颈椎X线基础学习笔记
一、 常用投照体位及其临床意义:
(一)常规体位

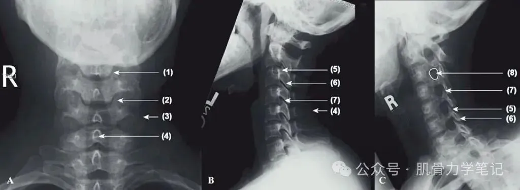
正常颈椎X线片:(A)正位, (B) 侧位, (C) 斜位
1钩椎关节, 2钩突,3侧块, 4棘突, 5上关节突,6下关节突,7关节突关节, 8椎间孔。
1. 正侧位片:颈椎检查基础体位
2. 双斜位片:适用于神经根症状患者

3. 张口位:专门用于观察寰枢关节结构
4. 过屈/过伸位(动力位):用于评估脊柱稳定性

颈椎动力位片示C6滑脱
(二)常见投照方法要点



二、颈椎X影像解剖观察
(一)正位片观察要点





(二)侧位片观察要点





示例




5.关节突关节:呈叠瓦状排列,关节间隙均匀




(三)斜位片观察要点:

1. 投照方法:站立位,身体旋转45°
2. 椎间孔观察:



(四)张口位观察要点




【全国整脊手法及影像诊断临床实践班】
我院于2026年1月30日在中国广州举办三维整脊手法及影像诊断研修班!特邀请您参加!

学习内容:
①整脊手法:传授南北正骨手法绝技。快速治疗:颈椎病、腰椎间盘突出症,颈、腰、胸椎小关节错位,骨盆倾斜,腕踝关节错位等特效矫正手法。脊柱相关疾病的手法治疗:如眩晕、头疼、血压异常、胸闷气短、胸痛、心律失常、性功能障碍、月经失调、痛经等病症。
②影像诊断:通过先进直观的影像检查和判读(X线.CT.MR)作为脊柱相关疾病的诊断和治疗依据,在此基础上再施以准确的诊断及治疗手法,使得脊柱复位及相应脏器的疾病得以调理或痊愈。
学习费用:4800元(前十位报名可以申请优惠1000元学费)
学习时间:1月30-31日(29日报到)
学习地址:广州市
电话报名:13810221520李老师
微信报名:705713806 李老师
长按识别二维码加为好友并可优惠:






