当前位置:首页>学习笔记>肺部CT马赛克征学习笔记

肺部CT马赛克征学习笔记

  • 2026-04-17 14:56:38
肺部CT马赛克征学习笔记

马赛克征是指不同密度的片状影互相镶嵌。它可能代表:片状的间质性疾病、小气道闭塞性疾病或血管闭塞性疾病。由后两类引起的马赛克征称为马赛克样灌注(图1和图2)不同密度的组合(磨玻璃密度、正常肺组织和马赛克样灌注引起的透明度增高区)常使肺组织呈“地图样”外观。

图1马赛克灌注

图2呼气状态:肺灌注不足,马赛克伪影,绿色区域出现类似磨玻璃影,HRCT尤其明显。

马赛克”衰减的形成机理 

肺小气道病变主要累及直径<3mm 的细支气管,可以仅发生在小气道本身,也可是肺和大气道病变的延伸。“马赛克”衰减其形成主要是由于局部通气/血流分布差异所致。小气道病变时小气道管壁增厚、管腔阻塞,导致局部缺氧,造成反应性血管收缩,使受累肺实质密度减低;同时,管腔阻塞使阻塞局部出现局限性气体滞留,使局部肺血流再分布,正常肺实质血流量增多,导致正常肺实质密度增高,从而使肺实质的密度象“马赛克”一样黑白相间,形成“马赛克”衰减征象。

马赛克征形成因不同的类型的疾病而具有不同的病理机制。马赛克征可以由气道性疾病或血管性疾病引起。以下介绍这三种疾病引起马赛克征的病理机制。

(1)气道性疾病:在气道性疾病中马赛克征的出现是由于呈补丁样分布的狭窄性毛细支气管炎和增殖性毛细支气管炎的病理改变造成局部缺氧血管痉挛,使局部血流灌注减少而形成的斑片样分布的气体潴留征象,影像表现为透亮度增高。即需要明确的是:从HRCT上看,病变区域是透亮度增高的区域,而不是透亮度降低的区域。以肺透亮度增高为异常表现,边缘清晰,血管管径缩小,呼气相可见空气潴留。

(2)血管性疾病:在血管性疾病中马赛克征的形成是由于栓塞造成的相应肺区的血液灌注减少,肺密度减低,肺纹理细小、稀疏,与正常肺灌注区形成斑片样不同密度排列。以肺透亮度增高为异常表现,边缘清晰,血管管径缩小,常伴随肺动脉高压相关征象。

(3)肺实质疾病:以磨玻璃密度增高为异常表现,边缘模糊,血管大小正常。

“马赛克”衰减的病理意义 

“马赛克”衰减征象在 HRCT上由两部分组成,即补丁状的异常透光区与斑片状的磨玻璃密度影。异常透光区主要为小气道狭窄所致局限性气体滞留引起,而磨玻璃密度影可为相对正常肺组织,也可为病变肺组织的表现。在以间质为主的病变中,磨玻璃密度影是间质纤维化形成或肺泡炎的表现;在以肺实质为主的病变中,磨玻璃密度影反映了肺气腔的不完全填充,肺泡腔内可有出血、炎性 渗出、蛋白成分等;慢性阻塞性肺疾病中,磨玻璃密度影反映了局部血流量的增加,可见到病变区域肺动脉增粗。

“马赛克”衰减表现为补丁状的异常透光区与斑片状的磨玻璃密度影镶嵌存在,对各类疾病无特征性,但在分布、形态及伴随征象等方面有一些特点。1、以间质为主的病变中,“马赛克”衰减多分布于肺的周边部位、胸膜下或沿支气管血管束分布,边界多模 糊。2、以肺实质为主的病变中,“马赛克”衰减多表现为弥漫性分布;呈斑片状或小叶、肺亚段分布的“马赛克”衰减,多见于慢性阻塞性肺疾病。

常见疾病

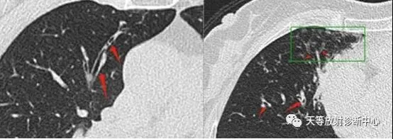
病因包括:浸润性肺疾病、气道疾病和血管疾病气道疾病包括:支气管扩张(图6)、囊性纤维化(图9)、过敏性支气管肺曲霉菌病(ABPA)、哮喘和缩窄性支气管炎(图6,7,8)血管疾病包括:慢性肺动脉栓塞和肺动脉高压(图3)。多种以磨玻璃改变为特征的间质性肺疾病也可见到马赛克征。兼有浸润和阻塞的疾病(过敏性肺炎、结节病、毛细支气管炎非典型感染)也可出现马赛克征。

图3,房缺患者,肺动脉高压导致马赛克灌注。

图4 小叶性肺气肿,导致肺内出现灌注不均匀,马赛克征

图5 肺底部运动伪影,造成肺部似乎多发磨玻璃病灶

图6 缩窄性细支气管炎,以膜性及呼吸性支气管为中心的细支气管炎周围纤维化,细支气管周围纤维化,导致细支气管狭窄闭塞。

图7马赛克,低密度区空气潴留,高密度血流再分配,支气管扩张,支气管壁增厚。

图8缩窄性毛细支气管炎,双肺中马赛克样灌注的不均匀区域(箭头所示)。外科肺活检得到的病理切片在低倍镜(×40)下显示,细支气管胶原类纤维引起膜性细支气管腔的狭窄(箭头所示),显示上皮细胞和黏膜肌层间固有层的纤维性增厚(箭头所示)。

图9图囊性纤维化,肺移植术后肺窗显示双肺广泛的支气管扩张和蜂窝状细支气管炎(形头所示),同时可见双肺的马赛克样区域(箭头所示),在双肺马赛克样区域(箭头所示)内少血(血管直径缩小)的征象清晰可见。

气道性疾病

正常情况下小气道因体积过小在CT上不可见,小气道疾病的CT表现包括直接征象和间接征象:

直接征象:病变气道本身的可视化,包括气道闭塞、气道内分泌物充盈或壁增厚。

间接征象:病变小气道远端肺实质异常,主要表现为吸气相马赛克衰减和呼气相空气潴留。空气潴留表现为肺实质区域衰减增加程度低于正常,且无容积减少,边缘锐利,符合次级肺小叶轮廓。

小气道疾病可按病理分为增殖性(细胞性)细支气管炎和纤维化性(缩窄性)细支气管炎两类,两者预后和治疗方案显著不同:

缩窄性细支气管炎:纤维化病变发生在气道外,导致向心性缩窄,临床显著病变通常伴随气道腔完全闭塞,不可逆。

增殖性细支气管炎:病变从气道壁内部发生,炎症细胞填充管腔,多可逆。

(1)闭塞性细支气管炎:胸部X线片表现往往呈非特异性,HRCT扫描表现为马赛克样实变、支气管扩张和气体潴留。大部分闭塞性细支气管炎可见肺小叶或肺段的密度减低,也有低密度区伴邻近血管变细,以及邻近正常通气肺相对灌注增强而形成的较高密度。支气管腔内因被分泌物填塞可见支气管分支结构样的柱状或结节状高密度影。在肺或心肺移植患者中,狭窄性细支气管炎最早和最主要的征象是支气管扩张,特别是以下肺叶较明显。

(2)弥漫性泛细支气管炎:病理改变主要影响呼吸性细支气管,以管壁内单核细胞浸润和肺泡管、肺泡囊及其相邻肺泡出现泡沫巨噬细胞为特征。HRCT扫描表现为以小叶中心结节影和分支线样阴影,以及进行性细支气管扩张等,也可表现为继发于细支气管腔狭窄所致的气体潴留造成的低密度区。

(3)肺囊性纤维化:CT 表现为中小气道阻塞出现肺脏过度充气,柱状和囊状支气管扩张,多发的边界模糊的结节影,也可见马赛克征。

(4)细胞性细支气管炎:细胞性细支气管炎通常是过敏性肺炎最重要的病理形式。HRCT扫描所见反映了支气管壁的炎症,主要表现为在支气管、血管、淋巴管周围因浆细胞浸润而形成具有磨玻璃密度、边界模糊的小叶中心结节影,并可能造成细支气管管腔阻塞而形成树芽征。其HRCT特征为小叶中心结节影以及肺泡炎性渗出所致的磨玻璃影。马赛克密度影在86%以上的过敏性肺炎患者中可以看到。磨玻璃影之间的片状低密度在呼气扫描时可证明为气体潴留,并与气道阻塞的程度相关。

(5)腔内息肉性阻塞性细支气管炎:腔内息肉性阻塞性细支气管炎亦称为阻塞性细支气管炎伴机化性肺炎,HRCT扫描主要表现为伴有受累肺野的机化性炎症,通常是双侧的。有一半以上的病例,病变主要分布于支气管周围或胸膜下。该表现两肺通常不对称,且随病程的延长而发生改变,偶尔能发现环绕局限性机化性肺炎的细支气管结节影和由于炎症浸润产生的不规则线条影。不典型的磨玻璃样密度和结节在免疫功能低下的患者中变得越来越常见,而典型的特征性斑片状融合最常见于免疫功能好的患者。HRCT扫描虽有些特征性表现,但无特异性。

(6)石棉肺:石有人认为常规CT扫描在早期发现接触石棉的人群的胸膜增厚及肺实质纤维化等方面比常规X线胸片有明显更高的敏感性。高分辨率CT的诊断价值可能更大。在显示胸膜斑与肺实质性纤维化中,HRCT比常规CT具有更高的敏感性。同时一些研究也显示HRCT对一些普通胸片正常的患者可以发现其胸膜上的及肺实质内的异常。石棉肺在HRCT上的特征性表现包括:长度不等和胸膜平行的线条状阴影及马赛克征;肺内贯通着长度为2〜5cm的线条影,并可延伸到胸膜的表面;小叶间隔线的增厚以及次级肺小叶结构的增厚;蜂窝样肺改变。

血管性疾病

(1)肺栓塞:直接征象:主肺动脉和左、右肺动脉及其叶段分支管腔内形态各异的充盈缺损,即血栓。间接征象有肺叶、段在肺窗上的马赛克征、磨玻璃征、肺动脉增宽、肺不张和胸腔积液、心包积液等。

(2)肺动脉高压:胸部CT可见肺实质内马赛克征,高密度区血管增粗,低密度区血管纤细,小叶间隔增厚。也可呈斑片状影、肺小结节影。肺动脉干直径大于29mm预测肺动脉高压的敏感性为87%,但肺动脉干大小正常不能排除肺动脉高压。如果肺动脉干与升主动脉直径比值>1,肺动脉高压的可能性非常高。大多数肺动脉高压病例表现为外周血管修剪,但偶尔也可见外周肺动脉扩张。三个或更多肺叶的段动脉/支气管直径比值大于1:1对肺动脉高压更具特异性。

鉴别诊断

(1)肺栓塞:直接征象;肺动脉内的低密度充盈缺损,部分或完全包围在不透光的血管之间。

(2)弥漫性泛细支气管炎:胸部HRCT对诊断弥漫性泛细支气管炎更有帮助,其主要表现为两肺呈弥漫分布小叶中心可见的小结节影,直径2~5mm,边缘稍模糊。主要为两下肺叶及肺外带显著;双肺外带见树芽征表现。小支气管与细支气管扩张,支气管壁增厚,肺内可见结节影、线状影、高密度黏液栓等。

(3)闭塞性细支气管炎:表现为:马赛克样实变;支气管壁增厚和(或)支气管扩张;呼气时气体潴留征;肺实变或肺不张;闭塞性细支气管炎感染后可见黏液栓;网状结节影;树芽征等。

(4)肺囊性纤维化:可见马赛克样实变影外,还可见中小气道阻塞出现肺脏过度充气,柱状和囊状支气管扩张,多发的边界模糊的结节影。支气管黏液栓:由于黏液分泌物潴留在气管内形成,依据黏液存留的支气管走向不同而形态各异,多呈圆形或椭圆形、管状或尖端指向肺门的“V”形或“Y”形高密度阴影,密度均匀,边缘光滑锐利。

(5)石棉肺:X线片上以间质纤维改变的类圆形阴影为主。在两肺中下部的肺底、肺门附近较多,同时可见1mm大小的颗粒阴影。随病情进展,可呈蜂窝状,两肺满布不规则类圆形影。病变后期,肺门周围的广泛类圆形阴影与肺门和心脏影连接一起,加上胸膜和心包膜的粘连,其状似所谓的“蓬发状心影”此外,石棉肺时,肺的中下部透亮度较低,而上部增高。石棉肺在HRCT的特征性表现包括:长度不等和胸膜平行的线条状阴影及马赛克征;肺内贯通着长度为2〜5cm的线条影,并可延伸到胸膜的表面;小叶间隔线的增厚以及次级肺小叶结构的增厚;蜂窝样肺改变。

最新文章

随机文章

基本 文件 流程 错误 SQL 调试
  1. 请求信息 : 2026-04-18 02:06:09 HTTP/2.0 GET : https://67808.cn/a/480905.html
  2. 运行时间 : 0.167174s [ 吞吐率:5.98req/s ] 内存消耗:4,505.35kb 文件加载:140
  3. 缓存信息 : 0 reads,0 writes
  4. 会话信息 : SESSION_ID=a830cbeaa32e60741beaf4499d36ec8d
  1. /yingpanguazai/ssd/ssd1/www/no.67808.cn/public/index.php ( 0.79 KB )
  2. /yingpanguazai/ssd/ssd1/www/no.67808.cn/vendor/autoload.php ( 0.17 KB )
  3. /yingpanguazai/ssd/ssd1/www/no.67808.cn/vendor/composer/autoload_real.php ( 2.49 KB )
  4. /yingpanguazai/ssd/ssd1/www/no.67808.cn/vendor/composer/platform_check.php ( 0.90 KB )
  5. /yingpanguazai/ssd/ssd1/www/no.67808.cn/vendor/composer/ClassLoader.php ( 14.03 KB )
  6. /yingpanguazai/ssd/ssd1/www/no.67808.cn/vendor/composer/autoload_static.php ( 4.90 KB )
  7. /yingpanguazai/ssd/ssd1/www/no.67808.cn/vendor/topthink/think-helper/src/helper.php ( 8.34 KB )
  8. /yingpanguazai/ssd/ssd1/www/no.67808.cn/vendor/topthink/think-validate/src/helper.php ( 2.19 KB )
  9. /yingpanguazai/ssd/ssd1/www/no.67808.cn/vendor/topthink/think-orm/src/helper.php ( 1.47 KB )
  10. /yingpanguazai/ssd/ssd1/www/no.67808.cn/vendor/topthink/think-orm/stubs/load_stubs.php ( 0.16 KB )
  11. /yingpanguazai/ssd/ssd1/www/no.67808.cn/vendor/topthink/framework/src/think/Exception.php ( 1.69 KB )
  12. /yingpanguazai/ssd/ssd1/www/no.67808.cn/vendor/topthink/think-container/src/Facade.php ( 2.71 KB )
  13. /yingpanguazai/ssd/ssd1/www/no.67808.cn/vendor/symfony/deprecation-contracts/function.php ( 0.99 KB )
  14. /yingpanguazai/ssd/ssd1/www/no.67808.cn/vendor/symfony/polyfill-mbstring/bootstrap.php ( 8.26 KB )
  15. /yingpanguazai/ssd/ssd1/www/no.67808.cn/vendor/symfony/polyfill-mbstring/bootstrap80.php ( 9.78 KB )
  16. /yingpanguazai/ssd/ssd1/www/no.67808.cn/vendor/symfony/var-dumper/Resources/functions/dump.php ( 1.49 KB )
  17. /yingpanguazai/ssd/ssd1/www/no.67808.cn/vendor/topthink/think-dumper/src/helper.php ( 0.18 KB )
  18. /yingpanguazai/ssd/ssd1/www/no.67808.cn/vendor/symfony/var-dumper/VarDumper.php ( 4.30 KB )
  19. /yingpanguazai/ssd/ssd1/www/no.67808.cn/vendor/topthink/framework/src/think/App.php ( 15.30 KB )
  20. /yingpanguazai/ssd/ssd1/www/no.67808.cn/vendor/topthink/think-container/src/Container.php ( 15.76 KB )
  21. /yingpanguazai/ssd/ssd1/www/no.67808.cn/vendor/psr/container/src/ContainerInterface.php ( 1.02 KB )
  22. /yingpanguazai/ssd/ssd1/www/no.67808.cn/app/provider.php ( 0.19 KB )
  23. /yingpanguazai/ssd/ssd1/www/no.67808.cn/vendor/topthink/framework/src/think/Http.php ( 6.04 KB )
  24. /yingpanguazai/ssd/ssd1/www/no.67808.cn/vendor/topthink/think-helper/src/helper/Str.php ( 7.29 KB )
  25. /yingpanguazai/ssd/ssd1/www/no.67808.cn/vendor/topthink/framework/src/think/Env.php ( 4.68 KB )
  26. /yingpanguazai/ssd/ssd1/www/no.67808.cn/app/common.php ( 0.03 KB )
  27. /yingpanguazai/ssd/ssd1/www/no.67808.cn/vendor/topthink/framework/src/helper.php ( 18.78 KB )
  28. /yingpanguazai/ssd/ssd1/www/no.67808.cn/vendor/topthink/framework/src/think/Config.php ( 5.54 KB )
  29. /yingpanguazai/ssd/ssd1/www/no.67808.cn/config/app.php ( 0.95 KB )
  30. /yingpanguazai/ssd/ssd1/www/no.67808.cn/config/cache.php ( 0.78 KB )
  31. /yingpanguazai/ssd/ssd1/www/no.67808.cn/config/console.php ( 0.23 KB )
  32. /yingpanguazai/ssd/ssd1/www/no.67808.cn/config/cookie.php ( 0.56 KB )
  33. /yingpanguazai/ssd/ssd1/www/no.67808.cn/config/database.php ( 2.48 KB )
  34. /yingpanguazai/ssd/ssd1/www/no.67808.cn/vendor/topthink/framework/src/think/facade/Env.php ( 1.67 KB )
  35. /yingpanguazai/ssd/ssd1/www/no.67808.cn/config/filesystem.php ( 0.61 KB )
  36. /yingpanguazai/ssd/ssd1/www/no.67808.cn/config/lang.php ( 0.91 KB )
  37. /yingpanguazai/ssd/ssd1/www/no.67808.cn/config/log.php ( 1.35 KB )
  38. /yingpanguazai/ssd/ssd1/www/no.67808.cn/config/middleware.php ( 0.19 KB )
  39. /yingpanguazai/ssd/ssd1/www/no.67808.cn/config/route.php ( 1.89 KB )
  40. /yingpanguazai/ssd/ssd1/www/no.67808.cn/config/session.php ( 0.57 KB )
  41. /yingpanguazai/ssd/ssd1/www/no.67808.cn/config/trace.php ( 0.34 KB )
  42. /yingpanguazai/ssd/ssd1/www/no.67808.cn/config/view.php ( 0.82 KB )
  43. /yingpanguazai/ssd/ssd1/www/no.67808.cn/app/event.php ( 0.25 KB )
  44. /yingpanguazai/ssd/ssd1/www/no.67808.cn/vendor/topthink/framework/src/think/Event.php ( 7.67 KB )
  45. /yingpanguazai/ssd/ssd1/www/no.67808.cn/app/service.php ( 0.13 KB )
  46. /yingpanguazai/ssd/ssd1/www/no.67808.cn/app/AppService.php ( 0.26 KB )
  47. /yingpanguazai/ssd/ssd1/www/no.67808.cn/vendor/topthink/framework/src/think/Service.php ( 1.64 KB )
  48. /yingpanguazai/ssd/ssd1/www/no.67808.cn/vendor/topthink/framework/src/think/Lang.php ( 7.35 KB )
  49. /yingpanguazai/ssd/ssd1/www/no.67808.cn/vendor/topthink/framework/src/lang/zh-cn.php ( 13.70 KB )
  50. /yingpanguazai/ssd/ssd1/www/no.67808.cn/vendor/topthink/framework/src/think/initializer/Error.php ( 3.31 KB )
  51. /yingpanguazai/ssd/ssd1/www/no.67808.cn/vendor/topthink/framework/src/think/initializer/RegisterService.php ( 1.33 KB )
  52. /yingpanguazai/ssd/ssd1/www/no.67808.cn/vendor/services.php ( 0.14 KB )
  53. /yingpanguazai/ssd/ssd1/www/no.67808.cn/vendor/topthink/framework/src/think/service/PaginatorService.php ( 1.52 KB )
  54. /yingpanguazai/ssd/ssd1/www/no.67808.cn/vendor/topthink/framework/src/think/service/ValidateService.php ( 0.99 KB )
  55. /yingpanguazai/ssd/ssd1/www/no.67808.cn/vendor/topthink/framework/src/think/service/ModelService.php ( 2.04 KB )
  56. /yingpanguazai/ssd/ssd1/www/no.67808.cn/vendor/topthink/think-trace/src/Service.php ( 0.77 KB )
  57. /yingpanguazai/ssd/ssd1/www/no.67808.cn/vendor/topthink/framework/src/think/Middleware.php ( 6.72 KB )
  58. /yingpanguazai/ssd/ssd1/www/no.67808.cn/vendor/topthink/framework/src/think/initializer/BootService.php ( 0.77 KB )
  59. /yingpanguazai/ssd/ssd1/www/no.67808.cn/vendor/topthink/think-orm/src/Paginator.php ( 11.86 KB )
  60. /yingpanguazai/ssd/ssd1/www/no.67808.cn/vendor/topthink/think-validate/src/Validate.php ( 63.20 KB )
  61. /yingpanguazai/ssd/ssd1/www/no.67808.cn/vendor/topthink/think-orm/src/Model.php ( 23.55 KB )
  62. /yingpanguazai/ssd/ssd1/www/no.67808.cn/vendor/topthink/think-orm/src/model/concern/Attribute.php ( 21.05 KB )
  63. /yingpanguazai/ssd/ssd1/www/no.67808.cn/vendor/topthink/think-orm/src/model/concern/AutoWriteData.php ( 4.21 KB )
  64. /yingpanguazai/ssd/ssd1/www/no.67808.cn/vendor/topthink/think-orm/src/model/concern/Conversion.php ( 6.44 KB )
  65. /yingpanguazai/ssd/ssd1/www/no.67808.cn/vendor/topthink/think-orm/src/model/concern/DbConnect.php ( 5.16 KB )
  66. /yingpanguazai/ssd/ssd1/www/no.67808.cn/vendor/topthink/think-orm/src/model/concern/ModelEvent.php ( 2.33 KB )
  67. /yingpanguazai/ssd/ssd1/www/no.67808.cn/vendor/topthink/think-orm/src/model/concern/RelationShip.php ( 28.29 KB )
  68. /yingpanguazai/ssd/ssd1/www/no.67808.cn/vendor/topthink/think-helper/src/contract/Arrayable.php ( 0.09 KB )
  69. /yingpanguazai/ssd/ssd1/www/no.67808.cn/vendor/topthink/think-helper/src/contract/Jsonable.php ( 0.13 KB )
  70. /yingpanguazai/ssd/ssd1/www/no.67808.cn/vendor/topthink/think-orm/src/model/contract/Modelable.php ( 0.09 KB )
  71. /yingpanguazai/ssd/ssd1/www/no.67808.cn/vendor/topthink/framework/src/think/Db.php ( 2.88 KB )
  72. /yingpanguazai/ssd/ssd1/www/no.67808.cn/vendor/topthink/think-orm/src/DbManager.php ( 8.52 KB )
  73. /yingpanguazai/ssd/ssd1/www/no.67808.cn/vendor/topthink/framework/src/think/Log.php ( 6.28 KB )
  74. /yingpanguazai/ssd/ssd1/www/no.67808.cn/vendor/topthink/framework/src/think/Manager.php ( 3.92 KB )
  75. /yingpanguazai/ssd/ssd1/www/no.67808.cn/vendor/psr/log/src/LoggerTrait.php ( 2.69 KB )
  76. /yingpanguazai/ssd/ssd1/www/no.67808.cn/vendor/psr/log/src/LoggerInterface.php ( 2.71 KB )
  77. /yingpanguazai/ssd/ssd1/www/no.67808.cn/vendor/topthink/framework/src/think/Cache.php ( 4.92 KB )
  78. /yingpanguazai/ssd/ssd1/www/no.67808.cn/vendor/psr/simple-cache/src/CacheInterface.php ( 4.71 KB )
  79. /yingpanguazai/ssd/ssd1/www/no.67808.cn/vendor/topthink/think-helper/src/helper/Arr.php ( 16.63 KB )
  80. /yingpanguazai/ssd/ssd1/www/no.67808.cn/vendor/topthink/framework/src/think/cache/driver/File.php ( 7.84 KB )
  81. /yingpanguazai/ssd/ssd1/www/no.67808.cn/vendor/topthink/framework/src/think/cache/Driver.php ( 9.03 KB )
  82. /yingpanguazai/ssd/ssd1/www/no.67808.cn/vendor/topthink/framework/src/think/contract/CacheHandlerInterface.php ( 1.99 KB )
  83. /yingpanguazai/ssd/ssd1/www/no.67808.cn/app/Request.php ( 0.09 KB )
  84. /yingpanguazai/ssd/ssd1/www/no.67808.cn/vendor/topthink/framework/src/think/Request.php ( 55.78 KB )
  85. /yingpanguazai/ssd/ssd1/www/no.67808.cn/app/middleware.php ( 0.25 KB )
  86. /yingpanguazai/ssd/ssd1/www/no.67808.cn/vendor/topthink/framework/src/think/Pipeline.php ( 2.61 KB )
  87. /yingpanguazai/ssd/ssd1/www/no.67808.cn/vendor/topthink/think-trace/src/TraceDebug.php ( 3.40 KB )
  88. /yingpanguazai/ssd/ssd1/www/no.67808.cn/vendor/topthink/framework/src/think/middleware/SessionInit.php ( 1.94 KB )
  89. /yingpanguazai/ssd/ssd1/www/no.67808.cn/vendor/topthink/framework/src/think/Session.php ( 1.80 KB )
  90. /yingpanguazai/ssd/ssd1/www/no.67808.cn/vendor/topthink/framework/src/think/session/driver/File.php ( 6.27 KB )
  91. /yingpanguazai/ssd/ssd1/www/no.67808.cn/vendor/topthink/framework/src/think/contract/SessionHandlerInterface.php ( 0.87 KB )
  92. /yingpanguazai/ssd/ssd1/www/no.67808.cn/vendor/topthink/framework/src/think/session/Store.php ( 7.12 KB )
  93. /yingpanguazai/ssd/ssd1/www/no.67808.cn/vendor/topthink/framework/src/think/Route.php ( 23.73 KB )
  94. /yingpanguazai/ssd/ssd1/www/no.67808.cn/vendor/topthink/framework/src/think/route/RuleName.php ( 5.75 KB )
  95. /yingpanguazai/ssd/ssd1/www/no.67808.cn/vendor/topthink/framework/src/think/route/Domain.php ( 2.53 KB )
  96. /yingpanguazai/ssd/ssd1/www/no.67808.cn/vendor/topthink/framework/src/think/route/RuleGroup.php ( 22.43 KB )
  97. /yingpanguazai/ssd/ssd1/www/no.67808.cn/vendor/topthink/framework/src/think/route/Rule.php ( 26.95 KB )
  98. /yingpanguazai/ssd/ssd1/www/no.67808.cn/vendor/topthink/framework/src/think/route/RuleItem.php ( 9.78 KB )
  99. /yingpanguazai/ssd/ssd1/www/no.67808.cn/route/app.php ( 1.72 KB )
  100. /yingpanguazai/ssd/ssd1/www/no.67808.cn/vendor/topthink/framework/src/think/facade/Route.php ( 4.70 KB )
  101. /yingpanguazai/ssd/ssd1/www/no.67808.cn/vendor/topthink/framework/src/think/route/dispatch/Controller.php ( 4.74 KB )
  102. /yingpanguazai/ssd/ssd1/www/no.67808.cn/vendor/topthink/framework/src/think/route/Dispatch.php ( 10.44 KB )
  103. /yingpanguazai/ssd/ssd1/www/no.67808.cn/app/controller/Index.php ( 4.81 KB )
  104. /yingpanguazai/ssd/ssd1/www/no.67808.cn/app/BaseController.php ( 2.05 KB )
  105. /yingpanguazai/ssd/ssd1/www/no.67808.cn/vendor/topthink/think-orm/src/facade/Db.php ( 0.93 KB )
  106. /yingpanguazai/ssd/ssd1/www/no.67808.cn/vendor/topthink/think-orm/src/db/connector/Mysql.php ( 5.44 KB )
  107. /yingpanguazai/ssd/ssd1/www/no.67808.cn/vendor/topthink/think-orm/src/db/PDOConnection.php ( 52.47 KB )
  108. /yingpanguazai/ssd/ssd1/www/no.67808.cn/vendor/topthink/think-orm/src/db/Connection.php ( 8.39 KB )
  109. /yingpanguazai/ssd/ssd1/www/no.67808.cn/vendor/topthink/think-orm/src/db/ConnectionInterface.php ( 4.57 KB )
  110. /yingpanguazai/ssd/ssd1/www/no.67808.cn/vendor/topthink/think-orm/src/db/builder/Mysql.php ( 16.58 KB )
  111. /yingpanguazai/ssd/ssd1/www/no.67808.cn/vendor/topthink/think-orm/src/db/Builder.php ( 24.06 KB )
  112. /yingpanguazai/ssd/ssd1/www/no.67808.cn/vendor/topthink/think-orm/src/db/BaseBuilder.php ( 27.50 KB )
  113. /yingpanguazai/ssd/ssd1/www/no.67808.cn/vendor/topthink/think-orm/src/db/Query.php ( 15.71 KB )
  114. /yingpanguazai/ssd/ssd1/www/no.67808.cn/vendor/topthink/think-orm/src/db/BaseQuery.php ( 45.13 KB )
  115. /yingpanguazai/ssd/ssd1/www/no.67808.cn/vendor/topthink/think-orm/src/db/concern/TimeFieldQuery.php ( 7.43 KB )
  116. /yingpanguazai/ssd/ssd1/www/no.67808.cn/vendor/topthink/think-orm/src/db/concern/AggregateQuery.php ( 3.26 KB )
  117. /yingpanguazai/ssd/ssd1/www/no.67808.cn/vendor/topthink/think-orm/src/db/concern/ModelRelationQuery.php ( 20.07 KB )
  118. /yingpanguazai/ssd/ssd1/www/no.67808.cn/vendor/topthink/think-orm/src/db/concern/ParamsBind.php ( 3.66 KB )
  119. /yingpanguazai/ssd/ssd1/www/no.67808.cn/vendor/topthink/think-orm/src/db/concern/ResultOperation.php ( 7.01 KB )
  120. /yingpanguazai/ssd/ssd1/www/no.67808.cn/vendor/topthink/think-orm/src/db/concern/WhereQuery.php ( 19.37 KB )
  121. /yingpanguazai/ssd/ssd1/www/no.67808.cn/vendor/topthink/think-orm/src/db/concern/JoinAndViewQuery.php ( 7.11 KB )
  122. /yingpanguazai/ssd/ssd1/www/no.67808.cn/vendor/topthink/think-orm/src/db/concern/TableFieldInfo.php ( 2.63 KB )
  123. /yingpanguazai/ssd/ssd1/www/no.67808.cn/vendor/topthink/think-orm/src/db/concern/Transaction.php ( 2.77 KB )
  124. /yingpanguazai/ssd/ssd1/www/no.67808.cn/vendor/topthink/framework/src/think/log/driver/File.php ( 5.96 KB )
  125. /yingpanguazai/ssd/ssd1/www/no.67808.cn/vendor/topthink/framework/src/think/contract/LogHandlerInterface.php ( 0.86 KB )
  126. /yingpanguazai/ssd/ssd1/www/no.67808.cn/vendor/topthink/framework/src/think/log/Channel.php ( 3.89 KB )
  127. /yingpanguazai/ssd/ssd1/www/no.67808.cn/vendor/topthink/framework/src/think/event/LogRecord.php ( 1.02 KB )
  128. /yingpanguazai/ssd/ssd1/www/no.67808.cn/vendor/topthink/think-helper/src/Collection.php ( 16.47 KB )
  129. /yingpanguazai/ssd/ssd1/www/no.67808.cn/vendor/topthink/framework/src/think/facade/View.php ( 1.70 KB )
  130. /yingpanguazai/ssd/ssd1/www/no.67808.cn/vendor/topthink/framework/src/think/View.php ( 4.39 KB )
  131. /yingpanguazai/ssd/ssd1/www/no.67808.cn/vendor/topthink/framework/src/think/Response.php ( 8.81 KB )
  132. /yingpanguazai/ssd/ssd1/www/no.67808.cn/vendor/topthink/framework/src/think/response/View.php ( 3.29 KB )
  133. /yingpanguazai/ssd/ssd1/www/no.67808.cn/vendor/topthink/framework/src/think/Cookie.php ( 6.06 KB )
  134. /yingpanguazai/ssd/ssd1/www/no.67808.cn/vendor/topthink/think-view/src/Think.php ( 8.38 KB )
  135. /yingpanguazai/ssd/ssd1/www/no.67808.cn/vendor/topthink/framework/src/think/contract/TemplateHandlerInterface.php ( 1.60 KB )
  136. /yingpanguazai/ssd/ssd1/www/no.67808.cn/vendor/topthink/think-template/src/Template.php ( 46.61 KB )
  137. /yingpanguazai/ssd/ssd1/www/no.67808.cn/vendor/topthink/think-template/src/template/driver/File.php ( 2.41 KB )
  138. /yingpanguazai/ssd/ssd1/www/no.67808.cn/vendor/topthink/think-template/src/template/contract/DriverInterface.php ( 0.86 KB )
  139. /yingpanguazai/ssd/ssd1/www/no.67808.cn/runtime/temp/6df755f970a38e704c5414acbc6e8bcd.php ( 12.06 KB )
  140. /yingpanguazai/ssd/ssd1/www/no.67808.cn/vendor/topthink/think-trace/src/Html.php ( 4.42 KB )
  1. CONNECT:[ UseTime:0.000888s ] mysql:host=127.0.0.1;port=3306;dbname=no_67808;charset=utf8mb4
  2. SHOW FULL COLUMNS FROM `fenlei` [ RunTime:0.000547s ]
  3. SELECT * FROM `fenlei` WHERE `fid` = 0 [ RunTime:0.000243s ]
  4. SELECT * FROM `fenlei` WHERE `fid` = 63 [ RunTime:0.000290s ]
  5. SHOW FULL COLUMNS FROM `set` [ RunTime:0.000484s ]
  6. SELECT * FROM `set` [ RunTime:0.001115s ]
  7. SHOW FULL COLUMNS FROM `article` [ RunTime:0.000572s ]
  8. SELECT * FROM `article` WHERE `id` = 480905 LIMIT 1 [ RunTime:0.000436s ]
  9. UPDATE `article` SET `lasttime` = 1776449169 WHERE `id` = 480905 [ RunTime:0.002279s ]
  10. SELECT * FROM `fenlei` WHERE `id` = 65 LIMIT 1 [ RunTime:0.000243s ]
  11. SELECT * FROM `article` WHERE `id` < 480905 ORDER BY `id` DESC LIMIT 1 [ RunTime:0.002270s ]
  12. SELECT * FROM `article` WHERE `id` > 480905 ORDER BY `id` ASC LIMIT 1 [ RunTime:0.000795s ]
  13. SELECT * FROM `article` WHERE `id` < 480905 ORDER BY `id` DESC LIMIT 10 [ RunTime:0.002630s ]
  14. SELECT * FROM `article` WHERE `id` < 480905 ORDER BY `id` DESC LIMIT 10,10 [ RunTime:0.005475s ]
  15. SELECT * FROM `article` WHERE `id` < 480905 ORDER BY `id` DESC LIMIT 20,10 [ RunTime:0.008922s ]
0.168835s