在之前的文章中与大家分享了女性生殖细胞肿瘤中良性畸胎瘤的学习笔记,本次与大家共同学习女性生殖细胞肿瘤中的未成熟性畸胎瘤。
【定义】
未成熟性畸胎瘤是指含有数量不等的未成熟胚胎性成分的畸胎瘤,这些未成熟性胚胎成分通常为原始神经外胚层组织,其中大多数肿瘤含有3个胚层的成分,如骨、脂肪、肝、肠等组织,少数主要由单胚层成分构成,属于恶性肿瘤,WHO编码为9080/3。
【临床特征】
未成熟性畸胎瘤多发生于11至30岁的儿童和青少年,其中20岁前多见,随着年龄的增长,发病率逐渐降低。发病部位以卵巢最常见(约占所有卵巢畸胎瘤的3%),其次为睾丸,也可发生于性腺外,如纵隔、骶尾部、腹膜后、中枢神经系统等。多数患者为46,XX,少数双侧未成熟性畸胎瘤患者可能与Y染色体异常有关。临床表现主要为腹痛、腹胀和腹部包块,常因肿瘤快速生长致腹围增大。可出现恶心、呕吐、腹泻或发热。约60%的患者出现腹腔积液,晚期出现体重下降。少数病例由于肿瘤扭转或破裂导致急腹症,引起盆腔内的扩散及粘连。血清学检查甲胎蛋白(AFP)(约1/3病例)和CA125可增高,少数(<10%)患者出现β-hCG升高。
【大体病理学】
肿瘤呈圆形或椭圆形,多为单侧,10%~15%的对侧卵巢同时出现成熟性囊性畸胎瘤。肿瘤直径为6~42cm,平均为18.5cm。表面光滑或呈结节状,包膜通常完整,但质地较脆,容易破裂,从而可能导致腹腔种植。切面呈囊实性混合,以实性为主,这是与以囊性为主的成熟性囊性畸胎瘤的显著区别;颜色与质地不均一,实性区域常呈灰白色、鱼肉样或脑回样,质地软而脆,这通常对应着不成熟的神经外胚层组织,是诊断的关键,取材时应格外关注;囊性区囊腔大小不一,内含清亮液体、黏液或血性液体,囊壁内可见皮脂样物质、毛发、软骨或骨组织(图1)。
图1:肿瘤以实性为主可出现囊腔,质软、细腻,可见出血坏死(图片来源于参考文献1及网络)
【组织病理学】
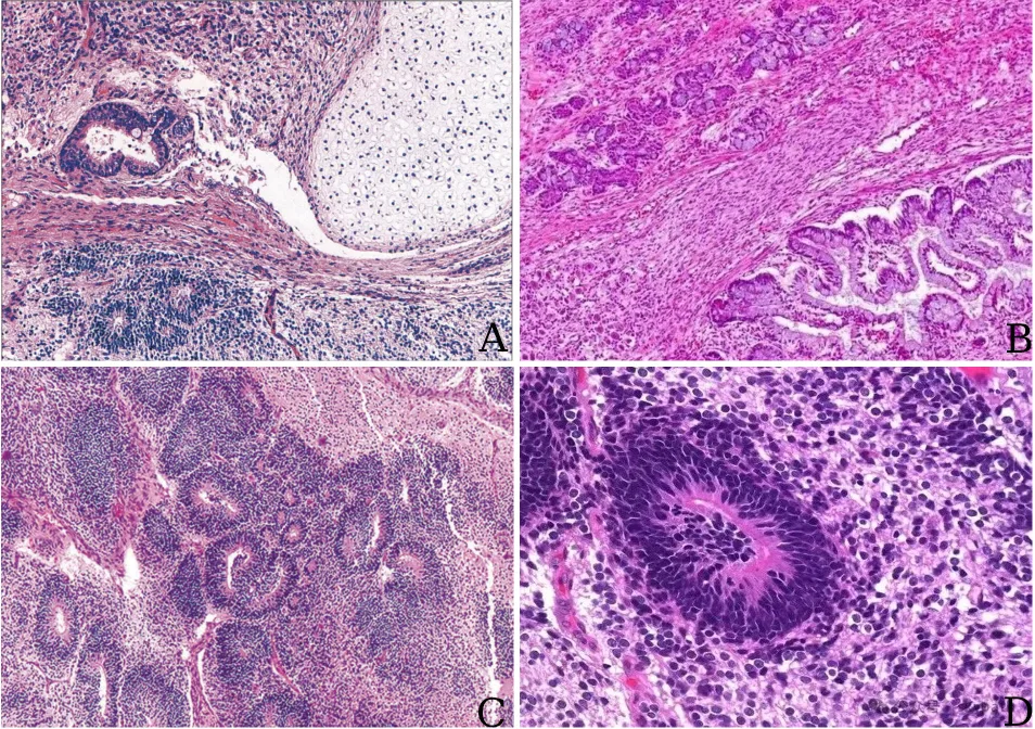
确诊未成熟性畸胎瘤核心是必须要有未成熟的神经外胚层组织,其间混以不同比例的成熟组织(图2A、B)。
外胚层未成熟神经组织主要为原始神经管、神经上皮菊形团以及实性生长的小圆形神经母细胞。原始神经管的细胞核质比增高,可见核分裂象,其腔面具有一层非常平整的内衬膜,这一特征可与其他非神经上皮来源的小管鉴别(尤其是中肾小管)。神经上皮菊形团内衬复层拥挤的嗜碱性细胞,核分裂象多见,可出现色素。在分化差或高级别的未成熟性畸胎瘤中,原始神经管的数量明显增多,其核异型性及核分裂活性也更为显著,菊形团上皮的厚度增加(图2C、D)。
图2 未成熟性畸胎瘤,A可见原始神经管(左下)及软骨组织(右上),B可见唾液腺(左上)及肠型腺体(右下),C、D原始神经管由多层细胞构成,嗜碱性、排列拥挤,腔面有一层非常平整的内衬膜(图片来源于参考文献1及网络)
中胚层成分常为排列疏松的黏液样间质伴局灶未成熟软骨、脂肪、骨样和横纹肌组织。
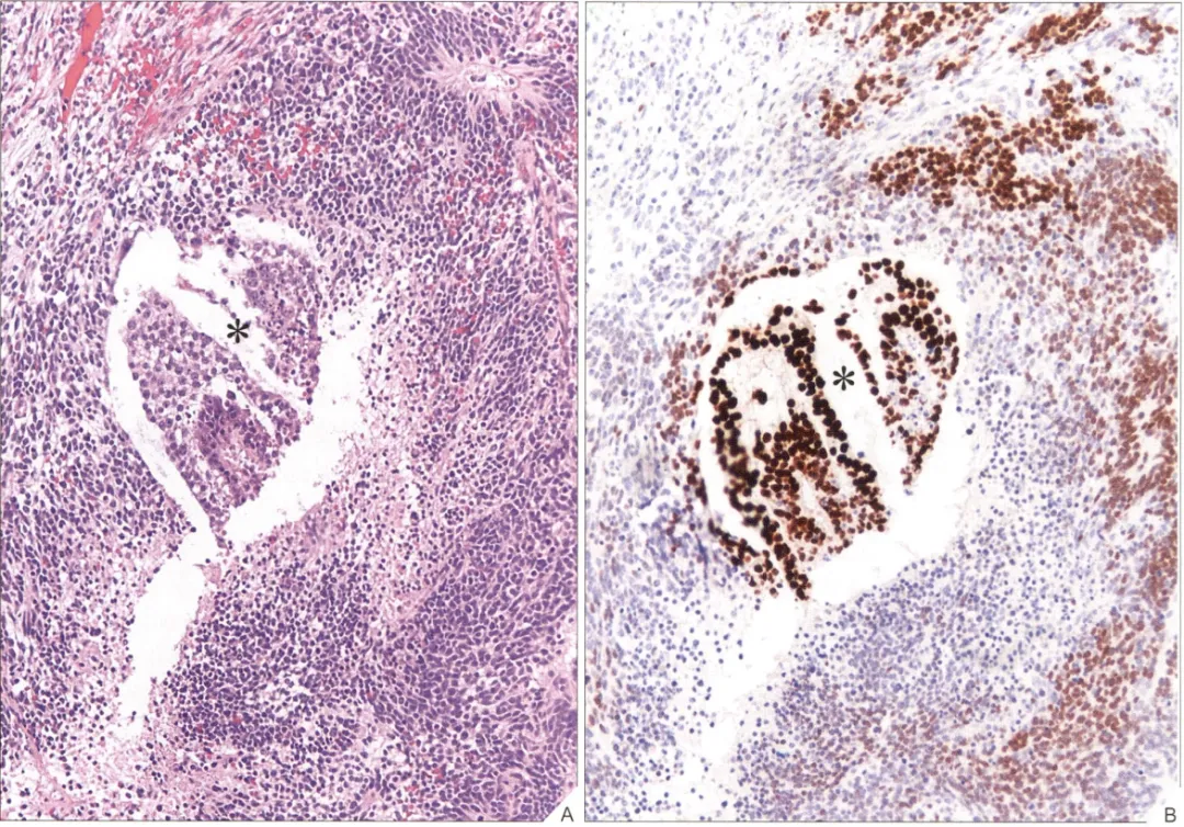
内胚层成分包括肝组织、未成熟腺体(如肠型或呼吸型上皮)或成熟黏液腺体、甲状腺组织及类似Wilms瘤的胚胎性肾组织等(相对少见),需要注意的是,上述组织的单独存在不能诊断未成熟性畸胎瘤。此外未成熟性畸胎瘤也可合并卵黄囊瘤、绒毛膜癌或胚胎性癌成分,其中以卵黄囊瘤最为常见(图3),可为肿瘤的主要成分或形成小的播散性病灶,一旦发现上述成分则应诊断为“混合性生殖细胞肿瘤”。另外这些非畸胎瘤性生殖细胞肿瘤的最大线径如果不超过2mm,那么对患者的预后没有影响。
图3 未成熟畸胎瘤中的少许卵黄囊瘤成分,SALL4染色卵黄囊瘤成分呈核强阳性表达而未成熟神经组织表达相对较弱(图片来源于参考文献1)
【病理分级】
未成熟性畸胎瘤的组织成分复杂且多样化,不同成分的分化程度也有很大差异,恶性程度也因此不同,故需要进行病理分级(见表1),这有助于判断肿瘤的恶性程度及对临床选择治疗方案和评估患者预后有重要意义。
这一分级系统后来被进一步简化为二级分级系统,即低级别(1级)和高级别(2和3级)。
【免疫组化】
诊断未成熟性畸胎瘤一般情况下无需做免疫组化。未成熟神经上皮成份一般表达GFAP、S100、NSE、SOX2和SALL4,部分源自内胚层的腺样小囊、未成熟的肠上皮和肝细胞表达AFP,可导致患者血清AFP水平增高。原始神经管细胞Ki-67增殖指数常有较高的表达。血清肿瘤标志物CA125、CA19-9、AFP、CEA在卵巢未成熟畸胎瘤患者体内呈现出不同程度的升高。
【分子遗传学】
未成熟畸胎瘤是恶性生殖细胞肿瘤的一种,含有源自胚胎样组织(如原始神经外胚层、间充质或上皮成分)的未分化细胞。其分子遗传学背景通常嵌入在更广泛的恶性生殖细胞肿瘤(GCTs)的框架中,但也有一些独特性。
绝大多数(>80%)的恶性非畸胎瘤性生殖细胞肿瘤(如精原细胞瘤、胚胎性癌)都携带等臂染色体12p [i(12p)] 或12p的其它扩增形式(如12p扩增子)。当未成熟畸胎瘤作为混合性生殖细胞肿瘤的一部分出现(常与胚胎性癌、卵黄囊瘤等混合),几乎总能检测到i(12p)。在单纯的未成熟畸胎瘤中,i(12p)的阳性率较低(约30-50%)。这表明单纯的未成熟畸胎瘤可能代表一个遗传学上更异质性、或处于不同发展阶段的亚群。然而,其存在依然是支持恶性诊断的重要标志。
与成熟的良性畸胎瘤不同,未成熟畸胎瘤(及其他恶性GCTs)表现出显著的全基因组低甲基化状态,类似于原始生殖细胞。
未成熟畸胎瘤高表达核心多能性因子,如 NANOG、POUSF1 (OCT3/4)、SOX2。这些基因的表达与肿瘤的未分化状态和胚胎性特征直接相关。
LIN28(一种RNA结合蛋白)也是生殖细胞肿瘤的常见标志物,在未成熟畸胎瘤中常为阳性。
一些研究在畸胎瘤成分中发现了涉及MAPK/PI3K信号通路(如 KRAS, NRAS, PIK3CA)和Wnt/β-catenin通路的突变。这些突变可能与肿瘤的持续生长和未成熟成分的维持有关。
TP53 突变在畸胎瘤中相对罕见,但在化疗后发生的体细胞型恶性肿瘤(如未成熟畸胎瘤恶性转化后的肉瘤或癌)中常见。
【分子遗传学临床与诊断意义】
i(12p)检测(通过FISH或核型分析)是确诊恶性生殖细胞肿瘤(包括含有未成熟畸胎瘤成分的混合瘤)的金标准分子标志。
OCT3/4、SALL4等免疫组化标记可用于在病理学上识别和定位未分化的、具有恶性潜能的成分。
对化疗后残留的未成熟畸胎瘤进行基因测序,有助于识别是否已转化为更具侵袭性的、携带 TP53 等突变的体细胞型恶性肿瘤。
【鉴别诊断】
1.成熟性畸胎瘤 完全由分化成熟的成人型组织构成(如皮肤、软骨、神经胶质、肠道上皮)。需要注意不能将镜下看到的成熟神经胶质组织误认成未成熟组织。未成熟畸胎瘤必须找到原始神经外胚层成分,典型表现为形成菊花团或原始神经管的细胞巢。这是诊断的“金标准”镜下特征。未成熟的间叶组织(如富于细胞的黏液样间质、未成熟软骨)或上皮组织也是依据。 免疫组化表达SOX2、SALL4(弱于胚胎性癌)、GFAP(部分),而不表达OCT3/4。
2.胚胎性癌 由高度未分化的、具有多能性的上皮样大细胞构成,细胞异型性明显,呈实性、腺样或乳头状排列,常见大量核分裂和坏死。免疫组化强阳性表达 OCT3/4、NANOG、SOX2(胞核),也表达 SALL4、CD30(膜阳性),常伴有i(12p)。与未成熟畸胎瘤的原始神经成分(OCT3/4阴性)形成鲜明对比。
3.卵黄囊瘤 具有多种特征性结构,如微囊(网状)、内胚层窦(S-D小体)、实性、肝样等。免疫组化强阳性表达甲胎蛋白(AFP)、Glypican-3、SALL4,不表达OCT3/4。在混合性恶性生殖细胞肿瘤中,卵黄囊瘤成分需要与未成熟畸胎瘤中可能出现的肝样或肠样分化区分,AFP染色是关键。
4.混合性生殖细胞肿瘤 鉴别的核心问题是单纯的未成熟畸胎瘤vs含有未成熟畸胎瘤成分的混合瘤。未成熟畸胎瘤常作为混合性恶性生殖细胞肿瘤的一部分出现(如“畸胎瘤伴胚胎性癌”或“畸胎瘤伴卵黄囊瘤”)必须对肿瘤进行广泛、充分地取材,寻找是否存在其他恶性生殖细胞肿瘤成分(胚胎性癌、卵黄囊瘤、绒毛膜癌、精原细胞瘤等)。任何OCT3/4强阳性或AFP/GPC3强阳性的区域,都提示混合性肿瘤,预后和治疗可能不同。
5.卵巢成熟性畸胎瘤恶性变 该肿瘤多为囊性,囊壁增厚或囊内具有实性结节、充盈皮脂样物及毛发,镜下可见鳞状细胞癌或腺癌等恶性成分,但缺乏原始神经外胚层成分。值得注意的是,如果成熟性畸胎瘤恶性变的成分为神经内分泌肿瘤时,也可以出现神经管样结构,对此类病例需要结合整个肿瘤的形态加以分析。
6.卵巢癌肉瘤该肿瘤又称为恶性混合性Müllerian肿瘤,由Müllerian腺癌与同源或异源性肉瘤成分混合组成,可出现横纹肌母细胞、软骨肉瘤等成分,但神经外胚层组织还未见报道(有文献报道子宫的癌肉瘤可出现神经外胚层组织)。
7.成熟性囊性畸胎瘤伴微灶未成熟神经上皮组织 偶尔成熟性囊性畸胎瘤含有散在的微灶未成熟神经上皮组织(以单灶面积<21mm²、每个肿瘤≤4灶作为上限标准),这些微灶未成熟神经上皮组织并不影响患者的预后。但是对此类病变诊断的前提条件是必须取材充分。
参考文献:
1.郑文新,沈丹华,郭东辉等主编,妇产科病理学第2版下卷。
2.刘丹阳,卫颖泽,赵晨燕等, 子宫恶性混合性生殖细胞肿瘤(未成熟畸胎瘤合并卵黄囊瘤)临床病理学特征,中华病理学杂志 ,2022年9期。
3.Idrees, M. T., et al. (2017). Molecular genetics of testicular germ cell tumors. American Journal of Cancer Research, 7(6), 1361–1371.
审核:王士娜 教授 沈阳医学院附属中心医院
编辑:远方

-END-
本公众号为非盈利性学术交流订阅号,大部分资料来源于大家自我创作、个人工作经验或学习体会,如涉及版权问题和学术问题请及时联系管理员处理;本公众号发布所有内容,版权均属本公众号所有。所有文章仅供公益交流。欢迎提供相关素材及资料或投稿等,投稿邮箱:1310214448@qq.com。欢迎个人形式转发或媒体、网站转载,后者请在文首注明「来源:金标准沙龙」。
