当前位置:首页>学习笔记>【读书笔记】胃异型增生

【读书笔记】胃异型增生

  • 2026-04-23 13:41:15
【读书笔记】胃异型增生
定义:
胃上皮明确的肿瘤性改变 ,但无间质浸润。
ICD-O编码:
8148/0 腺上皮内瘤变,低级别
8148/2 腺上皮内瘤变,高级别
ICD-11编码:
2E92.1&XH6AF9 胃良性肿瘤 &低级别腺上皮内瘤变
2E60.2&XH28N7 胃原位癌 &高级别腺上皮内瘤变

相关术语:

上皮内瘤变

亚型(s):

锯齿状不典型增生,低级别(8213/0)

锯齿状不典型增生,高级别(8213/2)

肠型不典型增生

胃型不典型增生(胃型)

隐窝不典型增生

临床特征:

  • 内镜下表现为平坦、凹陷或隆起(息肉样)的病变,伴糜烂/溃疡及色泽改变(红斑样

  • 窄带成像放大内镜可显著提高内镜评估准确性,可关注表面上皮结构和上皮下血管

  • 息肉样、隆起、平坦的异型增生病变亦称为腺瘤(肠型和小凹型)

病因学:

致病风险因素与胃腺癌相似

发病机制:

  • 染色体不稳定性、微卫星不稳定性(MSI)和CpG岛甲基化:

  • TP53功能缺失是胃癌发生的主要驱动因素。数据显示TP53突变和p53过表达在 HGD(分别为40%和40%)及黏膜内癌(分别为60%和73%)中检出率较高

  • APC突变在 LGD 和 HGD 中高频存在(约70%),但在黏膜内癌中检出率较低(4-20%)

  • MSI由DNA修复系统异常引起,包括MLH1的CpG岛甲基化。

    MSI高表达的发育不良病变中基因突变数量增加,其中,RNF43异常与 HGD 和黏膜内癌均相关

宏观表现:

表现为平坦、凹陷或隆起(息肉样)的病变

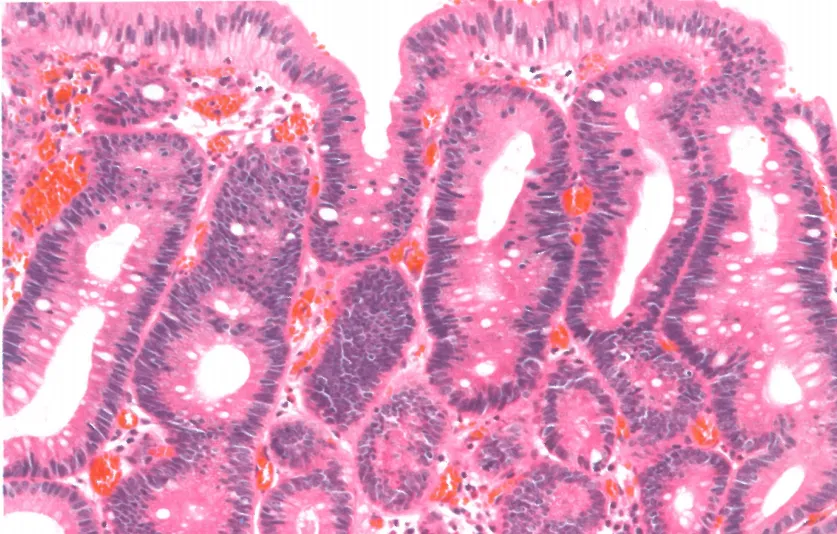
组织病理学:

  • 胃发育不良的分级基于帕多瓦国际系统和维也纳系统,采用两级分类法(LGD vs HGD)

  • 针对胃癌发生组织学中出现的组织学表型,提出多种分类方法(见表3.02)。

  • 每种分类均反映其特定的疾病学取向(生物学、临床或治疗)。

  • 当临床考虑手术治疗时,大多数国际指南建议在治疗前获取第二诊断意见。

1. 分型:

  • 肠型、胃小凹型、混合型

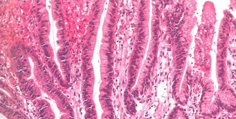
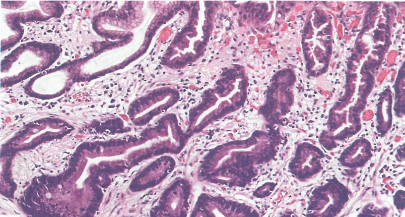
  • 肠型异型增生:

    -管状、管绒毛状或绒毛状病变,上皮细胞为高柱状细胞,细胞核大、细 长、分层、染色加深,胞质嗜酸性程度不一;

    -常见分化为吸收型细胞、杯状细胞、内分泌细胞、潘氏细胞;

    -MUC2、CD10和CDX2阳性;

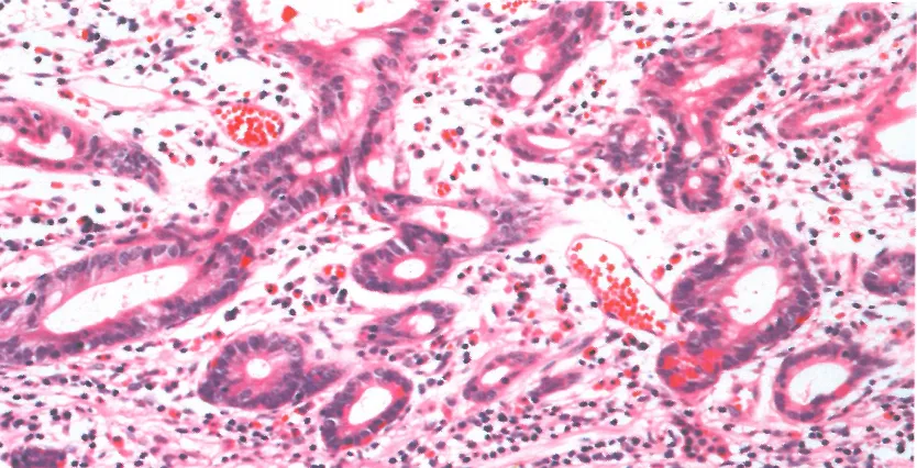
  • 小凹型异型增生:

    -管状绒毛上皮叶状结构和/或锯齿状腺体结构为特征,表面被覆类胃小    凹细胞的立方至低柱状细胞;

    -细胞核呈圆形至卵圆形,可见不同程度的明显核仁;

    -顶端存在中性黏蛋白,细胞质呈淡嗜酸性,MUC5AC阳性;

    -MUC2阳性杯状细胞较为罕见,MUC6阳性细胞可见于腺体底部。

2.分级:

  • 根据核异型性、有丝分裂活性、胞质分化程度及结构扭曲程度分为:

    低级别、高级别。 

  • LGD :肿瘤细胞显示轻微结构紊乱及轻度至中度细胞学异型性;

  -核呈高染色且细长(雪茄形)见于肠型异型增生,而小凹型则呈               圆形至卵圆形;

  -细胞核均保持极性并位于基底;

  -有丝分裂活性为轻度至中度;

  -腺体结构相对保留。

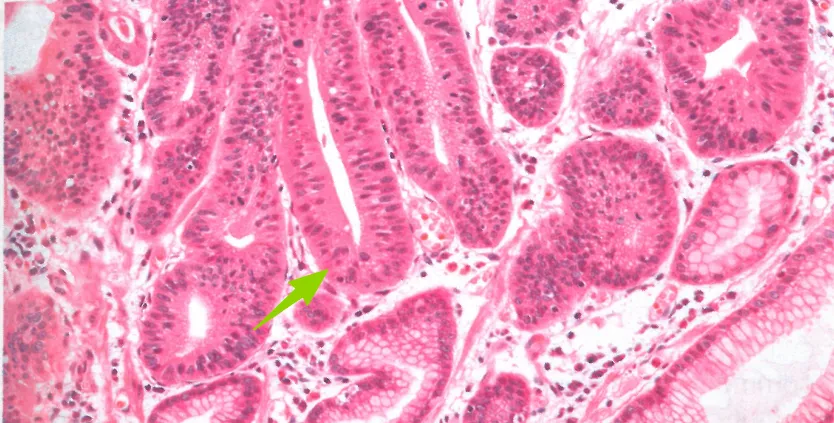
肠型低级别异型增生:可见肠型分化的高柱状细胞,细胞核呈细长形态且基本位于细胞中央

胃型低级别异型增生:小凹分化的高柱状细胞;细长细胞核位于基底

胃型异型增生

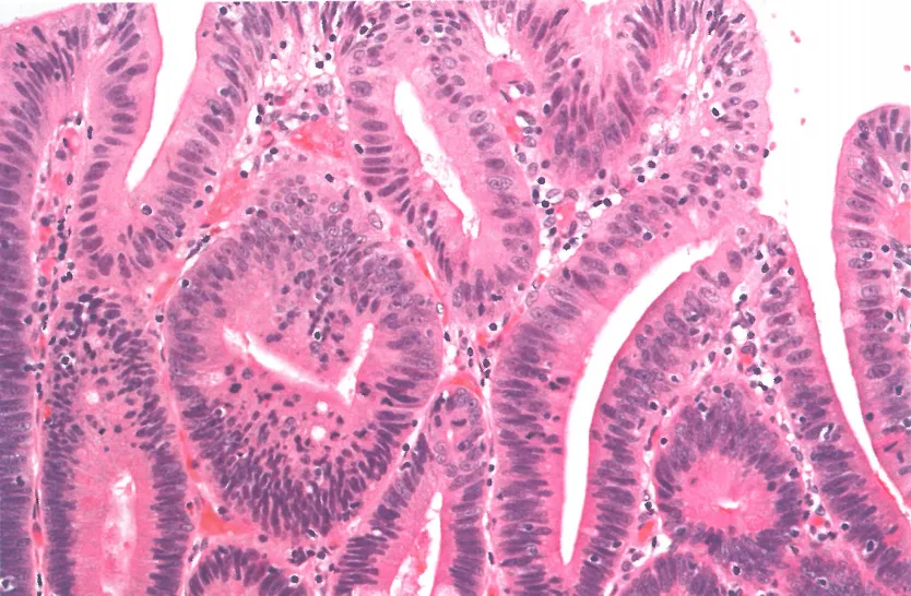
  • HGD :

  -显著细胞学异型性,核增大且具有高N:C比值;

  -显著的两亲性核仁;

  -核极性丧失及非典型核向管腔表面延伸是常见现象;

  -有丝分裂易见;

  -腺体结构通常复杂,呈现明显扭曲,包括背靠背排列的腺体;

  -显著的腺体拥挤、出芽及筛状形成应提示黏膜内腺癌

  -轻度细胞学异型性,具有显著结构异型性(如大小和形状不一的腺体)      的病例也应诊断为 HGD ;包括原位癌;

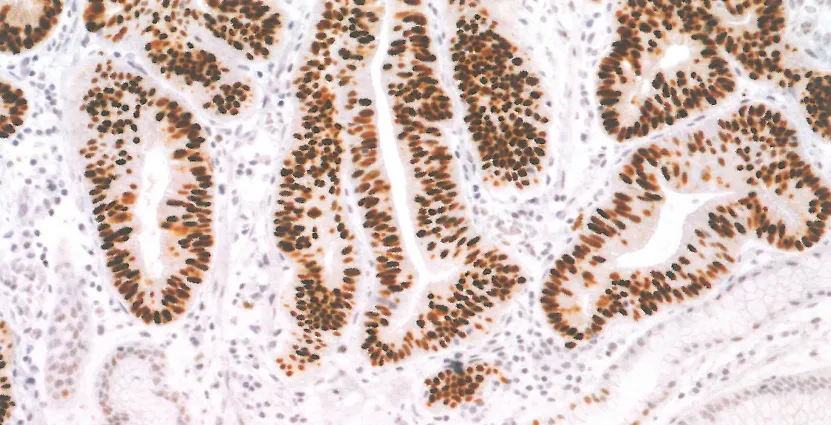
  -p53过表达。

肠型高级别异型增生:肠型分化高柱状细胞核排列紊乱

胃型高级别异型增生:高柱状细胞核排列紊乱。

p53过表达

  • 关于胃异型增生和腺癌的诊断标准目前共识有限,尤其在日本与北美、  欧洲及韩国的病理学家之间存在分歧:

  -日本病理学家基于细胞结构异型性(无论是否存在间质浸润证据)确立腺癌诊断;

  -北美、欧洲及韩国的病理学家主要依据基底膜破坏及癌细胞向固有层扩     散来诊断;

  -在日本,具有高级别细胞和/或结构异型性的胃非侵袭性肿瘤性病变被诊    断为非侵袭性癌。而这些病变在其他国家的大多数病理学家眼中会被归     类为 HGD。

3.亚型:

  • 胃隐窝异型增生:

    -胃小凹基底部的发育异常,腺体结构可见向表层上皮细胞的成熟化。

   -该病变在传统肿瘤外围区域的检出率为49%-72%,并被认为是癌症进      展的独立预测因子。

  • 锯齿状异型增生:

    -凹陷区域发生;

    -常呈微乳头状模式,延伸至黏膜表面并表达MUC5AC;

    -该表型亦被报道为锯齿状腺瘤,且常与腺癌共存。

鉴别诊断:
  • 反应性或再生性改变:
    存在于高度炎症反应的小活检标本,可通过评估连续组织学切片,或在治疗黏膜炎症后获取更可靠的活检样本进一步诊断。
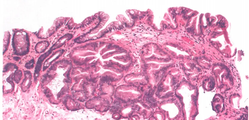
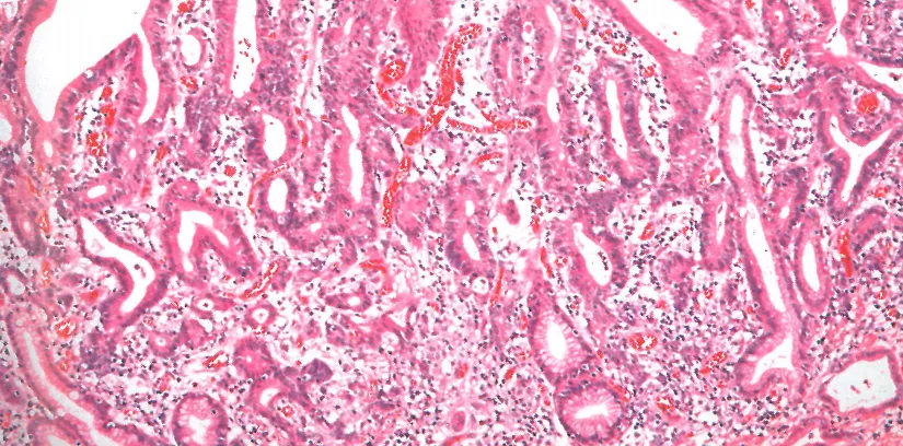
  • 黏膜内浸润性肿瘤/黏膜内腺癌:侵犯黏膜固有层或黏膜肌层的肿瘤。
  • 与HGD的区别在于独特的结构异常:腺体拥挤、过度分支和芽生现象,无论是否存在促结缔组织反应;
  • 单细胞浸润、小梁状生长、腺内坏死碎片、不规则(爬行)融合或小型退行性腺体可能是有助于诊断的特征性表现。
 黏膜内浸润性肿瘤/黏膜内腺癌:不规则腺体,异型增生或肠化生,深层黏膜过度分支、钉状突起及单细胞浸润;即肠型高分化癌。
肠型管状腺体不规则(爬行)融合。

必备诊断标准理想诊断标准:
明确的上皮内肿瘤性病变(非息肉样或息肉样);无浸润证据;低级别至高级别细胞学及结构改变;肠和/或胃表型。
分期(TNM):
HGD :pTis。
黏膜内浸润性肿瘤/黏膜内腺癌:pT1a。
预后与预测:
  • 组织学分级(低级别、高级别)与胃异型增生的预后密切相关。
  • 辅助标志物:DNA含量异常(通过流式细胞术评估的非整倍体或4N比例升高)与异型增生分级升高甚至癌症进展存在统计学显著相关性。
  • 预测性生物标志物:p53免疫组化;TP53、ARID1A、APC、ARID2和RNF43的靶向测序;微卫星不稳定性;p16启动子甲基化。

  • 图文均引自消化系统肿瘤WHO分类第5版

  • 本文内容仅为笔者个人学习记录,信息难以保证完全准确与时效,所有观点均为当下个人理解,不构成任何建议。我们尊重所有知识成果,如涉及侵权或引用不当,请告知删除。学海无涯,诚请各位老师批评指正!


最新文章

随机文章

基本 文件 流程 错误 SQL 调试
  1. 请求信息 : 2026-04-26 11:47:38 HTTP/2.0 GET : https://67808.cn/a/472389.html
  2. 运行时间 : 0.129436s [ 吞吐率:7.73req/s ] 内存消耗:4,844.65kb 文件加载:140
  3. 缓存信息 : 0 reads,0 writes
  4. 会话信息 : SESSION_ID=95430d554bf19bf23f75d4b141bb183b
  1. /yingpanguazai/ssd/ssd1/www/no.67808.cn/public/index.php ( 0.79 KB )
  2. /yingpanguazai/ssd/ssd1/www/no.67808.cn/vendor/autoload.php ( 0.17 KB )
  3. /yingpanguazai/ssd/ssd1/www/no.67808.cn/vendor/composer/autoload_real.php ( 2.49 KB )
  4. /yingpanguazai/ssd/ssd1/www/no.67808.cn/vendor/composer/platform_check.php ( 0.90 KB )
  5. /yingpanguazai/ssd/ssd1/www/no.67808.cn/vendor/composer/ClassLoader.php ( 14.03 KB )
  6. /yingpanguazai/ssd/ssd1/www/no.67808.cn/vendor/composer/autoload_static.php ( 4.90 KB )
  7. /yingpanguazai/ssd/ssd1/www/no.67808.cn/vendor/topthink/think-helper/src/helper.php ( 8.34 KB )
  8. /yingpanguazai/ssd/ssd1/www/no.67808.cn/vendor/topthink/think-validate/src/helper.php ( 2.19 KB )
  9. /yingpanguazai/ssd/ssd1/www/no.67808.cn/vendor/topthink/think-orm/src/helper.php ( 1.47 KB )
  10. /yingpanguazai/ssd/ssd1/www/no.67808.cn/vendor/topthink/think-orm/stubs/load_stubs.php ( 0.16 KB )
  11. /yingpanguazai/ssd/ssd1/www/no.67808.cn/vendor/topthink/framework/src/think/Exception.php ( 1.69 KB )
  12. /yingpanguazai/ssd/ssd1/www/no.67808.cn/vendor/topthink/think-container/src/Facade.php ( 2.71 KB )
  13. /yingpanguazai/ssd/ssd1/www/no.67808.cn/vendor/symfony/deprecation-contracts/function.php ( 0.99 KB )
  14. /yingpanguazai/ssd/ssd1/www/no.67808.cn/vendor/symfony/polyfill-mbstring/bootstrap.php ( 8.26 KB )
  15. /yingpanguazai/ssd/ssd1/www/no.67808.cn/vendor/symfony/polyfill-mbstring/bootstrap80.php ( 9.78 KB )
  16. /yingpanguazai/ssd/ssd1/www/no.67808.cn/vendor/symfony/var-dumper/Resources/functions/dump.php ( 1.49 KB )
  17. /yingpanguazai/ssd/ssd1/www/no.67808.cn/vendor/topthink/think-dumper/src/helper.php ( 0.18 KB )
  18. /yingpanguazai/ssd/ssd1/www/no.67808.cn/vendor/symfony/var-dumper/VarDumper.php ( 4.30 KB )
  19. /yingpanguazai/ssd/ssd1/www/no.67808.cn/vendor/topthink/framework/src/think/App.php ( 15.30 KB )
  20. /yingpanguazai/ssd/ssd1/www/no.67808.cn/vendor/topthink/think-container/src/Container.php ( 15.76 KB )
  21. /yingpanguazai/ssd/ssd1/www/no.67808.cn/vendor/psr/container/src/ContainerInterface.php ( 1.02 KB )
  22. /yingpanguazai/ssd/ssd1/www/no.67808.cn/app/provider.php ( 0.19 KB )
  23. /yingpanguazai/ssd/ssd1/www/no.67808.cn/vendor/topthink/framework/src/think/Http.php ( 6.04 KB )
  24. /yingpanguazai/ssd/ssd1/www/no.67808.cn/vendor/topthink/think-helper/src/helper/Str.php ( 7.29 KB )
  25. /yingpanguazai/ssd/ssd1/www/no.67808.cn/vendor/topthink/framework/src/think/Env.php ( 4.68 KB )
  26. /yingpanguazai/ssd/ssd1/www/no.67808.cn/app/common.php ( 0.03 KB )
  27. /yingpanguazai/ssd/ssd1/www/no.67808.cn/vendor/topthink/framework/src/helper.php ( 18.78 KB )
  28. /yingpanguazai/ssd/ssd1/www/no.67808.cn/vendor/topthink/framework/src/think/Config.php ( 5.54 KB )
  29. /yingpanguazai/ssd/ssd1/www/no.67808.cn/config/app.php ( 0.95 KB )
  30. /yingpanguazai/ssd/ssd1/www/no.67808.cn/config/cache.php ( 0.78 KB )
  31. /yingpanguazai/ssd/ssd1/www/no.67808.cn/config/console.php ( 0.23 KB )
  32. /yingpanguazai/ssd/ssd1/www/no.67808.cn/config/cookie.php ( 0.56 KB )
  33. /yingpanguazai/ssd/ssd1/www/no.67808.cn/config/database.php ( 2.48 KB )
  34. /yingpanguazai/ssd/ssd1/www/no.67808.cn/vendor/topthink/framework/src/think/facade/Env.php ( 1.67 KB )
  35. /yingpanguazai/ssd/ssd1/www/no.67808.cn/config/filesystem.php ( 0.61 KB )
  36. /yingpanguazai/ssd/ssd1/www/no.67808.cn/config/lang.php ( 0.91 KB )
  37. /yingpanguazai/ssd/ssd1/www/no.67808.cn/config/log.php ( 1.35 KB )
  38. /yingpanguazai/ssd/ssd1/www/no.67808.cn/config/middleware.php ( 0.19 KB )
  39. /yingpanguazai/ssd/ssd1/www/no.67808.cn/config/route.php ( 1.89 KB )
  40. /yingpanguazai/ssd/ssd1/www/no.67808.cn/config/session.php ( 0.57 KB )
  41. /yingpanguazai/ssd/ssd1/www/no.67808.cn/config/trace.php ( 0.34 KB )
  42. /yingpanguazai/ssd/ssd1/www/no.67808.cn/config/view.php ( 0.82 KB )
  43. /yingpanguazai/ssd/ssd1/www/no.67808.cn/app/event.php ( 0.25 KB )
  44. /yingpanguazai/ssd/ssd1/www/no.67808.cn/vendor/topthink/framework/src/think/Event.php ( 7.67 KB )
  45. /yingpanguazai/ssd/ssd1/www/no.67808.cn/app/service.php ( 0.13 KB )
  46. /yingpanguazai/ssd/ssd1/www/no.67808.cn/app/AppService.php ( 0.26 KB )
  47. /yingpanguazai/ssd/ssd1/www/no.67808.cn/vendor/topthink/framework/src/think/Service.php ( 1.64 KB )
  48. /yingpanguazai/ssd/ssd1/www/no.67808.cn/vendor/topthink/framework/src/think/Lang.php ( 7.35 KB )
  49. /yingpanguazai/ssd/ssd1/www/no.67808.cn/vendor/topthink/framework/src/lang/zh-cn.php ( 13.70 KB )
  50. /yingpanguazai/ssd/ssd1/www/no.67808.cn/vendor/topthink/framework/src/think/initializer/Error.php ( 3.31 KB )
  51. /yingpanguazai/ssd/ssd1/www/no.67808.cn/vendor/topthink/framework/src/think/initializer/RegisterService.php ( 1.33 KB )
  52. /yingpanguazai/ssd/ssd1/www/no.67808.cn/vendor/services.php ( 0.14 KB )
  53. /yingpanguazai/ssd/ssd1/www/no.67808.cn/vendor/topthink/framework/src/think/service/PaginatorService.php ( 1.52 KB )
  54. /yingpanguazai/ssd/ssd1/www/no.67808.cn/vendor/topthink/framework/src/think/service/ValidateService.php ( 0.99 KB )
  55. /yingpanguazai/ssd/ssd1/www/no.67808.cn/vendor/topthink/framework/src/think/service/ModelService.php ( 2.04 KB )
  56. /yingpanguazai/ssd/ssd1/www/no.67808.cn/vendor/topthink/think-trace/src/Service.php ( 0.77 KB )
  57. /yingpanguazai/ssd/ssd1/www/no.67808.cn/vendor/topthink/framework/src/think/Middleware.php ( 6.72 KB )
  58. /yingpanguazai/ssd/ssd1/www/no.67808.cn/vendor/topthink/framework/src/think/initializer/BootService.php ( 0.77 KB )
  59. /yingpanguazai/ssd/ssd1/www/no.67808.cn/vendor/topthink/think-orm/src/Paginator.php ( 11.86 KB )
  60. /yingpanguazai/ssd/ssd1/www/no.67808.cn/vendor/topthink/think-validate/src/Validate.php ( 63.20 KB )
  61. /yingpanguazai/ssd/ssd1/www/no.67808.cn/vendor/topthink/think-orm/src/Model.php ( 23.55 KB )
  62. /yingpanguazai/ssd/ssd1/www/no.67808.cn/vendor/topthink/think-orm/src/model/concern/Attribute.php ( 21.05 KB )
  63. /yingpanguazai/ssd/ssd1/www/no.67808.cn/vendor/topthink/think-orm/src/model/concern/AutoWriteData.php ( 4.21 KB )
  64. /yingpanguazai/ssd/ssd1/www/no.67808.cn/vendor/topthink/think-orm/src/model/concern/Conversion.php ( 6.44 KB )
  65. /yingpanguazai/ssd/ssd1/www/no.67808.cn/vendor/topthink/think-orm/src/model/concern/DbConnect.php ( 5.16 KB )
  66. /yingpanguazai/ssd/ssd1/www/no.67808.cn/vendor/topthink/think-orm/src/model/concern/ModelEvent.php ( 2.33 KB )
  67. /yingpanguazai/ssd/ssd1/www/no.67808.cn/vendor/topthink/think-orm/src/model/concern/RelationShip.php ( 28.29 KB )
  68. /yingpanguazai/ssd/ssd1/www/no.67808.cn/vendor/topthink/think-helper/src/contract/Arrayable.php ( 0.09 KB )
  69. /yingpanguazai/ssd/ssd1/www/no.67808.cn/vendor/topthink/think-helper/src/contract/Jsonable.php ( 0.13 KB )
  70. /yingpanguazai/ssd/ssd1/www/no.67808.cn/vendor/topthink/think-orm/src/model/contract/Modelable.php ( 0.09 KB )
  71. /yingpanguazai/ssd/ssd1/www/no.67808.cn/vendor/topthink/framework/src/think/Db.php ( 2.88 KB )
  72. /yingpanguazai/ssd/ssd1/www/no.67808.cn/vendor/topthink/think-orm/src/DbManager.php ( 8.52 KB )
  73. /yingpanguazai/ssd/ssd1/www/no.67808.cn/vendor/topthink/framework/src/think/Log.php ( 6.28 KB )
  74. /yingpanguazai/ssd/ssd1/www/no.67808.cn/vendor/topthink/framework/src/think/Manager.php ( 3.92 KB )
  75. /yingpanguazai/ssd/ssd1/www/no.67808.cn/vendor/psr/log/src/LoggerTrait.php ( 2.69 KB )
  76. /yingpanguazai/ssd/ssd1/www/no.67808.cn/vendor/psr/log/src/LoggerInterface.php ( 2.71 KB )
  77. /yingpanguazai/ssd/ssd1/www/no.67808.cn/vendor/topthink/framework/src/think/Cache.php ( 4.92 KB )
  78. /yingpanguazai/ssd/ssd1/www/no.67808.cn/vendor/psr/simple-cache/src/CacheInterface.php ( 4.71 KB )
  79. /yingpanguazai/ssd/ssd1/www/no.67808.cn/vendor/topthink/think-helper/src/helper/Arr.php ( 16.63 KB )
  80. /yingpanguazai/ssd/ssd1/www/no.67808.cn/vendor/topthink/framework/src/think/cache/driver/File.php ( 7.84 KB )
  81. /yingpanguazai/ssd/ssd1/www/no.67808.cn/vendor/topthink/framework/src/think/cache/Driver.php ( 9.03 KB )
  82. /yingpanguazai/ssd/ssd1/www/no.67808.cn/vendor/topthink/framework/src/think/contract/CacheHandlerInterface.php ( 1.99 KB )
  83. /yingpanguazai/ssd/ssd1/www/no.67808.cn/app/Request.php ( 0.09 KB )
  84. /yingpanguazai/ssd/ssd1/www/no.67808.cn/vendor/topthink/framework/src/think/Request.php ( 55.78 KB )
  85. /yingpanguazai/ssd/ssd1/www/no.67808.cn/app/middleware.php ( 0.25 KB )
  86. /yingpanguazai/ssd/ssd1/www/no.67808.cn/vendor/topthink/framework/src/think/Pipeline.php ( 2.61 KB )
  87. /yingpanguazai/ssd/ssd1/www/no.67808.cn/vendor/topthink/think-trace/src/TraceDebug.php ( 3.40 KB )
  88. /yingpanguazai/ssd/ssd1/www/no.67808.cn/vendor/topthink/framework/src/think/middleware/SessionInit.php ( 1.94 KB )
  89. /yingpanguazai/ssd/ssd1/www/no.67808.cn/vendor/topthink/framework/src/think/Session.php ( 1.80 KB )
  90. /yingpanguazai/ssd/ssd1/www/no.67808.cn/vendor/topthink/framework/src/think/session/driver/File.php ( 6.27 KB )
  91. /yingpanguazai/ssd/ssd1/www/no.67808.cn/vendor/topthink/framework/src/think/contract/SessionHandlerInterface.php ( 0.87 KB )
  92. /yingpanguazai/ssd/ssd1/www/no.67808.cn/vendor/topthink/framework/src/think/session/Store.php ( 7.12 KB )
  93. /yingpanguazai/ssd/ssd1/www/no.67808.cn/vendor/topthink/framework/src/think/Route.php ( 23.73 KB )
  94. /yingpanguazai/ssd/ssd1/www/no.67808.cn/vendor/topthink/framework/src/think/route/RuleName.php ( 5.75 KB )
  95. /yingpanguazai/ssd/ssd1/www/no.67808.cn/vendor/topthink/framework/src/think/route/Domain.php ( 2.53 KB )
  96. /yingpanguazai/ssd/ssd1/www/no.67808.cn/vendor/topthink/framework/src/think/route/RuleGroup.php ( 22.43 KB )
  97. /yingpanguazai/ssd/ssd1/www/no.67808.cn/vendor/topthink/framework/src/think/route/Rule.php ( 26.95 KB )
  98. /yingpanguazai/ssd/ssd1/www/no.67808.cn/vendor/topthink/framework/src/think/route/RuleItem.php ( 9.78 KB )
  99. /yingpanguazai/ssd/ssd1/www/no.67808.cn/route/app.php ( 1.72 KB )
  100. /yingpanguazai/ssd/ssd1/www/no.67808.cn/vendor/topthink/framework/src/think/facade/Route.php ( 4.70 KB )
  101. /yingpanguazai/ssd/ssd1/www/no.67808.cn/vendor/topthink/framework/src/think/route/dispatch/Controller.php ( 4.74 KB )
  102. /yingpanguazai/ssd/ssd1/www/no.67808.cn/vendor/topthink/framework/src/think/route/Dispatch.php ( 10.44 KB )
  103. /yingpanguazai/ssd/ssd1/www/no.67808.cn/app/controller/Index.php ( 4.81 KB )
  104. /yingpanguazai/ssd/ssd1/www/no.67808.cn/app/BaseController.php ( 2.05 KB )
  105. /yingpanguazai/ssd/ssd1/www/no.67808.cn/vendor/topthink/think-orm/src/facade/Db.php ( 0.93 KB )
  106. /yingpanguazai/ssd/ssd1/www/no.67808.cn/vendor/topthink/think-orm/src/db/connector/Mysql.php ( 5.44 KB )
  107. /yingpanguazai/ssd/ssd1/www/no.67808.cn/vendor/topthink/think-orm/src/db/PDOConnection.php ( 52.47 KB )
  108. /yingpanguazai/ssd/ssd1/www/no.67808.cn/vendor/topthink/think-orm/src/db/Connection.php ( 8.39 KB )
  109. /yingpanguazai/ssd/ssd1/www/no.67808.cn/vendor/topthink/think-orm/src/db/ConnectionInterface.php ( 4.57 KB )
  110. /yingpanguazai/ssd/ssd1/www/no.67808.cn/vendor/topthink/think-orm/src/db/builder/Mysql.php ( 16.58 KB )
  111. /yingpanguazai/ssd/ssd1/www/no.67808.cn/vendor/topthink/think-orm/src/db/Builder.php ( 24.06 KB )
  112. /yingpanguazai/ssd/ssd1/www/no.67808.cn/vendor/topthink/think-orm/src/db/BaseBuilder.php ( 27.50 KB )
  113. /yingpanguazai/ssd/ssd1/www/no.67808.cn/vendor/topthink/think-orm/src/db/Query.php ( 15.71 KB )
  114. /yingpanguazai/ssd/ssd1/www/no.67808.cn/vendor/topthink/think-orm/src/db/BaseQuery.php ( 45.13 KB )
  115. /yingpanguazai/ssd/ssd1/www/no.67808.cn/vendor/topthink/think-orm/src/db/concern/TimeFieldQuery.php ( 7.43 KB )
  116. /yingpanguazai/ssd/ssd1/www/no.67808.cn/vendor/topthink/think-orm/src/db/concern/AggregateQuery.php ( 3.26 KB )
  117. /yingpanguazai/ssd/ssd1/www/no.67808.cn/vendor/topthink/think-orm/src/db/concern/ModelRelationQuery.php ( 20.07 KB )
  118. /yingpanguazai/ssd/ssd1/www/no.67808.cn/vendor/topthink/think-orm/src/db/concern/ParamsBind.php ( 3.66 KB )
  119. /yingpanguazai/ssd/ssd1/www/no.67808.cn/vendor/topthink/think-orm/src/db/concern/ResultOperation.php ( 7.01 KB )
  120. /yingpanguazai/ssd/ssd1/www/no.67808.cn/vendor/topthink/think-orm/src/db/concern/WhereQuery.php ( 19.37 KB )
  121. /yingpanguazai/ssd/ssd1/www/no.67808.cn/vendor/topthink/think-orm/src/db/concern/JoinAndViewQuery.php ( 7.11 KB )
  122. /yingpanguazai/ssd/ssd1/www/no.67808.cn/vendor/topthink/think-orm/src/db/concern/TableFieldInfo.php ( 2.63 KB )
  123. /yingpanguazai/ssd/ssd1/www/no.67808.cn/vendor/topthink/think-orm/src/db/concern/Transaction.php ( 2.77 KB )
  124. /yingpanguazai/ssd/ssd1/www/no.67808.cn/vendor/topthink/framework/src/think/log/driver/File.php ( 5.96 KB )
  125. /yingpanguazai/ssd/ssd1/www/no.67808.cn/vendor/topthink/framework/src/think/contract/LogHandlerInterface.php ( 0.86 KB )
  126. /yingpanguazai/ssd/ssd1/www/no.67808.cn/vendor/topthink/framework/src/think/log/Channel.php ( 3.89 KB )
  127. /yingpanguazai/ssd/ssd1/www/no.67808.cn/vendor/topthink/framework/src/think/event/LogRecord.php ( 1.02 KB )
  128. /yingpanguazai/ssd/ssd1/www/no.67808.cn/vendor/topthink/think-helper/src/Collection.php ( 16.47 KB )
  129. /yingpanguazai/ssd/ssd1/www/no.67808.cn/vendor/topthink/framework/src/think/facade/View.php ( 1.70 KB )
  130. /yingpanguazai/ssd/ssd1/www/no.67808.cn/vendor/topthink/framework/src/think/View.php ( 4.39 KB )
  131. /yingpanguazai/ssd/ssd1/www/no.67808.cn/vendor/topthink/framework/src/think/Response.php ( 8.81 KB )
  132. /yingpanguazai/ssd/ssd1/www/no.67808.cn/vendor/topthink/framework/src/think/response/View.php ( 3.29 KB )
  133. /yingpanguazai/ssd/ssd1/www/no.67808.cn/vendor/topthink/framework/src/think/Cookie.php ( 6.06 KB )
  134. /yingpanguazai/ssd/ssd1/www/no.67808.cn/vendor/topthink/think-view/src/Think.php ( 8.38 KB )
  135. /yingpanguazai/ssd/ssd1/www/no.67808.cn/vendor/topthink/framework/src/think/contract/TemplateHandlerInterface.php ( 1.60 KB )
  136. /yingpanguazai/ssd/ssd1/www/no.67808.cn/vendor/topthink/think-template/src/Template.php ( 46.61 KB )
  137. /yingpanguazai/ssd/ssd1/www/no.67808.cn/vendor/topthink/think-template/src/template/driver/File.php ( 2.41 KB )
  138. /yingpanguazai/ssd/ssd1/www/no.67808.cn/vendor/topthink/think-template/src/template/contract/DriverInterface.php ( 0.86 KB )
  139. /yingpanguazai/ssd/ssd1/www/no.67808.cn/runtime/temp/6df755f970a38e704c5414acbc6e8bcd.php ( 12.06 KB )
  140. /yingpanguazai/ssd/ssd1/www/no.67808.cn/vendor/topthink/think-trace/src/Html.php ( 4.42 KB )
  1. CONNECT:[ UseTime:0.001139s ] mysql:host=127.0.0.1;port=3306;dbname=no_67808;charset=utf8mb4
  2. SHOW FULL COLUMNS FROM `fenlei` [ RunTime:0.001599s ]
  3. SELECT * FROM `fenlei` WHERE `fid` = 0 [ RunTime:0.000721s ]
  4. SELECT * FROM `fenlei` WHERE `fid` = 63 [ RunTime:0.000671s ]
  5. SHOW FULL COLUMNS FROM `set` [ RunTime:0.001307s ]
  6. SELECT * FROM `set` [ RunTime:0.000597s ]
  7. SHOW FULL COLUMNS FROM `article` [ RunTime:0.001432s ]
  8. SELECT * FROM `article` WHERE `id` = 472389 LIMIT 1 [ RunTime:0.001053s ]
  9. UPDATE `article` SET `lasttime` = 1777175258 WHERE `id` = 472389 [ RunTime:0.021673s ]
  10. SELECT * FROM `fenlei` WHERE `id` = 65 LIMIT 1 [ RunTime:0.000704s ]
  11. SELECT * FROM `article` WHERE `id` < 472389 ORDER BY `id` DESC LIMIT 1 [ RunTime:0.001051s ]
  12. SELECT * FROM `article` WHERE `id` > 472389 ORDER BY `id` ASC LIMIT 1 [ RunTime:0.005346s ]
  13. SELECT * FROM `article` WHERE `id` < 472389 ORDER BY `id` DESC LIMIT 10 [ RunTime:0.001659s ]
  14. SELECT * FROM `article` WHERE `id` < 472389 ORDER BY `id` DESC LIMIT 10,10 [ RunTime:0.001738s ]
  15. SELECT * FROM `article` WHERE `id` < 472389 ORDER BY `id` DESC LIMIT 20,10 [ RunTime:0.002776s ]
0.133156s