当前位置:首页>学习笔记>“颈椎X线阅片速记法”学习笔记

“颈椎X线阅片速记法”学习笔记

  • 2026-04-17 13:07:30
“颈椎X线阅片速记法”学习笔记

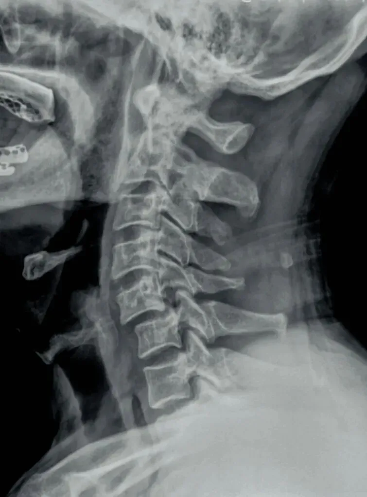
颈椎的X线平片,我们可以通过以下口诀来全面观测,一骨二弓三钩突,四韧带钙化,五间六旋,七滑脱,八孔九突十张口

颈椎详细的X线解剖图谱参考:

下面我们一起来学习一下口诀的十个内容:

一骨是是我们主要在颈椎侧位X线片中观察椎体的形态与结构,查看椎体是否规则,

椎体边缘有无变尖或呈唇样改变的骨质增生。

椎体骨质有无破坏,密度是否正常,如肿瘤或者感染。

椎体的高度是否均匀,有无压缩变形。椎体高度减小可能提示骨质疏松、压缩性骨折

或椎体的发育异常等。

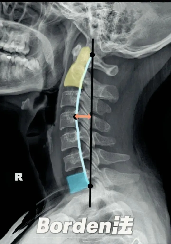
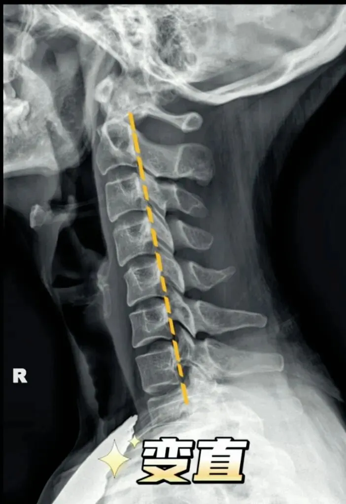
二弓指的是颈椎生理曲度,在颈椎侧位X线片中,正常生理状态下呈现向前凸出的弧形曲线,呈半C型前凸类似弓形,是人体脊柱生理曲度的重要组成部分。颈椎曲度变化能够反映颈椎整体功能的变化。

常见的颈椎曲度改变有曲度变直和曲度反曲。

 颈椎生理曲度测量的方法多种多样,其中应用最广泛的测量方法是Borden法。从齿状突后上缘开始向下将每个椎体后缘相连成为一条弧线,然后从齿状突后上缘至C7椎体后下缘作一直线测量,两条线间最宽处的垂直横交线的距离即为颈椎生理曲度深度。

正常时,最宽处在C4椎体水平正常为12毫米,正负5毫米,小于7毫米为生理曲度变直,大于17毫米为生理曲度过度前屈,小于零时为生理曲度反曲。

三钩突,颈椎钩突是指颈椎椎体侧方的骨性突起,位于第3至7颈椎椎体上面侧缘,

与上位椎体的下面外侧缘共同构成钩椎关节,

可限制椎间盘向侧方突出,维持颈椎的活动度和稳定性。在斜位片中可更清晰的显示钩椎关节的间隙和钩突与周围结构的关系。

因为钩突离椎间孔非常近,所以当钩突退变发生增生肥大、变尖形成骨刺等变化时会引起相邻椎间孔、横突孔、椎管的狭窄,使得颈神经根、椎动脉和脊髓受压,引起相应的颈椎病症状和体征。

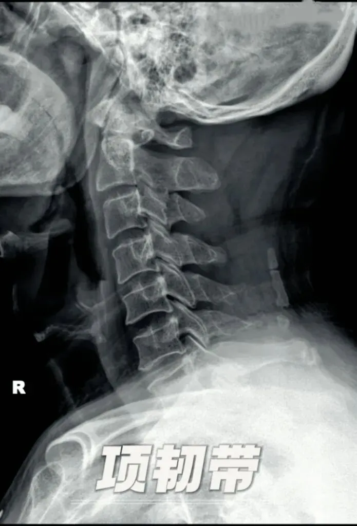
四,韧带钙化。颈椎的韧带有很多条,虽然X线无法直接显示颈椎韧带,但是我们可以通过解剖结构中韧带的走形区来间接判断。韧带钙化的原因诸多,主要从颈椎侧位片上进行观察。我们来学习几个常见的颈椎韧带钙化。首先是项韧带,位于枕外隆凸,枕外嵴、寰椎后结节及第二至第七颈椎棘突之间,

主要功能是限制颈部过度前屈,维持颈部姿势稳定,也是最常见的颈椎韧带钙化之一,多发生于颈4至6椎体的后方。

其次是前纵韧带,是椎体前面延伸的一束坚固的纤维束,上自枕骨大孔前缘下达第一或第二骶椎椎体,主要防止脊柱过度后伸和椎间盘向前突出的作用。

颈椎前纵韧带钙化多发生于颈4到6节段,

需要鉴别的类似影像有,颈椎椎体前缘骨折,骨折断茬明显且边缘较锐利,有明确外伤;

还有强直性脊柱炎,呈竹节状改变;

弥漫性特发性骨肥厚,至少连续四个相邻椎体前外侧缘出现流柱状钙化或骨化。

椎间小骨与前纵韧带钙化较难鉴别,所以容易被误认为前纵韧带钙化。

再其次是后纵韧带,位于椎管内椎体的后面,窄而坚韧,起自枢椎,并与覆盖枢椎椎体的覆膜相续下达骶骨,有限制脊柱过度前屈的作用。

当这条韧带因为未知的原因悄然钙化增厚,最终异化成坚硬的骨铠甲时,他便从保护者转变为潜在的压迫者。

这便是颈椎后纵韧带骨化特征,是颈椎后纵韧带组织被异位骨组织替代,形成沿椎体后缘分布的条索状或斑块状骨化灶,这些骨化灶如同在椎管内壁生长的肿物,逐渐侵占空间,压迫脊髓与神经根,常与弥漫性特发性骨肥厚共同存在。

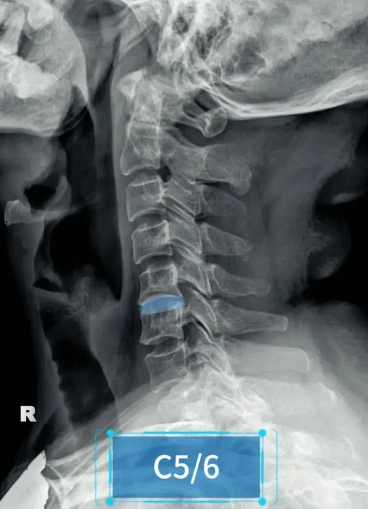
五间是指颈椎椎间隙的变化,主要在颈椎侧位片上观察椎间隙变化同时也反映了椎间盘的变化。

颈椎的退变最早发生在C56椎间盘上,因此C56椎间隙也最早发现变窄的征象。

颈椎骨性椎体为前低后高,

而椎间盘则为前高后低,因此颈椎的生理性前凸是由椎间盘的前高后低所形成的。

在正常情况下,C23、C34和C45间隙大致相等,椎间隙前部为3.8毫米正负0.5毫米,

后缘间隙为1.9毫米正负0.28毫米。

C56间隙较上为宽,而C67间隙最宽,但C7与T1间隙又较窄。

六旋指颈椎旋转,需结合颈椎正侧位观察。

颈椎正位主要观察棘突有没有偏歪,有没有在棘突中心轴线的连线上。

如果某一节椎骨的棘突中心点偏离,各棘突中心连线大于等于3毫米,则表示该节段颈椎有轴向旋转。

侧位主要观察椎体有没有双边征和关节突有没有双突征。

造成这两个征象的原因就是椎体后缘及双侧关节突没有完全重叠,摄影体位不标准时也会出现这种现象。所以我们要结合正侧位观察,如果正位没有出现某节段颈椎棘突偏移,但是侧位出现颈椎双凸或双边征时,大概率就是摄影体位不标准。反之正位能看到某节段颈椎棘突偏移,同时侧位能看到对应节段颈椎的双边或者双凸征时,基本可以确定椎体存在旋转。

七滑脱是指颈椎椎体的滑脱,以下位椎体分为四等份,以此判断上位椎体向前或者向后的滑脱程度,

也是我们所说的椎体序列不整齐,椎体后缘的平滑曲线出现台阶或错位,多发生在颈三和颈4椎体。

颈椎滑脱是颈椎不稳的结局,颈椎不稳多因椎间盘和关节突关节退变及关节活动度过多和过大所致。正常的颈椎侧位片只是能看到静态下的椎体滑脱,有的病人在做前屈和后伸活动时才出现滑脱,因此需做颈椎的过伸和过屈动力位侧位片检查来判断不稳。

八孔指颈椎椎间孔。实际上椎间孔是一个短管,故又叫椎间管,只是从X线平片上显示的是孔管,内含脊神经的前后根、神经节及节段性动脉、静脉等,

主要从斜位片来观察椎间孔的影像变化。正常颈椎间孔呈长方形或椭圆形,高10毫米,横径5毫米,前后壁光滑。

椎间隙变窄,可造成椎间孔高度变小。椎间孔前后径变小,是钩突增生、关节突增生、关节突关节肥大和椎体滑脱的结果。

九突指颈椎关节突关节,颈椎上位椎体的下关节突与下位椎体的上关节突构成关节突关节。

若发生病变,可见关节间隙模糊,关节面粗糙硬化,

关节突关节间隙狭窄和边缘骨刺。

关节突关节半脱位多与椎体滑脱并存,关节间隙宽窄不一。

十张口是指寰枢椎的结构和位置关系,我们主要观察寰齿间隙和寰枢关节间隙及寰椎侧块的大小,来判断寰枢关节有无脱位的情况。

首先是寰齿间隙,如果枢椎与颈三的棘突位于同一条直线,

那么寰齿间隙哪边宽,就代表寰椎向哪边发生了侧方移位。

如果不在一条直线上,那就代表枢椎也有侧向的移动或旋转。

接下来是寰枢关节间隙,也称寰枢外侧关节,主要看两侧间隙是否等大,

如果一边宽一边窄,就代表寰椎向窄的一方发生了侧向倾斜。

再下来看寰椎侧块的大小,正常情况下侧块两边的宽度是等大的,

如果哪边侧块变大,就代表哪边的侧块向前方发生了旋转。

——————end——————

友情提醒:以上内容为学习笔记分享,📝不够完善,因个体差异较大,不构成医疗意见,仅供参考学习,欢迎大家指正🤝

文字|肌骨力学笔记

图片|来源网络,如有侵权请联系删除🙏

最新文章

随机文章

基本 文件 流程 错误 SQL 调试
  1. 请求信息 : 2026-04-24 08:34:56 HTTP/2.0 GET : https://67808.cn/a/473256.html
  2. 运行时间 : 0.085569s [ 吞吐率:11.69req/s ] 内存消耗:4,706.85kb 文件加载:140
  3. 缓存信息 : 0 reads,0 writes
  4. 会话信息 : SESSION_ID=c04cc65a58599b94e15ff2283f77d9a9
  1. /yingpanguazai/ssd/ssd1/www/no.67808.cn/public/index.php ( 0.79 KB )
  2. /yingpanguazai/ssd/ssd1/www/no.67808.cn/vendor/autoload.php ( 0.17 KB )
  3. /yingpanguazai/ssd/ssd1/www/no.67808.cn/vendor/composer/autoload_real.php ( 2.49 KB )
  4. /yingpanguazai/ssd/ssd1/www/no.67808.cn/vendor/composer/platform_check.php ( 0.90 KB )
  5. /yingpanguazai/ssd/ssd1/www/no.67808.cn/vendor/composer/ClassLoader.php ( 14.03 KB )
  6. /yingpanguazai/ssd/ssd1/www/no.67808.cn/vendor/composer/autoload_static.php ( 4.90 KB )
  7. /yingpanguazai/ssd/ssd1/www/no.67808.cn/vendor/topthink/think-helper/src/helper.php ( 8.34 KB )
  8. /yingpanguazai/ssd/ssd1/www/no.67808.cn/vendor/topthink/think-validate/src/helper.php ( 2.19 KB )
  9. /yingpanguazai/ssd/ssd1/www/no.67808.cn/vendor/topthink/think-orm/src/helper.php ( 1.47 KB )
  10. /yingpanguazai/ssd/ssd1/www/no.67808.cn/vendor/topthink/think-orm/stubs/load_stubs.php ( 0.16 KB )
  11. /yingpanguazai/ssd/ssd1/www/no.67808.cn/vendor/topthink/framework/src/think/Exception.php ( 1.69 KB )
  12. /yingpanguazai/ssd/ssd1/www/no.67808.cn/vendor/topthink/think-container/src/Facade.php ( 2.71 KB )
  13. /yingpanguazai/ssd/ssd1/www/no.67808.cn/vendor/symfony/deprecation-contracts/function.php ( 0.99 KB )
  14. /yingpanguazai/ssd/ssd1/www/no.67808.cn/vendor/symfony/polyfill-mbstring/bootstrap.php ( 8.26 KB )
  15. /yingpanguazai/ssd/ssd1/www/no.67808.cn/vendor/symfony/polyfill-mbstring/bootstrap80.php ( 9.78 KB )
  16. /yingpanguazai/ssd/ssd1/www/no.67808.cn/vendor/symfony/var-dumper/Resources/functions/dump.php ( 1.49 KB )
  17. /yingpanguazai/ssd/ssd1/www/no.67808.cn/vendor/topthink/think-dumper/src/helper.php ( 0.18 KB )
  18. /yingpanguazai/ssd/ssd1/www/no.67808.cn/vendor/symfony/var-dumper/VarDumper.php ( 4.30 KB )
  19. /yingpanguazai/ssd/ssd1/www/no.67808.cn/vendor/topthink/framework/src/think/App.php ( 15.30 KB )
  20. /yingpanguazai/ssd/ssd1/www/no.67808.cn/vendor/topthink/think-container/src/Container.php ( 15.76 KB )
  21. /yingpanguazai/ssd/ssd1/www/no.67808.cn/vendor/psr/container/src/ContainerInterface.php ( 1.02 KB )
  22. /yingpanguazai/ssd/ssd1/www/no.67808.cn/app/provider.php ( 0.19 KB )
  23. /yingpanguazai/ssd/ssd1/www/no.67808.cn/vendor/topthink/framework/src/think/Http.php ( 6.04 KB )
  24. /yingpanguazai/ssd/ssd1/www/no.67808.cn/vendor/topthink/think-helper/src/helper/Str.php ( 7.29 KB )
  25. /yingpanguazai/ssd/ssd1/www/no.67808.cn/vendor/topthink/framework/src/think/Env.php ( 4.68 KB )
  26. /yingpanguazai/ssd/ssd1/www/no.67808.cn/app/common.php ( 0.03 KB )
  27. /yingpanguazai/ssd/ssd1/www/no.67808.cn/vendor/topthink/framework/src/helper.php ( 18.78 KB )
  28. /yingpanguazai/ssd/ssd1/www/no.67808.cn/vendor/topthink/framework/src/think/Config.php ( 5.54 KB )
  29. /yingpanguazai/ssd/ssd1/www/no.67808.cn/config/app.php ( 0.95 KB )
  30. /yingpanguazai/ssd/ssd1/www/no.67808.cn/config/cache.php ( 0.78 KB )
  31. /yingpanguazai/ssd/ssd1/www/no.67808.cn/config/console.php ( 0.23 KB )
  32. /yingpanguazai/ssd/ssd1/www/no.67808.cn/config/cookie.php ( 0.56 KB )
  33. /yingpanguazai/ssd/ssd1/www/no.67808.cn/config/database.php ( 2.48 KB )
  34. /yingpanguazai/ssd/ssd1/www/no.67808.cn/vendor/topthink/framework/src/think/facade/Env.php ( 1.67 KB )
  35. /yingpanguazai/ssd/ssd1/www/no.67808.cn/config/filesystem.php ( 0.61 KB )
  36. /yingpanguazai/ssd/ssd1/www/no.67808.cn/config/lang.php ( 0.91 KB )
  37. /yingpanguazai/ssd/ssd1/www/no.67808.cn/config/log.php ( 1.35 KB )
  38. /yingpanguazai/ssd/ssd1/www/no.67808.cn/config/middleware.php ( 0.19 KB )
  39. /yingpanguazai/ssd/ssd1/www/no.67808.cn/config/route.php ( 1.89 KB )
  40. /yingpanguazai/ssd/ssd1/www/no.67808.cn/config/session.php ( 0.57 KB )
  41. /yingpanguazai/ssd/ssd1/www/no.67808.cn/config/trace.php ( 0.34 KB )
  42. /yingpanguazai/ssd/ssd1/www/no.67808.cn/config/view.php ( 0.82 KB )
  43. /yingpanguazai/ssd/ssd1/www/no.67808.cn/app/event.php ( 0.25 KB )
  44. /yingpanguazai/ssd/ssd1/www/no.67808.cn/vendor/topthink/framework/src/think/Event.php ( 7.67 KB )
  45. /yingpanguazai/ssd/ssd1/www/no.67808.cn/app/service.php ( 0.13 KB )
  46. /yingpanguazai/ssd/ssd1/www/no.67808.cn/app/AppService.php ( 0.26 KB )
  47. /yingpanguazai/ssd/ssd1/www/no.67808.cn/vendor/topthink/framework/src/think/Service.php ( 1.64 KB )
  48. /yingpanguazai/ssd/ssd1/www/no.67808.cn/vendor/topthink/framework/src/think/Lang.php ( 7.35 KB )
  49. /yingpanguazai/ssd/ssd1/www/no.67808.cn/vendor/topthink/framework/src/lang/zh-cn.php ( 13.70 KB )
  50. /yingpanguazai/ssd/ssd1/www/no.67808.cn/vendor/topthink/framework/src/think/initializer/Error.php ( 3.31 KB )
  51. /yingpanguazai/ssd/ssd1/www/no.67808.cn/vendor/topthink/framework/src/think/initializer/RegisterService.php ( 1.33 KB )
  52. /yingpanguazai/ssd/ssd1/www/no.67808.cn/vendor/services.php ( 0.14 KB )
  53. /yingpanguazai/ssd/ssd1/www/no.67808.cn/vendor/topthink/framework/src/think/service/PaginatorService.php ( 1.52 KB )
  54. /yingpanguazai/ssd/ssd1/www/no.67808.cn/vendor/topthink/framework/src/think/service/ValidateService.php ( 0.99 KB )
  55. /yingpanguazai/ssd/ssd1/www/no.67808.cn/vendor/topthink/framework/src/think/service/ModelService.php ( 2.04 KB )
  56. /yingpanguazai/ssd/ssd1/www/no.67808.cn/vendor/topthink/think-trace/src/Service.php ( 0.77 KB )
  57. /yingpanguazai/ssd/ssd1/www/no.67808.cn/vendor/topthink/framework/src/think/Middleware.php ( 6.72 KB )
  58. /yingpanguazai/ssd/ssd1/www/no.67808.cn/vendor/topthink/framework/src/think/initializer/BootService.php ( 0.77 KB )
  59. /yingpanguazai/ssd/ssd1/www/no.67808.cn/vendor/topthink/think-orm/src/Paginator.php ( 11.86 KB )
  60. /yingpanguazai/ssd/ssd1/www/no.67808.cn/vendor/topthink/think-validate/src/Validate.php ( 63.20 KB )
  61. /yingpanguazai/ssd/ssd1/www/no.67808.cn/vendor/topthink/think-orm/src/Model.php ( 23.55 KB )
  62. /yingpanguazai/ssd/ssd1/www/no.67808.cn/vendor/topthink/think-orm/src/model/concern/Attribute.php ( 21.05 KB )
  63. /yingpanguazai/ssd/ssd1/www/no.67808.cn/vendor/topthink/think-orm/src/model/concern/AutoWriteData.php ( 4.21 KB )
  64. /yingpanguazai/ssd/ssd1/www/no.67808.cn/vendor/topthink/think-orm/src/model/concern/Conversion.php ( 6.44 KB )
  65. /yingpanguazai/ssd/ssd1/www/no.67808.cn/vendor/topthink/think-orm/src/model/concern/DbConnect.php ( 5.16 KB )
  66. /yingpanguazai/ssd/ssd1/www/no.67808.cn/vendor/topthink/think-orm/src/model/concern/ModelEvent.php ( 2.33 KB )
  67. /yingpanguazai/ssd/ssd1/www/no.67808.cn/vendor/topthink/think-orm/src/model/concern/RelationShip.php ( 28.29 KB )
  68. /yingpanguazai/ssd/ssd1/www/no.67808.cn/vendor/topthink/think-helper/src/contract/Arrayable.php ( 0.09 KB )
  69. /yingpanguazai/ssd/ssd1/www/no.67808.cn/vendor/topthink/think-helper/src/contract/Jsonable.php ( 0.13 KB )
  70. /yingpanguazai/ssd/ssd1/www/no.67808.cn/vendor/topthink/think-orm/src/model/contract/Modelable.php ( 0.09 KB )
  71. /yingpanguazai/ssd/ssd1/www/no.67808.cn/vendor/topthink/framework/src/think/Db.php ( 2.88 KB )
  72. /yingpanguazai/ssd/ssd1/www/no.67808.cn/vendor/topthink/think-orm/src/DbManager.php ( 8.52 KB )
  73. /yingpanguazai/ssd/ssd1/www/no.67808.cn/vendor/topthink/framework/src/think/Log.php ( 6.28 KB )
  74. /yingpanguazai/ssd/ssd1/www/no.67808.cn/vendor/topthink/framework/src/think/Manager.php ( 3.92 KB )
  75. /yingpanguazai/ssd/ssd1/www/no.67808.cn/vendor/psr/log/src/LoggerTrait.php ( 2.69 KB )
  76. /yingpanguazai/ssd/ssd1/www/no.67808.cn/vendor/psr/log/src/LoggerInterface.php ( 2.71 KB )
  77. /yingpanguazai/ssd/ssd1/www/no.67808.cn/vendor/topthink/framework/src/think/Cache.php ( 4.92 KB )
  78. /yingpanguazai/ssd/ssd1/www/no.67808.cn/vendor/psr/simple-cache/src/CacheInterface.php ( 4.71 KB )
  79. /yingpanguazai/ssd/ssd1/www/no.67808.cn/vendor/topthink/think-helper/src/helper/Arr.php ( 16.63 KB )
  80. /yingpanguazai/ssd/ssd1/www/no.67808.cn/vendor/topthink/framework/src/think/cache/driver/File.php ( 7.84 KB )
  81. /yingpanguazai/ssd/ssd1/www/no.67808.cn/vendor/topthink/framework/src/think/cache/Driver.php ( 9.03 KB )
  82. /yingpanguazai/ssd/ssd1/www/no.67808.cn/vendor/topthink/framework/src/think/contract/CacheHandlerInterface.php ( 1.99 KB )
  83. /yingpanguazai/ssd/ssd1/www/no.67808.cn/app/Request.php ( 0.09 KB )
  84. /yingpanguazai/ssd/ssd1/www/no.67808.cn/vendor/topthink/framework/src/think/Request.php ( 55.78 KB )
  85. /yingpanguazai/ssd/ssd1/www/no.67808.cn/app/middleware.php ( 0.25 KB )
  86. /yingpanguazai/ssd/ssd1/www/no.67808.cn/vendor/topthink/framework/src/think/Pipeline.php ( 2.61 KB )
  87. /yingpanguazai/ssd/ssd1/www/no.67808.cn/vendor/topthink/think-trace/src/TraceDebug.php ( 3.40 KB )
  88. /yingpanguazai/ssd/ssd1/www/no.67808.cn/vendor/topthink/framework/src/think/middleware/SessionInit.php ( 1.94 KB )
  89. /yingpanguazai/ssd/ssd1/www/no.67808.cn/vendor/topthink/framework/src/think/Session.php ( 1.80 KB )
  90. /yingpanguazai/ssd/ssd1/www/no.67808.cn/vendor/topthink/framework/src/think/session/driver/File.php ( 6.27 KB )
  91. /yingpanguazai/ssd/ssd1/www/no.67808.cn/vendor/topthink/framework/src/think/contract/SessionHandlerInterface.php ( 0.87 KB )
  92. /yingpanguazai/ssd/ssd1/www/no.67808.cn/vendor/topthink/framework/src/think/session/Store.php ( 7.12 KB )
  93. /yingpanguazai/ssd/ssd1/www/no.67808.cn/vendor/topthink/framework/src/think/Route.php ( 23.73 KB )
  94. /yingpanguazai/ssd/ssd1/www/no.67808.cn/vendor/topthink/framework/src/think/route/RuleName.php ( 5.75 KB )
  95. /yingpanguazai/ssd/ssd1/www/no.67808.cn/vendor/topthink/framework/src/think/route/Domain.php ( 2.53 KB )
  96. /yingpanguazai/ssd/ssd1/www/no.67808.cn/vendor/topthink/framework/src/think/route/RuleGroup.php ( 22.43 KB )
  97. /yingpanguazai/ssd/ssd1/www/no.67808.cn/vendor/topthink/framework/src/think/route/Rule.php ( 26.95 KB )
  98. /yingpanguazai/ssd/ssd1/www/no.67808.cn/vendor/topthink/framework/src/think/route/RuleItem.php ( 9.78 KB )
  99. /yingpanguazai/ssd/ssd1/www/no.67808.cn/route/app.php ( 1.72 KB )
  100. /yingpanguazai/ssd/ssd1/www/no.67808.cn/vendor/topthink/framework/src/think/facade/Route.php ( 4.70 KB )
  101. /yingpanguazai/ssd/ssd1/www/no.67808.cn/vendor/topthink/framework/src/think/route/dispatch/Controller.php ( 4.74 KB )
  102. /yingpanguazai/ssd/ssd1/www/no.67808.cn/vendor/topthink/framework/src/think/route/Dispatch.php ( 10.44 KB )
  103. /yingpanguazai/ssd/ssd1/www/no.67808.cn/app/controller/Index.php ( 4.81 KB )
  104. /yingpanguazai/ssd/ssd1/www/no.67808.cn/app/BaseController.php ( 2.05 KB )
  105. /yingpanguazai/ssd/ssd1/www/no.67808.cn/vendor/topthink/think-orm/src/facade/Db.php ( 0.93 KB )
  106. /yingpanguazai/ssd/ssd1/www/no.67808.cn/vendor/topthink/think-orm/src/db/connector/Mysql.php ( 5.44 KB )
  107. /yingpanguazai/ssd/ssd1/www/no.67808.cn/vendor/topthink/think-orm/src/db/PDOConnection.php ( 52.47 KB )
  108. /yingpanguazai/ssd/ssd1/www/no.67808.cn/vendor/topthink/think-orm/src/db/Connection.php ( 8.39 KB )
  109. /yingpanguazai/ssd/ssd1/www/no.67808.cn/vendor/topthink/think-orm/src/db/ConnectionInterface.php ( 4.57 KB )
  110. /yingpanguazai/ssd/ssd1/www/no.67808.cn/vendor/topthink/think-orm/src/db/builder/Mysql.php ( 16.58 KB )
  111. /yingpanguazai/ssd/ssd1/www/no.67808.cn/vendor/topthink/think-orm/src/db/Builder.php ( 24.06 KB )
  112. /yingpanguazai/ssd/ssd1/www/no.67808.cn/vendor/topthink/think-orm/src/db/BaseBuilder.php ( 27.50 KB )
  113. /yingpanguazai/ssd/ssd1/www/no.67808.cn/vendor/topthink/think-orm/src/db/Query.php ( 15.71 KB )
  114. /yingpanguazai/ssd/ssd1/www/no.67808.cn/vendor/topthink/think-orm/src/db/BaseQuery.php ( 45.13 KB )
  115. /yingpanguazai/ssd/ssd1/www/no.67808.cn/vendor/topthink/think-orm/src/db/concern/TimeFieldQuery.php ( 7.43 KB )
  116. /yingpanguazai/ssd/ssd1/www/no.67808.cn/vendor/topthink/think-orm/src/db/concern/AggregateQuery.php ( 3.26 KB )
  117. /yingpanguazai/ssd/ssd1/www/no.67808.cn/vendor/topthink/think-orm/src/db/concern/ModelRelationQuery.php ( 20.07 KB )
  118. /yingpanguazai/ssd/ssd1/www/no.67808.cn/vendor/topthink/think-orm/src/db/concern/ParamsBind.php ( 3.66 KB )
  119. /yingpanguazai/ssd/ssd1/www/no.67808.cn/vendor/topthink/think-orm/src/db/concern/ResultOperation.php ( 7.01 KB )
  120. /yingpanguazai/ssd/ssd1/www/no.67808.cn/vendor/topthink/think-orm/src/db/concern/WhereQuery.php ( 19.37 KB )
  121. /yingpanguazai/ssd/ssd1/www/no.67808.cn/vendor/topthink/think-orm/src/db/concern/JoinAndViewQuery.php ( 7.11 KB )
  122. /yingpanguazai/ssd/ssd1/www/no.67808.cn/vendor/topthink/think-orm/src/db/concern/TableFieldInfo.php ( 2.63 KB )
  123. /yingpanguazai/ssd/ssd1/www/no.67808.cn/vendor/topthink/think-orm/src/db/concern/Transaction.php ( 2.77 KB )
  124. /yingpanguazai/ssd/ssd1/www/no.67808.cn/vendor/topthink/framework/src/think/log/driver/File.php ( 5.96 KB )
  125. /yingpanguazai/ssd/ssd1/www/no.67808.cn/vendor/topthink/framework/src/think/contract/LogHandlerInterface.php ( 0.86 KB )
  126. /yingpanguazai/ssd/ssd1/www/no.67808.cn/vendor/topthink/framework/src/think/log/Channel.php ( 3.89 KB )
  127. /yingpanguazai/ssd/ssd1/www/no.67808.cn/vendor/topthink/framework/src/think/event/LogRecord.php ( 1.02 KB )
  128. /yingpanguazai/ssd/ssd1/www/no.67808.cn/vendor/topthink/think-helper/src/Collection.php ( 16.47 KB )
  129. /yingpanguazai/ssd/ssd1/www/no.67808.cn/vendor/topthink/framework/src/think/facade/View.php ( 1.70 KB )
  130. /yingpanguazai/ssd/ssd1/www/no.67808.cn/vendor/topthink/framework/src/think/View.php ( 4.39 KB )
  131. /yingpanguazai/ssd/ssd1/www/no.67808.cn/vendor/topthink/framework/src/think/Response.php ( 8.81 KB )
  132. /yingpanguazai/ssd/ssd1/www/no.67808.cn/vendor/topthink/framework/src/think/response/View.php ( 3.29 KB )
  133. /yingpanguazai/ssd/ssd1/www/no.67808.cn/vendor/topthink/framework/src/think/Cookie.php ( 6.06 KB )
  134. /yingpanguazai/ssd/ssd1/www/no.67808.cn/vendor/topthink/think-view/src/Think.php ( 8.38 KB )
  135. /yingpanguazai/ssd/ssd1/www/no.67808.cn/vendor/topthink/framework/src/think/contract/TemplateHandlerInterface.php ( 1.60 KB )
  136. /yingpanguazai/ssd/ssd1/www/no.67808.cn/vendor/topthink/think-template/src/Template.php ( 46.61 KB )
  137. /yingpanguazai/ssd/ssd1/www/no.67808.cn/vendor/topthink/think-template/src/template/driver/File.php ( 2.41 KB )
  138. /yingpanguazai/ssd/ssd1/www/no.67808.cn/vendor/topthink/think-template/src/template/contract/DriverInterface.php ( 0.86 KB )
  139. /yingpanguazai/ssd/ssd1/www/no.67808.cn/runtime/temp/6df755f970a38e704c5414acbc6e8bcd.php ( 12.06 KB )
  140. /yingpanguazai/ssd/ssd1/www/no.67808.cn/vendor/topthink/think-trace/src/Html.php ( 4.42 KB )
  1. CONNECT:[ UseTime:0.000447s ] mysql:host=127.0.0.1;port=3306;dbname=no_67808;charset=utf8mb4
  2. SHOW FULL COLUMNS FROM `fenlei` [ RunTime:0.000526s ]
  3. SELECT * FROM `fenlei` WHERE `fid` = 0 [ RunTime:0.001412s ]
  4. SELECT * FROM `fenlei` WHERE `fid` = 63 [ RunTime:0.000278s ]
  5. SHOW FULL COLUMNS FROM `set` [ RunTime:0.000474s ]
  6. SELECT * FROM `set` [ RunTime:0.000198s ]
  7. SHOW FULL COLUMNS FROM `article` [ RunTime:0.000485s ]
  8. SELECT * FROM `article` WHERE `id` = 473256 LIMIT 1 [ RunTime:0.000374s ]
  9. UPDATE `article` SET `lasttime` = 1776990896 WHERE `id` = 473256 [ RunTime:0.001461s ]
  10. SELECT * FROM `fenlei` WHERE `id` = 65 LIMIT 1 [ RunTime:0.000232s ]
  11. SELECT * FROM `article` WHERE `id` < 473256 ORDER BY `id` DESC LIMIT 1 [ RunTime:0.000396s ]
  12. SELECT * FROM `article` WHERE `id` > 473256 ORDER BY `id` ASC LIMIT 1 [ RunTime:0.000351s ]
  13. SELECT * FROM `article` WHERE `id` < 473256 ORDER BY `id` DESC LIMIT 10 [ RunTime:0.003130s ]
  14. SELECT * FROM `article` WHERE `id` < 473256 ORDER BY `id` DESC LIMIT 10,10 [ RunTime:0.001540s ]
  15. SELECT * FROM `article` WHERE `id` < 473256 ORDER BY `id` DESC LIMIT 20,10 [ RunTime:0.002132s ]
0.087032s