1. ET属于骨髓增殖性肿瘤(MPN)。
2. 一半以上患者无症状,中位年龄为59岁。
3. a、微循环症状:红斑性肢痛症、肢端感觉异常、脚趾、手指烧灼感、视力模糊或偏头痛;
b、诊断时体征:可触及脾肿大、动静脉血栓形成、大出血。
二、 诊断流程:
实验室检查:
1. 血常规:以血小板增多为突出表现,白细胞数正常或增高,一般不超过50X109/L;红细胞数正常或轻度增多,少数患者贫血,疾病终末期也可呈现三系减少。
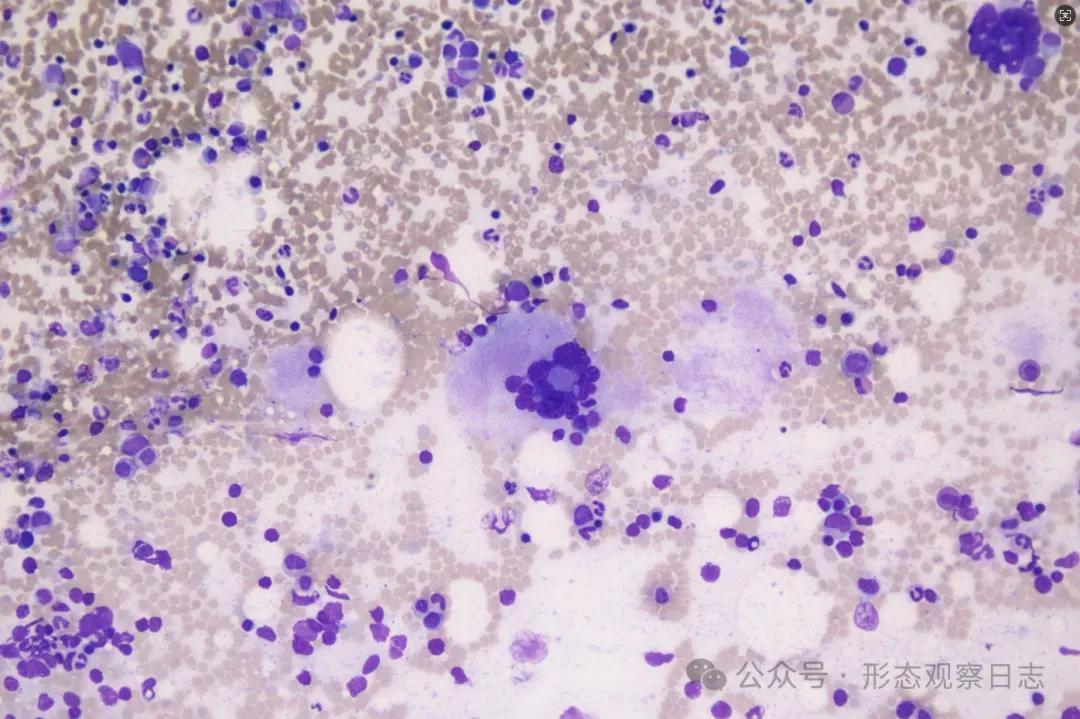
2. 外周血涂片可见血小板聚集成堆、大小不一,可见巨大、畸形血小板。
2. 骨髓象;增生程度正常,以巨核细胞增生为主,粒系和红系增生正常且无左移,巨核细胞呈随机分布或呈松散簇,巨核细胞体积大或巨大,胞核过分:叶(如鹿角状),胞质成熟正常。血小板聚集成堆,细胞化学染色NAP积分增加。
3. 骨髓活检(确诊必要):巨核细胞系过度增殖,胞体增大、高度分叶的巨核细胞增多,无异型性。粒系或红系生成无明显增加或左移。骨髓网状纤维染色一般为正常(0级),极少数为轻度增多。髓窦扩张不明显,窦内造血细胞不常见。
诊断ET需排除其他原因导致的血小板增多。
4. 分子相关异常:ET属于骨髓增殖性肿瘤,为多能造血干细胞克隆性疾病,通常具有:
1). 位于9号染色体上的Janus激酶2(JAK2);
2). 位于19号染色体上的钙网蛋白(CALR);
3). 位于1号染色体上的血小板生成素受体(骨髓增殖性白血病病毒癌基因,MPL)的功能获得性基因变异。
5. 若出现幼红、幼粒细胞,并伴有泪滴状红、红细胞形态异常以及外周血中有核红细胞和正在成熟的髓系前体细胞,则提示疾病可能已进展为原发性血小板增多症后骨髓纤维化(post-ETMF)。

6. 约10%ET无JAK2/CALR/MPL基因突变称为三阴性(Triple negative)ET,年轻患者更多见。
7. 1)、其他突变:TET2(9%-11%)、ASXL1(7%-20%)、DNMT3A(7%)和SF3B1(5%)。
2)、异常核型:+9/20q-/13q-。
3)、 其他基因变异(如SF3B1、SRSF2、U2AF1、TP53)与生存期缩短相关,并且可能与JAK2、CALR或MPL变异同时存在。
男,29岁,体检PLT增多就诊,
WBC:7.31×10⁹/L,Hb:147g/L,PLT:903×10⁹/L↑↑↑。
骨髓涂片(瑞氏吉姆萨染色):



结论:ET(原发性血小板增多症)。
声明:本人不是知识的生产者,仅分享日常所学笔记,仅代表个人观点,所用的参考文献已详细标记出处,侵权请联系删除,所有内容及观点均不保证正确,仅供个人交流学习用,不能作为医疗建议或参考,最后欢迎大家留言指正,共同学习进步。