在上次学习笔记中介绍了前列腺腺泡腺癌的基础知识点,此次学习笔记将介绍前列腺癌的又一重要知识点Gleason评分及分级分组的相关内容,让我们进入正式的学习吧!前列腺癌包含多种组织学类型,需要注意的是Gleason评分仅适用于腺癌成分,对于尿路上皮癌、鳞状细胞癌、神经内分泌肿瘤等是不适用的。Gleason分级系统模式图

Gleason分级不同级别的镜下特点
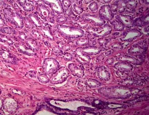
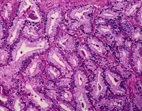
Gleason1级:肿瘤结节界限清楚、膨胀性生长,结节内腺体排列紧密但不融合,圆形、卵圆形中等大小(比Gleason3级的腺体大),大小形状均一致,不浸润周围良性前列腺组织。
Gleason1级,由规则形态的腺体背靠背紧密排列组成界限清楚的小叶,没有明确浸润
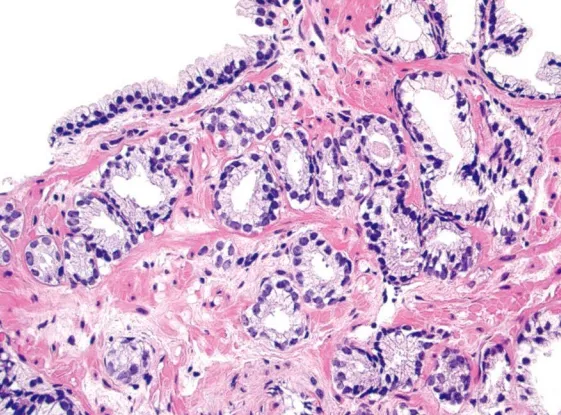
Gleason2级:与Gleason1级相似,肿瘤结节边界比较清楚,但边缘可有微小浸润。与Gleason1级相比,2级的腺体排列较为松散,腺体大小形态较不一致,腺体圆形、卵圆形,不融合。1级及2级癌大多发生在移行区,很少位于外周区。
Gleason2级,轻度不规则形态的腺体,以背靠背的方式构成
轻度不规则形态的腺体形成界限清楚的小叶
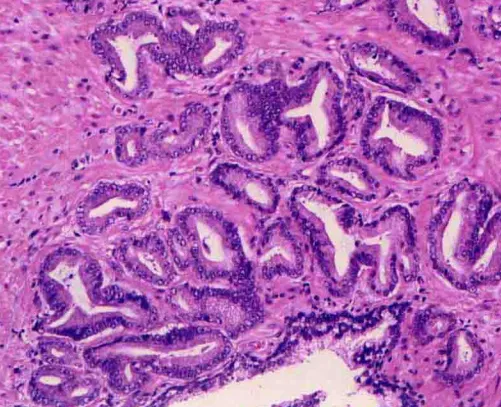
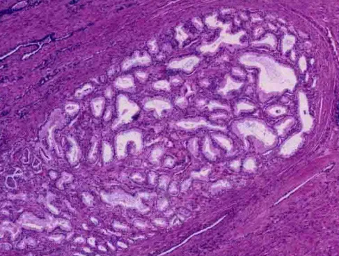
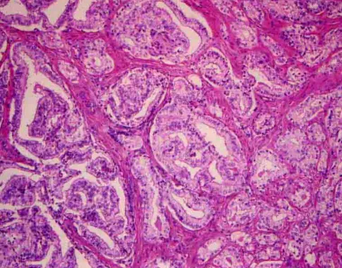
Gleason3级:完全独立分散的腺体,单个腺体轮廓清楚,一般比Gleason1或2级的腺体小,腺体大小形态各异,腺腔开放,浸润于良性腺体之间的间质。
Gleason3级,由分散的、腺体结构良好的圆形腺体构成
小灶的小腺体具有一些分支,形成“Y形、T形”
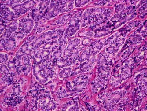
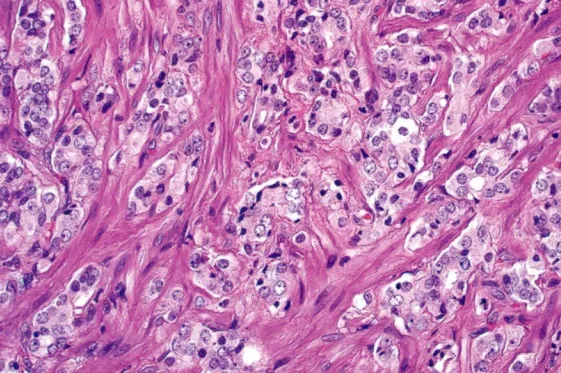
Gleason4级:包括融合性小腺泡群,呈不规则、互相吻合的筛状或乳头状结构;低分化腺癌由成簇细胞构成腺腔形成不良,腺体界限欠清;筛状结构腺体;肾上腺样结构,表现为胞质透亮、核小而深染的肿瘤细胞形成片状结构,似肾透明细胞癌。
Gleason4级,显示分化欠佳的腺体,可见簇状细胞及条索状结构,提示腺体形成,但大部分缺乏确切的腺腔
相互融合的腺体
筛状结构
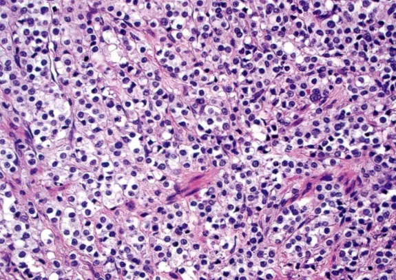
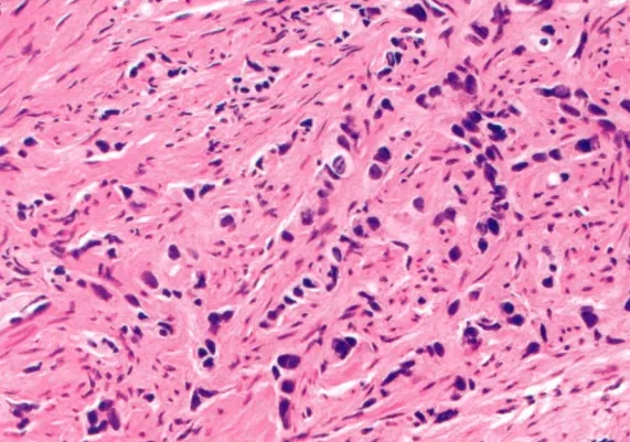
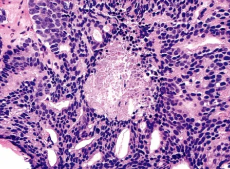
Gleason5级:无明确腺体分化,肿瘤呈实性片状、条索状结构或单细胞排列;粉刺型癌中央有粉刺状坏死,周围为乳头状、筛状或实性结构。
Gleason5级,实性、片状生长,无明显腺管结构
单个细胞浸润,呈单行或条索状
单个细胞构成细胞簇,不伴有腺体形成
前列腺腺癌伴粉刺状坏死被认为是5级,然而最近发现这些病灶往往是导管内癌。由于目前的观点认为导管内癌不应被分级,因此如何处理这些病例是存在争议的。
WHO前列腺癌的分级分组系统
穿刺活检标本中,不进行Gleason1、2级的评价,直接从3级开始评价,主要有以下几个原因:
A、可重复性差:即不同的病理医生,对同个病例评分有差异,没有重复性。如一个病例甲医生认为Gleason2级,乙医生可能认为Gleason3级。
B、边缘情况无法判断:由于穿刺/活检标本组织较少,无法判断穿刺部位以外的区域或相邻区域的情况。
C、根治标本提高分级:穿刺标本后,进行根治术后很多标本都会提高分级。
D、引起误解:主要是由于以上几点原因,可能会对患者和临床医生造成误解,容易引起误诊、误治。
经尿道切除及根治标本中可以进行Gleason1、2级的诊断,但比例很少、罕见,很少诊断。
前列腺癌Gleason评分主要依据
有以下几个情况需要注意:
一、局限性次要分级
穿刺活检及经尿道切除标本中,肿瘤成分为2种且次要成分肿瘤比例<5%时,①当次要成分级别比主要成分低时,次要成分级别可忽略不计,Gleason评分=主要+主要,如上图例子98%4级,2%3级,3级可以忽略不计,Gleason评分4+4=8分。②当次要成分级别比主要成分高时,要参与评分,Gleason评分=主要+次要,如主要成分98%4级,2%5级,Gleason评分4+5=9分。
注意:根治标本时,肿瘤成分仅2种且次要成分比例<5%时①若肿瘤成分为2种且次要成分为较低级别时,与穿刺活检标本一样,Gleason评分=主要+主要,如98%4级、2%3级,Gleason评分4+4=8分;②次要成分为较高级别时,Gleason评分=主要+主要,并备注伴有<5%的较高级成分,如肿瘤具有98%4级,2%5级,根治标本Gleason评分:4+4=8分伴有<5%的Gleason5级成分。
二、第三种分级
主要指肿瘤成分>2种时如何分级,在这种情况下需要考虑多种情况
穿刺活检标本时
①第3种成分级别更低时,可忽略不计。如3种成分,主要是5分,次要4分,第3种成分3级,则忽略3级成分,Gleason评分=主要+次要,5+4=9分。
②第3种成分级别更高时,参与评分。如3种成分,肿瘤具有60%3分、30%4分、10%5分成分,Gleason评分=主要+最高,3+5=8分。
注意:经尿道前列腺切除标本的Gleason评分与穿刺活检标本的标准相同。
根治标本时
①第3种成分级别最低时,与活检标本一样可忽略不计。
②第3种成分级别最高时,有两种情况(1)若第3种成分比例<5%时,Gleason评分=主要+次要,并备注伴有<5%的较高级别成分(Gleason4或5级成分)。如肿瘤具有3级成分70%,4级成分27%,5级成分3%,则Gleason评分=3+4=7分,伴有<5%的Gleason5级成分。(2)若第3种成分比例≥5%时,则为Gleason评分为=主要+最高。如肿瘤成分3级60%,4级30%,5级10%,Gleason评分3+5=8分。
前列腺癌标本报告中的常见问题
常见问题a:如果一张切片中有多条穿刺组织,需要逐条报告吗?
当同一标本容器中存在多条组织时,是否需要每条组织单独报告是存在争议的。临床医生将多条组织放于同一标本容器,意味着不需要每条标本的独立报告。然而,如果不同组织中肿瘤成分有显著差异,如一条是 Gleason评分 3+4=7分(分级分组2),另一条是 Gleason评分4+4=8分(分级分组4),需要将这个信息告知临床,分开报告,因为这种情况可能意味着前列腺中有两个独立的肿瘤。我们的建议是,如果对整体评分会造成明显差异时,则进行单独报告。否则,可统一诊断(见述评示例1、2)。在一些样本中,如果可见多条穿刺组织标本和(或)见到大量碎片,可能难以确定有多少条穿刺标本受累。在这种情况下,仅报告肿瘤成分总体占比(如占穿刺碎组织的20%,诸如此类用语)即可。
示例1(多条穿刺组织有同等分级的前列腺腺癌):前列腺,左侧中部,穿刺活检:
前列腺腺癌,Gleason评分3+3=6分(分级分组1),累及约40%穿刺组织,2条组织均受累(病灶约5mm)
示例2(多条穿刺组织有不同分级的前列腺腺癌):前列腺,左侧中部,穿刺活检:
前列腺腺癌,Gleason评分4+4-8分(分级分组4),累及其中一条组织全长的 20%(病灶大小约 3mm );前列腺腺癌,Gleason评分3+4=7分(分级分组2),累及另一穿刺组织全长的30%(病灶大小约4mm);Gleason4级区域占癌组织的 30%
注意:在2021版前列腺癌病理诊断共识中描述,对系统性穿刺活检,不同的穿刺活检部位(无论穿刺组织条数)需要给予单独的Gleason评分,而不需对每个穿刺组织条都进行Gleason 评分,也不需强制性地对所有的穿刺活检组织再进行总体的 Gleason评分。对于磁共振检查高度可疑为癌(PIRADS4-5分)的靶向穿刺活检标本,如镜下证实为前列腺癌,需要对磁共振检查可疑的每个病灶部位的前列腺癌给予总的 Gleason评分。
常见问题b:什么是前列腺活检的整体或综合分级
对于每份单独送检的样本,目前一致认为应分别分级和评判占比。此外部分病理学家提出综合评分的观点,即对所有存在前列腺癌的标本进行整体分级,可能对临床更有帮助。当多个标本中肿瘤组织 Gleason评分为3+4=7分(分级分组2),而仅1条组织出现Gleason评分为4+4=8分(分级分组4)的小病灶时,按常规诊断路径应将患者划分至分级分组4群体。然而,如果肿瘤实际是分级分组 2,仅在活检中肿瘤边缘偶然取到小块4级区域,那么这样的分组显然过高。其他持有不同意见的病理学者则认为,应将决策权交给临床医生,临床上可结合其他因素如影像学等综合分析。目前,除了给每个标本单独分级,不强制要求对所有标本作出综合分级。
穿刺活检标本中,要报告Gleason4级前列腺癌的比例:在Gleason评分为3+4=7和4+3=7的穿刺组织中应报告 Gleason4级成分的比例,推荐报告为<5%、<10%,再以10%作为增量报告比例;或者报告为<5%、5%~10%、11%~25%、26%~50%、51%~75%、>75%。同样是 Gleason 总评分为7分,Gleason4级的比例不同将可能明显影响肿瘤的预后以及临床的决策。如Gleason评分为3+4=7分但仅有<5%的 Gleason4级成分,在无其他高危因素的情况下,其生物学行为更接近于 Gleason评分3+3=6分的前列腺癌,但在 Gleason评分为4+3=7分而有 90%的 Gleason4级成分时,其生物学行为则可能更接近于 Gleason评分4+4=8分的前列腺癌。但在穿刺组织条中仅有微小灶(或<10%比例)的Gleason总评分为7分的腺癌中,Gleason4级比例的评估存在明显的观察者之间的差异性,因此在这种情况下可不予以评估 Gleason4级的比例。前列腺癌在Gleason总评分为7分或8分且存在Gleason4级成分时,除了报告 Gleason4级癌的比例之外,还需要报告是否存在筛状型 Gleason4 级的癌。多项研究表明,相比较于腺腔不完整、肾小球样结构以及腺体融合等 Gleason4级组织学构型,存在筛状型 Gleason4级构型的癌具有明显较差的预后。经尿道切除标本及根治标本也需要报告 Gleason4级前列腺癌的比例(如存在时)以及是否存在筛状组织学 Gleason4级类型,方法与标准与穿刺活检标本相同。
非常感谢您的阅读,本次学习笔记通过阅读相关书籍、文献及视频,梳理了前列腺癌Gleason评分中常见的问题,希望对您的学习有所帮助!
参考文献
1、《临床病理诊断与鉴别诊断—泌尿及男性生殖系统疾病》周晓军 余英豪 主编,饶秋 张静 章宜芬 樊祥山 陈虹 副主编,人民卫生出版社,2020年8月
2、《泌尿生殖病理学图谱—基于模式的诊断方法》[美]Sara E. Wobker ,Sean R.Williamson,陈文芳 杨诗聪 主译,中国科学技术出版社,2024年3月
3、《实用泌尿生殖系统病理学》杨熙明 贺慧颖 郑杰 郑闪 主编,北京大学医学出版社,2018年12月
4、中华医学会病理学分会泌尿与男性生殖系统疾病病理学组.前列腺癌规范化标本取材及病理诊断共识(2021版)[J].中华病理学杂志.2021,50(9)
部分图片与内容来源于华夏病理网—北京大学人民医院病理科 王功伟老师—《前列腺癌Gleason分级系统的前世今生》,非常感谢老师的精彩讲解
声明:本文仅供学习参考,参考书籍、文献及相关内容总结,感谢各位老师的辛苦付出,本文内容不代表全对,如有侵权及错误,请联系删除!