当前位置:首页>学习笔记>《妇科盆腔磁共振成像参考手册》(学习笔记-2)

《妇科盆腔磁共振成像参考手册》(学习笔记-2)

  • 2026-05-13 01:32:08
《妇科盆腔磁共振成像参考手册》(学习笔记-2)
文末有自助领取该文献(RadioGraphics最新出版)原版PDF方式,全文60页,都是精华,建议阅读原版文献。
第二部分提炼版本:

(三)病灶诊断:四步系统评估法

1. 第一步:结合临床背景

  • 需回顾患者年龄、MRI 检查指征(如盆腔疼痛、闭经、异常出血、男性化表现等)、症状持续时间、感染征象; reproductive-age 患者需确认妊娠状态;同时参考病史(先天性畸形、子宫内膜异位症、既往癌症及治疗史、遗传突变)及实验室数据(如肿瘤标志物 CA-125、AFP 等)。

2. 第二步:确定病灶起源

通过特征性影像学征象判断病灶来源,常见指征如下:

病灶起源
关键判断征象
卵巢
同侧正常卵巢缺失(“幻影器官征”)、卵巢组织围绕肿块形成锐利角(“鸟喙征”)、卵巢呈变形新月形紧贴肿块(“嵌入器官征”)、性腺血管供血(“卵巢血管蒂征”)
子宫
子宫组织包裹肿块形成锐角(“爪征”)、带蒂肿块有从子宫延伸的组织 / 血管蒂(“桥接组织 / 血管征”)
输卵管
管状形态,多表现为 T2 低信号管状结构

3. 第三步:评估病灶组织成分与实性成分形态

通过多序列 MRI 将病灶分为 5 类,为鉴别诊断提供依据:

病灶类别
核心特征
常见病变举例
T1 高信号含脂质病灶
同相位 / 反相位 T1 加权成像显示脂质(脂肪抑制后信号降低、反相位图像见 “印度墨汁伪影”)
成熟畸胎瘤(皮样囊肿)、子宫脂肪平滑肌瘤
T1 高信号含血病灶(无实性成分)
脂肪抑制后 T1 高信号持续存在,无脂质特征,信号随出血时间变化
子宫内膜异位囊肿、出血性囊肿、输卵管积血
囊肿(单纯 / 蛋白性液体,无实性成分)
含单纯液体(T1 低、T2 高信号)或蛋白性液体(T1/T2 信号可变),壁光滑,可单房 / 多房
功能性囊肿、浆液性囊腺瘤、输卵管积水
含 T2 低信号 / DWI 低信号实性成分的囊实性病灶
实性成分 T2 信号≤骨骼肌、DWI 信号≤尿液(附件病灶)或<子宫肌层(子宫病灶),多为纤维性 / 纤维肌性组织
卵巢纤维瘤、子宫平滑肌瘤、深部子宫内膜异位症
含 T2 非低信号 / DWI 非低信号实性成分的囊实性病灶
实性成分 T2 信号>骨骼肌、DWI 信号>尿液(附件病灶)或≥子宫肌层(子宫病灶),可能伴弥散受限
卵巢恶性肿瘤(如高级别浆液性癌、无性细胞瘤)、子宫内膜癌、宫颈癌

4. 第四步:结构化报告

需采用疾病特异性结构化模板(如欧洲泌尿生殖放射学会、美国放射学会模板),清晰列出鉴别诊断,必要时给出明确诊断,确保与治疗团队沟通简洁有效。

(四)常见病变 MRI 诊断要点

1. 良性病变

  • 子宫内膜异位症
    :子宫内膜异位囊肿多为双侧、T1 高信号、T2 “阴影征”(信号降低),伴纤维性 T2 低信号壁;深部子宫内膜异位症表现为 T2 低信号 / DWI 低信号结节,常累及宫骶韧带、直肠乙状结肠等,可导致 “卵巢接吻征”(卵巢被瘢痕牵拉至子宫后方)。
  • 子宫平滑肌瘤
    :T2 低信号 / DWI 低信号实性病灶,增强扫描早期强化类似子宫肌层;可发生玻璃样变性(胶原替代平滑肌),变性后强化减弱,需与子宫肉瘤鉴别(肉瘤多有不规则边界、出血坏死、ADC 值≤0.905×10⁻³mm²/s)。
  • 卵巢功能性囊肿
    :绝经前常见,直径≤3cm,多为单侧,出血性囊肿信号随出血时间变化,2-3 个月可自行消失,与子宫内膜异位囊肿(多双侧、持续存在、T2 壁更厚)鉴别。

2. 恶性病变

  • 卵巢恶性肿瘤
    :高级别浆液性癌多为双侧囊实性病灶,伴大量 T2 非低信号 / DWI 非低信号实性成分、腹膜种植、腹水及淋巴结肿大;无性细胞瘤好发于<30 岁女性,为单侧实性病灶,T2 等信号,由 T2 低信号纤维血管间隔分隔成小叶,伴 LDH 升高;转移性卵巢癌(如库肯勃瘤)多为双侧快速增大的囊实性病灶,实性成分 T2 非低信号 / DWI 非低信号,常来自胃肠道腺癌。
  • 子宫内膜癌
    :T2 等信号子宫内膜肿块,伴肌层浸润(肿瘤 - 肌层界面中断),DWI 弥散受限,增强扫描强化弱于肌层;需评估肌层浸润深度、宫颈间质侵犯及淋巴结转移。
  • 宫颈癌
    :宫颈区 T2 等信号实性病灶,侵犯宫颈间质(正常 T2 低信号宫颈间质中断), parametrial 侵犯表现为肿瘤与宫旁组织间结节状 / 毛刺状界面;DWI 可提高宫旁侵犯诊断准确性。

三、总结

本手册核心价值在于建立 “临床背景 - 解剖定位 - 组织成分 - 形态分析” 的系统化诊断逻辑,强调 MRI 序列的个性化选择与多序列联合解读,同时通过结构化报告规范诊断沟通,为妇科盆腔疾病的精准诊断提供了标准化路径,尤其对良恶性病灶鉴别、肿瘤分期及治疗方案制定具有重要指导意义。

第二部分详细版本:
分步解读方法
在女性盆腔MRI检查中,采用系统的方法评估病变的起源、组织成分以及实体组织形态对诊断至关重要。放射学报告应遵循结构化格式,列出鉴别诊断,并在可能的情况下提供明确诊断。  
步骤1:临床背景 
教学要点 
在解读之前,放射科医生应查阅临床信息,包括患者年龄进行MRI检查的指征。关键的临床细节包括症状(如盆腔疼痛、闭经、异常出血或分泌物、男性化或性早熟)、症状持续时间以及感染体征。对于育龄患者,了解妊娠状态至关重要。相关病史可能包括先天性畸形、良性疾病(如子宫内膜异位症、平滑肌瘤)、感染(如盆腔炎)、既往癌症及治疗情况,以及与妇科癌症风险增加相关的基因突变或综合征(表1)(54)。手术史也很关键,可避免诊断错误(如将移位的卵巢误认为腹膜种植灶)。实验室信息也有助于聚焦解读方向(表2)(55)。在适当的临床背景下,血清肿瘤标志物水平升高可能提示特定肿瘤。然而,正常数值并不能排除这些疾病。
表 1 与妇科癌症风险升高相关的常见遗传性综合征及基因突变
遗传性综合征及基因突变
最常见肿瘤
遗传性乳腺癌 - 卵巢癌综合征DNA 修复基因(BRCA1/BRCA2等)德系犹太裔发病率为普通人群 10 倍
妇科:卵巢癌、输卵管癌、原发性腹膜癌(高级别浆液性);70 岁终生风险 BRCA1 35%~70%、BRCA2 10%~30%(普通人群 2%)非妇科:乳腺癌、前列腺癌、胰腺癌、黑色素瘤
林奇综合征DNA 错配修复基因(MLH1/MSH2/MSH6/PMS2等)
妇科:子宫内膜癌(终生风险 60%,普通人群 3%)、卵巢上皮癌(终生风险 24%)非妇科:结直肠癌(终生风险 80%)、胃癌、尿路上皮癌
佩 - 杰综合征(罕见)STK11LKB1)基因
妇科:宫颈胃型腺癌、环状小管性索肿瘤非妇科:乳腺癌(终生风险 50%)、胃肠胰癌良性:胃肠道错构瘤、皮肤黏膜色素沉着
考登综合征(罕见)PTEN 基因
妇科:子宫内膜癌(终生风险 5%~10%)非妇科:乳腺癌(25%~50%)、结直肠癌(9%)、甲状腺滤泡癌良性:皮肤黏膜病变、胃肠道错构瘤、巨头畸形
遗传性平滑肌瘤病和肾细胞癌综合征FH 基因
妇科:子宫平滑肌瘤(30 岁前终生风险 100%)非妇科:皮肤平滑肌瘤、高级别肾细胞癌(单侧单发,多晚期)

表 2 与女性盆腔 MRI 解读相关的最常见血清肿瘤标志物

血清肿瘤标志物
最常见的妇科癌症
最常见的其他疾病
CA-125*
上皮性卵巢癌 *非卵巢性浆液性子宫内膜癌(如浆液性、透明细胞、癌肉瘤)卵巢转移瘤
子宫内膜异位症盆腔炎症性疾病卵巢过度刺激综合征肝硬化、其他肝脏疾病腹膜炎
CEA*
黏液性卵巢癌 *纤维瘤与纤维卵泡膜瘤卵巢转移瘤
结直肠癌
CA19-9
黏液性卵巢癌(从良性到恶性)
胰胆管癌
HE-4
上皮性卵巢癌(尤其浆液性、子宫内膜样)
妊娠雌孕激素口服避孕药使用肾功能衰竭
AFP
恶性卵巢生殖细胞肿瘤(尤其卵黄囊瘤)的确诊性指标
胎儿畸形
β-hCG
恶性卵巢生殖细胞肿瘤(尤其绒毛膜癌)的确诊性指标妊娠滋养细胞疾病
妊娠
LDH
无性细胞瘤
子宫内膜异位症平滑肌瘤
抑制素(尤其 β 亚基)
颗粒细胞瘤 *支持 - 间质细胞瘤
绝经前生理性升高;因此主要是绝经后有用的血清肿瘤标志物
雌二醇
颗粒细胞瘤
随月经周期及绝经状态生理性波动
注 ——AFP = 甲胎蛋白,β-hCG=β- 人绒毛膜促性腺激素,CA-125 = 癌抗原 125,CA19-9 = 糖类抗原 19-9,CEA = 癌胚抗原,HE-4 = 人附睾蛋白 4,LDH = 乳酸脱氢酶。
*CA-125/CEA 比值大于 25 时,更倾向于诊断为原发性黏液性卵巢恶性肿瘤;而比值等于或小于 25 时,则提示需要进行胃肠道检查,包括上下消化道内镜检查,以排除源自胃肠道原发肿瘤的卵巢黏液性转移瘤。
最常见的癌症类型。
步骤2:病灶起源 
教学要点:
描述病灶特征首先要识别正常结构和可能的起源,这需要结合临床病史。首先找到卵巢和子宫。提示卵巢起源的线索包括:同侧正常卵巢缺失(“幻影器官”征);卵巢组织围绕肿块,其外侧边缘形成锐角(“鸟嘴”征);变形的新月形卵巢与肿块相邻(“嵌入器官”征);以及性腺血管供应(“卵巢血管蒂”征)(图17)(56,57)。卵巢血管蒂征在卵巢轴面或与子宫体平行的斜冠状面显示最佳(图2、3)。管状形态提示输卵管起源。
图17. 提示病变起源于卵巢的影像学线索。(A)一位31岁女性患者的冠状位T2加权图像,该患者患有多囊卵巢综合征、子宫内膜腺癌(未显示)和左侧卵巢转移瘤,图像显示一个变形的新月形卵巢(白色虚线轮廓)紧邻病变(嵌入器官征)。注意卵巢组织与病变接触处的侧缘形成锐角,符合喙征(箭头)。(B)一位69岁女性结肠癌卵巢转移患者的矢状位T2加权图像,显示正常同侧卵巢缺失(幻影器官征),且存在性腺血管供应(卵巢血管蒂征,箭头)。卵巢血管蒂征在沿子宫体平行获取的卵巢轴位或冠状斜位图像(未显示)上显示最佳。
提示病灶起源于子宫的征象包括子宫组织包绕肿块并在其两侧形成锐角(即 “爪征”);对于带蒂肿块,可见从子宫延伸至肿块的组织蒂和(或)血管(即 “桥接组织 / 血管征”)(图 18)(56,57)。上述的爪征和喙征均提示病变起源于某个器官,而非仅仅与其相邻,其依据是器官边缘被牵拉形成锐角,其中爪征通常更为明显。尽管这两种征象在影像学表现上相似,但 “喙征” 用于提示卵巢起源,而 “爪征” 则用于提示子宫起源(57,58)。
图18. 提示病变起源于子宫的影像学线索。一位37岁女性患者的轴位斜向T2加权图像显示,肿块(平滑肌瘤)周围有子宫组织,伴有锐利的侧缘(爪征,虚线),以及从子宫延伸至肿块的血管(桥接血管征,箭头)。
其他线索包括邻近结构的移位(28)。子宫和直肠乙状结肠的后移或侧移,或子宫前移与直肠后移,提示肿物起源于腹腔内。腹膜外器官的前移或中央移位提示肿物起源于腹膜外。输尿管和髂血管的中央移位提示肿物起源于盆腔侧壁,而肛提肌的上移则提示肿物起源于会阴部。
步骤3:病灶组织成分和实性组织形态 
一旦确定了可能的病灶起源,评估组织成分和实性组织形态就能提供有价值的见解(59)。教学要点 系统回顾同相位、反相位和脂肪饱和T1加权图像以评估脂质与血液含量,随后回顾T2加权和增强图像,根据后两者中实性组织的存在来区分囊肿与囊性及实性病灶,同时结合弥散加权图像和表观扩散系数(ADC)图的评估,可将病灶分为五类:
(a)T1高信号含脂质病灶;
(b)T1高信号含血液且无实性组织的病灶;
(c)无实性组织的囊肿(单纯性或蛋白性液体);
(d)具有T2低信号/DWI低信号实性组织的囊性或实性病灶;
(e)具有非T2低信号/非DWI低信号实性组织的囊性或实性病灶。 
若T1信号强度与尿液或脑脊液(CSF)相似,则为低信号;
介于骨骼肌与脂肪组织之间,则为等信号;
与脂肪组织相同或更高,则为高信号。
若T2信号强度与骨骼肌相同或更低,则为低信号或暗信号;
介于骨骼肌与尿液之间,则为等信号;
与尿液或脑脊液相同或更高,则为高信号。
对于附件病灶,高b值弥散加权信号强度若与尿液或脑脊液相似,则为低信号或暗信号;若更高,则为高信号(19)。
对于子宫病灶,高b值弥散加权信号强度若低于子宫肌层,则为低信号或暗信号;
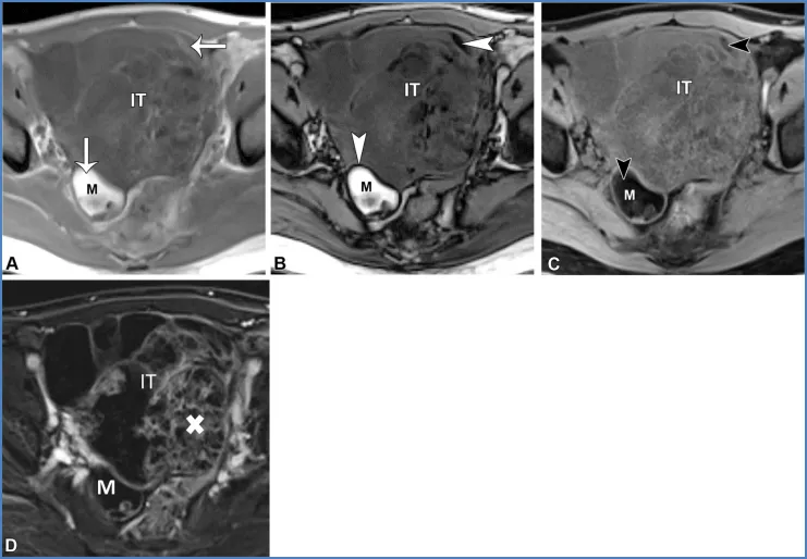
图19. 一名28岁女性患者的右侧成熟畸胎瘤和左侧未成熟畸胎瘤。这两个病灶都含有脂质,但成熟畸胎瘤(M)通常表现为充满脂质的囊肿,而未成熟畸胎瘤(IT)是复杂的多房囊性肿块,伴有强化的实性组织和散在的小脂质灶。肉眼可见的脂肪可通过以下特征识别:在轴位同相位T1加权图像上呈高信号(A中的箭头),在轴位反相位T1加权图像上的脂肪-水界面存在印度墨汁伪影(黑色边界伪影)(B中的箭头),以及在轴位脂肪抑制T1加权图像上信号被抑制(C中的箭头)。与成熟畸胎瘤可能在罗基坦斯基结节中显示强化不同,未成熟畸胎瘤在增强成像时显示大量强化的实性组织(白色X),如轴位减影图像(D)所示。
图20. 一位65岁女性患者的脂肪平滑肌瘤。(A)轴位同相位T1加权像显示子宫肌层内有一个边界清晰的高信号肿块。(B)轴位反相位T1加权像显示有印度墨汁伪影(黑色边界伪影,箭头所示)以及病灶内的信号降低(*),证实存在肉眼可见的脂肪和微观脂肪。
附件病变。
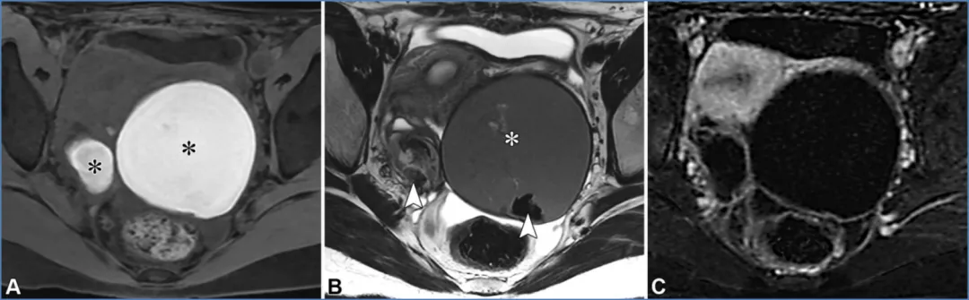
对于卵巢来源的病变,最常见的诊断是成熟畸胎瘤(皮样囊肿),这是一种良性卵巢生殖细胞肿瘤(62)。
成熟畸胎瘤通常无症状,但可能会引起扭转相关的疼痛。它们通常表现为囊肿,主要含有肉眼可见的脂质、偶尔可见的镜下脂质、毛发、皮肤成分以及牙齿样钙化(在T1和T2加权像上呈低信号)。它们可能会有弥散受限,还可能包含强化的罗基坦斯基结节,但这些都不是恶性的迹象(图19)(19,57,60,61)。极少情况下,含脂质的病变可能是恶性的。在老年患者中,成熟畸胎瘤可能发生恶性转化(≤2%),通常会转化为鳞状细胞癌;一个关键的影像学特征是较大的实体组织,常伴有跨壁延伸(19,62)。30岁以下女性可能会出现未成熟畸胎瘤,这是一种恶性卵巢生殖细胞肿瘤,常伴有血清甲胎蛋白和乳酸脱氢酶水平升高。未成熟畸胎瘤表现为大型单侧囊性病变,伴有实体组织、散在的小脂质灶以及不规则的小钙化,这些在MRI上可能难以检测到(图19)(62,63)。
非附件病变。对于子宫来源的病变,脂肪平滑肌瘤(一种见于绝经后女性的平滑肌瘤)是可能的诊断。脂肪平滑肌瘤是一种良性病变,含有脂肪组织和平滑肌,其中脂肪组织来源于平滑肌化生(64)。在MRI上,脂肪平滑肌瘤表现为边界清晰的肿瘤,含有肉眼可见的脂质并混杂有平滑肌。它们没有弥散受限,且T2低信号的平滑肌会有强化(图20)。 
对于非妇科来源的病变,鉴别诊断包括网膜梗死、良性和恶性原发性脂肪瘤(如脂肪肉瘤、脂肪瘤、冬眠瘤)、肾上腺外髓脂肪瘤、髓外造血以及骶尾部畸胎瘤(63)。  
无实体组织的T1高信号含血病变
如果在脂肪抑制T1加权成像上T1高信号持续存在,且在同相位和反相位T1加权成像上无脂质,则该病变含有血液或蛋白性液体(59)。血液的信号强度取决于出血事件发生后的时间(表S6)(19)。  
附件病变。表S7列出了最常见的无实体组织的妇科T1高信号含血病变,并按其来源进行了分类(10,19,39,44,64-68)。
对于卵巢来源的病变,子宫内膜异位囊肿和出血性囊肿是可能的诊断。子宫内膜异位囊肿是子宫内膜异位症的常见表现,子宫内膜异位症影响10%的育龄女性,并与慢性疼痛和不孕相关(10)。子宫内膜异位症的特征是子宫内膜腺体和间质出现在子宫内膜外,导致炎症、纤维化和结构扭曲。影像学检查可能会发现子宫内膜异位囊肿和深部子宫内膜异位症。子宫内膜异位囊肿表现为卵巢囊肿,通常为多灶性和双侧性,由于周期性出血,在T1加权像上呈弥漫性显著高信号,在T2加权像上呈阴影(变暗)改变(图21)。由纤维化和含铁血黄素形成的厚T2低信号 rim、由血块形成的T2低信号斑点以及病变长期存在,均会提高子宫内膜异位囊肿诊断的特异性(65,66)。
图21. 一位20岁痛经女性患者的双侧子宫内膜异位囊肿。(A、B)轴位脂肪抑制T1加权像(A)和T2加权像(B)显示了子宫内膜异位囊肿的典型特征,如双侧T1高信号病灶(A中的*)伴T2信号衰减(B中的*)、T2低信号囊壁以及病灶内T2低信号斑点(B中的箭头),所有这些均提示慢性反复出血。(C)对比增强脂肪抑制T1加权减影图像证实无强化的实性组织。
使用减影技术的增强成像对于评估实体组织至关重要,这可能提示子宫内膜异位症相关恶性肿瘤(最常见的是子宫内膜样癌或透明细胞癌),或者在妊娠期,提示由激素刺激和异位子宫内膜肥大引起的蜕膜化子宫内膜异位囊肿(10)。与子宫内膜异位囊肿不同,出血性囊肿是单侧单一囊肿,其T1和T2信号强度因血液年龄而异(19)。出血性囊肿没有明显的T2低信号边缘和T2低信号斑点,且会随时间消退。在绝经前患者中,当囊肿大小为3厘米或更小时,它们被认为是生理性表现。黄体囊肿也可能包含出血,并具有典型的“锯齿状”厚壁伴明显强化(图7)(38)。  
对于卵巢旁来源的病变,输卵管积血是可能的诊断。输卵管积血表现为扩张的T1高信号充满血液的输卵管(39)。它们可能与子宫内膜异位症、梗阻性先天性疾病、盆腔炎性疾病或异位妊娠相关(39)。  
非附件病变——对于子宫来源的病变,子宫肌层内的病变可能提示伴有出血性梗死引起红色变性的平滑肌瘤(64)。平滑肌瘤,无论是偶然发现的还是有疼痛症状的,都表现出弥漫性或边缘性T1高信号和T2低信号,这反映了血管血栓形成(图22)。无对比增强可证实该诊断(64)。
图22. 一名40岁月经过多女性患者的出血性子宫肌层病变,符合平滑肌瘤红色(海绵状)变性。(A)轴位斜行脂肪抑制T1加权像显示弥漫性T1高信号子宫肿块(*),提示出血。(B)轴位斜行减影图像显示该子宫肿块(*)无对比增强,证实平滑肌瘤内出血性梗死。如果减影图像上存在强化的实性组织,必须仔细与平滑肌肉瘤相鉴别。
子宫内膜腔、宫颈管或阴道内的血液积聚可能会与T1高信号的含血病变相混淆。子宫积血(子宫内的血液)和阴道积血(阴道内的血液)通常继发于先天性米勒管畸形、处女膜闭锁、瘢痕相关的狭窄或梗阻性肿瘤(44)。副腔子宫肿块是一种罕见的先天性米勒管畸形,表现为30岁以下女性出现慢性盆腔疼痛、痛经和不孕,需要手术切除(67)。它由一个不与其他部位相通的副腔组成,腔内衬有功能性子宫内膜,因周期性出血而充满血液,周围环绕着平滑肌,使其具有类似子宫的形态。它位于子宫内圆韧带附着点下方(67,68)。  对于非妇科来源的病变,鉴别诊断包括创伤、手术操作及其他原因(如卵巢囊肿破裂)引起的血肿或腹腔积血。
囊肿(单纯性或蛋白性液体)无实性组织 
表S8详细列出了最常见的导致无实性组织囊肿的妇科疾病,并按其起源进行了分类(36,39,69–71)。这些病变通常为良性,包含单纯性液体(T1低信号、T2高信号,类似尿液或脑脊液)或蛋白性液体(T1和T2信号强度不定)。它们具有光滑的壁,可能为单房或多房。它们可能表现出T2透过效应,其特征是在T2加权成像、高b值扩散加权成像和ADC图上因液体而呈高信号。因此,查看所有三个序列对于避免误判至关重要。  
附件病变——对于卵巢来源的病变,鉴别诊断包括功能性囊肿、绝经后囊肿以及良性上皮性肿瘤,如浆液性或黏液性囊腺瘤(图23)。浆液性囊腺瘤通常为单房,偶尔为双侧,内充满单纯性液体,类似绝经后卵巢囊肿(36)。黏液性囊腺瘤为单侧、多房,由于黏液的存在,囊腔的T1和T2信号强度不定,形成“彩色玻璃”样表现(69)。双侧黏液性囊腺瘤样病变应警惕转移瘤的可能。
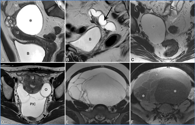
图23. 不同患者中无强化实性组织的各种妇科囊性病变的MRI图像。(A)矢状位T2加权图像显示一个卵巢旁囊肿,这是一个单房性单纯囊肿(*),位于子宫(U)和卵巢(O)附近但与之分离。B=膀胱。(B)矢状位T2加权图像显示一个输卵管积水,为扩张的、充满液体的管状结构(箭头),壁光滑且有输卵管内膜皱襞,与子宫和卵巢(未显示)分离。B=膀胱。(C)轴位T2加权图像显示一个浆液性囊腺瘤(*),这是一个长期存在的单房性囊肿。未能观察到与该病变分离的卵巢。(D)一位有过肠切除史的46岁女性患者的轴位T2加权图像显示一个腹膜包涵囊肿(PIC),这是一种多房性囊性病变,因粘连形成薄分隔,形态与腹膜腔一致(箭头),卵巢(O)悬浮于边缘。U=子宫。(E、F)轴位T2加权图像(E)和脂肪抑制T1加权图像(F)显示一个黏液性囊腺瘤,这是一个大型单侧多房性囊性肿块,囊腔信号强度不一(*;在F中最明显;*),类似彩色玻璃。
对于卵巢旁来源的病变,鉴别诊断包括卵巢旁囊肿、输卵管积水和腹膜包涵囊肿(图23)。卵巢旁囊肿是位于子宫和卵巢之间阔韧带内的圆形或椭圆形单房囊肿(70)。输卵管积水是卵巢附近呈C形或U形、充满液体的梗阻性输卵管,具有特征性的不完全隔膜或输卵管内膜皱襞。输卵管积水通常由盆腔炎性疾病引起的瘢痕导致,较少由子宫内膜异位症或手术引起(39)。腹膜包涵囊肿常见于有功能卵巢且既往有盆腔损伤(如手术、创伤、子宫内膜异位症)的绝经前女性,是符合腹膜腔形态并包绕卵巢的多房薄壁病变,呈现“网中蜘蛛”样表现(70)。  
非附件区病变——对于子宫来源的病变,鉴别诊断包括罕见的因囊性变导致的纯囊性平滑肌瘤、宫颈病变中的纳博特囊肿或隧道状簇,以及阴道病变中的阴道囊肿(表S3、S4;图13、15)。  
对于非妇科来源的病变,需考虑尿道憩室、斯基恩腺囊肿(位于尿道外口外侧)、阑尾黏液囊肿、肠重复囊肿、肠系膜囊肿、淋巴管瘤、直肠后囊肿、术后血清肿或淋巴结清扫后的淋巴囊肿(图15)。  
具有T2低信号/DWI低信号实性组织的囊性或实性病变
表S9详细列出了最常见的具有T2低信号/DWI低信号实性组织的妇科疾病,并按其来源进行了分类(10,36,64,72-74)。其中大多数是含有纤维化或纤维肌组织的良性病变。T2低信号定义为T2信号强度等于或低于骨骼肌(19,22)。对于卵巢病变和纤维化斑块,高b值DWI(≥1000秒/平方毫米)上的低信号定义为DWI信号强度等于或低于尿液或脑脊液;而对于子宫病变,高b值DWI上的低信号定义为DWI信号强度低于子宫肌层(19,22)。T2低信号/DWI低信号实性组织通常还伴有ADC图上的低信号,即所谓的“T2黑out”模式(57)。
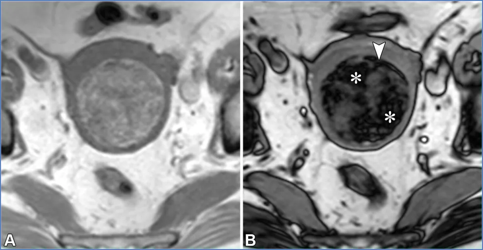
附件区病变——对于卵巢来源的病变,实性病变中具有T2低信号/DWI低信号实性组织的主要考虑为纤维瘤和卵泡膜纤维瘤,而囊性病变中具有T2低信号/DWI低信号实性组织的则考虑为囊腺纤维瘤(36)。卵巢纤维瘤和卵泡膜纤维瘤是良性的、常无症状的性索间质肿瘤,通常发生于中年女性。它们含有纤维组织和卵泡膜细胞。虽然通常为单侧,但双侧纤维瘤可能发生在戈林(基底细胞痣)综合征中。梅格斯综合征(胸腔积液、腹水和卵巢肿块)较为罕见,但在卵巢纤维瘤中比在其他卵巢肿瘤中更常见。卵巢纤维瘤和卵泡膜纤维瘤通常表现为T2低信号/DWI低信号实性组织,伴有T2黑out模式和轻微的延迟强化(图24)。布伦纳瘤是罕见的上皮-间质肿瘤,难以与纤维瘤和卵泡膜纤维瘤鉴别,但通常体积较小(36)。囊腺纤维瘤是一种良性上皮肿瘤,是具有T2低信号/DWI低信号实性组织的囊性病变的最可能诊断(图25)。偶尔,实性组织中可包含散在的囊性病灶,称为“黑色海绵”(36,72)。“黑色海绵”征是一种非特异性特征,也可能在其他较不常见的病变中出现。
图24. 一名37岁痛经女性患者的右侧卵巢纤维瘤和左侧壁内平滑肌瘤(带有黏膜下成分)。(A、B)轴位T2加权像(A)和高b值扩散加权像(B)显示右侧卵巢纤维瘤呈T2低信号/扩散加权低信号(白色*),左侧子宫平滑肌瘤(黑色*)。(C)轴位对比增强脂肪抑制T1加权减影像显示,与平滑肌瘤(黑色*)的明显强化相比,纤维瘤(白色*)仅有轻度强化。
图25. 一位72岁女性患者的囊腺纤维瘤,该患者有腹痛症状且可触及盆腔肿块。(A、B)轴位T2加权像(A)和高b值扩散加权像(B)显示右侧卵巢多房性病变,包含囊性成分和实性组织(箭头),该实性组织在T2加权像和扩散加权像上均呈低信号。注意散在分布于实性组织之间的囊性病灶,即“黑色海绵”(A中的箭头头),这是一种非特异性表现,也可见于其他不太常见的卵巢肿瘤。(C)轴位对比增强脂肪抑制T1加权减影像显示实性组织内有轻度强化(箭头)。
非附件病变。
对于子宫来源的病变,平滑肌瘤是首要考虑的(64)。平滑肌瘤是良性的、由激素驱动的肿瘤,终生患病率高达70%,在绝经前增大,绝经后缩小。它们可能无症状,也可能引起盆腔疼痛、压迫感、异常子宫出血和生育力低下。平滑肌瘤可发生多种类型的变性,其中玻璃样变性(平滑肌被胶原蛋白替代)最为常见。常规平滑肌瘤和玻璃样变平滑肌瘤通常均表现为均匀的T2低信号/DWI低信号实性组织,据此可做出可靠的良性诊断(图24)。与卵巢纤维瘤不同,常规平滑肌瘤像子宫肌层一样表现出早期明显强化,而玻璃样变平滑肌瘤强化程度较低。平滑肌瘤可分为浆膜下、肌壁间或黏膜下,可采用国际妇产科联合会(FIGO)系统进行精确分类(图26)。罕见的阔韧带平滑肌瘤与子宫平滑肌瘤具有相似的影像学特征,但位于阔韧带内,且与子宫或同侧卵巢均无连接(73,74)。当平滑肌瘤发生变性,导致实性组织呈现非T2低信号/非DWI低信号时,将其与恶性肿瘤(尤其是平滑肌肉瘤)进行鉴别至关重要,这将在下一节中讨论。
图26. 国际妇产科联盟(FIGO)的子宫肌瘤分类有助于精确描述子宫肌瘤的位置。黏膜下肌瘤:0型=有蒂腔内型;1型=肌壁间部分小于50%;2型=肌壁间部分50%或以上。其他类型肌瘤:3型=100%肌壁间且与子宫内膜接触;4型=100%肌壁间,不与子宫内膜或浆膜接触;5型=浆膜下,肌壁间部分50%或以上;6型=浆膜下,肌壁间部分小于50%;7型=有蒂浆膜下型;8型=位于子宫肌层外(宫颈、阔韧带等)。混合型:2-5型=第一个数字表示黏膜下部分,第二个数字表示浆膜下部分。
对于子宫旁/卵巢旁来源的病变,深部子宫内膜异位症是首要考虑的疾病(10)。深部子宫内膜异位症是一种严重的类型,表现为具有腹膜下延伸的纤维化病变。它通常为多灶性,主要累及盆腔,特别是附着于子宫 torus 的宫骶韧带。其他常见的受累部位包括直肠乙状结肠(“蘑菇帽”征)、子宫直肠陷凹、阴道、圆韧带、膀胱和卵巢表面。在晚期病例中,卵巢可能移位至子宫后方,形成“卵巢接吻”征(图27)。深部子宫内膜异位症在T2加权成像和弥散加权成像上表现为低信号增厚区、光滑或毛刺状结节,以及可能牵拉邻近结构并导致结构变形的浸润(例如子宫后屈、子宫偏斜、“卵巢接吻”征和肠管成角)。由于异位子宫内膜腺体中存在血液,深部子宫内膜异位症在T2加权成像和脂肪抑制T1加权成像上偶尔可能出现高信号灶。
图27. 一名46岁女性盆腔疼痛患者的双侧子宫内膜异位囊肿和深部盆腔子宫内膜异位症。轴位T2加权图像显示双侧子宫内膜异位囊肿(*)伴T2信号阴影。在子宫、卵巢和直肠乙状结肠之间可见由深部子宫内膜异位症引起的T2低信号瘢痕(箭头)。这种瘢痕会牵拉结肠,并将卵巢向后移位至子宫,即所谓的卵巢接吻征。
对于非妇科来源的病变,鉴别诊断包括源自其他器官的平滑肌瘤或纤维瘤,以及既往手术、创伤或感染引起的纤维化。  
具有非低信号T2/非低信号DWI实性组织的囊性或实性病变
表S10(10,36,62,69,72,75-78)和表S11(8,9,20-25,79-82)按来源分类描述了最常见的具有非低信号T2/非低信号DWI实性组织的妇科疾病。非低信号T2定义为T2信号强度高于骨骼肌(19,22)。对于附件病变,非低信号DWI定义为DWI信号强度高于尿液或脑脊液(19),而对于子宫病变,非低信号DWI定义为DWI信号强度等于或高于子宫肌层(22)。如果实性组织在高b值DWI上的信号强度高于低b值DWI,且在ADC图上呈低信号,则表明其弥散受限
(57)。  
附件病变——对于卵巢来源的病变,应考虑原发性卵巢肿瘤或转移瘤(表S10,图6)。在原发性肿瘤中,鉴别诊断包括交界性上皮性肿瘤(浆液性、黏液性、血清黏液性等)、浸润性上皮性肿瘤(高级别和低级别浆液性、黏液性、子宫内膜样、透明细胞等)、恶性生殖细胞肿瘤(无性细胞瘤、卵黄囊瘤、胚胎性癌和绒毛膜癌),以及几种性索间质肿瘤(颗粒细胞瘤、支持-间质细胞瘤等)(36)。  
患者年龄、恶性肿瘤病史、症状、血清肿瘤标志物和MRI特征可提供重要的诊断线索。卵巢-附件报告和数据系统(O-RADS)MRI算法通过评估强化最明显的实性组织与子宫外肌层的强化动力学,来优化恶性风险评估(19)。更多细节超出了本文的范围,可在参考资料中获取。此外,实性组织的形态——如乳头状突起、壁结节、不规则分隔或壁,或较大的实性部分——可提供更多信息。  
对于30岁以下、单侧卵巢实性病变且乳酸脱氢酶升高的女性,最可能的诊断是无性细胞瘤(36,62)。无性细胞瘤是一种恶性生殖细胞肿瘤,为睾丸精原细胞瘤的卵巢对应肿瘤,表现为单侧非低信号T2/非低信号DWI实性病变,由T2低信号、强化明显的纤维血管间隔分隔成小叶(图28)(62)。相反,在30岁以下女性中,甲胎蛋白升高基本可诊断为卵黄囊瘤,而β-人绒毛膜促性腺激素升高基本可诊断为绒毛膜癌(36,62)。
图28. 一位20岁女性患者的左侧卵巢无性细胞瘤,其乳酸脱氢酶(LDH)水平升高。轴位T2加权像(A)、高b值扩散加权像(B)、表观扩散系数(ADC)图(C)及对比增强脂肪抑制T1加权像(D)显示,卵巢存在一个T2信号中等的实性病灶,伴有弥散受限(B图呈高信号,C图呈低信号)且有强化。该病灶被纤维血管间隔分隔成小叶,这些间隔在T2加权像上呈特征性的中低信号(A图箭头),在对比增强像上呈明显强化(D图箭头)。
对于出现男性化特征、少经或闭经且单侧卵巢有实性病变的年轻女性,支持-间质细胞瘤是最可能的诊断(36,75)。这种性索间质肿瘤是与睾酮水平升高相关的最常见卵巢肿瘤,其表现可能为惰性,也可能具有侵袭性。它通常表现为T2加权成像非低信号、弥散加权成像非低信号的不均质实性病变,伴有散在的小囊性灶(36,75)。  对于抑制素B水平升高的老年女性,应考虑颗粒细胞瘤(36,55)。这是一种罕见的恶性性索间质肿瘤,主要发生在绝经后女性(成人型),在30岁以下女性中较少见(幼年型)(36)。这些肿瘤是导致雌激素水平升高的最常见原因,可引发异常子宫出血、子宫内膜息肉、增生或癌变(图29)。
图29. 一名31岁异常阴道出血女性患者的颗粒细胞瘤及继发性子宫内膜样腺癌。EC=子宫内膜癌。(A、B)垂直于子宫体获取的用于子宫内膜癌分期的斜轴位T2加权图像,显示右侧卵巢肿块(A中的*),伴有非低信号T2/非低信号DWI实性组织,病理证实为颗粒细胞瘤(扩散加权和对比增强图像未显示)。一个T2中等信号(非低信号T2)的子宫内膜肿块使子宫内膜腔扩大,符合已知的子宫内膜样腺癌表现。(C)与T2加权图像采用相同平面、视野和层厚获取的斜轴位高b值扩散加权图像(C),显示高信号强度的子宫内膜癌,在ADC图上对应低信号强度(未显示),提示弥散受限。(D)斜轴位对比增强脂肪饱和T1加权减影图像显示子宫内膜癌的强化程度低于子宫肌层。在T2加权、高b值扩散加权和减影图像(B-D)上可见不规则的肿瘤-肌层界面(B-D中的箭头),符合肌层浸润表现。
交界性上皮肿瘤通常发生在较年轻的人群中,其与浸润性上皮肿瘤的区别在于没有间质浸润(72)。浆液性交界性肿瘤是最常见的类型,多见于绝经前女性,可为单侧或双侧,其中双侧发病的情况占三分之一。这类肿瘤也可能表现为腹膜种植。当实性组织呈现乳头状形态,且具有T2高信号结构和T2低信号内部分支时,几乎可以诊断为浆液性交界性肿瘤(图30)(36,72)。较大的乳头状突起可能类似海葵(76)。黏液性交界性肿瘤是第二常见的类型,通常表现为较大的单侧多房性肿块,伴有蜂窝状小囊。如果存在壁结节和不规则分隔,则难以与黏液癌区分(36,69,72)。双侧黏液性病变应警惕转移的可能。
图30. 一名41岁女性患者的双侧浆液性交界性肿瘤,表现为盆腔疼痛、腹胀和血清CA-125水平升高。轴位T2加权图像显示双侧卵巢病变,可见的乳头状突起以向外生长的表面生长模式为主。乳头状突起呈现出典型的T2高信号结构(白色箭头),内部有T2低信号分支(黑色箭头)。这种独特的海葵样外观是浆液性交界性肿瘤的特征性表现。
高级别浆液性卵巢癌(HGSOC)是最常见的侵袭性上皮肿瘤,也是总体上最常见的卵巢癌(36)。它通常发生在绝经后女性中,且与CA-125水平升高相关。高级别浆液性卵巢癌的一个风险因素是遗传性乳腺癌和卵巢癌综合征,该综合征主要由生殖系BRCA1/2突变引起,会导致发病年龄提前(54)。高级别浆液性卵巢癌常表现为双侧实性或囊性病变,伴有大体积的T2非低信号/弥散加权成像非低信号实性组织、腹膜种植灶、腹水,有时还有淋巴结肿大,这反映出由于缺乏早期症状且腹膜扩散迅速,其就诊时通常已处于晚期(图31)(36)。
图31. 一位52岁女性患者的高级别浆液性卵巢癌,该患者有腹痛、腹胀症状,且血清CA-125水平升高。轴位T2加权像(A)、高b值弥散加权像(B)和对比增强脂肪抑制T1加权像(C)显示双侧附件囊性病变,其中的实性组织(*)在T2加权像(A)上呈中等信号强度,在高b值弥散加权像(B)上呈高信号强度,且在对比增强像(C)上有强化。此外,还可见后陷凹的腹膜种植灶(黑色箭头)、腹水以及右侧盆腔淋巴结肿大(白色箭头)。
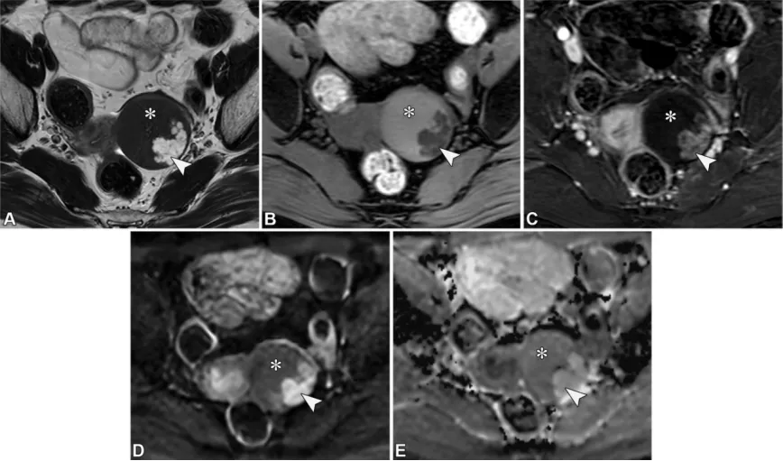
子宫内膜异位症相关恶性肿瘤约发生在1%的长期患有子宫内膜异位症的患者中,主要起源于子宫内膜异位囊肿(占75%)(10,77)。最常见的亚型是子宫内膜样癌和透明细胞癌,以及几种交界性肿瘤(血清黏液性、子宫内膜样、透明细胞型)。当由于肿瘤细胞分泌物稀释出血而导致T2加权成像的阴影消失或不存在,且在减影图像上可见非暗T2信号/非暗弥散加权成像的实性组织时,应怀疑为恶性肿瘤(图32)。子宫内膜样癌和透明细胞癌还可能与林奇综合征相关,常伴有同步性子宫内膜癌。
图32. 一位患有子宫内膜异位症的58岁女性患者,由子宫内膜异位囊肿引发的左卵巢子宫内膜样交界性肿瘤。轴位T2加权像(A)、脂肪抑制T1加权像(B)、对比增强T1加权脂肪抑制减影图像(C)、高b值弥散加权像(D)以及ADC图(E)显示左侧子宫内膜异位囊肿(*)伴有强化的实性组织(箭头),该实性组织在T2加权像(A)、弥散加权像(D)和ADC图(E)上呈高信号。强化实性组织在弥散加权像上呈高信号,在ADC图上呈相对高信号,提示为交界性肿瘤。潜在的左侧子宫内膜异位囊肿表现出T2信号降低(A)和T1高信号(B)。
若已知存在原发性恶性肿瘤,应考虑卵巢转移瘤的可能,但卵巢转移瘤也可能是隐匿性原发性恶性肿瘤的首次表现(36)。最常见的原发部位包括结肠或子宫内膜腺癌,其次是胃、乳腺、阑尾和胰胆管腺癌。卵巢转移瘤患者通常比原发性浸润性上皮性卵巢肿瘤患者更年轻,且病变通常为双侧,生长迅速。库肯勃瘤是卵巢转移瘤的一种亚型,约占病例的50%,起源于具有分泌黏液的印戒细胞的腺癌(78)。它们通常起源于胃,但也可能源于其他部位,包括结肠、阑尾和乳腺(83)。卵巢转移瘤通常表现为双侧快速增大的实性或囊性病变,实性部分在T2加权成像上呈非低信号,在弥散加权成像上也呈非低信号。在库肯勃瘤中,囊性成分代表肿瘤细胞分泌的黏液(图33)(36,78)。
图33. 一名44岁女性患者的胃印戒细胞腺癌双侧卵巢转移(库肯勃瘤)。(A)轴位T2加权像显示右侧卵巢(RO)被带有不均质实性组织的囊性病变取代,左侧卵巢(LO)被不均质实性病变取代。右侧肿块中T2高信号的囊性部分(*)是由肿瘤细胞分泌的黏液所致。(B、C)轴位高b值扩散加权像(B)显示高信号,对应的轴位ADC图(C)显示低信号,与两个肿块中的弥散受限(箭头)一致。(D)轴位对比增强脂肪抑制T1加权像显示双侧卵巢肿块中的实性组织强化。
非附件病变——如果病变起源于子宫且位于子宫肌层中央,那么区分常见的良性平滑肌瘤与恶性肿瘤(如罕见但具有侵袭性的子宫肉瘤,其中最常见的是平滑肌肉瘤)就至关重要。平滑肌瘤可能与典型的T2低信号/DWI低信号实性组织有所不同,由于组织学变异(如富于细胞性平滑肌瘤)或退行性变,可能会呈现出非典型表现(64)。最近发表的一种算法方法,利用实性组织的T2和DWI信号强度,为评估子宫肌层肿块的恶性风险提供了一个结构化框架(图34)(22)。在排除肿大的淋巴结或腹膜种植灶后,将实性组织的T2信号强度与骨骼肌的进行比较。如果实性组织的T2信号强度更高,则在高b值DWI上评估该实性组织。如果DWI信号强度等于或高于子宫内膜或淋巴结的信号强度,通过在ADC信号强度最低的实性组织上放置一个小的感兴趣区域来测定ADC值。若ADC值≤0.905×10⁻² mm²/s,则怀疑为恶性,但这一结论仅在使用b值为1000 sec/mm²的DWI检查时有效。需排除出血和坏死区域,以避免误差。提示恶性的其他MRI特征包括边缘不规则、出血和坏死。绝经后在未接受激素治疗的情况下,子宫肌层肿块增大,是恶性肿瘤的另一个强烈指征(22)。
图34. 一位58岁绝经后出血女性患者的子宫平滑肌肉瘤。(A)轴位对比增强脂肪抑制T1加权像显示,在中央坏死和出血性子宫肌层肿块(M)的周边有强化的实性组织(*)(未显示减影图像)。(B)轴位T2加权像显示,强化实性组织(箭头)的T2信号强度超过髂腰肌(箭头)的信号强度。(C)轴位高b值扩散加权像显示,扩散加权成像(DWI)上强化实性组织(箭头)的信号强度等于或大于淋巴结(弯箭头)的信号强度。(D)轴位表观扩散系数(ADC)图显示弥散受限(圆圈),ADC值为0.905×10⁻³ mm²/s或更低。在评估这些特征时,需仔细排除出血和坏死区域。
子宫内膜、宫颈或外阴中伴有非低信号T2加权成像/非低信号弥散加权成像实性组织的强化病变
涵盖多种疾病,包括但不限于子宫内膜癌、宫颈癌或外阴癌(表S11)(8,9,20–25,79–82)。磁共振成像(MRI)在评估肿瘤的局部区域侵犯范围和指导治疗计划方面具有重要价值。子宫内膜癌的关键MRI表现包括肌层浸润的存在及深度、宫颈基质浸润、宫外蔓延以及盆腔/腹主动脉旁淋巴结转移(图29)(23)。对于宫颈癌,关键表现包括肿瘤大小(针对局限于宫颈或上阴道的病变)、宫旁浸润、阴道受累情况(上三分之二与下三分之一)、膀胱或直肠黏膜浸润以及盆腔/腹主动脉旁淋巴结转移(图35)(24)。对于外阴癌,MRI评估的重点是确定邻近器官(尿道、阴道、肛门)的受累情况以及腹股沟-股部淋巴结转移(81)。更多详细信息可参见上述参考文献。
图35. 一位39岁女性患者的子宫颈鳞状细胞癌,附带示意图展示宫旁浸润的诊断标准。(A)宫旁浸润的示意图,以肿瘤与宫旁组织之间的结节状或毛刺状界面为特征。偶尔可能伴有宫旁血管包绕。P=宫旁组织。(B)垂直于宫颈短轴获取的斜轴位T2加权图像,显示T2信号中等的宫颈肿瘤,已全层浸润正常T2信号低的宫颈基质。肿瘤与宫旁区域之间的毛刺状和/或结节状界面(B和C中的虚线轮廓)提示宫旁浸润。P=宫旁组织。(C)斜轴位高b值弥散加权图像,采用与T2加权图像相同的平面、视野和层厚,证实了B中的发现。弥散加权成像(DWI)的加入通过更好地勾勒肿瘤边缘以及区分肿瘤与水肿或纤维化,提高了检测宫旁浸润的准确性。
对于源自宫颈、伴有非低信号T2/非低信号DWI实性组织的囊性病变,应重点考虑微偏腺癌(恶性腺瘤),这是一种罕见的高分化胃型腺癌(79)。胃型腺癌占宫颈腺癌的10%。它是一种侵袭性黏液性肿瘤,早期即可发生腹膜转移,且10%的病例与Peutz-Jeghers综合征相关(84)。MRI表现多样,可从伴有囊性病灶的实性病变到伴有实性组织的多房囊性病变(如恶性腺瘤所见),并可深入宫颈间质(49)。与无症状的纳博特囊肿、隧道状腺簇或宫颈管腺体增生不同,恶性腺瘤表现为水样分泌物和异常出血。仅靠MRI表现可能无法明确区分这些病变,需要通过宫颈锥切活检来确诊(49,79)。  对于源自非妇科、伴有非低信号T2/非低信号DWI的病变,应考虑来自其他盆腔器官的多种病变,不过这些超出了本综述的范围(28)。  
步骤4:结构化报告 
特定疾病的结构化报告能够实现清晰、全面且相关的信息传递,这有助于临床决策,并为未来的改进研究提供支持。欧洲泌尿生殖放射学会、腹部放射学会和美国放射学会提供了特定疾病结构化报告模板的示例(9,10,20,24,25,85)。  
结论 
妇科盆腔MRI的解读得益于定制的MRI协议、对正常女性盆腔解剖结构的了解,以及一种逐步的方法,该方法侧重于病变起源、病变组织成分和实性组织形态,然后将所见内容纳入结构化报告中。
参考文献:https://doi.org/10.1148/rg.250029
未完待续..........

水平有限,部分翻译可能不准,如有错谬,还望各位不吝赐教;如有帮助,还望各位点赞推荐支持支持。关注公众号发送“妇科磁共振”即可领取。

最新文章

随机文章

基本 文件 流程 错误 SQL 调试
  1. 请求信息 : 2026-05-20 08:33:58 HTTP/2.0 GET : https://67808.cn/a/460841.html
  2. 运行时间 : 0.097979s [ 吞吐率:10.21req/s ] 内存消耗:4,486.83kb 文件加载:140
  3. 缓存信息 : 0 reads,0 writes
  4. 会话信息 : SESSION_ID=aa75fe63d7381c52bdd36839b726c0d5
  1. /yingpanguazai/ssd/ssd1/www/no.67808.cn/public/index.php ( 0.79 KB )
  2. /yingpanguazai/ssd/ssd1/www/no.67808.cn/vendor/autoload.php ( 0.17 KB )
  3. /yingpanguazai/ssd/ssd1/www/no.67808.cn/vendor/composer/autoload_real.php ( 2.49 KB )
  4. /yingpanguazai/ssd/ssd1/www/no.67808.cn/vendor/composer/platform_check.php ( 0.90 KB )
  5. /yingpanguazai/ssd/ssd1/www/no.67808.cn/vendor/composer/ClassLoader.php ( 14.03 KB )
  6. /yingpanguazai/ssd/ssd1/www/no.67808.cn/vendor/composer/autoload_static.php ( 4.90 KB )
  7. /yingpanguazai/ssd/ssd1/www/no.67808.cn/vendor/topthink/think-helper/src/helper.php ( 8.34 KB )
  8. /yingpanguazai/ssd/ssd1/www/no.67808.cn/vendor/topthink/think-validate/src/helper.php ( 2.19 KB )
  9. /yingpanguazai/ssd/ssd1/www/no.67808.cn/vendor/topthink/think-orm/src/helper.php ( 1.47 KB )
  10. /yingpanguazai/ssd/ssd1/www/no.67808.cn/vendor/topthink/think-orm/stubs/load_stubs.php ( 0.16 KB )
  11. /yingpanguazai/ssd/ssd1/www/no.67808.cn/vendor/topthink/framework/src/think/Exception.php ( 1.69 KB )
  12. /yingpanguazai/ssd/ssd1/www/no.67808.cn/vendor/topthink/think-container/src/Facade.php ( 2.71 KB )
  13. /yingpanguazai/ssd/ssd1/www/no.67808.cn/vendor/symfony/deprecation-contracts/function.php ( 0.99 KB )
  14. /yingpanguazai/ssd/ssd1/www/no.67808.cn/vendor/symfony/polyfill-mbstring/bootstrap.php ( 8.26 KB )
  15. /yingpanguazai/ssd/ssd1/www/no.67808.cn/vendor/symfony/polyfill-mbstring/bootstrap80.php ( 9.78 KB )
  16. /yingpanguazai/ssd/ssd1/www/no.67808.cn/vendor/symfony/var-dumper/Resources/functions/dump.php ( 1.49 KB )
  17. /yingpanguazai/ssd/ssd1/www/no.67808.cn/vendor/topthink/think-dumper/src/helper.php ( 0.18 KB )
  18. /yingpanguazai/ssd/ssd1/www/no.67808.cn/vendor/symfony/var-dumper/VarDumper.php ( 4.30 KB )
  19. /yingpanguazai/ssd/ssd1/www/no.67808.cn/vendor/topthink/framework/src/think/App.php ( 15.30 KB )
  20. /yingpanguazai/ssd/ssd1/www/no.67808.cn/vendor/topthink/think-container/src/Container.php ( 15.76 KB )
  21. /yingpanguazai/ssd/ssd1/www/no.67808.cn/vendor/psr/container/src/ContainerInterface.php ( 1.02 KB )
  22. /yingpanguazai/ssd/ssd1/www/no.67808.cn/app/provider.php ( 0.19 KB )
  23. /yingpanguazai/ssd/ssd1/www/no.67808.cn/vendor/topthink/framework/src/think/Http.php ( 6.04 KB )
  24. /yingpanguazai/ssd/ssd1/www/no.67808.cn/vendor/topthink/think-helper/src/helper/Str.php ( 7.29 KB )
  25. /yingpanguazai/ssd/ssd1/www/no.67808.cn/vendor/topthink/framework/src/think/Env.php ( 4.68 KB )
  26. /yingpanguazai/ssd/ssd1/www/no.67808.cn/app/common.php ( 0.03 KB )
  27. /yingpanguazai/ssd/ssd1/www/no.67808.cn/vendor/topthink/framework/src/helper.php ( 18.78 KB )
  28. /yingpanguazai/ssd/ssd1/www/no.67808.cn/vendor/topthink/framework/src/think/Config.php ( 5.54 KB )
  29. /yingpanguazai/ssd/ssd1/www/no.67808.cn/config/app.php ( 0.95 KB )
  30. /yingpanguazai/ssd/ssd1/www/no.67808.cn/config/cache.php ( 0.78 KB )
  31. /yingpanguazai/ssd/ssd1/www/no.67808.cn/config/console.php ( 0.23 KB )
  32. /yingpanguazai/ssd/ssd1/www/no.67808.cn/config/cookie.php ( 0.56 KB )
  33. /yingpanguazai/ssd/ssd1/www/no.67808.cn/config/database.php ( 2.48 KB )
  34. /yingpanguazai/ssd/ssd1/www/no.67808.cn/vendor/topthink/framework/src/think/facade/Env.php ( 1.67 KB )
  35. /yingpanguazai/ssd/ssd1/www/no.67808.cn/config/filesystem.php ( 0.61 KB )
  36. /yingpanguazai/ssd/ssd1/www/no.67808.cn/config/lang.php ( 0.91 KB )
  37. /yingpanguazai/ssd/ssd1/www/no.67808.cn/config/log.php ( 1.35 KB )
  38. /yingpanguazai/ssd/ssd1/www/no.67808.cn/config/middleware.php ( 0.19 KB )
  39. /yingpanguazai/ssd/ssd1/www/no.67808.cn/config/route.php ( 1.89 KB )
  40. /yingpanguazai/ssd/ssd1/www/no.67808.cn/config/session.php ( 0.57 KB )
  41. /yingpanguazai/ssd/ssd1/www/no.67808.cn/config/trace.php ( 0.34 KB )
  42. /yingpanguazai/ssd/ssd1/www/no.67808.cn/config/view.php ( 0.82 KB )
  43. /yingpanguazai/ssd/ssd1/www/no.67808.cn/app/event.php ( 0.25 KB )
  44. /yingpanguazai/ssd/ssd1/www/no.67808.cn/vendor/topthink/framework/src/think/Event.php ( 7.67 KB )
  45. /yingpanguazai/ssd/ssd1/www/no.67808.cn/app/service.php ( 0.13 KB )
  46. /yingpanguazai/ssd/ssd1/www/no.67808.cn/app/AppService.php ( 0.26 KB )
  47. /yingpanguazai/ssd/ssd1/www/no.67808.cn/vendor/topthink/framework/src/think/Service.php ( 1.64 KB )
  48. /yingpanguazai/ssd/ssd1/www/no.67808.cn/vendor/topthink/framework/src/think/Lang.php ( 7.35 KB )
  49. /yingpanguazai/ssd/ssd1/www/no.67808.cn/vendor/topthink/framework/src/lang/zh-cn.php ( 13.70 KB )
  50. /yingpanguazai/ssd/ssd1/www/no.67808.cn/vendor/topthink/framework/src/think/initializer/Error.php ( 3.31 KB )
  51. /yingpanguazai/ssd/ssd1/www/no.67808.cn/vendor/topthink/framework/src/think/initializer/RegisterService.php ( 1.33 KB )
  52. /yingpanguazai/ssd/ssd1/www/no.67808.cn/vendor/services.php ( 0.14 KB )
  53. /yingpanguazai/ssd/ssd1/www/no.67808.cn/vendor/topthink/framework/src/think/service/PaginatorService.php ( 1.52 KB )
  54. /yingpanguazai/ssd/ssd1/www/no.67808.cn/vendor/topthink/framework/src/think/service/ValidateService.php ( 0.99 KB )
  55. /yingpanguazai/ssd/ssd1/www/no.67808.cn/vendor/topthink/framework/src/think/service/ModelService.php ( 2.04 KB )
  56. /yingpanguazai/ssd/ssd1/www/no.67808.cn/vendor/topthink/think-trace/src/Service.php ( 0.77 KB )
  57. /yingpanguazai/ssd/ssd1/www/no.67808.cn/vendor/topthink/framework/src/think/Middleware.php ( 6.72 KB )
  58. /yingpanguazai/ssd/ssd1/www/no.67808.cn/vendor/topthink/framework/src/think/initializer/BootService.php ( 0.77 KB )
  59. /yingpanguazai/ssd/ssd1/www/no.67808.cn/vendor/topthink/think-orm/src/Paginator.php ( 11.86 KB )
  60. /yingpanguazai/ssd/ssd1/www/no.67808.cn/vendor/topthink/think-validate/src/Validate.php ( 63.20 KB )
  61. /yingpanguazai/ssd/ssd1/www/no.67808.cn/vendor/topthink/think-orm/src/Model.php ( 23.55 KB )
  62. /yingpanguazai/ssd/ssd1/www/no.67808.cn/vendor/topthink/think-orm/src/model/concern/Attribute.php ( 21.05 KB )
  63. /yingpanguazai/ssd/ssd1/www/no.67808.cn/vendor/topthink/think-orm/src/model/concern/AutoWriteData.php ( 4.21 KB )
  64. /yingpanguazai/ssd/ssd1/www/no.67808.cn/vendor/topthink/think-orm/src/model/concern/Conversion.php ( 6.44 KB )
  65. /yingpanguazai/ssd/ssd1/www/no.67808.cn/vendor/topthink/think-orm/src/model/concern/DbConnect.php ( 5.16 KB )
  66. /yingpanguazai/ssd/ssd1/www/no.67808.cn/vendor/topthink/think-orm/src/model/concern/ModelEvent.php ( 2.33 KB )
  67. /yingpanguazai/ssd/ssd1/www/no.67808.cn/vendor/topthink/think-orm/src/model/concern/RelationShip.php ( 28.29 KB )
  68. /yingpanguazai/ssd/ssd1/www/no.67808.cn/vendor/topthink/think-helper/src/contract/Arrayable.php ( 0.09 KB )
  69. /yingpanguazai/ssd/ssd1/www/no.67808.cn/vendor/topthink/think-helper/src/contract/Jsonable.php ( 0.13 KB )
  70. /yingpanguazai/ssd/ssd1/www/no.67808.cn/vendor/topthink/think-orm/src/model/contract/Modelable.php ( 0.09 KB )
  71. /yingpanguazai/ssd/ssd1/www/no.67808.cn/vendor/topthink/framework/src/think/Db.php ( 2.88 KB )
  72. /yingpanguazai/ssd/ssd1/www/no.67808.cn/vendor/topthink/think-orm/src/DbManager.php ( 8.52 KB )
  73. /yingpanguazai/ssd/ssd1/www/no.67808.cn/vendor/topthink/framework/src/think/Log.php ( 6.28 KB )
  74. /yingpanguazai/ssd/ssd1/www/no.67808.cn/vendor/topthink/framework/src/think/Manager.php ( 3.92 KB )
  75. /yingpanguazai/ssd/ssd1/www/no.67808.cn/vendor/psr/log/src/LoggerTrait.php ( 2.69 KB )
  76. /yingpanguazai/ssd/ssd1/www/no.67808.cn/vendor/psr/log/src/LoggerInterface.php ( 2.71 KB )
  77. /yingpanguazai/ssd/ssd1/www/no.67808.cn/vendor/topthink/framework/src/think/Cache.php ( 4.92 KB )
  78. /yingpanguazai/ssd/ssd1/www/no.67808.cn/vendor/psr/simple-cache/src/CacheInterface.php ( 4.71 KB )
  79. /yingpanguazai/ssd/ssd1/www/no.67808.cn/vendor/topthink/think-helper/src/helper/Arr.php ( 16.63 KB )
  80. /yingpanguazai/ssd/ssd1/www/no.67808.cn/vendor/topthink/framework/src/think/cache/driver/File.php ( 7.84 KB )
  81. /yingpanguazai/ssd/ssd1/www/no.67808.cn/vendor/topthink/framework/src/think/cache/Driver.php ( 9.03 KB )
  82. /yingpanguazai/ssd/ssd1/www/no.67808.cn/vendor/topthink/framework/src/think/contract/CacheHandlerInterface.php ( 1.99 KB )
  83. /yingpanguazai/ssd/ssd1/www/no.67808.cn/app/Request.php ( 0.09 KB )
  84. /yingpanguazai/ssd/ssd1/www/no.67808.cn/vendor/topthink/framework/src/think/Request.php ( 55.78 KB )
  85. /yingpanguazai/ssd/ssd1/www/no.67808.cn/app/middleware.php ( 0.25 KB )
  86. /yingpanguazai/ssd/ssd1/www/no.67808.cn/vendor/topthink/framework/src/think/Pipeline.php ( 2.61 KB )
  87. /yingpanguazai/ssd/ssd1/www/no.67808.cn/vendor/topthink/think-trace/src/TraceDebug.php ( 3.40 KB )
  88. /yingpanguazai/ssd/ssd1/www/no.67808.cn/vendor/topthink/framework/src/think/middleware/SessionInit.php ( 1.94 KB )
  89. /yingpanguazai/ssd/ssd1/www/no.67808.cn/vendor/topthink/framework/src/think/Session.php ( 1.80 KB )
  90. /yingpanguazai/ssd/ssd1/www/no.67808.cn/vendor/topthink/framework/src/think/session/driver/File.php ( 6.27 KB )
  91. /yingpanguazai/ssd/ssd1/www/no.67808.cn/vendor/topthink/framework/src/think/contract/SessionHandlerInterface.php ( 0.87 KB )
  92. /yingpanguazai/ssd/ssd1/www/no.67808.cn/vendor/topthink/framework/src/think/session/Store.php ( 7.12 KB )
  93. /yingpanguazai/ssd/ssd1/www/no.67808.cn/vendor/topthink/framework/src/think/Route.php ( 23.73 KB )
  94. /yingpanguazai/ssd/ssd1/www/no.67808.cn/vendor/topthink/framework/src/think/route/RuleName.php ( 5.75 KB )
  95. /yingpanguazai/ssd/ssd1/www/no.67808.cn/vendor/topthink/framework/src/think/route/Domain.php ( 2.53 KB )
  96. /yingpanguazai/ssd/ssd1/www/no.67808.cn/vendor/topthink/framework/src/think/route/RuleGroup.php ( 22.43 KB )
  97. /yingpanguazai/ssd/ssd1/www/no.67808.cn/vendor/topthink/framework/src/think/route/Rule.php ( 26.95 KB )
  98. /yingpanguazai/ssd/ssd1/www/no.67808.cn/vendor/topthink/framework/src/think/route/RuleItem.php ( 9.78 KB )
  99. /yingpanguazai/ssd/ssd1/www/no.67808.cn/route/app.php ( 1.72 KB )
  100. /yingpanguazai/ssd/ssd1/www/no.67808.cn/vendor/topthink/framework/src/think/facade/Route.php ( 4.70 KB )
  101. /yingpanguazai/ssd/ssd1/www/no.67808.cn/vendor/topthink/framework/src/think/route/dispatch/Controller.php ( 4.74 KB )
  102. /yingpanguazai/ssd/ssd1/www/no.67808.cn/vendor/topthink/framework/src/think/route/Dispatch.php ( 10.44 KB )
  103. /yingpanguazai/ssd/ssd1/www/no.67808.cn/app/controller/Index.php ( 4.81 KB )
  104. /yingpanguazai/ssd/ssd1/www/no.67808.cn/app/BaseController.php ( 2.05 KB )
  105. /yingpanguazai/ssd/ssd1/www/no.67808.cn/vendor/topthink/think-orm/src/facade/Db.php ( 0.93 KB )
  106. /yingpanguazai/ssd/ssd1/www/no.67808.cn/vendor/topthink/think-orm/src/db/connector/Mysql.php ( 5.44 KB )
  107. /yingpanguazai/ssd/ssd1/www/no.67808.cn/vendor/topthink/think-orm/src/db/PDOConnection.php ( 52.47 KB )
  108. /yingpanguazai/ssd/ssd1/www/no.67808.cn/vendor/topthink/think-orm/src/db/Connection.php ( 8.39 KB )
  109. /yingpanguazai/ssd/ssd1/www/no.67808.cn/vendor/topthink/think-orm/src/db/ConnectionInterface.php ( 4.57 KB )
  110. /yingpanguazai/ssd/ssd1/www/no.67808.cn/vendor/topthink/think-orm/src/db/builder/Mysql.php ( 16.58 KB )
  111. /yingpanguazai/ssd/ssd1/www/no.67808.cn/vendor/topthink/think-orm/src/db/Builder.php ( 24.06 KB )
  112. /yingpanguazai/ssd/ssd1/www/no.67808.cn/vendor/topthink/think-orm/src/db/BaseBuilder.php ( 27.50 KB )
  113. /yingpanguazai/ssd/ssd1/www/no.67808.cn/vendor/topthink/think-orm/src/db/Query.php ( 15.71 KB )
  114. /yingpanguazai/ssd/ssd1/www/no.67808.cn/vendor/topthink/think-orm/src/db/BaseQuery.php ( 45.13 KB )
  115. /yingpanguazai/ssd/ssd1/www/no.67808.cn/vendor/topthink/think-orm/src/db/concern/TimeFieldQuery.php ( 7.43 KB )
  116. /yingpanguazai/ssd/ssd1/www/no.67808.cn/vendor/topthink/think-orm/src/db/concern/AggregateQuery.php ( 3.26 KB )
  117. /yingpanguazai/ssd/ssd1/www/no.67808.cn/vendor/topthink/think-orm/src/db/concern/ModelRelationQuery.php ( 20.07 KB )
  118. /yingpanguazai/ssd/ssd1/www/no.67808.cn/vendor/topthink/think-orm/src/db/concern/ParamsBind.php ( 3.66 KB )
  119. /yingpanguazai/ssd/ssd1/www/no.67808.cn/vendor/topthink/think-orm/src/db/concern/ResultOperation.php ( 7.01 KB )
  120. /yingpanguazai/ssd/ssd1/www/no.67808.cn/vendor/topthink/think-orm/src/db/concern/WhereQuery.php ( 19.37 KB )
  121. /yingpanguazai/ssd/ssd1/www/no.67808.cn/vendor/topthink/think-orm/src/db/concern/JoinAndViewQuery.php ( 7.11 KB )
  122. /yingpanguazai/ssd/ssd1/www/no.67808.cn/vendor/topthink/think-orm/src/db/concern/TableFieldInfo.php ( 2.63 KB )
  123. /yingpanguazai/ssd/ssd1/www/no.67808.cn/vendor/topthink/think-orm/src/db/concern/Transaction.php ( 2.77 KB )
  124. /yingpanguazai/ssd/ssd1/www/no.67808.cn/vendor/topthink/framework/src/think/log/driver/File.php ( 5.96 KB )
  125. /yingpanguazai/ssd/ssd1/www/no.67808.cn/vendor/topthink/framework/src/think/contract/LogHandlerInterface.php ( 0.86 KB )
  126. /yingpanguazai/ssd/ssd1/www/no.67808.cn/vendor/topthink/framework/src/think/log/Channel.php ( 3.89 KB )
  127. /yingpanguazai/ssd/ssd1/www/no.67808.cn/vendor/topthink/framework/src/think/event/LogRecord.php ( 1.02 KB )
  128. /yingpanguazai/ssd/ssd1/www/no.67808.cn/vendor/topthink/think-helper/src/Collection.php ( 16.47 KB )
  129. /yingpanguazai/ssd/ssd1/www/no.67808.cn/vendor/topthink/framework/src/think/facade/View.php ( 1.70 KB )
  130. /yingpanguazai/ssd/ssd1/www/no.67808.cn/vendor/topthink/framework/src/think/View.php ( 4.39 KB )
  131. /yingpanguazai/ssd/ssd1/www/no.67808.cn/vendor/topthink/framework/src/think/Response.php ( 8.81 KB )
  132. /yingpanguazai/ssd/ssd1/www/no.67808.cn/vendor/topthink/framework/src/think/response/View.php ( 3.29 KB )
  133. /yingpanguazai/ssd/ssd1/www/no.67808.cn/vendor/topthink/framework/src/think/Cookie.php ( 6.06 KB )
  134. /yingpanguazai/ssd/ssd1/www/no.67808.cn/vendor/topthink/think-view/src/Think.php ( 8.38 KB )
  135. /yingpanguazai/ssd/ssd1/www/no.67808.cn/vendor/topthink/framework/src/think/contract/TemplateHandlerInterface.php ( 1.60 KB )
  136. /yingpanguazai/ssd/ssd1/www/no.67808.cn/vendor/topthink/think-template/src/Template.php ( 46.61 KB )
  137. /yingpanguazai/ssd/ssd1/www/no.67808.cn/vendor/topthink/think-template/src/template/driver/File.php ( 2.41 KB )
  138. /yingpanguazai/ssd/ssd1/www/no.67808.cn/vendor/topthink/think-template/src/template/contract/DriverInterface.php ( 0.86 KB )
  139. /yingpanguazai/ssd/ssd1/www/no.67808.cn/runtime/temp/6df755f970a38e704c5414acbc6e8bcd.php ( 12.06 KB )
  140. /yingpanguazai/ssd/ssd1/www/no.67808.cn/vendor/topthink/think-trace/src/Html.php ( 4.42 KB )
  1. CONNECT:[ UseTime:0.000554s ] mysql:host=127.0.0.1;port=3306;dbname=no_67808;charset=utf8mb4
  2. SHOW FULL COLUMNS FROM `fenlei` [ RunTime:0.000789s ]
  3. SELECT * FROM `fenlei` WHERE `fid` = 0 [ RunTime:0.000345s ]
  4. SELECT * FROM `fenlei` WHERE `fid` = 63 [ RunTime:0.000257s ]
  5. SHOW FULL COLUMNS FROM `set` [ RunTime:0.000491s ]
  6. SELECT * FROM `set` [ RunTime:0.000196s ]
  7. SHOW FULL COLUMNS FROM `article` [ RunTime:0.000509s ]
  8. SELECT * FROM `article` WHERE `id` = 460841 LIMIT 1 [ RunTime:0.000486s ]
  9. UPDATE `article` SET `lasttime` = 1779237238 WHERE `id` = 460841 [ RunTime:0.012648s ]
  10. SELECT * FROM `fenlei` WHERE `id` = 65 LIMIT 1 [ RunTime:0.004665s ]
  11. SELECT * FROM `article` WHERE `id` < 460841 ORDER BY `id` DESC LIMIT 1 [ RunTime:0.000605s ]
  12. SELECT * FROM `article` WHERE `id` > 460841 ORDER BY `id` ASC LIMIT 1 [ RunTime:0.000412s ]
  13. SELECT * FROM `article` WHERE `id` < 460841 ORDER BY `id` DESC LIMIT 10 [ RunTime:0.002749s ]
  14. SELECT * FROM `article` WHERE `id` < 460841 ORDER BY `id` DESC LIMIT 10,10 [ RunTime:0.003000s ]
  15. SELECT * FROM `article` WHERE `id` < 460841 ORDER BY `id` DESC LIMIT 20,10 [ RunTime:0.002955s ]
0.099628s