当前位置:首页>学习笔记>学习笔记〡隐裂牙的诊疗决策进展

学习笔记〡隐裂牙的诊疗决策进展

  • 2026-05-19 15:03:13
学习笔记〡隐裂牙的诊疗决策进展

大家好~

新年启封,万象更新

本月的 “海曲论道齿学新知” 又和大家见面了!

本次和大家分享的是有关隐裂牙的诊疗决策进展

接下来让我们一同深入了解~

隐裂牙的诊疗决策进展
PART 01
临床背景

牙隐裂是一个普遍的问题,在成年人群中,患病率较高,有研究表明,70% 的患者至少有一颗后牙有明显的裂缝;也是继龋齿和牙周病之后牙齿脱落的第三大原因;由于早期牙隐裂的隐匿性,以及结合牙髓炎或根尖周病变后表现复杂,且容易与其他疾病混淆,导致临床诊疗困难。因此,如何有效诊断和治疗牙隐裂一直是许多临床工作者关注的热点和棘手问题。

牙隐裂( Cracked tooth)(如图1、图2所示) 指牙冠表面出现的不易察觉的非生理性微小裂纹,是从牙冠开始并延伸到龈下的不完全折裂,通常为近远中方向,裂纹可以延伸至一个或两个边缘嵴并穿过近端表面,有可能累及牙髓或牙根,导致牙髓和根尖周病变。

图1图2:隐裂牙及裂纹

PART 02
牙隐裂的临床表现

牙隐裂的临床表现多样,可出现咬合痛、冷热刺激痛或自发痛,与裂纹的深度和范围有关。其中,咬合痛被认为是牙隐裂最常见的症状。

(1)在Hilton等人纳入2858颗隐裂牙的队列研究中发现,45%的患牙有一种或多种症状:冷刺激痛是最常见的症状(37%),咬痛(16%)和自发性疼痛(11%)较不常见。

(2)有症状的隐裂牙中,只有一种症状的占65%,其中78%的人只有冷刺激痛。有些患牙症状不明显,难以定位,会持续数周甚至数月。对于病史长达数月甚至数年的患牙,裂纹深度可能已达牙本质深层,出现牙髓或根尖的病变的几率较大。有些患者口内常见明显的不均匀磨耗导致的高陡牙尖,全口牙合力分布不均匀,或长期偏侧咀嚼,该患牙位于长期负担较重侧。

(3)临床上症状类似牙髓炎或根尖周炎但未发现龋损等明显病因时应考虑到牙隐裂的可能性。

PART 03

牙隐裂的诊断方法

0

美国牙体牙髓病学协会根据裂纹位置和深度将有裂纹的牙齿分为五类:牙釉质折裂、牙尖折裂、牙隐裂、完全牙裂、根裂五类。Longridge等提出根据隐裂纹深度将牙隐裂分为釉质裂纹、牙本质裂、裂纹累及牙髓、根裂四类。由于牙隐裂临床表现复杂多样,裂纹较小或与牙齿的发育沟重叠不易被发现,所以临床上牙隐裂的诊断比较困难。目前牙隐裂主要通过病史、主诉症状和临床检查结果综合判断。一项来自国家牙科实践研究网络的研究对2858位患者的隐裂后牙进行检查,发现2/3的患者有副功能运动。临床检查方法包括透照、咬诊、叩诊、显微镜(放大14~18倍)、染色,影像学检查(如CBCT)等。Banerji等学者不推荐咬诊试验,认为应用定点力负载可能会导致隐裂牙折裂。影像学X线片检查只能侦查出53颗裂纹的证据,诊出率为约2%。影响诊出率的因素包括裂纹的大小、X线投照方向,牙本质厚度等,修复体产生的伪影也会导致隐裂部位模糊不清Yuan等研究中发现,与常规CBCT相比,增加泛影葡胺作为对比剂的锥形束CT增强扫描对检测隐裂纹的准确性的更高。近年来,光学相干断层扫描(Swept source OCT,SS-OCT)技术也可用于鉴别釉质裂纹和隐裂纹:OCT所得的影像裂纹特征明确,其敏感性和特异性与光纤透照相近,但是其穿透深度大约为3 mm左右,无法全波段定位发展到牙髓的裂纹,因此无法准确判断裂纹进展情况。

 图3:隐裂牙的分类

a) 牙釉质内可见裂纹;b) 终止于牙齿颈部的断裂牙尖;c) 从咬合面延伸的牙齿破裂,而牙齿碎片没有分离;d) 分离的牙齿碎片,提示牙齿裂开;e)根部裂纹。

综上所述,目前常见的检查方法仅可用于判断是否存在隐裂纹,无法精确判断裂纹深度,很难准确判断牙隐裂的预后。因此建议联合使用多种检查方法筛查牙隐裂。

PART 04
牙隐裂的治疗决策

0

保存隐裂牙的关键在于尽早发现牙隐裂的症状及体征,明确诊断,制定合适的治疗计划,注重远期疗效。保护牙髓、保存牙体组织和阻断疾病进展是隐裂的治疗原则。一项Meta分析研究隐裂牙治疗后1~6年的牙齿存活率及治疗成功率,发现随着时间的推移,两者都呈下降趋势,但是目前尚无针对牙隐裂诊疗决策的共识。临床上的几个常见难点包括:

(1) 牙隐裂是否需要干预?

一项研究考察了209名美国牙医对2858例后牙隐裂患者的诊疗方案,发现牙隐裂的特征差异会影响临床医生的临床决策:观察随访还是干预治疗。患牙出现以下特征,如探针探及隐裂纹、透照光受到阻挡、隐裂纹与修复体相连时,选择观察随访和干预治疗的医生数量相近;而当患牙存在龋齿、出现自发痛或有裂纹的影像学证据时,医生会决定干预治疗。另一项来自国家牙科实践研究网络的研究,对2601颗活髓隐裂牙进行3年的随访,对其中1688颗(65%)进行监测,其中232颗牙齿(14%)在随访期内终止监测方案:132颗牙齿(占232颗中的57%)转为治疗方案,在随访结束时候7颗牙齿(占132颗中的5%)治疗失败。Ferracane团队提示出现以下因素则建议修复介入治疗,比如活动性龋齿、持续的咬合痛、持续进展的裂纹和男性患者。在这项研究中,80%(1688颗中的1347颗)在没有任何修复治疗的情况下进行了三年的监测,并且在研究的3年内,原本被建议监测的龋齿中只有不到8%(n=241)接受了治疗。这表明,当牙医确定随访监测的临床决策是临床可接受的。然而对于不进行修复治疗的隐裂牙监测整体成功率仍需要进一步的研究评估。

(2) 对于牙髓有活力的患牙,全冠修复还是直接修复,哪种治疗效果更好?

对于活髓牙隐裂的治疗决策目前尚无共识。有专家认为需要先进行根管治疗后行全冠修复,也有学者采取磨除裂纹后直接树脂充填、嵌体修复或者进行全冠修复。Ricucci等发现,隐裂纹是细菌侵入牙髓的路径,当裂纹扩展至牙髓时,细菌的代谢产物和毒性物质发生微渗漏,刺激牙髓出现症状,可能导致牙髓炎症甚至牙髓坏死。因此彻底去除隐裂纹,消除细菌侵入的途径,安抚治疗缓解牙髓症状,有利于验证可复性牙髓炎的诊断、评估剩余牙体结构、修复价值及长期预后。直接修复是一种治疗龋齿或者修复牙体缺损的简单而有效的方法,可在单次就诊中完成。Opdam等人对39颗有或没有牙尖覆盖的直接修复的牙隐裂进行了随访。在7年的随访中,只有3颗没有牙尖覆盖的牙需要进行根管治疗。Banerji认为树脂充填是短期治疗手段,早期进行高嵌体或冠修复治疗的远期预后相对较好 ,不覆盖尖牙的直接修复牙的牙髓成活率为73.8%~76.7%。与全冠修复相比,活髓牙隐裂在直接修复后期出现的拔牙风险高8倍,需要根管治疗的可能性高3倍。全冠既可进行有效的冠方封闭,防止细菌侵入牙髓组织通道。也可有效地环抱患牙,产生紧箍效应可以使咬合力直接传递至牙根,分散合力,因此牙尖覆盖的修复被推荐用于牙隐裂。

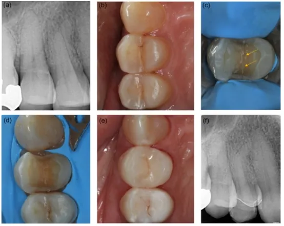
 图4:在完整裂纹 14 的间接复合高嵌体修复

(a)术前根尖周 X 光片(b)咬合视图(c) 裂纹线显示(箭头)(d) 高嵌体制备 (e) 术后咬合视图,结合间接复合高嵌体 (f) 随访 6 个月根尖周 X 光片,这颗牙齿仍然有生命力且无症状

(3)牙隐裂是否需要根管治疗?

近年来更多学者推荐使用临时冠辅助判断牙隐裂的牙髓状况和评估根管治疗的疗效。有研究指出若隐裂纹与修复体相连,则去除患牙的旧修复体后进行全冠修复,对于牙髓活性正常或可逆性牙髓炎的牙隐裂,建议采用临时冠保护患牙并随访观察。Ailor 认为对于可逆性牙髓炎的牙隐裂,可用氧化锌丁香酚的水门汀作为临时冠的粘固剂,有安抚脱敏的作用,临时冠修复监测牙髓症状,6~8周的随访,无症状后正式修复,如果患牙表现为不可逆性牙髓炎或牙髓坏死,则患牙应该完善根管治疗后行全冠修复。而根管治疗后症状仍不能缓解的患牙可考虑拔除。Cheung 在亚洲人群中研究发现284例活髓牙行烤瓷冠修复后观察169个月,有15.6%的患者发生牙髓坏死需行根管治疗。浙大口腔张思思的Meta分析表明,活髓牙隐裂1~6年生存率为92.8%~97.8%,高于根管治疗后牙隐裂1~2年生存率(90.5~91.1%)。Oliver发表的Meta分析也显示,根管治疗后的牙隐裂生存率为89%。这可能因为根管治疗后的牙齿由于脱水和硬组织的丧失而更易折裂。因此早期诊断防止可逆性牙髓炎发展为不可逆性牙髓炎,保持牙髓活力,保存患牙至关重要。

(4) 根管治疗术后的牙隐裂,是否需要全冠修复?

国家牙科实践研究网络(PBRN)的一项研究发现,全冠修复的最常见原因是牙齿有裂纹或冠折,Hilton的研究也表明,牙隐裂治疗时多数为全冠修复(n=623,61%)。也有研究提示,牙隐裂接受根管治疗6周后应进行复诊,评估患牙咬合分布情况,决定是否需进行全冠修复。长时间的随访有助于评估不同治疗方式的远期预后疗效。对根管治疗后的隐裂牙进行全冠修复,患牙2年存活率为85.5%,5年存活率为95.2%。浙大口腔张思思的Meta分析也显示,根管治疗后全冠修复的牙隐裂2年存活率为94.2%~96.3%,高于总体存活率(90.5%~91.1%)。与全冠修复相比,根管治疗后未行全冠修复的牙隐裂的拔牙风险高11倍。也有系统综述表明,根管治疗后未进行全牙尖覆盖的牙齿的存活率比全冠修复体低4倍。综上所述,根管治疗后全冠修复的隐裂牙的存活率明显高于复合树脂直接充填的隐裂牙。

图5:使用金属嵌体修复右下颌第二磨牙

PART 05
总结

0

(1)对于隐裂患者,需加强牙隐裂相关的宣教,比如纠正不良咀嚼习惯(偏侧咀嚼,冷热交替饮食习惯,喜咬硬/韧物),如有必要,佩戴夜磨牙垫等;

(2) 无症状的牙隐裂可进行定期监测随访,评估隐裂牙的牙体及牙周情况,当出现活动性龋、进行性隐裂纹时,则建议介入治疗;

(3) 对于隐裂牙综合征的患牙,可采用牙尖覆盖的修复方式保护患牙;

(4) 对于根管治疗后的牙隐裂,建议全冠修复。

参考文献:

[1] Yu, M, Li, J, Liu, S, et al. Diagnosis of cracked tooth: Clinical status and research progress. JPN DENT SCI REV. 2022; 58 JPN DENT SCI REV. doi: 10.1016/j.jdsr.2022.11.002.

[2] Li, F, Diao, Y, Wang, J, et al. Review of Cracked Tooth Syndrome: Etiology, Diagnosis, Management, and Prevention. PAIN RES MANAG. 2021; 2021 3788660. doi: 10.1155/2021/3788660.

[3] Kakka, Angeliki, et al. "Treatment of cracked teeth: A comprehensive narrative review." Clinical and experimental dental research vol. 8, 5 (2022): 1218-1248. doi: 10.1002/cre2.617.

[4] HILTON T J, FUNKHOUSER E, FERRACANE J L, et al. Associations of types of pain with crack-level, tooth-level and patient-level characteristics in posterior teeth with visible cracks: Findings from the National Dental Practice-Based Research Network [J]. J Dent, 2018, 70: 67-73.

[5] Funkhouser, E, Ferracane, JL, Hilton, TJ, et al. Onset and resolution of pain among treated and untreated posterior teeth with a visible crack: Three-year findings from the national dental practice-based research network. J DENT. 2022; 119 104078. doi: 10.1016/j.jdent.2022.104078.

[6] BANERJI S, MEHTA S B, MILLAR B J. The management of cracked tooth syndrome in dental practice [J]. Br Dent J, 2017, 222(9): 659-66. 

[7] 樊明文主编. 牙体牙髓病学[M]. 第4版. 北京:人民卫生出版社, 2012.

[8] CAMERON C E. CRACKED-TOOTH SYNDROME [J]. J Am Dent Assoc, 1964, 68: 405-11.

[9] Gill, T, Pollard, AJ, Baker, J, et al. Cracked Tooth Syndrome: Assessment, Prognosis and Predictable Management Strategies. EUR J PROSTHODONT RE. 2021; 29 (4): 209-217. doi: 10.1922/EJPRD_2232Gill09.

为全面提升口腔专科诊疗水平,促进多学科协作创新,我院现推出学术交流专栏。专栏内容聚焦先进技术、前沿动态、文献分享、多学科病例讨论、本院优秀病例展示及经验总结。旨在通过跨科室知识共享,构建口腔医学持续教育体系,助力医师精进技艺。让我们以学术为基,以匠心为魂,携手推动口腔健康事业发展!

坚持学习

是迷茫时的执着探寻

也是取得突破后仍葆有的谦逊姿态

愿我们永远怀揣初心

以终身学习为舟楫,相伴前行

期待在 “海曲论道齿学新知” 公众号

继续与您一路同行

凭借专业守护口腔健康,借由交流迸发思维火花

共同描绘口腔医学的精彩未来

咱们下期再会~

怀抱初心 并肩前行

点点赞
点分享
点喜欢

最新文章

随机文章

基本 文件 流程 错误 SQL 调试
  1. 请求信息 : 2026-05-20 22:25:00 HTTP/2.0 GET : https://67808.cn/a/460400.html
  2. 运行时间 : 0.087136s [ 吞吐率:11.48req/s ] 内存消耗:4,565.78kb 文件加载:140
  3. 缓存信息 : 0 reads,0 writes
  4. 会话信息 : SESSION_ID=faca6dc1fd1c7567f8da6e62bf25f6c2
  1. /yingpanguazai/ssd/ssd1/www/no.67808.cn/public/index.php ( 0.79 KB )
  2. /yingpanguazai/ssd/ssd1/www/no.67808.cn/vendor/autoload.php ( 0.17 KB )
  3. /yingpanguazai/ssd/ssd1/www/no.67808.cn/vendor/composer/autoload_real.php ( 2.49 KB )
  4. /yingpanguazai/ssd/ssd1/www/no.67808.cn/vendor/composer/platform_check.php ( 0.90 KB )
  5. /yingpanguazai/ssd/ssd1/www/no.67808.cn/vendor/composer/ClassLoader.php ( 14.03 KB )
  6. /yingpanguazai/ssd/ssd1/www/no.67808.cn/vendor/composer/autoload_static.php ( 4.90 KB )
  7. /yingpanguazai/ssd/ssd1/www/no.67808.cn/vendor/topthink/think-helper/src/helper.php ( 8.34 KB )
  8. /yingpanguazai/ssd/ssd1/www/no.67808.cn/vendor/topthink/think-validate/src/helper.php ( 2.19 KB )
  9. /yingpanguazai/ssd/ssd1/www/no.67808.cn/vendor/topthink/think-orm/src/helper.php ( 1.47 KB )
  10. /yingpanguazai/ssd/ssd1/www/no.67808.cn/vendor/topthink/think-orm/stubs/load_stubs.php ( 0.16 KB )
  11. /yingpanguazai/ssd/ssd1/www/no.67808.cn/vendor/topthink/framework/src/think/Exception.php ( 1.69 KB )
  12. /yingpanguazai/ssd/ssd1/www/no.67808.cn/vendor/topthink/think-container/src/Facade.php ( 2.71 KB )
  13. /yingpanguazai/ssd/ssd1/www/no.67808.cn/vendor/symfony/deprecation-contracts/function.php ( 0.99 KB )
  14. /yingpanguazai/ssd/ssd1/www/no.67808.cn/vendor/symfony/polyfill-mbstring/bootstrap.php ( 8.26 KB )
  15. /yingpanguazai/ssd/ssd1/www/no.67808.cn/vendor/symfony/polyfill-mbstring/bootstrap80.php ( 9.78 KB )
  16. /yingpanguazai/ssd/ssd1/www/no.67808.cn/vendor/symfony/var-dumper/Resources/functions/dump.php ( 1.49 KB )
  17. /yingpanguazai/ssd/ssd1/www/no.67808.cn/vendor/topthink/think-dumper/src/helper.php ( 0.18 KB )
  18. /yingpanguazai/ssd/ssd1/www/no.67808.cn/vendor/symfony/var-dumper/VarDumper.php ( 4.30 KB )
  19. /yingpanguazai/ssd/ssd1/www/no.67808.cn/vendor/topthink/framework/src/think/App.php ( 15.30 KB )
  20. /yingpanguazai/ssd/ssd1/www/no.67808.cn/vendor/topthink/think-container/src/Container.php ( 15.76 KB )
  21. /yingpanguazai/ssd/ssd1/www/no.67808.cn/vendor/psr/container/src/ContainerInterface.php ( 1.02 KB )
  22. /yingpanguazai/ssd/ssd1/www/no.67808.cn/app/provider.php ( 0.19 KB )
  23. /yingpanguazai/ssd/ssd1/www/no.67808.cn/vendor/topthink/framework/src/think/Http.php ( 6.04 KB )
  24. /yingpanguazai/ssd/ssd1/www/no.67808.cn/vendor/topthink/think-helper/src/helper/Str.php ( 7.29 KB )
  25. /yingpanguazai/ssd/ssd1/www/no.67808.cn/vendor/topthink/framework/src/think/Env.php ( 4.68 KB )
  26. /yingpanguazai/ssd/ssd1/www/no.67808.cn/app/common.php ( 0.03 KB )
  27. /yingpanguazai/ssd/ssd1/www/no.67808.cn/vendor/topthink/framework/src/helper.php ( 18.78 KB )
  28. /yingpanguazai/ssd/ssd1/www/no.67808.cn/vendor/topthink/framework/src/think/Config.php ( 5.54 KB )
  29. /yingpanguazai/ssd/ssd1/www/no.67808.cn/config/app.php ( 0.95 KB )
  30. /yingpanguazai/ssd/ssd1/www/no.67808.cn/config/cache.php ( 0.78 KB )
  31. /yingpanguazai/ssd/ssd1/www/no.67808.cn/config/console.php ( 0.23 KB )
  32. /yingpanguazai/ssd/ssd1/www/no.67808.cn/config/cookie.php ( 0.56 KB )
  33. /yingpanguazai/ssd/ssd1/www/no.67808.cn/config/database.php ( 2.48 KB )
  34. /yingpanguazai/ssd/ssd1/www/no.67808.cn/vendor/topthink/framework/src/think/facade/Env.php ( 1.67 KB )
  35. /yingpanguazai/ssd/ssd1/www/no.67808.cn/config/filesystem.php ( 0.61 KB )
  36. /yingpanguazai/ssd/ssd1/www/no.67808.cn/config/lang.php ( 0.91 KB )
  37. /yingpanguazai/ssd/ssd1/www/no.67808.cn/config/log.php ( 1.35 KB )
  38. /yingpanguazai/ssd/ssd1/www/no.67808.cn/config/middleware.php ( 0.19 KB )
  39. /yingpanguazai/ssd/ssd1/www/no.67808.cn/config/route.php ( 1.89 KB )
  40. /yingpanguazai/ssd/ssd1/www/no.67808.cn/config/session.php ( 0.57 KB )
  41. /yingpanguazai/ssd/ssd1/www/no.67808.cn/config/trace.php ( 0.34 KB )
  42. /yingpanguazai/ssd/ssd1/www/no.67808.cn/config/view.php ( 0.82 KB )
  43. /yingpanguazai/ssd/ssd1/www/no.67808.cn/app/event.php ( 0.25 KB )
  44. /yingpanguazai/ssd/ssd1/www/no.67808.cn/vendor/topthink/framework/src/think/Event.php ( 7.67 KB )
  45. /yingpanguazai/ssd/ssd1/www/no.67808.cn/app/service.php ( 0.13 KB )
  46. /yingpanguazai/ssd/ssd1/www/no.67808.cn/app/AppService.php ( 0.26 KB )
  47. /yingpanguazai/ssd/ssd1/www/no.67808.cn/vendor/topthink/framework/src/think/Service.php ( 1.64 KB )
  48. /yingpanguazai/ssd/ssd1/www/no.67808.cn/vendor/topthink/framework/src/think/Lang.php ( 7.35 KB )
  49. /yingpanguazai/ssd/ssd1/www/no.67808.cn/vendor/topthink/framework/src/lang/zh-cn.php ( 13.70 KB )
  50. /yingpanguazai/ssd/ssd1/www/no.67808.cn/vendor/topthink/framework/src/think/initializer/Error.php ( 3.31 KB )
  51. /yingpanguazai/ssd/ssd1/www/no.67808.cn/vendor/topthink/framework/src/think/initializer/RegisterService.php ( 1.33 KB )
  52. /yingpanguazai/ssd/ssd1/www/no.67808.cn/vendor/services.php ( 0.14 KB )
  53. /yingpanguazai/ssd/ssd1/www/no.67808.cn/vendor/topthink/framework/src/think/service/PaginatorService.php ( 1.52 KB )
  54. /yingpanguazai/ssd/ssd1/www/no.67808.cn/vendor/topthink/framework/src/think/service/ValidateService.php ( 0.99 KB )
  55. /yingpanguazai/ssd/ssd1/www/no.67808.cn/vendor/topthink/framework/src/think/service/ModelService.php ( 2.04 KB )
  56. /yingpanguazai/ssd/ssd1/www/no.67808.cn/vendor/topthink/think-trace/src/Service.php ( 0.77 KB )
  57. /yingpanguazai/ssd/ssd1/www/no.67808.cn/vendor/topthink/framework/src/think/Middleware.php ( 6.72 KB )
  58. /yingpanguazai/ssd/ssd1/www/no.67808.cn/vendor/topthink/framework/src/think/initializer/BootService.php ( 0.77 KB )
  59. /yingpanguazai/ssd/ssd1/www/no.67808.cn/vendor/topthink/think-orm/src/Paginator.php ( 11.86 KB )
  60. /yingpanguazai/ssd/ssd1/www/no.67808.cn/vendor/topthink/think-validate/src/Validate.php ( 63.20 KB )
  61. /yingpanguazai/ssd/ssd1/www/no.67808.cn/vendor/topthink/think-orm/src/Model.php ( 23.55 KB )
  62. /yingpanguazai/ssd/ssd1/www/no.67808.cn/vendor/topthink/think-orm/src/model/concern/Attribute.php ( 21.05 KB )
  63. /yingpanguazai/ssd/ssd1/www/no.67808.cn/vendor/topthink/think-orm/src/model/concern/AutoWriteData.php ( 4.21 KB )
  64. /yingpanguazai/ssd/ssd1/www/no.67808.cn/vendor/topthink/think-orm/src/model/concern/Conversion.php ( 6.44 KB )
  65. /yingpanguazai/ssd/ssd1/www/no.67808.cn/vendor/topthink/think-orm/src/model/concern/DbConnect.php ( 5.16 KB )
  66. /yingpanguazai/ssd/ssd1/www/no.67808.cn/vendor/topthink/think-orm/src/model/concern/ModelEvent.php ( 2.33 KB )
  67. /yingpanguazai/ssd/ssd1/www/no.67808.cn/vendor/topthink/think-orm/src/model/concern/RelationShip.php ( 28.29 KB )
  68. /yingpanguazai/ssd/ssd1/www/no.67808.cn/vendor/topthink/think-helper/src/contract/Arrayable.php ( 0.09 KB )
  69. /yingpanguazai/ssd/ssd1/www/no.67808.cn/vendor/topthink/think-helper/src/contract/Jsonable.php ( 0.13 KB )
  70. /yingpanguazai/ssd/ssd1/www/no.67808.cn/vendor/topthink/think-orm/src/model/contract/Modelable.php ( 0.09 KB )
  71. /yingpanguazai/ssd/ssd1/www/no.67808.cn/vendor/topthink/framework/src/think/Db.php ( 2.88 KB )
  72. /yingpanguazai/ssd/ssd1/www/no.67808.cn/vendor/topthink/think-orm/src/DbManager.php ( 8.52 KB )
  73. /yingpanguazai/ssd/ssd1/www/no.67808.cn/vendor/topthink/framework/src/think/Log.php ( 6.28 KB )
  74. /yingpanguazai/ssd/ssd1/www/no.67808.cn/vendor/topthink/framework/src/think/Manager.php ( 3.92 KB )
  75. /yingpanguazai/ssd/ssd1/www/no.67808.cn/vendor/psr/log/src/LoggerTrait.php ( 2.69 KB )
  76. /yingpanguazai/ssd/ssd1/www/no.67808.cn/vendor/psr/log/src/LoggerInterface.php ( 2.71 KB )
  77. /yingpanguazai/ssd/ssd1/www/no.67808.cn/vendor/topthink/framework/src/think/Cache.php ( 4.92 KB )
  78. /yingpanguazai/ssd/ssd1/www/no.67808.cn/vendor/psr/simple-cache/src/CacheInterface.php ( 4.71 KB )
  79. /yingpanguazai/ssd/ssd1/www/no.67808.cn/vendor/topthink/think-helper/src/helper/Arr.php ( 16.63 KB )
  80. /yingpanguazai/ssd/ssd1/www/no.67808.cn/vendor/topthink/framework/src/think/cache/driver/File.php ( 7.84 KB )
  81. /yingpanguazai/ssd/ssd1/www/no.67808.cn/vendor/topthink/framework/src/think/cache/Driver.php ( 9.03 KB )
  82. /yingpanguazai/ssd/ssd1/www/no.67808.cn/vendor/topthink/framework/src/think/contract/CacheHandlerInterface.php ( 1.99 KB )
  83. /yingpanguazai/ssd/ssd1/www/no.67808.cn/app/Request.php ( 0.09 KB )
  84. /yingpanguazai/ssd/ssd1/www/no.67808.cn/vendor/topthink/framework/src/think/Request.php ( 55.78 KB )
  85. /yingpanguazai/ssd/ssd1/www/no.67808.cn/app/middleware.php ( 0.25 KB )
  86. /yingpanguazai/ssd/ssd1/www/no.67808.cn/vendor/topthink/framework/src/think/Pipeline.php ( 2.61 KB )
  87. /yingpanguazai/ssd/ssd1/www/no.67808.cn/vendor/topthink/think-trace/src/TraceDebug.php ( 3.40 KB )
  88. /yingpanguazai/ssd/ssd1/www/no.67808.cn/vendor/topthink/framework/src/think/middleware/SessionInit.php ( 1.94 KB )
  89. /yingpanguazai/ssd/ssd1/www/no.67808.cn/vendor/topthink/framework/src/think/Session.php ( 1.80 KB )
  90. /yingpanguazai/ssd/ssd1/www/no.67808.cn/vendor/topthink/framework/src/think/session/driver/File.php ( 6.27 KB )
  91. /yingpanguazai/ssd/ssd1/www/no.67808.cn/vendor/topthink/framework/src/think/contract/SessionHandlerInterface.php ( 0.87 KB )
  92. /yingpanguazai/ssd/ssd1/www/no.67808.cn/vendor/topthink/framework/src/think/session/Store.php ( 7.12 KB )
  93. /yingpanguazai/ssd/ssd1/www/no.67808.cn/vendor/topthink/framework/src/think/Route.php ( 23.73 KB )
  94. /yingpanguazai/ssd/ssd1/www/no.67808.cn/vendor/topthink/framework/src/think/route/RuleName.php ( 5.75 KB )
  95. /yingpanguazai/ssd/ssd1/www/no.67808.cn/vendor/topthink/framework/src/think/route/Domain.php ( 2.53 KB )
  96. /yingpanguazai/ssd/ssd1/www/no.67808.cn/vendor/topthink/framework/src/think/route/RuleGroup.php ( 22.43 KB )
  97. /yingpanguazai/ssd/ssd1/www/no.67808.cn/vendor/topthink/framework/src/think/route/Rule.php ( 26.95 KB )
  98. /yingpanguazai/ssd/ssd1/www/no.67808.cn/vendor/topthink/framework/src/think/route/RuleItem.php ( 9.78 KB )
  99. /yingpanguazai/ssd/ssd1/www/no.67808.cn/route/app.php ( 1.72 KB )
  100. /yingpanguazai/ssd/ssd1/www/no.67808.cn/vendor/topthink/framework/src/think/facade/Route.php ( 4.70 KB )
  101. /yingpanguazai/ssd/ssd1/www/no.67808.cn/vendor/topthink/framework/src/think/route/dispatch/Controller.php ( 4.74 KB )
  102. /yingpanguazai/ssd/ssd1/www/no.67808.cn/vendor/topthink/framework/src/think/route/Dispatch.php ( 10.44 KB )
  103. /yingpanguazai/ssd/ssd1/www/no.67808.cn/app/controller/Index.php ( 4.81 KB )
  104. /yingpanguazai/ssd/ssd1/www/no.67808.cn/app/BaseController.php ( 2.05 KB )
  105. /yingpanguazai/ssd/ssd1/www/no.67808.cn/vendor/topthink/think-orm/src/facade/Db.php ( 0.93 KB )
  106. /yingpanguazai/ssd/ssd1/www/no.67808.cn/vendor/topthink/think-orm/src/db/connector/Mysql.php ( 5.44 KB )
  107. /yingpanguazai/ssd/ssd1/www/no.67808.cn/vendor/topthink/think-orm/src/db/PDOConnection.php ( 52.47 KB )
  108. /yingpanguazai/ssd/ssd1/www/no.67808.cn/vendor/topthink/think-orm/src/db/Connection.php ( 8.39 KB )
  109. /yingpanguazai/ssd/ssd1/www/no.67808.cn/vendor/topthink/think-orm/src/db/ConnectionInterface.php ( 4.57 KB )
  110. /yingpanguazai/ssd/ssd1/www/no.67808.cn/vendor/topthink/think-orm/src/db/builder/Mysql.php ( 16.58 KB )
  111. /yingpanguazai/ssd/ssd1/www/no.67808.cn/vendor/topthink/think-orm/src/db/Builder.php ( 24.06 KB )
  112. /yingpanguazai/ssd/ssd1/www/no.67808.cn/vendor/topthink/think-orm/src/db/BaseBuilder.php ( 27.50 KB )
  113. /yingpanguazai/ssd/ssd1/www/no.67808.cn/vendor/topthink/think-orm/src/db/Query.php ( 15.71 KB )
  114. /yingpanguazai/ssd/ssd1/www/no.67808.cn/vendor/topthink/think-orm/src/db/BaseQuery.php ( 45.13 KB )
  115. /yingpanguazai/ssd/ssd1/www/no.67808.cn/vendor/topthink/think-orm/src/db/concern/TimeFieldQuery.php ( 7.43 KB )
  116. /yingpanguazai/ssd/ssd1/www/no.67808.cn/vendor/topthink/think-orm/src/db/concern/AggregateQuery.php ( 3.26 KB )
  117. /yingpanguazai/ssd/ssd1/www/no.67808.cn/vendor/topthink/think-orm/src/db/concern/ModelRelationQuery.php ( 20.07 KB )
  118. /yingpanguazai/ssd/ssd1/www/no.67808.cn/vendor/topthink/think-orm/src/db/concern/ParamsBind.php ( 3.66 KB )
  119. /yingpanguazai/ssd/ssd1/www/no.67808.cn/vendor/topthink/think-orm/src/db/concern/ResultOperation.php ( 7.01 KB )
  120. /yingpanguazai/ssd/ssd1/www/no.67808.cn/vendor/topthink/think-orm/src/db/concern/WhereQuery.php ( 19.37 KB )
  121. /yingpanguazai/ssd/ssd1/www/no.67808.cn/vendor/topthink/think-orm/src/db/concern/JoinAndViewQuery.php ( 7.11 KB )
  122. /yingpanguazai/ssd/ssd1/www/no.67808.cn/vendor/topthink/think-orm/src/db/concern/TableFieldInfo.php ( 2.63 KB )
  123. /yingpanguazai/ssd/ssd1/www/no.67808.cn/vendor/topthink/think-orm/src/db/concern/Transaction.php ( 2.77 KB )
  124. /yingpanguazai/ssd/ssd1/www/no.67808.cn/vendor/topthink/framework/src/think/log/driver/File.php ( 5.96 KB )
  125. /yingpanguazai/ssd/ssd1/www/no.67808.cn/vendor/topthink/framework/src/think/contract/LogHandlerInterface.php ( 0.86 KB )
  126. /yingpanguazai/ssd/ssd1/www/no.67808.cn/vendor/topthink/framework/src/think/log/Channel.php ( 3.89 KB )
  127. /yingpanguazai/ssd/ssd1/www/no.67808.cn/vendor/topthink/framework/src/think/event/LogRecord.php ( 1.02 KB )
  128. /yingpanguazai/ssd/ssd1/www/no.67808.cn/vendor/topthink/think-helper/src/Collection.php ( 16.47 KB )
  129. /yingpanguazai/ssd/ssd1/www/no.67808.cn/vendor/topthink/framework/src/think/facade/View.php ( 1.70 KB )
  130. /yingpanguazai/ssd/ssd1/www/no.67808.cn/vendor/topthink/framework/src/think/View.php ( 4.39 KB )
  131. /yingpanguazai/ssd/ssd1/www/no.67808.cn/vendor/topthink/framework/src/think/Response.php ( 8.81 KB )
  132. /yingpanguazai/ssd/ssd1/www/no.67808.cn/vendor/topthink/framework/src/think/response/View.php ( 3.29 KB )
  133. /yingpanguazai/ssd/ssd1/www/no.67808.cn/vendor/topthink/framework/src/think/Cookie.php ( 6.06 KB )
  134. /yingpanguazai/ssd/ssd1/www/no.67808.cn/vendor/topthink/think-view/src/Think.php ( 8.38 KB )
  135. /yingpanguazai/ssd/ssd1/www/no.67808.cn/vendor/topthink/framework/src/think/contract/TemplateHandlerInterface.php ( 1.60 KB )
  136. /yingpanguazai/ssd/ssd1/www/no.67808.cn/vendor/topthink/think-template/src/Template.php ( 46.61 KB )
  137. /yingpanguazai/ssd/ssd1/www/no.67808.cn/vendor/topthink/think-template/src/template/driver/File.php ( 2.41 KB )
  138. /yingpanguazai/ssd/ssd1/www/no.67808.cn/vendor/topthink/think-template/src/template/contract/DriverInterface.php ( 0.86 KB )
  139. /yingpanguazai/ssd/ssd1/www/no.67808.cn/runtime/temp/6df755f970a38e704c5414acbc6e8bcd.php ( 12.06 KB )
  140. /yingpanguazai/ssd/ssd1/www/no.67808.cn/vendor/topthink/think-trace/src/Html.php ( 4.42 KB )
  1. CONNECT:[ UseTime:0.000595s ] mysql:host=127.0.0.1;port=3306;dbname=no_67808;charset=utf8mb4
  2. SHOW FULL COLUMNS FROM `fenlei` [ RunTime:0.000735s ]
  3. SELECT * FROM `fenlei` WHERE `fid` = 0 [ RunTime:0.000387s ]
  4. SELECT * FROM `fenlei` WHERE `fid` = 63 [ RunTime:0.000346s ]
  5. SHOW FULL COLUMNS FROM `set` [ RunTime:0.000614s ]
  6. SELECT * FROM `set` [ RunTime:0.000251s ]
  7. SHOW FULL COLUMNS FROM `article` [ RunTime:0.000551s ]
  8. SELECT * FROM `article` WHERE `id` = 460400 LIMIT 1 [ RunTime:0.000522s ]
  9. UPDATE `article` SET `lasttime` = 1779287100 WHERE `id` = 460400 [ RunTime:0.001687s ]
  10. SELECT * FROM `fenlei` WHERE `id` = 65 LIMIT 1 [ RunTime:0.000245s ]
  11. SELECT * FROM `article` WHERE `id` < 460400 ORDER BY `id` DESC LIMIT 1 [ RunTime:0.000777s ]
  12. SELECT * FROM `article` WHERE `id` > 460400 ORDER BY `id` ASC LIMIT 1 [ RunTime:0.000465s ]
  13. SELECT * FROM `article` WHERE `id` < 460400 ORDER BY `id` DESC LIMIT 10 [ RunTime:0.001072s ]
  14. SELECT * FROM `article` WHERE `id` < 460400 ORDER BY `id` DESC LIMIT 10,10 [ RunTime:0.000837s ]
  15. SELECT * FROM `article` WHERE `id` < 460400 ORDER BY `id` DESC LIMIT 20,10 [ RunTime:0.001043s ]
0.088941s