn/vendor/topthink/framework/src/think/contract/TemplateHandlerInterface.php ( 1.60 KB )
    136. /yingpanguazai/ssd/ssd1/www/no.67808.cn/vendor/topthink/think-template/src/Template.php ( 46.61 KB )
    137. /yingpanguazai/ssd/ssd1/www/no.67808.cn/vendor/topthink/think-template/src/template/driver/File.php ( 2.41 KB )
    138. /yingpanguazai/ssd/ssd1/www/no.67808.cn/vendor/topthink/think-template/src/template/contract/DriverInterface.php ( 0.86 KB )
    139. /yingpanguazai/ssd/ssd1/www/no.67808.cn/runtime/temp/6df755f970a38e704c5414acbc6e8bcd.php ( 12.06 KB )
    140. /yingpanguazai/ssd/ssd1/www/no.67808.cn/vendor/topthink/think-trace/src/Html.php ( 4.42 KB )
    1. CONNECT:[ UseTime:0.000507s ] mysql:host=127.0.0.1;port=3306;dbname=no_67808;charset=utf8mb4
    2. SHOW FULL COLUMNS FROM `fenlei` [ RunTime:0.000809s ]
    3. SELECT * FROM `fenlei` WHERE `fid` = 0 [ RunTime:0.000334s ]
    4. SELECT * FROM `fenlei` WHERE `fid` = 63 [ RunTime:0.000305s ]
    5. SHOW FULL COLUMNS FROM `set` [ RunTime:0.000542s ]
    6. SELECT * FROM `set` [ RunTime:0.000217s ]
    7. SHOW FULL COLUMNS FROM `article` [ RunTime:0.000614s ]
    8. SELECT * FROM `article` WHERE `id` = 484108 LIMIT 1 [ RunTime:0.000691s ]
    9. UPDATE `article` SET `lasttime` = 1777265312 WHERE `id` = 484108 [ RunTime:0.000967s ]
    10. SELECT * FROM `fenlei` WHERE `id` = 65 LIMIT 1 [ RunTime:0.000245s ]
    11. SELECT * FROM `article` WHERE `id` < 484108 ORDER BY `id` DESC LIMIT 1 [ RunTime:0.000470s ]
    12. SELECT * FROM `article` WHERE `id` > 484108 ORDER BY `id` ASC LIMIT 1 [ RunTime:0.000435s ]
    13. SELECT * FROM `article` WHERE `id` < 484108 ORDER BY `id` DESC LIMIT 10 [ RunTime:0.000922s ]
    14. SELECT * FROM `article` WHERE `id` < 484108 ORDER BY `id` DESC LIMIT 10,10 [ RunTime:0.001162s ]
    15. SELECT * FROM `article` WHERE `id` < 484108 ORDER BY `id` DESC LIMIT 20,10 [ RunTime:0.000972s ]
    0.083730s