当前位置:首页>学习笔记>遗传性痉挛性截瘫(HSP)学习笔记

遗传性痉挛性截瘫(HSP)学习笔记

  • 2026-05-20 09:14:16
遗传性痉挛性截瘫(HSP)学习笔记

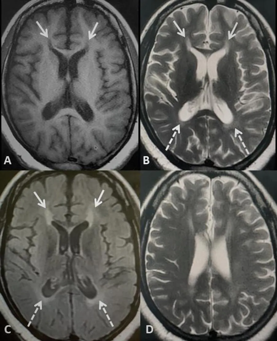
图1 轴位T1加权像(A)、轴位T2加权像(B)及轴位T2-FLAIR加权像(C)显示胼胝体膝部小钳区(箭头所示)存在特征性信号异常。该信号异常在T1加权像上呈低信号,在T2/FLAIR加权像(液体衰减反转恢复序列)上呈高信号,呈现典型的‘火焰’样形态,与猞猁耳特征极为相似。此外,还可见脑室周围白质高信号,尤其在枕角区域(虚线箭头所示)。另,头侧轴位T2加权像(D)显示轻度全脑萎缩,表现为脑沟间隙及脑室体积相对于年龄而言增大。

图2 脑胼胝体矢状T1加权像(A)显示整个胼胝体弥漫性变薄,且以胼胝体前部(箭头所示)为著。整个脊柱矢状T2加权序列(B、C)未见脊髓显著异常,亦无提示脊髓变薄或脊髓高信号的特征,该结果经轴位T2加权序列证实。

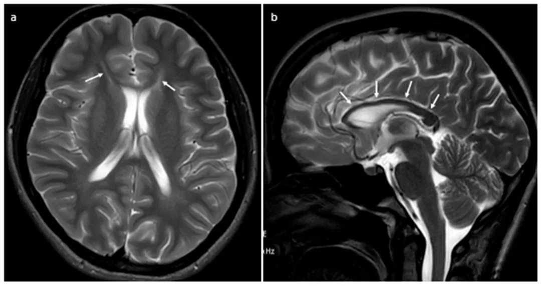
磁共振T2加权成像在轴位(a)和矢状位(b)平面显示:轴位图像可见侧脑室额角尖端T2信号增强,呈“猞猁耳”征(箭头所示);矢状位图像则清晰显示胼胝体萎缩(箭头所示)。

基于两篇文献的综合学习:

  1. Singh S, et al. BMJ Case Rep 2021: SPG15型HSP的"lynx ears"征象

  2. Chojdak-Łukasiewicz J, et al. Int J Mol Sci 2023: SPG11型HSP临床、遗传与神经影像学特征


一、疾病概述与定义

1.1 基本定义

  • 遗传性痉挛性截瘫(Hereditary Spastic Paraplegia, HSP) 是一组遗传性神经退行性疾病

  • 核心病理特征:皮质脊髓束和后柱脊髓白质进行性变性

  • 核心临床表现:下肢进行性痉挛性截瘫,表现为肌张力增高、痉挛和无力

  • 流行病学:全球患病率约1-10/100,000,地中海和中东地区更高(近亲结婚率高)

1.2 疾病分类

  • 纯型(Pure Form):仅表现为痉挛性截瘫

  • 复杂型/复合型(Complicated Form):除痉挛性截瘫外,还伴有其他神经系统表现(认知障碍、行为改变、周围神经病等)

  • 遗传异质性极高:>70个基因位点被鉴定,所有遗传模式均有报道(常染色体显性、常染色体隐性、X连锁、线粒体)


二、主要临床特征

2.1 核心症状

症状类型
具体表现
发生率
下肢痉挛性瘫痪
进行性肌无力、肌张力增高(痉挛)、步态异常(剪刀步态)
100%
括约肌障碍
尿便功能障碍(尿急、尿失禁)
常见
认知功能障碍
学习困难、记忆力下降、注意力障碍、执行功能障碍
SPG11型:80-100%
周围神经病变
感觉运动性多发性神经病(脱髓鞘为主)
较常见
小脑体征
共济失调、眼球震颤等
较少见
假性球麻痹
构音障碍、吞咽困难
较少见

2.2 发病特点

  • 发病年龄:变异大,SPG11型通常在4-36岁(平均14.3岁),晚发型(50-60岁)少见

  • 病程:隐匿性进展,逐渐加重

  • 家族史:13-40%病例为散发性(无家族史),给诊断带来挑战


三、关键基因型与表型

3.1 SPG11型(最常见常染色体隐性HSP)

  • 基因:SPG11/KIAA1840,位于染色体15p13-21

  • 编码蛋白:Spatacsin(含2443个氨基酸)

  • 发病率:占所有HSP的8%,占HSP-TCC(薄胼胝体)的26.2%

  • 突变类型

    • 移码变异最常见(54%)

    • 无义突变(23.2%)

    • 剪接位点变异

    • 大片段缺失/重复(约10%)

  • 功能机制:Spatacsin功能丧失导致溶酶体脂质清除障碍,脂质在溶酶体累积

3.2 SPG15型

  • 基因:ZFYVE26,编码Spastizin蛋白

  • 临床表型:类似SPG11,表现为复杂型HSP伴薄胼胝体

  • 文献病例:23岁女性,7年病程,已轮椅依赖


四、神经影像学特征(MRI核心表现)

4.1 "Lynx Ears"征象(猞猁耳征)

定义:轴位T2/FLAIR序列上,胼胝体膝部(forceps minor)区域高信号,在轴位图像上形似猞猁耳尖的毛簇

影像学特征

  • 位置:侧脑室前角旁的胼胝体膝部白质

  • 信号:T1低信号,T2/FLAIR高信号

  • 对称性:双侧对称性分布

  • 敏感性:在SPG11/SPG15型HSP中敏感性高达77%

  • 特异性:特异性高达100%

诊断价值

  • 强烈提示SPG11或SPG15型HSP

  • 与薄胼胝体同时出现时,诊断特异性进一步增加

  • 可能出现在症状前期(尚不明确,需进一步研究)

4.2 胼胝体变薄(Thin Corpus Callosum, TCC)

  • 发生率:SPG11型中常见,约1/3常染色体隐性HSP出现

  • 分布:通常在胼胝体嘴部、膝部和体部最明显

  • 性质:可能是萎缩性改变(非发育不良),有研究显示1年内可进行性体积减小

  • 鉴别:需与生理性胼胝体变薄鉴别

4.3 其他MRI表现

  • 脑萎缩:轻度全脑萎缩,脑室、脑沟增宽

  • 脑室周围白质高信号:常沿侧脑室枕角分布

  • 脊髓MRI:早期可正常,后期可见脊髓萎缩(颈胸段)


五、诊断流程与策略

5.1 临床诊断标准

  1. 核心标准:进行性下肢痉挛性瘫痪 + 锥体束征(肌张力增高、腱反射亢进、病理征阳性)

  2. 支持标准:认知障碍、括约肌功能障碍、薄胼胝体、Lynx Ears征象

  3. 排除标准:排除获得性病因(多发性硬化、脊髓压迫、维生素缺乏等)

5.2 影像学诊断

MRI检查必做序列

  • 轴位T2WI/FLAIR(寻找Lynx Ears征象)

  • 矢状位T1WI(评估胼胝体厚度)

  • 全脊髓MRI(排除其他病因)

关键征象识别

  • Lynx Ears征象:侧脑室前角旁对称性FLAIR高信号

  • 胼胝体变薄:嘴部、膝部、体部萎缩

  • 注意伪影:需与正常胼胝体-尾状核角胶质增生鉴别

5.3 遗传学诊断

检测方法

  1. 下一代测序(NGS)/全外显子测序(WES):首选方法,可筛查所有外显子

    • 局限性:无法检测大片段缺失/重复

  2. 靶向基因检测:当临床表型高度提示特定基因时(如SPG11)

  3. 染色体微阵列:用于检测大片段CNV(拷贝数变异)

诊断率:HSP患者总体遗传诊断率为29-49%(51-71%未能明确遗传诊断)

SPG11检测要点

  • 基因大(40个外显子),无明确突变热点

  • 推荐全基因分析

  • 发现意义未明变异(VUS)时需结合临床


六、鉴别诊断

6.1 需排除的获得性疾病

  • 多发性硬化(MS)

  • 脊髓型颈椎病

  • 维生素B12缺乏

  • 肾上腺脑白质营养不良

  • 人类T淋巴细胞病毒(HTLV-1)感染

6.2 其他遗传性疾病

  • Marchiafava-Bignami综合征:也可出现Lynx Ears征象,但无SPG11/15突变

  • Charcot-Marie-Tooth病:SPG11突变可表现为CMT表型

  • 肌萎缩侧索硬化(ALS):SPG11可表现为下运动神经元受累

  • 其他HSP亚型:需通过基因检测鉴别


七、治疗与管理

7.1 对症治疗

治疗靶点
药物/方法
说明
肌痉挛
巴氯芬(口服/鞘内泵)、替扎尼定、丹曲林
一线治疗
步态改善
Dalfampridine(钾通道阻滞剂)
可改善行走速度
肉毒毒素
局部注射
针对严重局灶性痉挛
物理康复
运动疗法、作业疗法、言语治疗
维持功能、预防挛缩
骨科干预
矫形器、手术矫正
改善畸形

7.2 新兴治疗

  • 高频重复经颅磁刺激(HF-rTMS):刺激M1区下肢代表区,可能改善SPG11症状

  • Miglustat:抑制糖鞘脂合成,在SPG11小鼠模型中显示可减少脂质累积

  • 基因治疗:尚在研究阶段

  • 临床试验:多项临床试验进行中

7.3 遗传咨询

  • 明确诊断后需对家庭成员进行遗传咨询和检测

  • 常染色体隐性遗传:父母为携带者,再发风险25%

  • 需评估无症状亲属的携带状态


八、预后与病程

  • 长期预后:SPG11型HSP患者预期寿命有限,疾病呈进行性发展

  • 功能预后:多数患者最终需轮椅辅助

  • 认知预后:认知功能进行性下降,影响生活质量

  • 监测:需定期评估运动功能、认知功能、括约肌功能


九、患者视角(来自BMJ病例)

23岁女性SPG15患者心声:

"我长期遭受这种致残性疾病的折磨,咨询过多家医疗中心,但病因始终未明。最终通过MRI和后续检测,我了解到了问题的根源。虽然被告知尚无根治方法,但至少知道了病因让我感到些许安慰,而且我的家人也将因此接受疾病筛查。"

临床启示:明确诊断对患者心理有重要意义,即使无有效治疗,也能帮助家庭规划和遗传风险评估。


十、关键学习要点

10.1 核心知识点

  1. Lynx Ears征象是诊断SPG11/SPG15型HSP的高度敏感且特异的MRI标志

  2. 胼胝体变薄是HSP-TCC的核心特征,但需鉴别先天性与获得性

  3. HSP具有极端遗传异质性,临床表现与基因型相关性差

  4. MRI应作为疑似HSP患者的常规检查,可指导后续基因检测

  5. SPG11是最常见的常染色体隐性HSP,占HSP-TCC的26.2%

10.2 临床实践建议

  • 年轻起病的痉挛性截瘫患者,无论是否有家族史,都应考虑HSP

  • MRI发现Lynx Ears征象或胼胝体变薄,必须推荐基因检测(优先WES/NGS)

  • 全脊髓MRI有助于排除其他病因,但早期HSP脊髓MRI可正常

  • 无家族史的散发病例占13-40%,不能因此排除HSP诊断

  • 确诊后必须提供遗传咨询,评估家族成员风险

10.3 研究前沿

  • 病理机制:Spatacsin/Spastizin功能丧失导致溶酶体脂质代谢障碍

  • 影像学:DTI、VBM等高级影像可早期发现微结构改变

  • 治疗:靶向脂质代谢的Miglustat、神经调控(rTMS)等处于探索阶段

  • 基因型-表型关系:仍需大规模队列研究明确修饰基因和环境因素作用


十一、总结

遗传性痉挛性截瘫是一组临床和遗传高度异质性的神经退行性疾病。MRI的 "Lynx Ears"征象 和胼胝体变薄是诊断SPG11/SPG15型HSP的关键线索。临床医生应对年轻痉挛性截瘫患者保持高度警惕,即便无家族史也应考虑HSP可能。早期影像学识别结合现代基因检测技术(WES/NGS)可显著提高诊断率,为患者和家庭提供精准的遗传咨询和预后评估。目前虽无根治方法,但综合对症治疗和康复可显著改善生活质量,新兴靶向治疗为未来带来希望。

最新文章

随机文章

基本 文件 流程 错误 SQL 调试
  1. 请求信息 : 2026-05-20 13:53:22 HTTP/2.0 GET : https://67808.cn/a/458310.html
  2. 运行时间 : 0.150789s [ 吞吐率:6.63req/s ] 内存消耗:4,506.26kb 文件加载:140
  3. 缓存信息 : 0 reads,0 writes
  4. 会话信息 : SESSION_ID=f6cf575b7386c459b8cc5b47b96052f2
  1. /yingpanguazai/ssd/ssd1/www/no.67808.cn/public/index.php ( 0.79 KB )
  2. /yingpanguazai/ssd/ssd1/www/no.67808.cn/vendor/autoload.php ( 0.17 KB )
  3. /yingpanguazai/ssd/ssd1/www/no.67808.cn/vendor/composer/autoload_real.php ( 2.49 KB )
  4. /yingpanguazai/ssd/ssd1/www/no.67808.cn/vendor/composer/platform_check.php ( 0.90 KB )
  5. /yingpanguazai/ssd/ssd1/www/no.67808.cn/vendor/composer/ClassLoader.php ( 14.03 KB )
  6. /yingpanguazai/ssd/ssd1/www/no.67808.cn/vendor/composer/autoload_static.php ( 4.90 KB )
  7. /yingpanguazai/ssd/ssd1/www/no.67808.cn/vendor/topthink/think-helper/src/helper.php ( 8.34 KB )
  8. /yingpanguazai/ssd/ssd1/www/no.67808.cn/vendor/topthink/think-validate/src/helper.php ( 2.19 KB )
  9. /yingpanguazai/ssd/ssd1/www/no.67808.cn/vendor/topthink/think-orm/src/helper.php ( 1.47 KB )
  10. /yingpanguazai/ssd/ssd1/www/no.67808.cn/vendor/topthink/think-orm/stubs/load_stubs.php ( 0.16 KB )
  11. /yingpanguazai/ssd/ssd1/www/no.67808.cn/vendor/topthink/framework/src/think/Exception.php ( 1.69 KB )
  12. /yingpanguazai/ssd/ssd1/www/no.67808.cn/vendor/topthink/think-container/src/Facade.php ( 2.71 KB )
  13. /yingpanguazai/ssd/ssd1/www/no.67808.cn/vendor/symfony/deprecation-contracts/function.php ( 0.99 KB )
  14. /yingpanguazai/ssd/ssd1/www/no.67808.cn/vendor/symfony/polyfill-mbstring/bootstrap.php ( 8.26 KB )
  15. /yingpanguazai/ssd/ssd1/www/no.67808.cn/vendor/symfony/polyfill-mbstring/bootstrap80.php ( 9.78 KB )
  16. /yingpanguazai/ssd/ssd1/www/no.67808.cn/vendor/symfony/var-dumper/Resources/functions/dump.php ( 1.49 KB )
  17. /yingpanguazai/ssd/ssd1/www/no.67808.cn/vendor/topthink/think-dumper/src/helper.php ( 0.18 KB )
  18. /yingpanguazai/ssd/ssd1/www/no.67808.cn/vendor/symfony/var-dumper/VarDumper.php ( 4.30 KB )
  19. /yingpanguazai/ssd/ssd1/www/no.67808.cn/vendor/topthink/framework/src/think/App.php ( 15.30 KB )
  20. /yingpanguazai/ssd/ssd1/www/no.67808.cn/vendor/topthink/think-container/src/Container.php ( 15.76 KB )
  21. /yingpanguazai/ssd/ssd1/www/no.67808.cn/vendor/psr/container/src/ContainerInterface.php ( 1.02 KB )
  22. /yingpanguazai/ssd/ssd1/www/no.67808.cn/app/provider.php ( 0.19 KB )
  23. /yingpanguazai/ssd/ssd1/www/no.67808.cn/vendor/topthink/framework/src/think/Http.php ( 6.04 KB )
  24. /yingpanguazai/ssd/ssd1/www/no.67808.cn/vendor/topthink/think-helper/src/helper/Str.php ( 7.29 KB )
  25. /yingpanguazai/ssd/ssd1/www/no.67808.cn/vendor/topthink/framework/src/think/Env.php ( 4.68 KB )
  26. /yingpanguazai/ssd/ssd1/www/no.67808.cn/app/common.php ( 0.03 KB )
  27. /yingpanguazai/ssd/ssd1/www/no.67808.cn/vendor/topthink/framework/src/helper.php ( 18.78 KB )
  28. /yingpanguazai/ssd/ssd1/www/no.67808.cn/vendor/topthink/framework/src/think/Config.php ( 5.54 KB )
  29. /yingpanguazai/ssd/ssd1/www/no.67808.cn/config/app.php ( 0.95 KB )
  30. /yingpanguazai/ssd/ssd1/www/no.67808.cn/config/cache.php ( 0.78 KB )
  31. /yingpanguazai/ssd/ssd1/www/no.67808.cn/config/console.php ( 0.23 KB )
  32. /yingpanguazai/ssd/ssd1/www/no.67808.cn/config/cookie.php ( 0.56 KB )
  33. /yingpanguazai/ssd/ssd1/www/no.67808.cn/config/database.php ( 2.48 KB )
  34. /yingpanguazai/ssd/ssd1/www/no.67808.cn/vendor/topthink/framework/src/think/facade/Env.php ( 1.67 KB )
  35. /yingpanguazai/ssd/ssd1/www/no.67808.cn/config/filesystem.php ( 0.61 KB )
  36. /yingpanguazai/ssd/ssd1/www/no.67808.cn/config/lang.php ( 0.91 KB )
  37. /yingpanguazai/ssd/ssd1/www/no.67808.cn/config/log.php ( 1.35 KB )
  38. /yingpanguazai/ssd/ssd1/www/no.67808.cn/config/middleware.php ( 0.19 KB )
  39. /yingpanguazai/ssd/ssd1/www/no.67808.cn/config/route.php ( 1.89 KB )
  40. /yingpanguazai/ssd/ssd1/www/no.67808.cn/config/session.php ( 0.57 KB )
  41. /yingpanguazai/ssd/ssd1/www/no.67808.cn/config/trace.php ( 0.34 KB )
  42. /yingpanguazai/ssd/ssd1/www/no.67808.cn/config/view.php ( 0.82 KB )
  43. /yingpanguazai/ssd/ssd1/www/no.67808.cn/app/event.php ( 0.25 KB )
  44. /yingpanguazai/ssd/ssd1/www/no.67808.cn/vendor/topthink/framework/src/think/Event.php ( 7.67 KB )
  45. /yingpanguazai/ssd/ssd1/www/no.67808.cn/app/service.php ( 0.13 KB )
  46. /yingpanguazai/ssd/ssd1/www/no.67808.cn/app/AppService.php ( 0.26 KB )
  47. /yingpanguazai/ssd/ssd1/www/no.67808.cn/vendor/topthink/framework/src/think/Service.php ( 1.64 KB )
  48. /yingpanguazai/ssd/ssd1/www/no.67808.cn/vendor/topthink/framework/src/think/Lang.php ( 7.35 KB )
  49. /yingpanguazai/ssd/ssd1/www/no.67808.cn/vendor/topthink/framework/src/lang/zh-cn.php ( 13.70 KB )
  50. /yingpanguazai/ssd/ssd1/www/no.67808.cn/vendor/topthink/framework/src/think/initializer/Error.php ( 3.31 KB )
  51. /yingpanguazai/ssd/ssd1/www/no.67808.cn/vendor/topthink/framework/src/think/initializer/RegisterService.php ( 1.33 KB )
  52. /yingpanguazai/ssd/ssd1/www/no.67808.cn/vendor/services.php ( 0.14 KB )
  53. /yingpanguazai/ssd/ssd1/www/no.67808.cn/vendor/topthink/framework/src/think/service/PaginatorService.php ( 1.52 KB )
  54. /yingpanguazai/ssd/ssd1/www/no.67808.cn/vendor/topthink/framework/src/think/service/ValidateService.php ( 0.99 KB )
  55. /yingpanguazai/ssd/ssd1/www/no.67808.cn/vendor/topthink/framework/src/think/service/ModelService.php ( 2.04 KB )
  56. /yingpanguazai/ssd/ssd1/www/no.67808.cn/vendor/topthink/think-trace/src/Service.php ( 0.77 KB )
  57. /yingpanguazai/ssd/ssd1/www/no.67808.cn/vendor/topthink/framework/src/think/Middleware.php ( 6.72 KB )
  58. /yingpanguazai/ssd/ssd1/www/no.67808.cn/vendor/topthink/framework/src/think/initializer/BootService.php ( 0.77 KB )
  59. /yingpanguazai/ssd/ssd1/www/no.67808.cn/vendor/topthink/think-orm/src/Paginator.php ( 11.86 KB )
  60. /yingpanguazai/ssd/ssd1/www/no.67808.cn/vendor/topthink/think-validate/src/Validate.php ( 63.20 KB )
  61. /yingpanguazai/ssd/ssd1/www/no.67808.cn/vendor/topthink/think-orm/src/Model.php ( 23.55 KB )
  62. /yingpanguazai/ssd/ssd1/www/no.67808.cn/vendor/topthink/think-orm/src/model/concern/Attribute.php ( 21.05 KB )
  63. /yingpanguazai/ssd/ssd1/www/no.67808.cn/vendor/topthink/think-orm/src/model/concern/AutoWriteData.php ( 4.21 KB )
  64. /yingpanguazai/ssd/ssd1/www/no.67808.cn/vendor/topthink/think-orm/src/model/concern/Conversion.php ( 6.44 KB )
  65. /yingpanguazai/ssd/ssd1/www/no.67808.cn/vendor/topthink/think-orm/src/model/concern/DbConnect.php ( 5.16 KB )
  66. /yingpanguazai/ssd/ssd1/www/no.67808.cn/vendor/topthink/think-orm/src/model/concern/ModelEvent.php ( 2.33 KB )
  67. /yingpanguazai/ssd/ssd1/www/no.67808.cn/vendor/topthink/think-orm/src/model/concern/RelationShip.php ( 28.29 KB )
  68. /yingpanguazai/ssd/ssd1/www/no.67808.cn/vendor/topthink/think-helper/src/contract/Arrayable.php ( 0.09 KB )
  69. /yingpanguazai/ssd/ssd1/www/no.67808.cn/vendor/topthink/think-helper/src/contract/Jsonable.php ( 0.13 KB )
  70. /yingpanguazai/ssd/ssd1/www/no.67808.cn/vendor/topthink/think-orm/src/model/contract/Modelable.php ( 0.09 KB )
  71. /yingpanguazai/ssd/ssd1/www/no.67808.cn/vendor/topthink/framework/src/think/Db.php ( 2.88 KB )
  72. /yingpanguazai/ssd/ssd1/www/no.67808.cn/vendor/topthink/think-orm/src/DbManager.php ( 8.52 KB )
  73. /yingpanguazai/ssd/ssd1/www/no.67808.cn/vendor/topthink/framework/src/think/Log.php ( 6.28 KB )
  74. /yingpanguazai/ssd/ssd1/www/no.67808.cn/vendor/topthink/framework/src/think/Manager.php ( 3.92 KB )
  75. /yingpanguazai/ssd/ssd1/www/no.67808.cn/vendor/psr/log/src/LoggerTrait.php ( 2.69 KB )
  76. /yingpanguazai/ssd/ssd1/www/no.67808.cn/vendor/psr/log/src/LoggerInterface.php ( 2.71 KB )
  77. /yingpanguazai/ssd/ssd1/www/no.67808.cn/vendor/topthink/framework/src/think/Cache.php ( 4.92 KB )
  78. /yingpanguazai/ssd/ssd1/www/no.67808.cn/vendor/psr/simple-cache/src/CacheInterface.php ( 4.71 KB )
  79. /yingpanguazai/ssd/ssd1/www/no.67808.cn/vendor/topthink/think-helper/src/helper/Arr.php ( 16.63 KB )
  80. /yingpanguazai/ssd/ssd1/www/no.67808.cn/vendor/topthink/framework/src/think/cache/driver/File.php ( 7.84 KB )
  81. /yingpanguazai/ssd/ssd1/www/no.67808.cn/vendor/topthink/framework/src/think/cache/Driver.php ( 9.03 KB )
  82. /yingpanguazai/ssd/ssd1/www/no.67808.cn/vendor/topthink/framework/src/think/contract/CacheHandlerInterface.php ( 1.99 KB )
  83. /yingpanguazai/ssd/ssd1/www/no.67808.cn/app/Request.php ( 0.09 KB )
  84. /yingpanguazai/ssd/ssd1/www/no.67808.cn/vendor/topthink/framework/src/think/Request.php ( 55.78 KB )
  85. /yingpanguazai/ssd/ssd1/www/no.67808.cn/app/middleware.php ( 0.25 KB )
  86. /yingpanguazai/ssd/ssd1/www/no.67808.cn/vendor/topthink/framework/src/think/Pipeline.php ( 2.61 KB )
  87. /yingpanguazai/ssd/ssd1/www/no.67808.cn/vendor/topthink/think-trace/src/TraceDebug.php ( 3.40 KB )
  88. /yingpanguazai/ssd/ssd1/www/no.67808.cn/vendor/topthink/framework/src/think/middleware/SessionInit.php ( 1.94 KB )
  89. /yingpanguazai/ssd/ssd1/www/no.67808.cn/vendor/topthink/framework/src/think/Session.php ( 1.80 KB )
  90. /yingpanguazai/ssd/ssd1/www/no.67808.cn/vendor/topthink/framework/src/think/session/driver/File.php ( 6.27 KB )
  91. /yingpanguazai/ssd/ssd1/www/no.67808.cn/vendor/topthink/framework/src/think/contract/SessionHandlerInterface.php ( 0.87 KB )
  92. /yingpanguazai/ssd/ssd1/www/no.67808.cn/vendor/topthink/framework/src/think/session/Store.php ( 7.12 KB )
  93. /yingpanguazai/ssd/ssd1/www/no.67808.cn/vendor/topthink/framework/src/think/Route.php ( 23.73 KB )
  94. /yingpanguazai/ssd/ssd1/www/no.67808.cn/vendor/topthink/framework/src/think/route/RuleName.php ( 5.75 KB )
  95. /yingpanguazai/ssd/ssd1/www/no.67808.cn/vendor/topthink/framework/src/think/route/Domain.php ( 2.53 KB )
  96. /yingpanguazai/ssd/ssd1/www/no.67808.cn/vendor/topthink/framework/src/think/route/RuleGroup.php ( 22.43 KB )
  97. /yingpanguazai/ssd/ssd1/www/no.67808.cn/vendor/topthink/framework/src/think/route/Rule.php ( 26.95 KB )
  98. /yingpanguazai/ssd/ssd1/www/no.67808.cn/vendor/topthink/framework/src/think/route/RuleItem.php ( 9.78 KB )
  99. /yingpanguazai/ssd/ssd1/www/no.67808.cn/route/app.php ( 1.72 KB )
  100. /yingpanguazai/ssd/ssd1/www/no.67808.cn/vendor/topthink/framework/src/think/facade/Route.php ( 4.70 KB )
  101. /yingpanguazai/ssd/ssd1/www/no.67808.cn/vendor/topthink/framework/src/think/route/dispatch/Controller.php ( 4.74 KB )
  102. /yingpanguazai/ssd/ssd1/www/no.67808.cn/vendor/topthink/framework/src/think/route/Dispatch.php ( 10.44 KB )
  103. /yingpanguazai/ssd/ssd1/www/no.67808.cn/app/controller/Index.php ( 4.81 KB )
  104. /yingpanguazai/ssd/ssd1/www/no.67808.cn/app/BaseController.php ( 2.05 KB )
  105. /yingpanguazai/ssd/ssd1/www/no.67808.cn/vendor/topthink/think-orm/src/facade/Db.php ( 0.93 KB )
  106. /yingpanguazai/ssd/ssd1/www/no.67808.cn/vendor/topthink/think-orm/src/db/connector/Mysql.php ( 5.44 KB )
  107. /yingpanguazai/ssd/ssd1/www/no.67808.cn/vendor/topthink/think-orm/src/db/PDOConnection.php ( 52.47 KB )
  108. /yingpanguazai/ssd/ssd1/www/no.67808.cn/vendor/topthink/think-orm/src/db/Connection.php ( 8.39 KB )
  109. /yingpanguazai/ssd/ssd1/www/no.67808.cn/vendor/topthink/think-orm/src/db/ConnectionInterface.php ( 4.57 KB )
  110. /yingpanguazai/ssd/ssd1/www/no.67808.cn/vendor/topthink/think-orm/src/db/builder/Mysql.php ( 16.58 KB )
  111. /yingpanguazai/ssd/ssd1/www/no.67808.cn/vendor/topthink/think-orm/src/db/Builder.php ( 24.06 KB )
  112. /yingpanguazai/ssd/ssd1/www/no.67808.cn/vendor/topthink/think-orm/src/db/BaseBuilder.php ( 27.50 KB )
  113. /yingpanguazai/ssd/ssd1/www/no.67808.cn/vendor/topthink/think-orm/src/db/Query.php ( 15.71 KB )
  114. /yingpanguazai/ssd/ssd1/www/no.67808.cn/vendor/topthink/think-orm/src/db/BaseQuery.php ( 45.13 KB )
  115. /yingpanguazai/ssd/ssd1/www/no.67808.cn/vendor/topthink/think-orm/src/db/concern/TimeFieldQuery.php ( 7.43 KB )
  116. /yingpanguazai/ssd/ssd1/www/no.67808.cn/vendor/topthink/think-orm/src/db/concern/AggregateQuery.php ( 3.26 KB )
  117. /yingpanguazai/ssd/ssd1/www/no.67808.cn/vendor/topthink/think-orm/src/db/concern/ModelRelationQuery.php ( 20.07 KB )
  118. /yingpanguazai/ssd/ssd1/www/no.67808.cn/vendor/topthink/think-orm/src/db/concern/ParamsBind.php ( 3.66 KB )
  119. /yingpanguazai/ssd/ssd1/www/no.67808.cn/vendor/topthink/think-orm/src/db/concern/ResultOperation.php ( 7.01 KB )
  120. /yingpanguazai/ssd/ssd1/www/no.67808.cn/vendor/topthink/think-orm/src/db/concern/WhereQuery.php ( 19.37 KB )
  121. /yingpanguazai/ssd/ssd1/www/no.67808.cn/vendor/topthink/think-orm/src/db/concern/JoinAndViewQuery.php ( 7.11 KB )
  122. /yingpanguazai/ssd/ssd1/www/no.67808.cn/vendor/topthink/think-orm/src/db/concern/TableFieldInfo.php ( 2.63 KB )
  123. /yingpanguazai/ssd/ssd1/www/no.67808.cn/vendor/topthink/think-orm/src/db/concern/Transaction.php ( 2.77 KB )
  124. /yingpanguazai/ssd/ssd1/www/no.67808.cn/vendor/topthink/framework/src/think/log/driver/File.php ( 5.96 KB )
  125. /yingpanguazai/ssd/ssd1/www/no.67808.cn/vendor/topthink/framework/src/think/contract/LogHandlerInterface.php ( 0.86 KB )
  126. /yingpanguazai/ssd/ssd1/www/no.67808.cn/vendor/topthink/framework/src/think/log/Channel.php ( 3.89 KB )
  127. /yingpanguazai/ssd/ssd1/www/no.67808.cn/vendor/topthink/framework/src/think/event/LogRecord.php ( 1.02 KB )
  128. /yingpanguazai/ssd/ssd1/www/no.67808.cn/vendor/topthink/think-helper/src/Collection.php ( 16.47 KB )
  129. /yingpanguazai/ssd/ssd1/www/no.67808.cn/vendor/topthink/framework/src/think/facade/View.php ( 1.70 KB )
  130. /yingpanguazai/ssd/ssd1/www/no.67808.cn/vendor/topthink/framework/src/think/View.php ( 4.39 KB )
  131. /yingpanguazai/ssd/ssd1/www/no.67808.cn/vendor/topthink/framework/src/think/Response.php ( 8.81 KB )
  132. /yingpanguazai/ssd/ssd1/www/no.67808.cn/vendor/topthink/framework/src/think/response/View.php ( 3.29 KB )
  133. /yingpanguazai/ssd/ssd1/www/no.67808.cn/vendor/topthink/framework/src/think/Cookie.php ( 6.06 KB )
  134. /yingpanguazai/ssd/ssd1/www/no.67808.cn/vendor/topthink/think-view/src/Think.php ( 8.38 KB )
  135. /yingpanguazai/ssd/ssd1/www/no.67808.cn/vendor/topthink/framework/src/think/contract/TemplateHandlerInterface.php ( 1.60 KB )
  136. /yingpanguazai/ssd/ssd1/www/no.67808.cn/vendor/topthink/think-template/src/Template.php ( 46.61 KB )
  137. /yingpanguazai/ssd/ssd1/www/no.67808.cn/vendor/topthink/think-template/src/template/driver/File.php ( 2.41 KB )
  138. /yingpanguazai/ssd/ssd1/www/no.67808.cn/vendor/topthink/think-template/src/template/contract/DriverInterface.php ( 0.86 KB )
  139. /yingpanguazai/ssd/ssd1/www/no.67808.cn/runtime/temp/6df755f970a38e704c5414acbc6e8bcd.php ( 12.06 KB )
  140. /yingpanguazai/ssd/ssd1/www/no.67808.cn/vendor/topthink/think-trace/src/Html.php ( 4.42 KB )
  1. CONNECT:[ UseTime:0.000969s ] mysql:host=127.0.0.1;port=3306;dbname=no_67808;charset=utf8mb4
  2. SHOW FULL COLUMNS FROM `fenlei` [ RunTime:0.001082s ]
  3. SELECT * FROM `fenlei` WHERE `fid` = 0 [ RunTime:0.000384s ]
  4. SELECT * FROM `fenlei` WHERE `fid` = 63 [ RunTime:0.000320s ]
  5. SHOW FULL COLUMNS FROM `set` [ RunTime:0.000745s ]
  6. SELECT * FROM `set` [ RunTime:0.001345s ]
  7. SHOW FULL COLUMNS FROM `article` [ RunTime:0.000815s ]
  8. SELECT * FROM `article` WHERE `id` = 458310 LIMIT 1 [ RunTime:0.000584s ]
  9. UPDATE `article` SET `lasttime` = 1779256402 WHERE `id` = 458310 [ RunTime:0.003336s ]
  10. SELECT * FROM `fenlei` WHERE `id` = 65 LIMIT 1 [ RunTime:0.000352s ]
  11. SELECT * FROM `article` WHERE `id` < 458310 ORDER BY `id` DESC LIMIT 1 [ RunTime:0.000618s ]
  12. SELECT * FROM `article` WHERE `id` > 458310 ORDER BY `id` ASC LIMIT 1 [ RunTime:0.000877s ]
  13. SELECT * FROM `article` WHERE `id` < 458310 ORDER BY `id` DESC LIMIT 10 [ RunTime:0.002872s ]
  14. SELECT * FROM `article` WHERE `id` < 458310 ORDER BY `id` DESC LIMIT 10,10 [ RunTime:0.003100s ]
  15. SELECT * FROM `article` WHERE `id` < 458310 ORDER BY `id` DESC LIMIT 20,10 [ RunTime:0.002764s ]
0.154551s