病 例 分 享
患者 男,45岁。
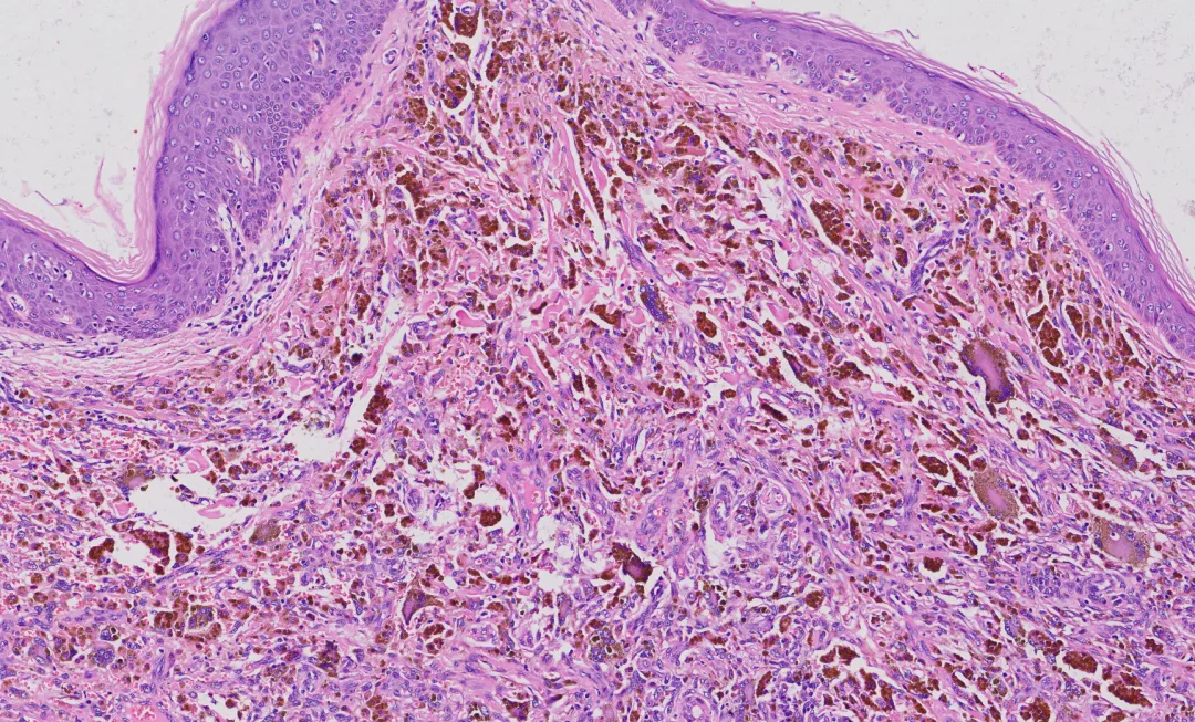
皮肤科检查:右侧肩背部可见1.0cm*0.75cm黑色斑,轻度萎缩,边界较模糊,可见少了脱屑,触摸时可见轻度凹陷,萎缩。
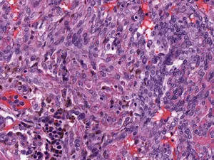
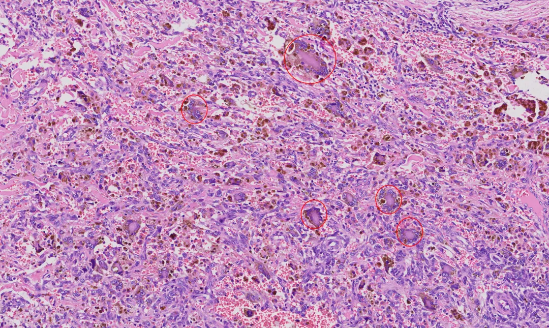
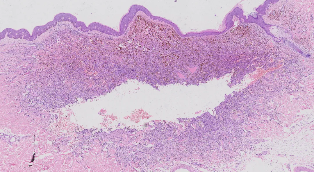
角化过度,表皮增生肥厚,皮突延长,肿瘤位于真皮内,排列较紊乱,肿瘤中央可见出血性裂隙,真皮乳头部可见无浸润带。
1、核心病理特征
①肿瘤组织内有不规则的类似于血管腔的出血性裂隙。
②肿瘤附近的实体区域,尤其是细胞,常表现为良性纤维组织细胞瘤。
③细胞内外含铁血黄素的沉积。
动脉瘤样纤维组织细胞瘤
(Angiomatoid Fibrous Histiocytoma, AFH)
讨 论
动脉瘤样纤维组织细胞瘤(AFH),现多称血管瘤样纤维组织细胞瘤,是一种罕见、中间恶性潜能的软组织肿瘤,好发于儿童与青少年四肢皮下。
一、临床特征
•年龄:儿童、青少年多见(中位约 20 岁),成人亦可发病。
•部位:四肢(尤其大腿)皮下 / 真皮深层,其次躯干、头颈部。
•表现:缓慢生长、无痛性结节 / 肿块,直径多 2–5 cm;表面可呈蓝红色,易误诊为血管瘤、囊肿或色素痣。

二、病理形态(诊断核心)
•大体:边界较清,切面灰褐,实性为主伴出血性囊腔,似动脉瘤。
•镜下(四联征):
a.上皮样 / 梭形细胞结节:片状 / 巢状排列,胞质丰富嗜酸,核轻度异型。
b.假血管瘤样腔隙:腔隙充满血液,无内皮衬覆(关键)。
c.厚纤维假包膜:伴含铁血黄素沉积。
d.包膜外淋巴浆细胞套:可见生发中心。


三、免疫组化(IHC)
•阳性:Vimentin(+)、CD68(+)、CD99(+)、Desmin (±,约 60%)、EMA(±)。
•阴性:CD31、CD34、S-100、CK、HHV8(排除血管 / 神经 / 上皮源性)。
四、分子特征
•特征性EWSR1 基因融合:
◦最常见:t(2;22)(q33;q12)→ EWSR1-CREB1(占 90%+)。
◦少见:EWSR1-ATF1、FUS-ATF1。
五、鉴别诊断
1.未分化多形性肉瘤:老年、深部、细胞显著异型、Desmin (−)。
2.Kaposi 肉瘤:AIDS 相关、CD34/CD31/HHV8 (+)、无纤维包膜。
3.梭形细胞血管瘤:无包膜及淋巴套、CD34/CD31/SMA (+)、Desmin (−)。
4.炎性肌纤维母细胞瘤:ALK 常阳性、无 EWSR1 融合。
六、治疗与预后
•治疗:首选局部广泛切除,切缘阴性是关键。
•预后:中间型(低度恶性)
◦局部复发率:2%–10%(切缘不足者更高)。
◦转移率:<1%(偶见区域淋巴结,极少远处转移)。
◦5 年生存率:>95%。
七、要点总结
•好发人群 / 部位:青少年、四肢皮下。
•形态核心:梭形 / 上皮样细胞 + 假血管腔隙 + 纤维包膜 + 淋巴浆细胞套。
•免疫标记:CD68/CD99 (+)、Desmin (±)、血管内皮标记 (−)。
•分子确诊:EWSR1-CREB1 融合。
•治疗:广泛切除,预后良好。
声明:以上知识点及图片部分来源于病理相关书籍及网络,仅用于个人学习记录,不代表一定全对。(此病例仅代表个人观点,不正确之处多批评指正,谢谢大家)PS:欢迎大家关注,如果您喜欢,麻烦点赞、推荐和分享,谢谢大家。