当前位置:首页>学习笔记>学习笔记 | 肺大细胞神经内分泌癌SCLC样亚型:诊断要点与分子基础

学习笔记 | 肺大细胞神经内分泌癌SCLC样亚型:诊断要点与分子基础

  • 2026-05-08 18:25:57
学习笔记 | 肺大细胞神经内分泌癌SCLC样亚型:诊断要点与分子基础

导读:作为一名病理科规培学员,在日常诊断工作中,遇到肺大细胞神经内分泌癌(LCNEC)时,是否常常感到困惑?特别是当它表现出类似小细胞肺癌(SCLC)的形态学特征时,诊断难度更是倍增。近年来,随着分子病理学的发展,LCNEC被证实存在显著的分子异质性,其中小细胞癌样亚型具有独特的临床病理特征。本文将系统梳理该亚型的诊断要点,助你攻克这一诊断难题。

本文作者为甘肃省人民医院病理科规培医生赵佳(甘肃中医药大学临床病理专业2023级硕士研究生);
指导老师为甘肃中医药大学临床病理专业硕士研究生导师梁小芹
备注:本文内容仅供相关医师参考。
文章作者:

甘肃省人民医院病理科

规培医师  赵佳

 一、临床特点

肺大细胞神经内分泌癌是一种少见但高度侵袭性的肺部恶性肿瘤,占所有肺原发性肿瘤的约2%-3%,在所有肺神经内分泌肿瘤中约占15%。其临床特点主要表现为:

流行病学特征LCNEC好发于老年男性患者,与吸烟史密切相关,平均发病年龄在70岁左右,与SCLC相似。

临床生物学行为:作为一种高级别神经内分泌癌,LCNEC具有高度侵袭性,预后较差。值得注意的是,临床上LCNEC的治疗策略尚无统一标准,部分患者采用SCLC方案(依托泊苷+铂类),部分采用非小细胞肺癌方案(如培美曲塞+铂类等)。

关键认识突破2016年,美国纪念斯隆凯特林癌症中心Rekhtman等人的研究揭示,LCNEC并非单一疾病,而是生物学上高度异质性的肿瘤,可被分为小细胞肺癌(SCLC)样亚型和非小细胞肺癌(NSCLC)样亚型两大类。

这一突破性认识对于临床治疗选择具有重要指导意义:SCLC样亚型可能更适合SCLC治疗方案,而NSCLC样亚型可能受益于NSCLC治疗方案。

 二、病理诊断要点

1、通用诊断标准

根据2021WHO分类,LCNEC的基本诊断标准包括:

①神经内分泌形态学特征:肿瘤细胞呈器官样巢状、小梁状、栅栏状或菊形团排列;

②细胞学特征:肿瘤细胞较大,胞质丰富,泡状核,核仁明显(这是区别于SCLC的关键点);

③高增殖活性:核分裂象>10/2mm²,中位数可达70/2mm²;

④免疫组化证实:至少一种神经内分泌标志物(Syn、CgACD56INSM1)阳性。

2、小细胞癌样亚型的独特特征

SCLC样亚型LCNEC在符合上述基本诊断标准的同时,呈现出以下特征:

①分子特征:存在TP53RB1的共同突变/缺失。Rekhtman等人研究发现,约40%18/45)的LCNEC属于此亚型,在该亚型中TP53RB1共突变/缺失的发生率接近100%(总体LCNECRB1突变率约为38%)。

②增殖活性:SCLC样亚型比NSCLC样亚型的增殖活性更高(P<0.0001),更接近SCLC的生物学特性。

③其他分子改变:可伴有MYCL扩增等SCLC型改变。

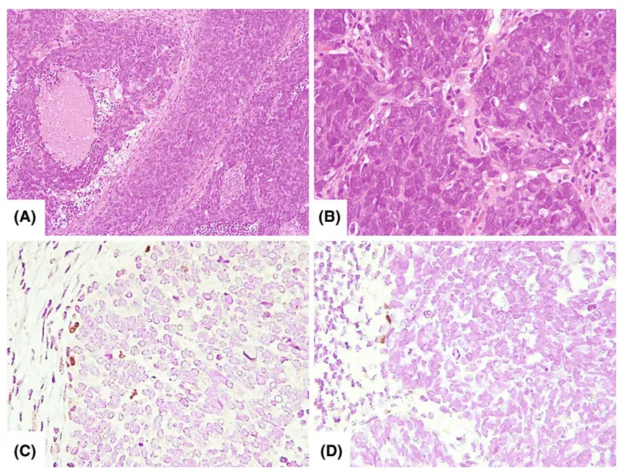
图1.LCNEC的组织学和免疫组化特征。SCLC样LCNEC,类器官形态生长,(A)可见坏死,大细胞核呈空泡状,偶有核仁,高核分裂指数(B);肿瘤显示Rb(C)和p53表达(D)完全缺失。

值得注意的是,尽管SCLC样亚型在分子水平上与SCLC相似,但在形态学上仍保持LCNEC的基本特征,即细胞较大、核仁明显。这种“形态与分子的分离”现象是病理诊断中的难点和重点。

 三、免疫组化及分子特征

1、常规神经内分泌标志物

用于LCNEC诊断的常规神经内分泌标志物包括:

Syn:文献报道在LCNEC中表达率约87%,是较为敏感的标志物;

CgA:在LCNEC中表达率约69%,特异性较高但敏感性较低;

CD56:在LCNEC中表达率高达92%,是最敏感但特异性较低的标志物;

INSM1:近年新增的神经内分泌标志物,具有较好的敏感性和特异性。

2、亚型特异性标志物

TTF-1:在LCNEC中阳性率约50%-70%,在小细胞癌样亚型中表达情况尚无统一结论。

RB1与TP53

  • RB1蛋白表达:SCLC样亚型常表现为RB1表达缺失(对应于RB1基因突变/缺失),可通过RB1免疫组化初步判断。RB1缺失提示SCLC样亚型的可能性。

  • TP53:在SCLC样亚型中TP53突变率极高(约78%-100%),但TP53免疫组化结果解读较为复杂(突变可表现为弥漫强阳性或完全缺失),作为辅助标志物的稳定性不如RB1。临床实践中,RB1缺失+TP53异常可更可靠地提示SCLC样亚型,但确诊仍需依赖分子检测(如二代测序)。

3、分子特征全景

LCNEC的分子特征呈现双峰分布:

SCLC样亚型(Type II LCNEC)

  • 核心特征:TP53和RB1共突变/缺失(发生率接近100%)

  • 突变负荷高,缺乏NSCLC相关突变

NSCLC样亚型(Type I LCNEC)

  • 高频突变:STK11(33%)、KEAP1(31%)、KRAS(22%)

  • 缺乏TP53+RB1共突变,可伴有NOTCH家族突变(28%)

类癌样亚型(极少数):

  • MEN1突变,突变负荷低

 四、鉴别诊断

1、小细胞肺癌(SCLC

这是最关键的鉴别诊断,尤其在SCLC样亚型LCNECSCLC之间:

LCNEC(包括SCLC样亚型)

SCLC

细胞大小

较大,通常>3个淋巴细胞直径

较小,通常<3个淋巴细胞直径

胞质

丰富

稀少

核染色质

泡状核,粗或开放染色质

细颗粒状,均匀染色

核仁

常明显

不明显或缺失

形态结构

器官样结构明显

弥漫片状,缺乏明显器官样结构

细胞边界

相对清晰

不清,核扭曲挤压常见

辅助标志物

CDX2VIL1联合阳性(任一阳性)

BAI3高表达

需要注意的是,这些标志物尚未纳入WHO常规推荐,临床应用时需结合形态学综合判断。

2、不典型类癌(AC

主要鉴别点在于增殖活性:

核分裂象计数:LCNEC >10/2mm²(常高达数十甚至上百),不典型类癌2-10/2mm²;

Ki-67增殖指数:LCNEC常为30%-100%,不典型类癌通常为10%-30%

坏死范围:LCNEC坏死更广泛。

3、复合性肿瘤

根据2021WHO分类,当LCNEC与其他非神经内分泌癌成分(腺癌、鳞癌等)混合存在,且非神经内分泌癌成分≥10%时,应诊断为复合性大细胞神经内分泌癌(C-LCNEC)。

LCNECSCLC混合存在,且LCNEC成分≥10%时,目前分类归入复合性小细胞癌类型。

 五、临床意义与预后

SCLC样亚型LCNEC的识别不仅具有病理诊断意义,更与临床治疗选择和预后相关:

治疗选择:研究表明,SCLCLCNEC患者采用SCLC化疗方案(依托泊苷+铂类)可能获得更好预后,而NSCLC样亚型可能从NSCLC方案中获益。

预后评估:日本一项研究显示,小尺寸LCNEC中,三重神经内分泌标志物阳性组(突触素、CgACD56均阳性)预后较差,与SCLC相似;而非三阳性组预后相对较好。

分子检测建议:对于LCNEC,尤其是考虑精准治疗时,推荐进行二代测序以明确分子亚型,同时检测可能出现的靶向突变。

 六、诊断实践小贴士

形态为先:始终牢记神经内分泌形态优先原则,不要仅依赖免疫组化。

核分裂象计数:准确计数2mm²内的核分裂象,必要时计数3个热点区取平均值。

小活检标本:对于小活检标本,诊断为“可能的LCNEC”更为合适,除非形态学和免疫组化特征非常明确。

RB1免疫组化:可作为SCLC样亚型的初筛指标,RB1缺失提示该亚型可能。

多学科沟通LCNEC的诊断和治疗需要病理科与临床肿瘤科密切合作,病理报告中可适当备注分子分型可能性及治疗选择建议。

结语:肺大细胞神经内分泌癌小细胞癌样亚型的诊断是病理规培中的难点,也是当前肺癌精准治疗的热点。掌握其临床病理特征、诊断要点及分子基础,不仅有助于提高诊断准确性,更能为临床治疗选择提供重要依据。希望通过本文的梳理,能帮助你建立起系统化的诊断思路,从容应对这一挑战。

参考文献及书籍:
[1]冯竽超,曹晓红.肺大细胞神经内分泌癌分子亚型和精准治疗的研究进展[J].中国肺癌杂志,2025,28(2):146-154.DOI:10.3779/j.issn.1009-3419.2025.102.06.
[2]肺神经内分泌肿瘤病理诊断共识专家组.肺神经内分泌肿瘤病理诊断共识[J].中华病理学杂志,2017,46(1):9-13.DOI:10.3760/cma.j.issn.0529-5807.2017.01.003.
[3]Nassar AH, Kim C, Adeyelu T, et al. Integrated molecular and clinical characterization of pulmonary large cell neuroendocrine carcinoma. Nat Commun. 2025;16(1):7717. Published 2025 Aug 19. doi:10.1038/s41467-025-63091-0Lim SM, Shim JSG, Shim HS, et al. 
[4]What Is On the Horizon for the Diagnosis and Treatment of SCLC and Large Cell Neuroendocrine Cancer?. JTO Clin Res Rep. 2025;6(9):100871. Published 2025 Jun 28. doi:10.1016/j.jtocrr.2025.100871
[5]Bari MF, Brown H, Nicholson AG, et al. BAI3, CDX2 and VIL1: a panel of three antibodies to distinguish small cell from large cell neuroendocrine lung carcinomas. Histopathology. 
科室简介

甘肃省人民医院病理科始建于1956年,是甘肃省最早成立的病理科之一。科室人才梯队完善、技术平台齐全,目前科室拥有职工26人,硕士学位21人,高学历人员总占比80.8%,其中博士7人,高级职称专家10人,硕士生导师3人,常规开展组织病理、免疫病理、分子病理等诊断工作,承担临床诊疗、教学科研与疑难病例会诊。科室以精准病理为核心,严守诊断质量,为临床精准医疗与患者健康提供坚实支撑。

- THE END -

图片 | 网络( 侵删 

编辑 | 杨   楠 

责编 | 刘凤磊

最新文章

随机文章

基本 文件 流程 错误 SQL 调试
  1. 请求信息 : 2026-05-09 01:05:57 HTTP/2.0 GET : https://67808.cn/a/476435.html
  2. 运行时间 : 0.213064s [ 吞吐率:4.69req/s ] 内存消耗:4,484.37kb 文件加载:140
  3. 缓存信息 : 0 reads,0 writes
  4. 会话信息 : SESSION_ID=c4c1d19d7d01c55201bebab5f392b220
  1. /yingpanguazai/ssd/ssd1/www/no.67808.cn/public/index.php ( 0.79 KB )
  2. /yingpanguazai/ssd/ssd1/www/no.67808.cn/vendor/autoload.php ( 0.17 KB )
  3. /yingpanguazai/ssd/ssd1/www/no.67808.cn/vendor/composer/autoload_real.php ( 2.49 KB )
  4. /yingpanguazai/ssd/ssd1/www/no.67808.cn/vendor/composer/platform_check.php ( 0.90 KB )
  5. /yingpanguazai/ssd/ssd1/www/no.67808.cn/vendor/composer/ClassLoader.php ( 14.03 KB )
  6. /yingpanguazai/ssd/ssd1/www/no.67808.cn/vendor/composer/autoload_static.php ( 4.90 KB )
  7. /yingpanguazai/ssd/ssd1/www/no.67808.cn/vendor/topthink/think-helper/src/helper.php ( 8.34 KB )
  8. /yingpanguazai/ssd/ssd1/www/no.67808.cn/vendor/topthink/think-validate/src/helper.php ( 2.19 KB )
  9. /yingpanguazai/ssd/ssd1/www/no.67808.cn/vendor/topthink/think-orm/src/helper.php ( 1.47 KB )
  10. /yingpanguazai/ssd/ssd1/www/no.67808.cn/vendor/topthink/think-orm/stubs/load_stubs.php ( 0.16 KB )
  11. /yingpanguazai/ssd/ssd1/www/no.67808.cn/vendor/topthink/framework/src/think/Exception.php ( 1.69 KB )
  12. /yingpanguazai/ssd/ssd1/www/no.67808.cn/vendor/topthink/think-container/src/Facade.php ( 2.71 KB )
  13. /yingpanguazai/ssd/ssd1/www/no.67808.cn/vendor/symfony/deprecation-contracts/function.php ( 0.99 KB )
  14. /yingpanguazai/ssd/ssd1/www/no.67808.cn/vendor/symfony/polyfill-mbstring/bootstrap.php ( 8.26 KB )
  15. /yingpanguazai/ssd/ssd1/www/no.67808.cn/vendor/symfony/polyfill-mbstring/bootstrap80.php ( 9.78 KB )
  16. /yingpanguazai/ssd/ssd1/www/no.67808.cn/vendor/symfony/var-dumper/Resources/functions/dump.php ( 1.49 KB )
  17. /yingpanguazai/ssd/ssd1/www/no.67808.cn/vendor/topthink/think-dumper/src/helper.php ( 0.18 KB )
  18. /yingpanguazai/ssd/ssd1/www/no.67808.cn/vendor/symfony/var-dumper/VarDumper.php ( 4.30 KB )
  19. /yingpanguazai/ssd/ssd1/www/no.67808.cn/vendor/topthink/framework/src/think/App.php ( 15.30 KB )
  20. /yingpanguazai/ssd/ssd1/www/no.67808.cn/vendor/topthink/think-container/src/Container.php ( 15.76 KB )
  21. /yingpanguazai/ssd/ssd1/www/no.67808.cn/vendor/psr/container/src/ContainerInterface.php ( 1.02 KB )
  22. /yingpanguazai/ssd/ssd1/www/no.67808.cn/app/provider.php ( 0.19 KB )
  23. /yingpanguazai/ssd/ssd1/www/no.67808.cn/vendor/topthink/framework/src/think/Http.php ( 6.04 KB )
  24. /yingpanguazai/ssd/ssd1/www/no.67808.cn/vendor/topthink/think-helper/src/helper/Str.php ( 7.29 KB )
  25. /yingpanguazai/ssd/ssd1/www/no.67808.cn/vendor/topthink/framework/src/think/Env.php ( 4.68 KB )
  26. /yingpanguazai/ssd/ssd1/www/no.67808.cn/app/common.php ( 0.03 KB )
  27. /yingpanguazai/ssd/ssd1/www/no.67808.cn/vendor/topthink/framework/src/helper.php ( 18.78 KB )
  28. /yingpanguazai/ssd/ssd1/www/no.67808.cn/vendor/topthink/framework/src/think/Config.php ( 5.54 KB )
  29. /yingpanguazai/ssd/ssd1/www/no.67808.cn/config/app.php ( 0.95 KB )
  30. /yingpanguazai/ssd/ssd1/www/no.67808.cn/config/cache.php ( 0.78 KB )
  31. /yingpanguazai/ssd/ssd1/www/no.67808.cn/config/console.php ( 0.23 KB )
  32. /yingpanguazai/ssd/ssd1/www/no.67808.cn/config/cookie.php ( 0.56 KB )
  33. /yingpanguazai/ssd/ssd1/www/no.67808.cn/config/database.php ( 2.48 KB )
  34. /yingpanguazai/ssd/ssd1/www/no.67808.cn/vendor/topthink/framework/src/think/facade/Env.php ( 1.67 KB )
  35. /yingpanguazai/ssd/ssd1/www/no.67808.cn/config/filesystem.php ( 0.61 KB )
  36. /yingpanguazai/ssd/ssd1/www/no.67808.cn/config/lang.php ( 0.91 KB )
  37. /yingpanguazai/ssd/ssd1/www/no.67808.cn/config/log.php ( 1.35 KB )
  38. /yingpanguazai/ssd/ssd1/www/no.67808.cn/config/middleware.php ( 0.19 KB )
  39. /yingpanguazai/ssd/ssd1/www/no.67808.cn/config/route.php ( 1.89 KB )
  40. /yingpanguazai/ssd/ssd1/www/no.67808.cn/config/session.php ( 0.57 KB )
  41. /yingpanguazai/ssd/ssd1/www/no.67808.cn/config/trace.php ( 0.34 KB )
  42. /yingpanguazai/ssd/ssd1/www/no.67808.cn/config/view.php ( 0.82 KB )
  43. /yingpanguazai/ssd/ssd1/www/no.67808.cn/app/event.php ( 0.25 KB )
  44. /yingpanguazai/ssd/ssd1/www/no.67808.cn/vendor/topthink/framework/src/think/Event.php ( 7.67 KB )
  45. /yingpanguazai/ssd/ssd1/www/no.67808.cn/app/service.php ( 0.13 KB )
  46. /yingpanguazai/ssd/ssd1/www/no.67808.cn/app/AppService.php ( 0.26 KB )
  47. /yingpanguazai/ssd/ssd1/www/no.67808.cn/vendor/topthink/framework/src/think/Service.php ( 1.64 KB )
  48. /yingpanguazai/ssd/ssd1/www/no.67808.cn/vendor/topthink/framework/src/think/Lang.php ( 7.35 KB )
  49. /yingpanguazai/ssd/ssd1/www/no.67808.cn/vendor/topthink/framework/src/lang/zh-cn.php ( 13.70 KB )
  50. /yingpanguazai/ssd/ssd1/www/no.67808.cn/vendor/topthink/framework/src/think/initializer/Error.php ( 3.31 KB )
  51. /yingpanguazai/ssd/ssd1/www/no.67808.cn/vendor/topthink/framework/src/think/initializer/RegisterService.php ( 1.33 KB )
  52. /yingpanguazai/ssd/ssd1/www/no.67808.cn/vendor/services.php ( 0.14 KB )
  53. /yingpanguazai/ssd/ssd1/www/no.67808.cn/vendor/topthink/framework/src/think/service/PaginatorService.php ( 1.52 KB )
  54. /yingpanguazai/ssd/ssd1/www/no.67808.cn/vendor/topthink/framework/src/think/service/ValidateService.php ( 0.99 KB )
  55. /yingpanguazai/ssd/ssd1/www/no.67808.cn/vendor/topthink/framework/src/think/service/ModelService.php ( 2.04 KB )
  56. /yingpanguazai/ssd/ssd1/www/no.67808.cn/vendor/topthink/think-trace/src/Service.php ( 0.77 KB )
  57. /yingpanguazai/ssd/ssd1/www/no.67808.cn/vendor/topthink/framework/src/think/Middleware.php ( 6.72 KB )
  58. /yingpanguazai/ssd/ssd1/www/no.67808.cn/vendor/topthink/framework/src/think/initializer/BootService.php ( 0.77 KB )
  59. /yingpanguazai/ssd/ssd1/www/no.67808.cn/vendor/topthink/think-orm/src/Paginator.php ( 11.86 KB )
  60. /yingpanguazai/ssd/ssd1/www/no.67808.cn/vendor/topthink/think-validate/src/Validate.php ( 63.20 KB )
  61. /yingpanguazai/ssd/ssd1/www/no.67808.cn/vendor/topthink/think-orm/src/Model.php ( 23.55 KB )
  62. /yingpanguazai/ssd/ssd1/www/no.67808.cn/vendor/topthink/think-orm/src/model/concern/Attribute.php ( 21.05 KB )
  63. /yingpanguazai/ssd/ssd1/www/no.67808.cn/vendor/topthink/think-orm/src/model/concern/AutoWriteData.php ( 4.21 KB )
  64. /yingpanguazai/ssd/ssd1/www/no.67808.cn/vendor/topthink/think-orm/src/model/concern/Conversion.php ( 6.44 KB )
  65. /yingpanguazai/ssd/ssd1/www/no.67808.cn/vendor/topthink/think-orm/src/model/concern/DbConnect.php ( 5.16 KB )
  66. /yingpanguazai/ssd/ssd1/www/no.67808.cn/vendor/topthink/think-orm/src/model/concern/ModelEvent.php ( 2.33 KB )
  67. /yingpanguazai/ssd/ssd1/www/no.67808.cn/vendor/topthink/think-orm/src/model/concern/RelationShip.php ( 28.29 KB )
  68. /yingpanguazai/ssd/ssd1/www/no.67808.cn/vendor/topthink/think-helper/src/contract/Arrayable.php ( 0.09 KB )
  69. /yingpanguazai/ssd/ssd1/www/no.67808.cn/vendor/topthink/think-helper/src/contract/Jsonable.php ( 0.13 KB )
  70. /yingpanguazai/ssd/ssd1/www/no.67808.cn/vendor/topthink/think-orm/src/model/contract/Modelable.php ( 0.09 KB )
  71. /yingpanguazai/ssd/ssd1/www/no.67808.cn/vendor/topthink/framework/src/think/Db.php ( 2.88 KB )
  72. /yingpanguazai/ssd/ssd1/www/no.67808.cn/vendor/topthink/think-orm/src/DbManager.php ( 8.52 KB )
  73. /yingpanguazai/ssd/ssd1/www/no.67808.cn/vendor/topthink/framework/src/think/Log.php ( 6.28 KB )
  74. /yingpanguazai/ssd/ssd1/www/no.67808.cn/vendor/topthink/framework/src/think/Manager.php ( 3.92 KB )
  75. /yingpanguazai/ssd/ssd1/www/no.67808.cn/vendor/psr/log/src/LoggerTrait.php ( 2.69 KB )
  76. /yingpanguazai/ssd/ssd1/www/no.67808.cn/vendor/psr/log/src/LoggerInterface.php ( 2.71 KB )
  77. /yingpanguazai/ssd/ssd1/www/no.67808.cn/vendor/topthink/framework/src/think/Cache.php ( 4.92 KB )
  78. /yingpanguazai/ssd/ssd1/www/no.67808.cn/vendor/psr/simple-cache/src/CacheInterface.php ( 4.71 KB )
  79. /yingpanguazai/ssd/ssd1/www/no.67808.cn/vendor/topthink/think-helper/src/helper/Arr.php ( 16.63 KB )
  80. /yingpanguazai/ssd/ssd1/www/no.67808.cn/vendor/topthink/framework/src/think/cache/driver/File.php ( 7.84 KB )
  81. /yingpanguazai/ssd/ssd1/www/no.67808.cn/vendor/topthink/framework/src/think/cache/Driver.php ( 9.03 KB )
  82. /yingpanguazai/ssd/ssd1/www/no.67808.cn/vendor/topthink/framework/src/think/contract/CacheHandlerInterface.php ( 1.99 KB )
  83. /yingpanguazai/ssd/ssd1/www/no.67808.cn/app/Request.php ( 0.09 KB )
  84. /yingpanguazai/ssd/ssd1/www/no.67808.cn/vendor/topthink/framework/src/think/Request.php ( 55.78 KB )
  85. /yingpanguazai/ssd/ssd1/www/no.67808.cn/app/middleware.php ( 0.25 KB )
  86. /yingpanguazai/ssd/ssd1/www/no.67808.cn/vendor/topthink/framework/src/think/Pipeline.php ( 2.61 KB )
  87. /yingpanguazai/ssd/ssd1/www/no.67808.cn/vendor/topthink/think-trace/src/TraceDebug.php ( 3.40 KB )
  88. /yingpanguazai/ssd/ssd1/www/no.67808.cn/vendor/topthink/framework/src/think/middleware/SessionInit.php ( 1.94 KB )
  89. /yingpanguazai/ssd/ssd1/www/no.67808.cn/vendor/topthink/framework/src/think/Session.php ( 1.80 KB )
  90. /yingpanguazai/ssd/ssd1/www/no.67808.cn/vendor/topthink/framework/src/think/session/driver/File.php ( 6.27 KB )
  91. /yingpanguazai/ssd/ssd1/www/no.67808.cn/vendor/topthink/framework/src/think/contract/SessionHandlerInterface.php ( 0.87 KB )
  92. /yingpanguazai/ssd/ssd1/www/no.67808.cn/vendor/topthink/framework/src/think/session/Store.php ( 7.12 KB )
  93. /yingpanguazai/ssd/ssd1/www/no.67808.cn/vendor/topthink/framework/src/think/Route.php ( 23.73 KB )
  94. /yingpanguazai/ssd/ssd1/www/no.67808.cn/vendor/topthink/framework/src/think/route/RuleName.php ( 5.75 KB )
  95. /yingpanguazai/ssd/ssd1/www/no.67808.cn/vendor/topthink/framework/src/think/route/Domain.php ( 2.53 KB )
  96. /yingpanguazai/ssd/ssd1/www/no.67808.cn/vendor/topthink/framework/src/think/route/RuleGroup.php ( 22.43 KB )
  97. /yingpanguazai/ssd/ssd1/www/no.67808.cn/vendor/topthink/framework/src/think/route/Rule.php ( 26.95 KB )
  98. /yingpanguazai/ssd/ssd1/www/no.67808.cn/vendor/topthink/framework/src/think/route/RuleItem.php ( 9.78 KB )
  99. /yingpanguazai/ssd/ssd1/www/no.67808.cn/route/app.php ( 1.72 KB )
  100. /yingpanguazai/ssd/ssd1/www/no.67808.cn/vendor/topthink/framework/src/think/facade/Route.php ( 4.70 KB )
  101. /yingpanguazai/ssd/ssd1/www/no.67808.cn/vendor/topthink/framework/src/think/route/dispatch/Controller.php ( 4.74 KB )
  102. /yingpanguazai/ssd/ssd1/www/no.67808.cn/vendor/topthink/framework/src/think/route/Dispatch.php ( 10.44 KB )
  103. /yingpanguazai/ssd/ssd1/www/no.67808.cn/app/controller/Index.php ( 4.81 KB )
  104. /yingpanguazai/ssd/ssd1/www/no.67808.cn/app/BaseController.php ( 2.05 KB )
  105. /yingpanguazai/ssd/ssd1/www/no.67808.cn/vendor/topthink/think-orm/src/facade/Db.php ( 0.93 KB )
  106. /yingpanguazai/ssd/ssd1/www/no.67808.cn/vendor/topthink/think-orm/src/db/connector/Mysql.php ( 5.44 KB )
  107. /yingpanguazai/ssd/ssd1/www/no.67808.cn/vendor/topthink/think-orm/src/db/PDOConnection.php ( 52.47 KB )
  108. /yingpanguazai/ssd/ssd1/www/no.67808.cn/vendor/topthink/think-orm/src/db/Connection.php ( 8.39 KB )
  109. /yingpanguazai/ssd/ssd1/www/no.67808.cn/vendor/topthink/think-orm/src/db/ConnectionInterface.php ( 4.57 KB )
  110. /yingpanguazai/ssd/ssd1/www/no.67808.cn/vendor/topthink/think-orm/src/db/builder/Mysql.php ( 16.58 KB )
  111. /yingpanguazai/ssd/ssd1/www/no.67808.cn/vendor/topthink/think-orm/src/db/Builder.php ( 24.06 KB )
  112. /yingpanguazai/ssd/ssd1/www/no.67808.cn/vendor/topthink/think-orm/src/db/BaseBuilder.php ( 27.50 KB )
  113. /yingpanguazai/ssd/ssd1/www/no.67808.cn/vendor/topthink/think-orm/src/db/Query.php ( 15.71 KB )
  114. /yingpanguazai/ssd/ssd1/www/no.67808.cn/vendor/topthink/think-orm/src/db/BaseQuery.php ( 45.13 KB )
  115. /yingpanguazai/ssd/ssd1/www/no.67808.cn/vendor/topthink/think-orm/src/db/concern/TimeFieldQuery.php ( 7.43 KB )
  116. /yingpanguazai/ssd/ssd1/www/no.67808.cn/vendor/topthink/think-orm/src/db/concern/AggregateQuery.php ( 3.26 KB )
  117. /yingpanguazai/ssd/ssd1/www/no.67808.cn/vendor/topthink/think-orm/src/db/concern/ModelRelationQuery.php ( 20.07 KB )
  118. /yingpanguazai/ssd/ssd1/www/no.67808.cn/vendor/topthink/think-orm/src/db/concern/ParamsBind.php ( 3.66 KB )
  119. /yingpanguazai/ssd/ssd1/www/no.67808.cn/vendor/topthink/think-orm/src/db/concern/ResultOperation.php ( 7.01 KB )
  120. /yingpanguazai/ssd/ssd1/www/no.67808.cn/vendor/topthink/think-orm/src/db/concern/WhereQuery.php ( 19.37 KB )
  121. /yingpanguazai/ssd/ssd1/www/no.67808.cn/vendor/topthink/think-orm/src/db/concern/JoinAndViewQuery.php ( 7.11 KB )
  122. /yingpanguazai/ssd/ssd1/www/no.67808.cn/vendor/topthink/think-orm/src/db/concern/TableFieldInfo.php ( 2.63 KB )
  123. /yingpanguazai/ssd/ssd1/www/no.67808.cn/vendor/topthink/think-orm/src/db/concern/Transaction.php ( 2.77 KB )
  124. /yingpanguazai/ssd/ssd1/www/no.67808.cn/vendor/topthink/framework/src/think/log/driver/File.php ( 5.96 KB )
  125. /yingpanguazai/ssd/ssd1/www/no.67808.cn/vendor/topthink/framework/src/think/contract/LogHandlerInterface.php ( 0.86 KB )
  126. /yingpanguazai/ssd/ssd1/www/no.67808.cn/vendor/topthink/framework/src/think/log/Channel.php ( 3.89 KB )
  127. /yingpanguazai/ssd/ssd1/www/no.67808.cn/vendor/topthink/framework/src/think/event/LogRecord.php ( 1.02 KB )
  128. /yingpanguazai/ssd/ssd1/www/no.67808.cn/vendor/topthink/think-helper/src/Collection.php ( 16.47 KB )
  129. /yingpanguazai/ssd/ssd1/www/no.67808.cn/vendor/topthink/framework/src/think/facade/View.php ( 1.70 KB )
  130. /yingpanguazai/ssd/ssd1/www/no.67808.cn/vendor/topthink/framework/src/think/View.php ( 4.39 KB )
  131. /yingpanguazai/ssd/ssd1/www/no.67808.cn/vendor/topthink/framework/src/think/Response.php ( 8.81 KB )
  132. /yingpanguazai/ssd/ssd1/www/no.67808.cn/vendor/topthink/framework/src/think/response/View.php ( 3.29 KB )
  133. /yingpanguazai/ssd/ssd1/www/no.67808.cn/vendor/topthink/framework/src/think/Cookie.php ( 6.06 KB )
  134. /yingpanguazai/ssd/ssd1/www/no.67808.cn/vendor/topthink/think-view/src/Think.php ( 8.38 KB )
  135. /yingpanguazai/ssd/ssd1/www/no.67808.cn/vendor/topthink/framework/src/think/contract/TemplateHandlerInterface.php ( 1.60 KB )
  136. /yingpanguazai/ssd/ssd1/www/no.67808.cn/vendor/topthink/think-template/src/Template.php ( 46.61 KB )
  137. /yingpanguazai/ssd/ssd1/www/no.67808.cn/vendor/topthink/think-template/src/template/driver/File.php ( 2.41 KB )
  138. /yingpanguazai/ssd/ssd1/www/no.67808.cn/vendor/topthink/think-template/src/template/contract/DriverInterface.php ( 0.86 KB )
  139. /yingpanguazai/ssd/ssd1/www/no.67808.cn/runtime/temp/6df755f970a38e704c5414acbc6e8bcd.php ( 12.06 KB )
  140. /yingpanguazai/ssd/ssd1/www/no.67808.cn/vendor/topthink/think-trace/src/Html.php ( 4.42 KB )
  1. CONNECT:[ UseTime:0.000885s ] mysql:host=127.0.0.1;port=3306;dbname=no_67808;charset=utf8mb4
  2. SHOW FULL COLUMNS FROM `fenlei` [ RunTime:0.001299s ]
  3. SELECT * FROM `fenlei` WHERE `fid` = 0 [ RunTime:0.000667s ]
  4. SELECT * FROM `fenlei` WHERE `fid` = 63 [ RunTime:0.000653s ]
  5. SHOW FULL COLUMNS FROM `set` [ RunTime:0.001328s ]
  6. SELECT * FROM `set` [ RunTime:0.000512s ]
  7. SHOW FULL COLUMNS FROM `article` [ RunTime:0.001447s ]
  8. SELECT * FROM `article` WHERE `id` = 476435 LIMIT 1 [ RunTime:0.001087s ]
  9. UPDATE `article` SET `lasttime` = 1778259957 WHERE `id` = 476435 [ RunTime:0.009584s ]
  10. SELECT * FROM `fenlei` WHERE `id` = 65 LIMIT 1 [ RunTime:0.000740s ]
  11. SELECT * FROM `article` WHERE `id` < 476435 ORDER BY `id` DESC LIMIT 1 [ RunTime:0.001254s ]
  12. SELECT * FROM `article` WHERE `id` > 476435 ORDER BY `id` ASC LIMIT 1 [ RunTime:0.001105s ]
  13. SELECT * FROM `article` WHERE `id` < 476435 ORDER BY `id` DESC LIMIT 10 [ RunTime:0.004770s ]
  14. SELECT * FROM `article` WHERE `id` < 476435 ORDER BY `id` DESC LIMIT 10,10 [ RunTime:0.001772s ]
  15. SELECT * FROM `article` WHERE `id` < 476435 ORDER BY `id` DESC LIMIT 20,10 [ RunTime:0.012166s ]
0.217063s