当前位置:首页>学习笔记>【学习笔记】膝关节X线摄影要点及胫骨结节骨折病例分享

【学习笔记】膝关节X线摄影要点及胫骨结节骨折病例分享

  • 2026-05-11 00:18:30
【学习笔记】膝关节X线摄影要点及胫骨结节骨折病例分享

A、膝关节正位X线摄影要点:

一.体位设计:

1. 患者仰卧或坐于摄影台上,被检侧下肢伸直,足尖向上稍内旋。

2.将髌骨下缘置于探测器中心,小腿长轴与探测器长轴平行。

3.探测器上缘包括股骨下段,下缘包括胫腓骨上段。

二.中心线

对准髌骨下缘,垂直射入探测器中心。

三.摄影参数

SID:100-120cm

管电压:60-70kV

管电流:6-8mAs

小焦点摄影,不使用滤线栅

根据受检者体型个性化调整

四.图像质控

1. 图像包括股骨两髁、胫骨平台及腓骨头,髌骨位于内外髁正中。

2.关节面位于图像正中。

3. 腓骨头与胫骨重叠约1/3。

4.膝关节诸骨纹理清晰可见,周围软组织层次可见。

B、膝关节侧位X线摄影要点:

一.体位设计

1. 患者侧卧于摄影台上,对侧膝部弯曲置于被检侧肢体前上方。被检侧膝部外侧靠近台面,膝关节屈曲120°-135°角。

2.髌骨下缘置于探测器中心,髌骨面与探测器垂直。

二.中心线

对准髌骨下缘与腘窝皮肤皱褶线之中点,垂直探测器射入中心。

三.摄影参数

SID:100-120cm

管电压:60-70kV

管电流:6-8mAs

小焦点摄影,不使用滤线栅

根据受检者体型个性化调整

四.图像质控

1. 膝关节间隙位于影像正中,股骨内外髁重叠良好。

2.髌骨呈侧位显示,与股骨间隙分离明确,关节面边界锐利,无双边。

3.股骨与胫骨平台重叠极小。

五.临床应用

正位:观察膝关节间隙,股骨内、外侧髁,胫骨内、外髁,髌骨的骨质、外形变化,膝部软组织、骨骺和籽骨等情况。

侧位:观察膝关节侧位影像,髌骨、股骨下端、胫腓骨上端骨质情况,软组织影像等。

C、膝关节X线摄影常见问题及解决方法

一.膝关节正位

1.胫骨平台前后缘未重叠。

原因:常规垂直入射时,胫骨平台因后倾角(约8-10°)导致前后缘未重叠,关节间隙显示不清。

解决:将球管向足侧倾斜5°左右,使胫骨平台前后缘重叠,关节间隙清晰显示。

2.腓骨小头重叠过多。

原因:足部未内旋或内旋不足,腓骨小头与胫骨重叠过多,影响关节观察。

解决:足尖向上并稍内旋,使腓骨小头与胫骨重叠约1/3,减少遮挡。

3.关节面有双边影。

原因:中心线未对准髌骨下缘或摄影距离不当,导致关节面出现双边影。

解决:对准髌骨下缘垂直入射,SID保持在100-120cm,确保关节面居中且无双边影。

二.膝关节侧位

1.股骨内外髁未重叠。

原因:常规垂直入射时,股骨内外髁因形态差异未重叠,影响髌股关节评估。

解决:将球管向头侧倾斜5-8°,使股骨内外髁重叠,髌股关节间隙清晰显示。

2.胫骨平台内外缘未重叠。

原因:膝关节屈曲角度不当或体位未紧贴探测器,导致胫骨平台内外缘未重叠。

解决:膝关节屈曲120-135°,髌骨面与探测器垂直,确保胫骨平台内外缘重叠。

3.髌骨显示不清。

原因:髌骨未与探测器垂直或屈曲角度过大,导致髌骨显示模糊或变形。

解决:调整膝关节屈曲角度,使髌骨面与探测器垂直,避免过度屈曲。

D、胫骨结节骨折病例分享

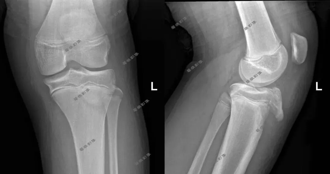
M,11y。

缘患者入院3小时余前运动后出现左膝部疼痛,活动受限,当时无昏迷,遂送至急诊就诊,查X片:左胫骨结节骺离骨折。

一.术前X线片

二.术前CT

胫骨结节骨折(OgdenIIIA型 )

三.基本概念

定义:胫骨结节(胫骨粗隆)是髌腱止点所在的骨性隆起,儿童和青少年阶段属于骺板附近的次级骨化中心(apophysis)。胫骨结节骨折本质上是伸膝装置牵拉下的撕脱性或骺板相关骨折。

发病年龄:多见于12–16 岁,男多于女。

发生率:是一种较少见的胫骨近端骨骺损伤,约占全部儿童骨折的 <1%,占所有骺板或骨骺损伤的约 0.4–2.7%。此类骨折的治疗方法有手术治疗和非手术治疗两种。未移位的骨折可以固定和观察,移位的骨折需要手术治疗。

常见诱因:篮球、足球、跳高、短跑等需要突然起跳或落地时强力股四头肌收缩的运动,形成髌腱对胫骨结节的突然牵拉。

四.临床常用分型Watson-Jones分型和Ogden分型

Watson-Jones分型:

Ⅰ型-骨折仅累及胫骨结节本身,骨折线未穿过胫骨近端骺板,无关节面累及。通常表现为小的胫骨结节撕脱骨折块,可能向近端移位,多为单纯撕脱性损伤。

Ⅱ型-骨折线穿过胫骨结节骺板并波及胫骨近端骺板,但未进入关节面。形态上常呈“铰链样”向前上翘起,骨折块包含胫骨结节及部分近端骺板组织。

Ⅲ型-骨折线经骺板并进入胫骨平台关节面,属于关节内骨折。此类骨折易导致关节面阶梯形成,增加半月板、冠状韧带等损伤风险,常需手术干预。

Ogden分型:

I-胫骨结节的远端骨折。

IA-胫骨结节骨化中心骨折合并少量向前移位。

IB-骨折块从干骺端分离,累及或者不累及次级骨化中心。

II型-骨折累及两个骨化中心的软骨连接部,导致胫骨结节骨化中心的骨折合并不同程度近端胫骨骨化中心的骨折。

IIA-骨折发生在连接部。

IIB型-骨折不同程度累及胫骨近端骨骺的前侧。

III型-骨折块移位明显,累及关节面。

IIIA-单部分骨折。

IIIB-粉碎骨折。

IV型-整个胫骨结节和胫骨近端骨骺的撕脱骨折。

V型-III型骨折加SH IV的胫骨近端骨骺骨折。

五.骨科主管医生如是说

1.常规手术:需要切开10-15cm左右切口才能复位骨折。缺点是:创伤大、疤痕大,且可能影响骨骺!

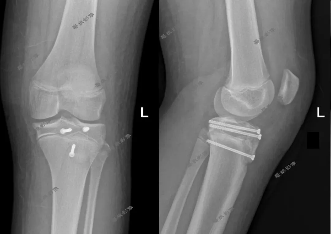
2.闭合复位手术:技术要求高,且要避开骨骺线进行固定,操作空间极小。本病例采用中医正骨+钳夹、顶棒推挤技术实现骨折闭合复位,仅3个长约0.5cm左右切口置入螺钉固定,完美复位并固定骨折。优点是:出血少、不留疤、康复快!

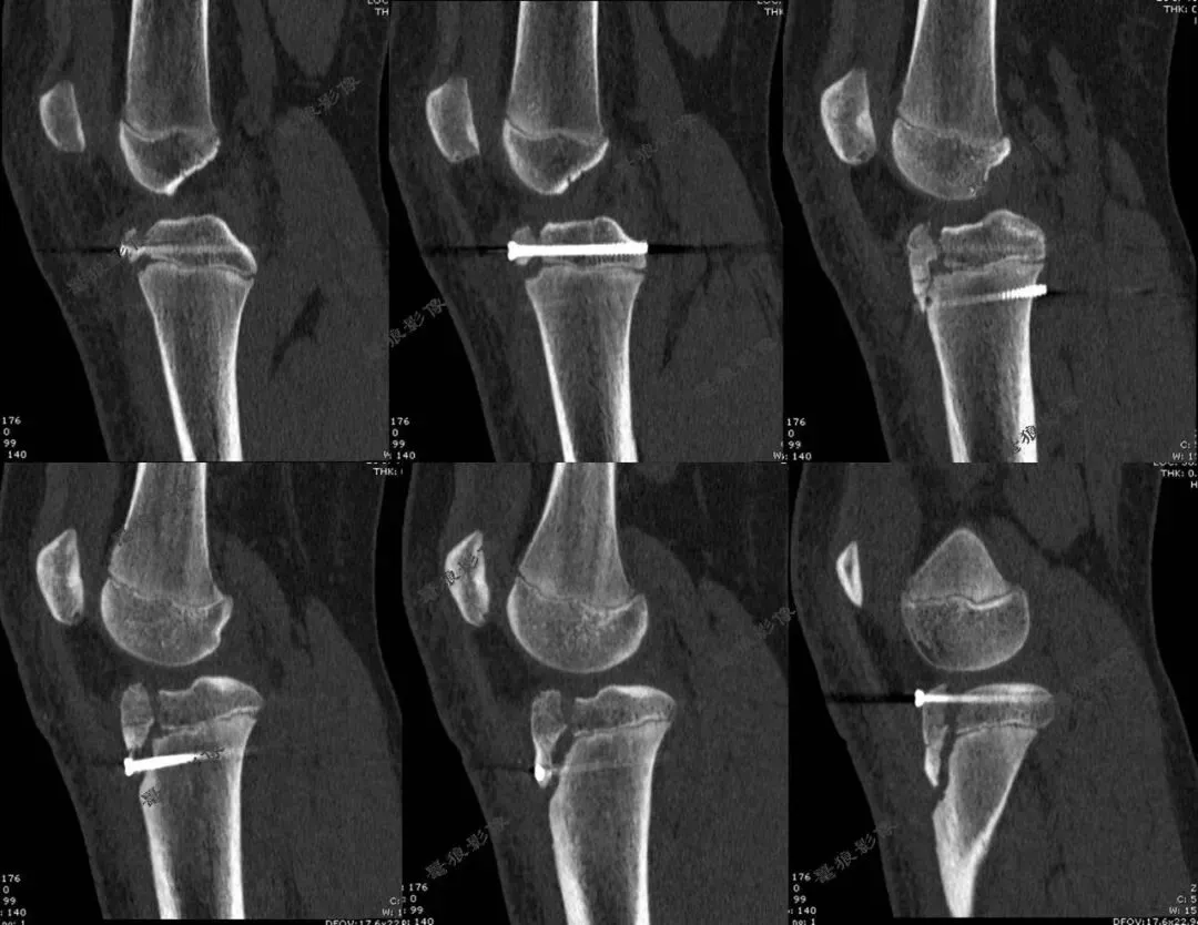
3.术后X线片:

4.术后CT:

E、小结

一.任一提示 Ogden II型 及以上的骨折,应高度警惕骨折累及关节内延伸与后方干骺端成分,推荐CT进行三维重建和软组织评估,必要时联合MR检查。

二.胫骨结节骨折以骨折线走行、骺板及关节面受累情况,以及骨折移位、粉碎程度为核心,直接关联是否需要手术、术式复杂度和并发症风险。

放射学工作的最终目标是:

1.使患者在花费最小的代价及接受合理而且尽量低的辐射剂量(或无辐射)下,获得能够充分显示患者病情的优质的医学影像。

2.这也是想方设法以期达到的工作目标!而技术标准与技术规范则是为达到这个最终目标而制定的方法和工具。

3.在一些特殊检查时,可能会出现影像技术的最终目标与技术标准发生冲突或不能兼容的情况。这时,应当视患者实际情况向标准靠近,但是却不能掩盖患者的伤情、病情和畸形状态,不能违背影像检查的最终目标。

4.对一些特殊病人、特殊体位处理的基本理念,在实际工作中应酌情考量而为......

参考文献:

1.骨关节数字X线摄影技术学/王予生主编.--北京:人民军医出版社,2012.5ISBN 978-7-5091-5713-8

2.《X线诊断学》/荣独山主编    

3.《X线读片指南》/邢伟等主篇   

4.郑金文,池雷霆,李智,等. 青少年胫骨结节撕脱骨折的治疗[J]. 中华创伤骨科杂志,2011,13(9):896-898. 

5.王达辉,马瑞雪,闵若良,等. 青少年胫骨结节撕脱性骨折的治疗[J]. 中华小儿外科杂志

6.闫桂森,蒋协远,朱振华. 儿童胫骨结节骨骺骨折[J]. 中华骨科杂志,2009,29(7):658-661.

最新文章

随机文章

基本 文件 流程 错误 SQL 调试
  1. 请求信息 : 2026-05-11 11:33:28 HTTP/2.0 GET : https://67808.cn/a/475121.html
  2. 运行时间 : 0.180400s [ 吞吐率:5.54req/s ] 内存消耗:4,541.32kb 文件加载:140
  3. 缓存信息 : 0 reads,0 writes
  4. 会话信息 : SESSION_ID=176c34d6ff9254b20b00a382212ff47c
  1. /yingpanguazai/ssd/ssd1/www/no.67808.cn/public/index.php ( 0.79 KB )
  2. /yingpanguazai/ssd/ssd1/www/no.67808.cn/vendor/autoload.php ( 0.17 KB )
  3. /yingpanguazai/ssd/ssd1/www/no.67808.cn/vendor/composer/autoload_real.php ( 2.49 KB )
  4. /yingpanguazai/ssd/ssd1/www/no.67808.cn/vendor/composer/platform_check.php ( 0.90 KB )
  5. /yingpanguazai/ssd/ssd1/www/no.67808.cn/vendor/composer/ClassLoader.php ( 14.03 KB )
  6. /yingpanguazai/ssd/ssd1/www/no.67808.cn/vendor/composer/autoload_static.php ( 4.90 KB )
  7. /yingpanguazai/ssd/ssd1/www/no.67808.cn/vendor/topthink/think-helper/src/helper.php ( 8.34 KB )
  8. /yingpanguazai/ssd/ssd1/www/no.67808.cn/vendor/topthink/think-validate/src/helper.php ( 2.19 KB )
  9. /yingpanguazai/ssd/ssd1/www/no.67808.cn/vendor/topthink/think-orm/src/helper.php ( 1.47 KB )
  10. /yingpanguazai/ssd/ssd1/www/no.67808.cn/vendor/topthink/think-orm/stubs/load_stubs.php ( 0.16 KB )
  11. /yingpanguazai/ssd/ssd1/www/no.67808.cn/vendor/topthink/framework/src/think/Exception.php ( 1.69 KB )
  12. /yingpanguazai/ssd/ssd1/www/no.67808.cn/vendor/topthink/think-container/src/Facade.php ( 2.71 KB )
  13. /yingpanguazai/ssd/ssd1/www/no.67808.cn/vendor/symfony/deprecation-contracts/function.php ( 0.99 KB )
  14. /yingpanguazai/ssd/ssd1/www/no.67808.cn/vendor/symfony/polyfill-mbstring/bootstrap.php ( 8.26 KB )
  15. /yingpanguazai/ssd/ssd1/www/no.67808.cn/vendor/symfony/polyfill-mbstring/bootstrap80.php ( 9.78 KB )
  16. /yingpanguazai/ssd/ssd1/www/no.67808.cn/vendor/symfony/var-dumper/Resources/functions/dump.php ( 1.49 KB )
  17. /yingpanguazai/ssd/ssd1/www/no.67808.cn/vendor/topthink/think-dumper/src/helper.php ( 0.18 KB )
  18. /yingpanguazai/ssd/ssd1/www/no.67808.cn/vendor/symfony/var-dumper/VarDumper.php ( 4.30 KB )
  19. /yingpanguazai/ssd/ssd1/www/no.67808.cn/vendor/topthink/framework/src/think/App.php ( 15.30 KB )
  20. /yingpanguazai/ssd/ssd1/www/no.67808.cn/vendor/topthink/think-container/src/Container.php ( 15.76 KB )
  21. /yingpanguazai/ssd/ssd1/www/no.67808.cn/vendor/psr/container/src/ContainerInterface.php ( 1.02 KB )
  22. /yingpanguazai/ssd/ssd1/www/no.67808.cn/app/provider.php ( 0.19 KB )
  23. /yingpanguazai/ssd/ssd1/www/no.67808.cn/vendor/topthink/framework/src/think/Http.php ( 6.04 KB )
  24. /yingpanguazai/ssd/ssd1/www/no.67808.cn/vendor/topthink/think-helper/src/helper/Str.php ( 7.29 KB )
  25. /yingpanguazai/ssd/ssd1/www/no.67808.cn/vendor/topthink/framework/src/think/Env.php ( 4.68 KB )
  26. /yingpanguazai/ssd/ssd1/www/no.67808.cn/app/common.php ( 0.03 KB )
  27. /yingpanguazai/ssd/ssd1/www/no.67808.cn/vendor/topthink/framework/src/helper.php ( 18.78 KB )
  28. /yingpanguazai/ssd/ssd1/www/no.67808.cn/vendor/topthink/framework/src/think/Config.php ( 5.54 KB )
  29. /yingpanguazai/ssd/ssd1/www/no.67808.cn/config/app.php ( 0.95 KB )
  30. /yingpanguazai/ssd/ssd1/www/no.67808.cn/config/cache.php ( 0.78 KB )
  31. /yingpanguazai/ssd/ssd1/www/no.67808.cn/config/console.php ( 0.23 KB )
  32. /yingpanguazai/ssd/ssd1/www/no.67808.cn/config/cookie.php ( 0.56 KB )
  33. /yingpanguazai/ssd/ssd1/www/no.67808.cn/config/database.php ( 2.48 KB )
  34. /yingpanguazai/ssd/ssd1/www/no.67808.cn/vendor/topthink/framework/src/think/facade/Env.php ( 1.67 KB )
  35. /yingpanguazai/ssd/ssd1/www/no.67808.cn/config/filesystem.php ( 0.61 KB )
  36. /yingpanguazai/ssd/ssd1/www/no.67808.cn/config/lang.php ( 0.91 KB )
  37. /yingpanguazai/ssd/ssd1/www/no.67808.cn/config/log.php ( 1.35 KB )
  38. /yingpanguazai/ssd/ssd1/www/no.67808.cn/config/middleware.php ( 0.19 KB )
  39. /yingpanguazai/ssd/ssd1/www/no.67808.cn/config/route.php ( 1.89 KB )
  40. /yingpanguazai/ssd/ssd1/www/no.67808.cn/config/session.php ( 0.57 KB )
  41. /yingpanguazai/ssd/ssd1/www/no.67808.cn/config/trace.php ( 0.34 KB )
  42. /yingpanguazai/ssd/ssd1/www/no.67808.cn/config/view.php ( 0.82 KB )
  43. /yingpanguazai/ssd/ssd1/www/no.67808.cn/app/event.php ( 0.25 KB )
  44. /yingpanguazai/ssd/ssd1/www/no.67808.cn/vendor/topthink/framework/src/think/Event.php ( 7.67 KB )
  45. /yingpanguazai/ssd/ssd1/www/no.67808.cn/app/service.php ( 0.13 KB )
  46. /yingpanguazai/ssd/ssd1/www/no.67808.cn/app/AppService.php ( 0.26 KB )
  47. /yingpanguazai/ssd/ssd1/www/no.67808.cn/vendor/topthink/framework/src/think/Service.php ( 1.64 KB )
  48. /yingpanguazai/ssd/ssd1/www/no.67808.cn/vendor/topthink/framework/src/think/Lang.php ( 7.35 KB )
  49. /yingpanguazai/ssd/ssd1/www/no.67808.cn/vendor/topthink/framework/src/lang/zh-cn.php ( 13.70 KB )
  50. /yingpanguazai/ssd/ssd1/www/no.67808.cn/vendor/topthink/framework/src/think/initializer/Error.php ( 3.31 KB )
  51. /yingpanguazai/ssd/ssd1/www/no.67808.cn/vendor/topthink/framework/src/think/initializer/RegisterService.php ( 1.33 KB )
  52. /yingpanguazai/ssd/ssd1/www/no.67808.cn/vendor/services.php ( 0.14 KB )
  53. /yingpanguazai/ssd/ssd1/www/no.67808.cn/vendor/topthink/framework/src/think/service/PaginatorService.php ( 1.52 KB )
  54. /yingpanguazai/ssd/ssd1/www/no.67808.cn/vendor/topthink/framework/src/think/service/ValidateService.php ( 0.99 KB )
  55. /yingpanguazai/ssd/ssd1/www/no.67808.cn/vendor/topthink/framework/src/think/service/ModelService.php ( 2.04 KB )
  56. /yingpanguazai/ssd/ssd1/www/no.67808.cn/vendor/topthink/think-trace/src/Service.php ( 0.77 KB )
  57. /yingpanguazai/ssd/ssd1/www/no.67808.cn/vendor/topthink/framework/src/think/Middleware.php ( 6.72 KB )
  58. /yingpanguazai/ssd/ssd1/www/no.67808.cn/vendor/topthink/framework/src/think/initializer/BootService.php ( 0.77 KB )
  59. /yingpanguazai/ssd/ssd1/www/no.67808.cn/vendor/topthink/think-orm/src/Paginator.php ( 11.86 KB )
  60. /yingpanguazai/ssd/ssd1/www/no.67808.cn/vendor/topthink/think-validate/src/Validate.php ( 63.20 KB )
  61. /yingpanguazai/ssd/ssd1/www/no.67808.cn/vendor/topthink/think-orm/src/Model.php ( 23.55 KB )
  62. /yingpanguazai/ssd/ssd1/www/no.67808.cn/vendor/topthink/think-orm/src/model/concern/Attribute.php ( 21.05 KB )
  63. /yingpanguazai/ssd/ssd1/www/no.67808.cn/vendor/topthink/think-orm/src/model/concern/AutoWriteData.php ( 4.21 KB )
  64. /yingpanguazai/ssd/ssd1/www/no.67808.cn/vendor/topthink/think-orm/src/model/concern/Conversion.php ( 6.44 KB )
  65. /yingpanguazai/ssd/ssd1/www/no.67808.cn/vendor/topthink/think-orm/src/model/concern/DbConnect.php ( 5.16 KB )
  66. /yingpanguazai/ssd/ssd1/www/no.67808.cn/vendor/topthink/think-orm/src/model/concern/ModelEvent.php ( 2.33 KB )
  67. /yingpanguazai/ssd/ssd1/www/no.67808.cn/vendor/topthink/think-orm/src/model/concern/RelationShip.php ( 28.29 KB )
  68. /yingpanguazai/ssd/ssd1/www/no.67808.cn/vendor/topthink/think-helper/src/contract/Arrayable.php ( 0.09 KB )
  69. /yingpanguazai/ssd/ssd1/www/no.67808.cn/vendor/topthink/think-helper/src/contract/Jsonable.php ( 0.13 KB )
  70. /yingpanguazai/ssd/ssd1/www/no.67808.cn/vendor/topthink/think-orm/src/model/contract/Modelable.php ( 0.09 KB )
  71. /yingpanguazai/ssd/ssd1/www/no.67808.cn/vendor/topthink/framework/src/think/Db.php ( 2.88 KB )
  72. /yingpanguazai/ssd/ssd1/www/no.67808.cn/vendor/topthink/think-orm/src/DbManager.php ( 8.52 KB )
  73. /yingpanguazai/ssd/ssd1/www/no.67808.cn/vendor/topthink/framework/src/think/Log.php ( 6.28 KB )
  74. /yingpanguazai/ssd/ssd1/www/no.67808.cn/vendor/topthink/framework/src/think/Manager.php ( 3.92 KB )
  75. /yingpanguazai/ssd/ssd1/www/no.67808.cn/vendor/psr/log/src/LoggerTrait.php ( 2.69 KB )
  76. /yingpanguazai/ssd/ssd1/www/no.67808.cn/vendor/psr/log/src/LoggerInterface.php ( 2.71 KB )
  77. /yingpanguazai/ssd/ssd1/www/no.67808.cn/vendor/topthink/framework/src/think/Cache.php ( 4.92 KB )
  78. /yingpanguazai/ssd/ssd1/www/no.67808.cn/vendor/psr/simple-cache/src/CacheInterface.php ( 4.71 KB )
  79. /yingpanguazai/ssd/ssd1/www/no.67808.cn/vendor/topthink/think-helper/src/helper/Arr.php ( 16.63 KB )
  80. /yingpanguazai/ssd/ssd1/www/no.67808.cn/vendor/topthink/framework/src/think/cache/driver/File.php ( 7.84 KB )
  81. /yingpanguazai/ssd/ssd1/www/no.67808.cn/vendor/topthink/framework/src/think/cache/Driver.php ( 9.03 KB )
  82. /yingpanguazai/ssd/ssd1/www/no.67808.cn/vendor/topthink/framework/src/think/contract/CacheHandlerInterface.php ( 1.99 KB )
  83. /yingpanguazai/ssd/ssd1/www/no.67808.cn/app/Request.php ( 0.09 KB )
  84. /yingpanguazai/ssd/ssd1/www/no.67808.cn/vendor/topthink/framework/src/think/Request.php ( 55.78 KB )
  85. /yingpanguazai/ssd/ssd1/www/no.67808.cn/app/middleware.php ( 0.25 KB )
  86. /yingpanguazai/ssd/ssd1/www/no.67808.cn/vendor/topthink/framework/src/think/Pipeline.php ( 2.61 KB )
  87. /yingpanguazai/ssd/ssd1/www/no.67808.cn/vendor/topthink/think-trace/src/TraceDebug.php ( 3.40 KB )
  88. /yingpanguazai/ssd/ssd1/www/no.67808.cn/vendor/topthink/framework/src/think/middleware/SessionInit.php ( 1.94 KB )
  89. /yingpanguazai/ssd/ssd1/www/no.67808.cn/vendor/topthink/framework/src/think/Session.php ( 1.80 KB )
  90. /yingpanguazai/ssd/ssd1/www/no.67808.cn/vendor/topthink/framework/src/think/session/driver/File.php ( 6.27 KB )
  91. /yingpanguazai/ssd/ssd1/www/no.67808.cn/vendor/topthink/framework/src/think/contract/SessionHandlerInterface.php ( 0.87 KB )
  92. /yingpanguazai/ssd/ssd1/www/no.67808.cn/vendor/topthink/framework/src/think/session/Store.php ( 7.12 KB )
  93. /yingpanguazai/ssd/ssd1/www/no.67808.cn/vendor/topthink/framework/src/think/Route.php ( 23.73 KB )
  94. /yingpanguazai/ssd/ssd1/www/no.67808.cn/vendor/topthink/framework/src/think/route/RuleName.php ( 5.75 KB )
  95. /yingpanguazai/ssd/ssd1/www/no.67808.cn/vendor/topthink/framework/src/think/route/Domain.php ( 2.53 KB )
  96. /yingpanguazai/ssd/ssd1/www/no.67808.cn/vendor/topthink/framework/src/think/route/RuleGroup.php ( 22.43 KB )
  97. /yingpanguazai/ssd/ssd1/www/no.67808.cn/vendor/topthink/framework/src/think/route/Rule.php ( 26.95 KB )
  98. /yingpanguazai/ssd/ssd1/www/no.67808.cn/vendor/topthink/framework/src/think/route/RuleItem.php ( 9.78 KB )
  99. /yingpanguazai/ssd/ssd1/www/no.67808.cn/route/app.php ( 1.72 KB )
  100. /yingpanguazai/ssd/ssd1/www/no.67808.cn/vendor/topthink/framework/src/think/facade/Route.php ( 4.70 KB )
  101. /yingpanguazai/ssd/ssd1/www/no.67808.cn/vendor/topthink/framework/src/think/route/dispatch/Controller.php ( 4.74 KB )
  102. /yingpanguazai/ssd/ssd1/www/no.67808.cn/vendor/topthink/framework/src/think/route/Dispatch.php ( 10.44 KB )
  103. /yingpanguazai/ssd/ssd1/www/no.67808.cn/app/controller/Index.php ( 4.81 KB )
  104. /yingpanguazai/ssd/ssd1/www/no.67808.cn/app/BaseController.php ( 2.05 KB )
  105. /yingpanguazai/ssd/ssd1/www/no.67808.cn/vendor/topthink/think-orm/src/facade/Db.php ( 0.93 KB )
  106. /yingpanguazai/ssd/ssd1/www/no.67808.cn/vendor/topthink/think-orm/src/db/connector/Mysql.php ( 5.44 KB )
  107. /yingpanguazai/ssd/ssd1/www/no.67808.cn/vendor/topthink/think-orm/src/db/PDOConnection.php ( 52.47 KB )
  108. /yingpanguazai/ssd/ssd1/www/no.67808.cn/vendor/topthink/think-orm/src/db/Connection.php ( 8.39 KB )
  109. /yingpanguazai/ssd/ssd1/www/no.67808.cn/vendor/topthink/think-orm/src/db/ConnectionInterface.php ( 4.57 KB )
  110. /yingpanguazai/ssd/ssd1/www/no.67808.cn/vendor/topthink/think-orm/src/db/builder/Mysql.php ( 16.58 KB )
  111. /yingpanguazai/ssd/ssd1/www/no.67808.cn/vendor/topthink/think-orm/src/db/Builder.php ( 24.06 KB )
  112. /yingpanguazai/ssd/ssd1/www/no.67808.cn/vendor/topthink/think-orm/src/db/BaseBuilder.php ( 27.50 KB )
  113. /yingpanguazai/ssd/ssd1/www/no.67808.cn/vendor/topthink/think-orm/src/db/Query.php ( 15.71 KB )
  114. /yingpanguazai/ssd/ssd1/www/no.67808.cn/vendor/topthink/think-orm/src/db/BaseQuery.php ( 45.13 KB )
  115. /yingpanguazai/ssd/ssd1/www/no.67808.cn/vendor/topthink/think-orm/src/db/concern/TimeFieldQuery.php ( 7.43 KB )
  116. /yingpanguazai/ssd/ssd1/www/no.67808.cn/vendor/topthink/think-orm/src/db/concern/AggregateQuery.php ( 3.26 KB )
  117. /yingpanguazai/ssd/ssd1/www/no.67808.cn/vendor/topthink/think-orm/src/db/concern/ModelRelationQuery.php ( 20.07 KB )
  118. /yingpanguazai/ssd/ssd1/www/no.67808.cn/vendor/topthink/think-orm/src/db/concern/ParamsBind.php ( 3.66 KB )
  119. /yingpanguazai/ssd/ssd1/www/no.67808.cn/vendor/topthink/think-orm/src/db/concern/ResultOperation.php ( 7.01 KB )
  120. /yingpanguazai/ssd/ssd1/www/no.67808.cn/vendor/topthink/think-orm/src/db/concern/WhereQuery.php ( 19.37 KB )
  121. /yingpanguazai/ssd/ssd1/www/no.67808.cn/vendor/topthink/think-orm/src/db/concern/JoinAndViewQuery.php ( 7.11 KB )
  122. /yingpanguazai/ssd/ssd1/www/no.67808.cn/vendor/topthink/think-orm/src/db/concern/TableFieldInfo.php ( 2.63 KB )
  123. /yingpanguazai/ssd/ssd1/www/no.67808.cn/vendor/topthink/think-orm/src/db/concern/Transaction.php ( 2.77 KB )
  124. /yingpanguazai/ssd/ssd1/www/no.67808.cn/vendor/topthink/framework/src/think/log/driver/File.php ( 5.96 KB )
  125. /yingpanguazai/ssd/ssd1/www/no.67808.cn/vendor/topthink/framework/src/think/contract/LogHandlerInterface.php ( 0.86 KB )
  126. /yingpanguazai/ssd/ssd1/www/no.67808.cn/vendor/topthink/framework/src/think/log/Channel.php ( 3.89 KB )
  127. /yingpanguazai/ssd/ssd1/www/no.67808.cn/vendor/topthink/framework/src/think/event/LogRecord.php ( 1.02 KB )
  128. /yingpanguazai/ssd/ssd1/www/no.67808.cn/vendor/topthink/think-helper/src/Collection.php ( 16.47 KB )
  129. /yingpanguazai/ssd/ssd1/www/no.67808.cn/vendor/topthink/framework/src/think/facade/View.php ( 1.70 KB )
  130. /yingpanguazai/ssd/ssd1/www/no.67808.cn/vendor/topthink/framework/src/think/View.php ( 4.39 KB )
  131. /yingpanguazai/ssd/ssd1/www/no.67808.cn/vendor/topthink/framework/src/think/Response.php ( 8.81 KB )
  132. /yingpanguazai/ssd/ssd1/www/no.67808.cn/vendor/topthink/framework/src/think/response/View.php ( 3.29 KB )
  133. /yingpanguazai/ssd/ssd1/www/no.67808.cn/vendor/topthink/framework/src/think/Cookie.php ( 6.06 KB )
  134. /yingpanguazai/ssd/ssd1/www/no.67808.cn/vendor/topthink/think-view/src/Think.php ( 8.38 KB )
  135. /yingpanguazai/ssd/ssd1/www/no.67808.cn/vendor/topthink/framework/src/think/contract/TemplateHandlerInterface.php ( 1.60 KB )
  136. /yingpanguazai/ssd/ssd1/www/no.67808.cn/vendor/topthink/think-template/src/Template.php ( 46.61 KB )
  137. /yingpanguazai/ssd/ssd1/www/no.67808.cn/vendor/topthink/think-template/src/template/driver/File.php ( 2.41 KB )
  138. /yingpanguazai/ssd/ssd1/www/no.67808.cn/vendor/topthink/think-template/src/template/contract/DriverInterface.php ( 0.86 KB )
  139. /yingpanguazai/ssd/ssd1/www/no.67808.cn/runtime/temp/6df755f970a38e704c5414acbc6e8bcd.php ( 12.06 KB )
  140. /yingpanguazai/ssd/ssd1/www/no.67808.cn/vendor/topthink/think-trace/src/Html.php ( 4.42 KB )
  1. CONNECT:[ UseTime:0.000408s ] mysql:host=127.0.0.1;port=3306;dbname=no_67808;charset=utf8mb4
  2. SHOW FULL COLUMNS FROM `fenlei` [ RunTime:0.000584s ]
  3. SELECT * FROM `fenlei` WHERE `fid` = 0 [ RunTime:0.003272s ]
  4. SELECT * FROM `fenlei` WHERE `fid` = 63 [ RunTime:0.006888s ]
  5. SHOW FULL COLUMNS FROM `set` [ RunTime:0.000779s ]
  6. SELECT * FROM `set` [ RunTime:0.009187s ]
  7. SHOW FULL COLUMNS FROM `article` [ RunTime:0.000670s ]
  8. SELECT * FROM `article` WHERE `id` = 475121 LIMIT 1 [ RunTime:0.009211s ]
  9. UPDATE `article` SET `lasttime` = 1778470408 WHERE `id` = 475121 [ RunTime:0.018628s ]
  10. SELECT * FROM `fenlei` WHERE `id` = 65 LIMIT 1 [ RunTime:0.006594s ]
  11. SELECT * FROM `article` WHERE `id` < 475121 ORDER BY `id` DESC LIMIT 1 [ RunTime:0.000907s ]
  12. SELECT * FROM `article` WHERE `id` > 475121 ORDER BY `id` ASC LIMIT 1 [ RunTime:0.005847s ]
  13. SELECT * FROM `article` WHERE `id` < 475121 ORDER BY `id` DESC LIMIT 10 [ RunTime:0.004524s ]
  14. SELECT * FROM `article` WHERE `id` < 475121 ORDER BY `id` DESC LIMIT 10,10 [ RunTime:0.008191s ]
  15. SELECT * FROM `article` WHERE `id` < 475121 ORDER BY `id` DESC LIMIT 20,10 [ RunTime:0.012284s ]
0.182842s