当前位置:首页>学习笔记>学习笔记:结构心-影像辅助赛道调研

学习笔记:结构心-影像辅助赛道调研

  • 2026-04-17 12:52:05
学习笔记:结构心-影像辅助赛道调研

结构心的AI 影像分析与预测模型

写在前面:本篇是根据笔者行业经验和AI(GEMINI)共同完成的行业调研报告,如有遗漏和错误,请指正。

行业研究报告

报告日期:2026 年 3 月

核心聚焦:结构心术前影像分析、AI风险预测模型、手术仿真规划、术中引导方案、重点匹配心脏瓣膜器械的临床与商业化协同需求

报告摘要

本报告聚焦结构性心脏病(SHD)影像分析与预测模型赛道,系统调研了全球范围内该领域的主流厂商,涵盖海外标杆企业 3mensio、FEops、DASI Simulations 及国内核心厂商沛心科技、思创贯宇、慧心医疗等,全面梳理了各企业的技术布局、核心产品功能、商业化进展与竞争优势,深度剖析了全球及中国市场的发展格局、核心痛点、增长潜力与未来趋势。

结构性心脏病影像分析与预测模型是经导管结构心介入治疗(TAVR、TMVR、LAAO 等核心术式)的关键基础设施,核心技术已从基础的影像自动化分割测量,向 AI 数字孪生、血流动力学仿真、手术并发症与预后精准预测升级,是全球医疗 AI 与心血管介入领域的高景气细分赛道。2024 年全球结构性心脏病影像市场规模达 93.1 亿美元,其中 AI 驱动的影像分析与预测模型细分赛道年复合增长率超 12%;北美、欧洲为核心成熟市场,已形成永久授权、按病例收费、医保报销相结合的完善商业化体系,头部厂商技术壁垒与临床认可度显著。

中国市场目前仍处于发展初期,核心瓶颈为结构心术前影像分析尚未纳入医疗服务收费目录,医院无法按病例向患者收费,采购意愿极低。当前国内市场以进口产品 3mensio 为主,单台永久授权价格约 14 万元人民币,全国累计装机量不足 200 台,2025 年整体市场规模不足 4000 万元,与国内快速增长的结构心介入手术量严重不匹配。国产厂商已完成核心技术追赶,核心参数测量精度与进口产品一致性超 90%,依托本土化适配、高性价比与渠道服务优势,国产替代确定性极强。

长期来看,国内瓣膜病患者基数庞大,TAVR 等核心术式渗透率不足 1%,远低于欧美成熟市场 15% 的水平,未来手术量具备 20 倍以上的增长空间。若按次收费政策落地,仅核心术式对应的影像分析市场规模有望突破 30 亿元,增长天花板极高。报告同时明确,行业未来将朝着预测仿真升级、多模态影像融合、软硬件生态协同、云端化部署的方向发展,具备核心技术壁垒、完善临床验证数据与产业协同能力的本土厂商,将在政策落地后迎来爆发式增长。

1.1 赛道定义与核心场景

结构性心脏病(SHD)涵盖心脏瓣膜病、先天性心脏病、心肌病、心内结构异常等疾病,核心治疗手段为经导管介入治疗(如 TAVR、TMVR、LAAO、TTVR 等)。影像分析与预测模型是该领域的核心基础设施,核心应用场景包括:

  • 术前规划:基于 CT/MRI/ 超声影像完成心脏结构 3D 重建、关键参数自动化测量、植入体型号匹配、入路评估;

  • 预测仿真:通过数字孪生、AI + 计算流体力学(CFD)模拟植入体与患者解剖结构的相互作用,预判手术并发症(如冠脉闭塞、瓣周漏),优化手术方案;

  • 术中导航:多模态影像融合,实现实时定位与操作引导;风险提示。

  • 术后随访:自动化评估植入效果、内皮化进程、心功能变化,预测远期预后。

1.2 核心技术路径

行业主流技术分为两大方向,头部厂商逐步实现两者融合:

  1. 影像自动化分析:基于深度学习实现心脏结构自动分割、参数精准测量,替代传统人工手动分析,核心解决效率与标准化问题;

  2. 预测仿真模型:基于 AI+CFD 构建患者专属数字孪生心脏,模拟手术过程与血流动力学变化,核心解决手术精准度与并发症防控问题;

  3. 进阶方向:多模态影像融合(CT/MRI/超声/ DSA)、全诊疗周期闭环、云端化部署

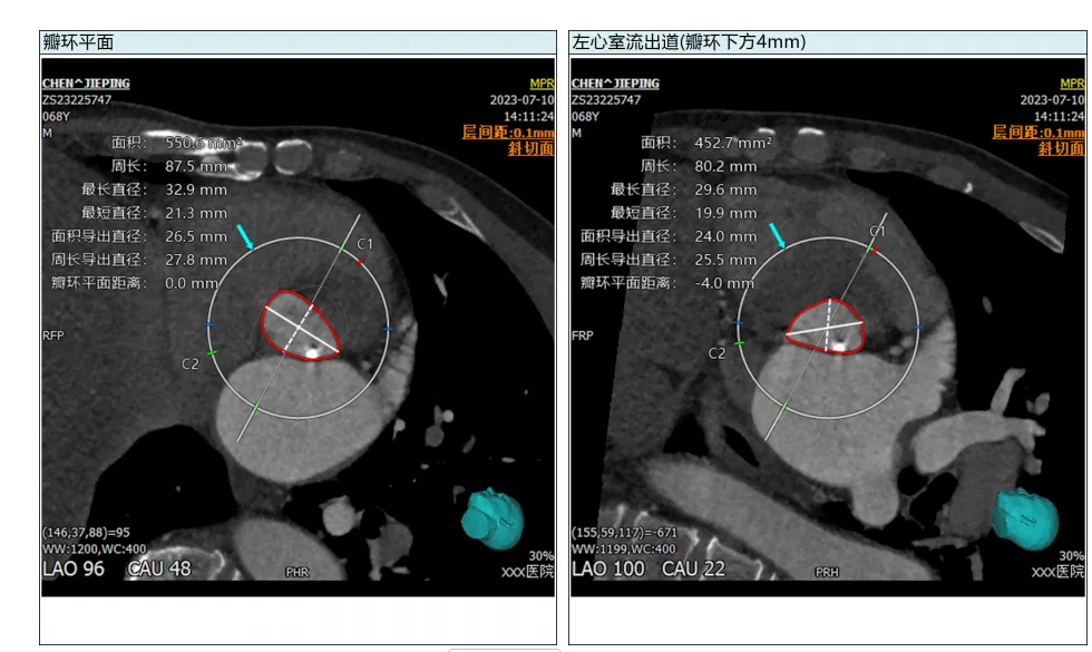
图1:自动分析演示(Tavigator™平台、由吴永健教授团队与拓微摹心数据科技(南京)有限公司合作)

图2:预测仿真模型(DASI Simulation,目前与美敦力合作。可动态预测瓣膜释放后风险,但无法术中实时预测,同类有FEops等)

图3:多模态影像融合(GE、飞利浦等大型设备厂商布局中)

全球核心企业全景分析

2.1 海外主流厂商

2.1.1 3mensio(Pie Medical Imaging,荷兰)

  • 公司基本情况:2003 年成立,2011 年被 Esaote 集团收购,是全球结构性心脏病术前规划领域的标杆企业,也是目前中国市场装机量最高的进口产品。

  • 核心产品与功能:核心产品为3mensio Structural Heart 工作站,分为结构心与血管两大模块,其中结构心模块覆盖 TAVR/TMVR/PPVI/LAAO 等全术式的术前规划,核心功能包括:主动脉根部 / 二尖瓣 / 左心耳等结构的自动化分割与精准测量、虚拟瓣膜植入、钙化积分评估、入路血管分析,支持非增强扫描融合分析。

  • 技术与商业化现状:

    技术优势:操作流程标准化,测量结果被全球主流瓣膜厂商作为金标准参考,支持手动调整与自动化功能结合,临床适配性强;

    商业化:全球超千台装机,覆盖欧美主流心脏中心;中国市场单台永久授权价格约 14 万元人民币,全国累计装机量不足 200 台,主要采购方为医院心内科、瓣膜厂商临床支持团队;

    定价模式:海外支持订阅制(单用户月费 500 美元起),国内以永久工作站授权/包年为主,暂无按次收费模式。

小编点评:在术前分析测量领域,3mensio的界面是最好的,但因为软件自动拉伸各截面,准确性比手动测量的软件稍差,部分医院:如华西喜欢使用Fluoro CT测量。

2.1.2 Circle Cardiovascular Imaging(加拿大)

  • 公司基本情况:2007 年成立于加拿大卡尔加里,是全球顶级的心血管专用影像分析企业,核心产品 cvi42 是全球心脏磁共振(CMR)影像分析的临床金标准软件,也是结构性心脏病多模态影像评估领域的标杆厂商,与 3mensio、FEops 形成功能互补的全球三大结构心影像分析工具矩阵。

  • 核心产品与功能:核心产品为cvi42 心血管影像后处理平台,是全球少有的实现 CT/MRI 双模态影像全流程覆盖的分析系统,其结构心相关模块已实现主流介入术式的全周期支持。

    瓣膜病结构与功能一体化评估:覆盖主动脉瓣/二尖瓣 / 三尖瓣反流的术前解剖量化、瓣环形态分析、钙化分布评估,适配 TAVR/TMVR/TTVR/LAAO/房颤 等经导管瓣膜介入术式的术前方案设计;独有 4D Flow 血流动力学分析模块,可精准量化瓣膜反流程度、跨瓣压差、心肌应力等功能学指标,实现解剖结构与血流功能的联合评估;

  • 技术与商业化现状:

    技术优势:全球唯一实现 CMR 与 CT 影像分析深度融合的结构心评估平台,在心肌组织特征量化、4D Flow 血流动力学分析领域处于全球绝对领先地位,与 3mensio 形成差异化互补 ——3mensio 聚焦介入医生的术式专属 CT 规划,cvi42 则覆盖影像科 + 临床科室的全模态、全场景心血管影像分析需求;

    合规认证:产品已获得美国 FDA 510 (k)、欧盟 CE、中国 NMPA、澳大利亚 TGA、日本厚生劳动省等全球主流监管机构的全资质认证,临床合规性覆盖全球主要市场;

    全球商业化:产品已落地全球超 90 个国家和地区,累计装机量超 1.5 万台,是全球装机量最高的心血管专用影像后处理软件之一,合作机构包括梅奥诊所、克利夫兰诊所、麻省总医院等全球顶级心脏中心;海外采用 “永久工作站授权 + 订阅制 + 按病例收费” 的多元商业化模式,2025 年其 AI 斑块分析模块纳入美国医保 CPT 代码,获得主流商业保险覆盖;

    中国市场应用:cvi42 于 2010 年前后进入中国市场,国内累计装机量超 500 台,核心采购方为三甲医院影像科、放射科与心血管临床中心,是国内心脏磁共振影像分析的主流标配软件。在结构心领域,其应用规模不及 3mensio:核心原因是国内结构心术前规划仍以 CT 影像为主,CMR 临床普及率较低,且其结构心模块为平台附加功能,术式专属的自动化、标准化程度不及 3mensio,国内临床团队更多将其用于术后心功能与心肌随访评估,仅少数具备 CMR 术前评估能力的头部心脏中心将其用于结构心术前规划,尚未形成规模化临床应用。

小编点评:在血流动力和CMR评估上有显著优势,但是界面操作比较复杂,CT分析还是弱项,试用过。

2.1.2 FEops(比利时,2024 年被 Materialise 收购)

  • 公司基本情况:2009 年根特大学孵化成立,2024 年 7 月被全球 3D 打印软件龙头 Materialise 全资收购,是结构心数字孪生与预测仿真赛道的领军企业。

  • 核心产品与功能:核心产品FEops HEARTguide™,是基于云平台的 AI 预测仿真系统,核心能力为:将 CT 影像转化为患者专属心脏数字孪生,模拟经导管瓣膜、左心耳封堵器等植入体与解剖结构的相互作用,精准预测植入后的瓣周漏、器械栓塞、冠脉闭塞等并发症,优化植入体型号选择与着陆区定位。目前覆盖 TAVR、LAAO、TTVR 三大核心术式。

  • 技术与商业化现状:

    技术优势:全球首个获 FDA/CE 认证的结构心个性化预测仿真平台,临床数据显示可使 LAAO 单器械植入成功率提升 1 倍,瓣周漏发生率降低 60%;

    商业化:已在全球 28 个国家 327 家医院落地,累计服务超 7000 例患者;与雅培、波士顿科学等主流瓣膜厂商达成深度合作,同时向器械厂商提供研发端仿真服务。

小编点评:之前在启明的时候用过,那个时候1000欧元一个病例,不能看动态情况,可以根据瓣膜植入深度来预测瓣周漏、传导阻滞风险。也不是非常准,用的不多,不知道现在如何了。

2.1.3 DASI Simulations(美国)

  • 公司基本情况:2019 年成立,总部位于美国俄亥俄州,核心团队来自克利夫兰诊所,是 FDA 认证的结构心 AI 预测模型赛道新锐企业。

  • 核心产品与功能:拥有两款 FDA 认证核心产品:①PrecisionTAVI™:全球唯一拥有 CMS 医保报销代码的 TAVR 个性化预测平台,基于 AI+4D 建模实现术前并发症精准预判,重点聚焦冠脉闭塞、瓣周漏等高风险事件,同时优化瓣膜型号选择;②DASI Dimensions™:拓展至心脏起搏、结构性心脏病其他术式的解剖分析与预测。

  • 技术与商业化现状:

    技术优势:与克利夫兰诊所联合研发,可精准预测 TAVR 术后血流动力学结果,临床验证可显著降低手术并发症与再干预率;

    商业化:2025 年与美敦力达成战略合作,推动产品在全美 TAVR 中心的落地,已进入美国主流医保支付体系,商业化进程显著加速。

小编点评:没用过,这家公司和美敦力签署了合作协议,宣传上测量误差很小,能够预测很准,看上去比FEOPS好很多,可以动态显示情况。期待试用。

2.1.5 其他海外核心厂商

目前国内医院没法收费,大部分软件用的都是3m和沛心,要不然是医生买的,要不然是企业的技术支持团队买的,其他的基本没有商业化实际应用。

2.2.1 沛心科技(苏州)

小编点评:目前在用的是这家,使用起来比较方便,界面应该是国产里面做的最好的,可以做3mensio平替。准确性方便而言大部分病例都可以满足使用。自动测量和术前风险评估这块,还是需要优化一下。

2.2.2 思创贯宇(北京)

小编点评:思创主要是适配很多医院的机器,很多医院用的都是思创,医院用的比较多,测量使用上和UI上个人觉得没那么方便,略丑,还是喜欢用3m/沛心,期待软件的优化更新。

2.2.3 博动医疗(上海)

小编点评:搏动主要是做冠脉测量分析的,OFR、QFR等等做得很好,结构心分析目前UI不如思创。

2.2.4 柏意慧心

小编点评:可能大血管有一些B端应用,Tavr这块还是停留在PPT层面,没有见到过软件和CT报告。有个软件分析类似DASI的和浙二合作中,可能快拿证了。

2.2.6 其他国内核心厂商

2.2.7 功能总结

术前CT分析:

精准性:免费FLUORO CT、Horos等>自动3mensio、Circle、沛心等

术前风险预估模型:

Feops、DASI(小规模验证、大规模准确性未知)、国产均在研发阶段

术中引导与术后预测:

  1. 术中:仅GE、飞利浦、西门子工作站有CT/超声融合提示,且目前仅静态显示位置,动态标识未达成。暂无法实时显示风险与瓣膜位移预测。

  2. 术后预测:暂无。

全球及中国市场现状与潜力分析

3.1 全球市场现状

市场规模:根据Grand View Research数据,2024年全球结构性心脏病影像市场规模达93.1亿美元,预计2025-2030年复合增长率(CAGR)为5.92%,2030年将突破130亿美元;其中AI驱动的影像分析与预测模型细分赛道增速更快,CAGR超12%。

区域格局:        

- 北美是全球最大市场,2024年市场规模23.8亿美元,占全球超50%份额,核心驱动因素为:成熟的医保支付体系(如DASI产品纳入CMS报销、Circle CVI模块纳入商业保险)、高TAVR渗透率(超15%)、领先的临床技术与厂商布局,Circle CVI、DASI等本土厂商占据了心血管影像后处理的核心市场份额;         

- 欧洲是第二大市场,FEops、3mensio等头部厂商总部均位于欧洲,TAVR渗透率超10%,临床对术前规划接受度高,订阅制收费模式成熟;         

- 亚太地区是增速最快的市场,CAGR超8%,核心增长来自中国、日本、印度等国家的结构性心脏病介入手术量快速提升。

商业化模式:海外市场已形成成熟的多元收费模式,包括:①工作站永久授权;②按病例订阅/按次收费;③与器械厂商绑定的临床支持服务;④医保按项目报销,其中按次收费与医保报销是主流厂商的核心收入来源,显著提升了产品渗透率。

3.2 中国市场现状与核心痛点

需求端:2025年国内TAVR手术量超1.86万例,同比增长8%,LAAO手术量超6万例,TMVR/TTVR等新兴术式快速增长;预计2030年国内结构性心脏病介入器械市场规模将达595亿元,手术量的爆发将带动术前影像分析需求的快速提升。

供给端:目前国内市场仍以3mensio进口产品为主,全国累计装机量不足200台,单台永久授权价格约14万元人民币,采购方主要为头部医院与瓣膜厂商临床团队;Circle CVI虽国内装机量超500台,但核心应用集中于影像科CMR分析,结构心领域规模化应用不足;国产厂商(沛心、思创、博动、睿心、柏意慧心等)处于商业化早期,整体装机量合计不足200台,尚未形成规模化收入。

市场规模:2024年国内结构心影像分析软件市场规模不足2000万元,远低于器械市场规模,处于发展初期。

3.2.2 核心痛点

收费政策缺失,商业化模式受限:

目前国内尚未将结构心术前影像分析纳入医疗服务收费目录,医院无法按病例向患者收费,仅能通过采购工作站的方式一次性付费,导致医院采购意愿极低,是制约行业发展的核心瓶颈。这与海外医保按次报销的成熟模式形成显著差距,直接导致市场规模无法随手术量同步增长。

临床认知与标准化不足:

国内结构心介入仍处于发展早期,仅头部医院形成标准化的术前规划流程,基层医院对AI影像分析的临床价值认知不足,多数仍依赖人工手动测量,产品渗透率极低;同时国内CMR临床普及率低,限制了Circle CVI等多模态产品在结构心领域的应用。

国产产品临床验证与品牌力不足:    

进口产品3mensio已形成临床金标准口碑,国产产品虽技术指标已接近进口水平,且部分产品已获得三类证,但缺乏大样本、多中心的长期临床验证数据,医生认可度仍需提升;同时产品同质化较为明显,在预测仿真、多模态融合等高端赛道布局较少。

3.3 中国市场潜力分析

长期增长天花板极高:

国内TAVR渗透率底,远低于欧美15%的水平,未来10年手术量很大增长空间。若按次收费政策放开,单例手术影像分析收费按2000元计算,仅TAVR赛道年市场规模即可突破10亿元,叠加LAAO、二尖瓣/三尖瓣等术式,整体市场规模有望突破30亿元。

国产替代确定性强:

国产产品(沛心、思创等)在本土化适配、价格、服务响应速度上具备显著优势,单套系统价格仅为进口产品的20%-70%,同时可针对中国患者二叶式主动脉瓣占比高的特点优化算法,且部分企业已获得三类证,具备合规优势,随着临床验证数据的积累,将逐步实现对3mensio的替代。

政策与产业协同驱动:

随着TAVR产品纳入医保、手术量向基层医院下沉,术前规划的标准化需求将快速提升,推动收费政策的逐步落地;同时国产瓣膜厂商的快速崛起,将带动国产影像分析系统的配套采购,形成“器械+软件”的协同发展格局。

技术升级带来增量空间:

国产厂商(如沛心)正从单一的术前规划,向“术前预测+术中导航+术后随访”全流程解决方案升级,同时拓展云端化、AI仿真、多模态影像融合等高端功能,有望打开To B(器械厂商研发服务)、To C(患者长期随访)等新增量市场。

目前国家正在试点和推进此类操作,需一定周期。

行业发展趋势与核心挑战

4.1 核心发展趋势

从“影像测量”向“预测仿真”升级:

行业核心竞争力正从自动化分割测量,转向手术结果预测与并发症防控,数字孪生、AI+CFD仿真成为技术竞争的核心,头部厂商均在布局全流程预测解决方案,实现从“辅助规划”到“决策指导”的跨越。

多模态影像融合成为主流方向:

单一CT影像已无法满足复杂术式的需求,CT/MRI/超声/DSA多模态影像融合、术前影像与术中实时影像配准,成为下一代产品的核心标配,可实现从术前规划到术中导航的全流程支持。以Circle CVI cvi42为代表的产品,已实现CT/MRI多模态影像的深度融合与一体化分析,成为下一代结构心影像平台的标杆范式。

“软件+器械”深度绑定,生态化发展:

影像分析软件与瓣膜/封堵器厂商的协同越来越紧密,厂商通过联合研发、配套采购、临床服务合作等方式深度绑定,形成“器械选型-术前规划-术中适配”的闭环,同时软件厂商为器械厂商提供研发端的仿真服务,打开第二增长曲线。

云端化与国产化替代加速:

云端部署可降低医院采购门槛,实现按次收费,是未来核心的商业化方向;同时国内政策鼓励医疗设备国产化,本土厂商将迎来快速发展期,逐步实现从“跟跑”到“并跑”的跨越。

4.2 行业核心挑战

1、监管与支付政策落地进度不及预期:国内医疗服务收费审批流程较长,按次收费政策的落地时间存在不确定性,是制约行业短期增长的最大风险;同时三类医疗器械注册审批周期长,产品商业化进程较慢。

2、临床数据与算法迭代的壁垒:AI模型的优化依赖大量高质量的标注影像数据与临床结局数据,国内多中心、标准化的结构心影像数据库尚未建立,头部医院的数据壁垒较高,中小厂商(含部分国产厂商)算法迭代面临数据瓶颈。

3、高端技术与海外头部厂商仍有差距:在数字孪生、血流动力学仿真、多模态影像融合等高端赛道,国内厂商布局较晚,与FEops、DASI等海外厂商相比,缺乏长期的临床验证数据与核心专利,在全球市场竞争力不足。

4、行业人才短缺:结构心影像分析需要同时精通心血管临床、医学影像、深度学习、计算流体力学的复合型人才,国内相关人才储备严重不足,制约行业技术创新速度。

总结与展望

结构性心脏病影像分析与预测模型,是结构性心脏病介入治疗的“精准导航系统”,是决定手术成功率与患者预后的关键基础设施。目前全球市场已进入快速发展期,海外市场依托成熟的支付体系与临床需求,已形成3mensio、FEops、DASI、Circle CVI等头部厂商主导的竞争格局,技术路径已从单一CT影像测量,向多模态融合、全周期预测仿真升级;而中国市场仍处于发展初期,核心瓶颈在于收费政策缺失,整体市场规模极小,但长期增长潜力巨大,是医疗AI领域最具确定性的黄金赛道之一。

短期来看,国内市场的核心机会在于国产替代,本土厂商可通过性价比、本土化服务、与器械厂商协同,逐步替代3mensio的市场份额;长期来看,具备全流程技术布局、预测仿真与多模态融合核心能力、完善临床验证数据的厂商,将在政策落地后迎来爆发式增长,最终成长为中国市场的龙头企业,甚至实现全球化布局。

对于行业参与者而言,核心竞争策略应聚焦于:①加快核心技术研发,布局预测仿真与多模态融合等高端赛道,构建技术壁垒;②加强与头部医院的临床合作,积累大样本多中心临床数据,提升医生认可度;③推动与器械厂商的深度绑定,形成生态协同,提前锁定市场份额;④积极参与行业标准与收费政策的制定,推动行业商业化环境的完善。

最新文章

随机文章

基本 文件 流程 错误 SQL 调试
  1. 请求信息 : 2026-04-25 20:25:45 HTTP/2.0 GET : https://67808.cn/a/472648.html
  2. 运行时间 : 0.092016s [ 吞吐率:10.87req/s ] 内存消耗:4,562.55kb 文件加载:140
  3. 缓存信息 : 0 reads,0 writes
  4. 会话信息 : SESSION_ID=60c8bb76177d260ba3881dc6ec98ff76
  1. /yingpanguazai/ssd/ssd1/www/no.67808.cn/public/index.php ( 0.79 KB )
  2. /yingpanguazai/ssd/ssd1/www/no.67808.cn/vendor/autoload.php ( 0.17 KB )
  3. /yingpanguazai/ssd/ssd1/www/no.67808.cn/vendor/composer/autoload_real.php ( 2.49 KB )
  4. /yingpanguazai/ssd/ssd1/www/no.67808.cn/vendor/composer/platform_check.php ( 0.90 KB )
  5. /yingpanguazai/ssd/ssd1/www/no.67808.cn/vendor/composer/ClassLoader.php ( 14.03 KB )
  6. /yingpanguazai/ssd/ssd1/www/no.67808.cn/vendor/composer/autoload_static.php ( 4.90 KB )
  7. /yingpanguazai/ssd/ssd1/www/no.67808.cn/vendor/topthink/think-helper/src/helper.php ( 8.34 KB )
  8. /yingpanguazai/ssd/ssd1/www/no.67808.cn/vendor/topthink/think-validate/src/helper.php ( 2.19 KB )
  9. /yingpanguazai/ssd/ssd1/www/no.67808.cn/vendor/topthink/think-orm/src/helper.php ( 1.47 KB )
  10. /yingpanguazai/ssd/ssd1/www/no.67808.cn/vendor/topthink/think-orm/stubs/load_stubs.php ( 0.16 KB )
  11. /yingpanguazai/ssd/ssd1/www/no.67808.cn/vendor/topthink/framework/src/think/Exception.php ( 1.69 KB )
  12. /yingpanguazai/ssd/ssd1/www/no.67808.cn/vendor/topthink/think-container/src/Facade.php ( 2.71 KB )
  13. /yingpanguazai/ssd/ssd1/www/no.67808.cn/vendor/symfony/deprecation-contracts/function.php ( 0.99 KB )
  14. /yingpanguazai/ssd/ssd1/www/no.67808.cn/vendor/symfony/polyfill-mbstring/bootstrap.php ( 8.26 KB )
  15. /yingpanguazai/ssd/ssd1/www/no.67808.cn/vendor/symfony/polyfill-mbstring/bootstrap80.php ( 9.78 KB )
  16. /yingpanguazai/ssd/ssd1/www/no.67808.cn/vendor/symfony/var-dumper/Resources/functions/dump.php ( 1.49 KB )
  17. /yingpanguazai/ssd/ssd1/www/no.67808.cn/vendor/topthink/think-dumper/src/helper.php ( 0.18 KB )
  18. /yingpanguazai/ssd/ssd1/www/no.67808.cn/vendor/symfony/var-dumper/VarDumper.php ( 4.30 KB )
  19. /yingpanguazai/ssd/ssd1/www/no.67808.cn/vendor/topthink/framework/src/think/App.php ( 15.30 KB )
  20. /yingpanguazai/ssd/ssd1/www/no.67808.cn/vendor/topthink/think-container/src/Container.php ( 15.76 KB )
  21. /yingpanguazai/ssd/ssd1/www/no.67808.cn/vendor/psr/container/src/ContainerInterface.php ( 1.02 KB )
  22. /yingpanguazai/ssd/ssd1/www/no.67808.cn/app/provider.php ( 0.19 KB )
  23. /yingpanguazai/ssd/ssd1/www/no.67808.cn/vendor/topthink/framework/src/think/Http.php ( 6.04 KB )
  24. /yingpanguazai/ssd/ssd1/www/no.67808.cn/vendor/topthink/think-helper/src/helper/Str.php ( 7.29 KB )
  25. /yingpanguazai/ssd/ssd1/www/no.67808.cn/vendor/topthink/framework/src/think/Env.php ( 4.68 KB )
  26. /yingpanguazai/ssd/ssd1/www/no.67808.cn/app/common.php ( 0.03 KB )
  27. /yingpanguazai/ssd/ssd1/www/no.67808.cn/vendor/topthink/framework/src/helper.php ( 18.78 KB )
  28. /yingpanguazai/ssd/ssd1/www/no.67808.cn/vendor/topthink/framework/src/think/Config.php ( 5.54 KB )
  29. /yingpanguazai/ssd/ssd1/www/no.67808.cn/config/app.php ( 0.95 KB )
  30. /yingpanguazai/ssd/ssd1/www/no.67808.cn/config/cache.php ( 0.78 KB )
  31. /yingpanguazai/ssd/ssd1/www/no.67808.cn/config/console.php ( 0.23 KB )
  32. /yingpanguazai/ssd/ssd1/www/no.67808.cn/config/cookie.php ( 0.56 KB )
  33. /yingpanguazai/ssd/ssd1/www/no.67808.cn/config/database.php ( 2.48 KB )
  34. /yingpanguazai/ssd/ssd1/www/no.67808.cn/vendor/topthink/framework/src/think/facade/Env.php ( 1.67 KB )
  35. /yingpanguazai/ssd/ssd1/www/no.67808.cn/config/filesystem.php ( 0.61 KB )
  36. /yingpanguazai/ssd/ssd1/www/no.67808.cn/config/lang.php ( 0.91 KB )
  37. /yingpanguazai/ssd/ssd1/www/no.67808.cn/config/log.php ( 1.35 KB )
  38. /yingpanguazai/ssd/ssd1/www/no.67808.cn/config/middleware.php ( 0.19 KB )
  39. /yingpanguazai/ssd/ssd1/www/no.67808.cn/config/route.php ( 1.89 KB )
  40. /yingpanguazai/ssd/ssd1/www/no.67808.cn/config/session.php ( 0.57 KB )
  41. /yingpanguazai/ssd/ssd1/www/no.67808.cn/config/trace.php ( 0.34 KB )
  42. /yingpanguazai/ssd/ssd1/www/no.67808.cn/config/view.php ( 0.82 KB )
  43. /yingpanguazai/ssd/ssd1/www/no.67808.cn/app/event.php ( 0.25 KB )
  44. /yingpanguazai/ssd/ssd1/www/no.67808.cn/vendor/topthink/framework/src/think/Event.php ( 7.67 KB )
  45. /yingpanguazai/ssd/ssd1/www/no.67808.cn/app/service.php ( 0.13 KB )
  46. /yingpanguazai/ssd/ssd1/www/no.67808.cn/app/AppService.php ( 0.26 KB )
  47. /yingpanguazai/ssd/ssd1/www/no.67808.cn/vendor/topthink/framework/src/think/Service.php ( 1.64 KB )
  48. /yingpanguazai/ssd/ssd1/www/no.67808.cn/vendor/topthink/framework/src/think/Lang.php ( 7.35 KB )
  49. /yingpanguazai/ssd/ssd1/www/no.67808.cn/vendor/topthink/framework/src/lang/zh-cn.php ( 13.70 KB )
  50. /yingpanguazai/ssd/ssd1/www/no.67808.cn/vendor/topthink/framework/src/think/initializer/Error.php ( 3.31 KB )
  51. /yingpanguazai/ssd/ssd1/www/no.67808.cn/vendor/topthink/framework/src/think/initializer/RegisterService.php ( 1.33 KB )
  52. /yingpanguazai/ssd/ssd1/www/no.67808.cn/vendor/services.php ( 0.14 KB )
  53. /yingpanguazai/ssd/ssd1/www/no.67808.cn/vendor/topthink/framework/src/think/service/PaginatorService.php ( 1.52 KB )
  54. /yingpanguazai/ssd/ssd1/www/no.67808.cn/vendor/topthink/framework/src/think/service/ValidateService.php ( 0.99 KB )
  55. /yingpanguazai/ssd/ssd1/www/no.67808.cn/vendor/topthink/framework/src/think/service/ModelService.php ( 2.04 KB )
  56. /yingpanguazai/ssd/ssd1/www/no.67808.cn/vendor/topthink/think-trace/src/Service.php ( 0.77 KB )
  57. /yingpanguazai/ssd/ssd1/www/no.67808.cn/vendor/topthink/framework/src/think/Middleware.php ( 6.72 KB )
  58. /yingpanguazai/ssd/ssd1/www/no.67808.cn/vendor/topthink/framework/src/think/initializer/BootService.php ( 0.77 KB )
  59. /yingpanguazai/ssd/ssd1/www/no.67808.cn/vendor/topthink/think-orm/src/Paginator.php ( 11.86 KB )
  60. /yingpanguazai/ssd/ssd1/www/no.67808.cn/vendor/topthink/think-validate/src/Validate.php ( 63.20 KB )
  61. /yingpanguazai/ssd/ssd1/www/no.67808.cn/vendor/topthink/think-orm/src/Model.php ( 23.55 KB )
  62. /yingpanguazai/ssd/ssd1/www/no.67808.cn/vendor/topthink/think-orm/src/model/concern/Attribute.php ( 21.05 KB )
  63. /yingpanguazai/ssd/ssd1/www/no.67808.cn/vendor/topthink/think-orm/src/model/concern/AutoWriteData.php ( 4.21 KB )
  64. /yingpanguazai/ssd/ssd1/www/no.67808.cn/vendor/topthink/think-orm/src/model/concern/Conversion.php ( 6.44 KB )
  65. /yingpanguazai/ssd/ssd1/www/no.67808.cn/vendor/topthink/think-orm/src/model/concern/DbConnect.php ( 5.16 KB )
  66. /yingpanguazai/ssd/ssd1/www/no.67808.cn/vendor/topthink/think-orm/src/model/concern/ModelEvent.php ( 2.33 KB )
  67. /yingpanguazai/ssd/ssd1/www/no.67808.cn/vendor/topthink/think-orm/src/model/concern/RelationShip.php ( 28.29 KB )
  68. /yingpanguazai/ssd/ssd1/www/no.67808.cn/vendor/topthink/think-helper/src/contract/Arrayable.php ( 0.09 KB )
  69. /yingpanguazai/ssd/ssd1/www/no.67808.cn/vendor/topthink/think-helper/src/contract/Jsonable.php ( 0.13 KB )
  70. /yingpanguazai/ssd/ssd1/www/no.67808.cn/vendor/topthink/think-orm/src/model/contract/Modelable.php ( 0.09 KB )
  71. /yingpanguazai/ssd/ssd1/www/no.67808.cn/vendor/topthink/framework/src/think/Db.php ( 2.88 KB )
  72. /yingpanguazai/ssd/ssd1/www/no.67808.cn/vendor/topthink/think-orm/src/DbManager.php ( 8.52 KB )
  73. /yingpanguazai/ssd/ssd1/www/no.67808.cn/vendor/topthink/framework/src/think/Log.php ( 6.28 KB )
  74. /yingpanguazai/ssd/ssd1/www/no.67808.cn/vendor/topthink/framework/src/think/Manager.php ( 3.92 KB )
  75. /yingpanguazai/ssd/ssd1/www/no.67808.cn/vendor/psr/log/src/LoggerTrait.php ( 2.69 KB )
  76. /yingpanguazai/ssd/ssd1/www/no.67808.cn/vendor/psr/log/src/LoggerInterface.php ( 2.71 KB )
  77. /yingpanguazai/ssd/ssd1/www/no.67808.cn/vendor/topthink/framework/src/think/Cache.php ( 4.92 KB )
  78. /yingpanguazai/ssd/ssd1/www/no.67808.cn/vendor/psr/simple-cache/src/CacheInterface.php ( 4.71 KB )
  79. /yingpanguazai/ssd/ssd1/www/no.67808.cn/vendor/topthink/think-helper/src/helper/Arr.php ( 16.63 KB )
  80. /yingpanguazai/ssd/ssd1/www/no.67808.cn/vendor/topthink/framework/src/think/cache/driver/File.php ( 7.84 KB )
  81. /yingpanguazai/ssd/ssd1/www/no.67808.cn/vendor/topthink/framework/src/think/cache/Driver.php ( 9.03 KB )
  82. /yingpanguazai/ssd/ssd1/www/no.67808.cn/vendor/topthink/framework/src/think/contract/CacheHandlerInterface.php ( 1.99 KB )
  83. /yingpanguazai/ssd/ssd1/www/no.67808.cn/app/Request.php ( 0.09 KB )
  84. /yingpanguazai/ssd/ssd1/www/no.67808.cn/vendor/topthink/framework/src/think/Request.php ( 55.78 KB )
  85. /yingpanguazai/ssd/ssd1/www/no.67808.cn/app/middleware.php ( 0.25 KB )
  86. /yingpanguazai/ssd/ssd1/www/no.67808.cn/vendor/topthink/framework/src/think/Pipeline.php ( 2.61 KB )
  87. /yingpanguazai/ssd/ssd1/www/no.67808.cn/vendor/topthink/think-trace/src/TraceDebug.php ( 3.40 KB )
  88. /yingpanguazai/ssd/ssd1/www/no.67808.cn/vendor/topthink/framework/src/think/middleware/SessionInit.php ( 1.94 KB )
  89. /yingpanguazai/ssd/ssd1/www/no.67808.cn/vendor/topthink/framework/src/think/Session.php ( 1.80 KB )
  90. /yingpanguazai/ssd/ssd1/www/no.67808.cn/vendor/topthink/framework/src/think/session/driver/File.php ( 6.27 KB )
  91. /yingpanguazai/ssd/ssd1/www/no.67808.cn/vendor/topthink/framework/src/think/contract/SessionHandlerInterface.php ( 0.87 KB )
  92. /yingpanguazai/ssd/ssd1/www/no.67808.cn/vendor/topthink/framework/src/think/session/Store.php ( 7.12 KB )
  93. /yingpanguazai/ssd/ssd1/www/no.67808.cn/vendor/topthink/framework/src/think/Route.php ( 23.73 KB )
  94. /yingpanguazai/ssd/ssd1/www/no.67808.cn/vendor/topthink/framework/src/think/route/RuleName.php ( 5.75 KB )
  95. /yingpanguazai/ssd/ssd1/www/no.67808.cn/vendor/topthink/framework/src/think/route/Domain.php ( 2.53 KB )
  96. /yingpanguazai/ssd/ssd1/www/no.67808.cn/vendor/topthink/framework/src/think/route/RuleGroup.php ( 22.43 KB )
  97. /yingpanguazai/ssd/ssd1/www/no.67808.cn/vendor/topthink/framework/src/think/route/Rule.php ( 26.95 KB )
  98. /yingpanguazai/ssd/ssd1/www/no.67808.cn/vendor/topthink/framework/src/think/route/RuleItem.php ( 9.78 KB )
  99. /yingpanguazai/ssd/ssd1/www/no.67808.cn/route/app.php ( 1.72 KB )
  100. /yingpanguazai/ssd/ssd1/www/no.67808.cn/vendor/topthink/framework/src/think/facade/Route.php ( 4.70 KB )
  101. /yingpanguazai/ssd/ssd1/www/no.67808.cn/vendor/topthink/framework/src/think/route/dispatch/Controller.php ( 4.74 KB )
  102. /yingpanguazai/ssd/ssd1/www/no.67808.cn/vendor/topthink/framework/src/think/route/Dispatch.php ( 10.44 KB )
  103. /yingpanguazai/ssd/ssd1/www/no.67808.cn/app/controller/Index.php ( 4.81 KB )
  104. /yingpanguazai/ssd/ssd1/www/no.67808.cn/app/BaseController.php ( 2.05 KB )
  105. /yingpanguazai/ssd/ssd1/www/no.67808.cn/vendor/topthink/think-orm/src/facade/Db.php ( 0.93 KB )
  106. /yingpanguazai/ssd/ssd1/www/no.67808.cn/vendor/topthink/think-orm/src/db/connector/Mysql.php ( 5.44 KB )
  107. /yingpanguazai/ssd/ssd1/www/no.67808.cn/vendor/topthink/think-orm/src/db/PDOConnection.php ( 52.47 KB )
  108. /yingpanguazai/ssd/ssd1/www/no.67808.cn/vendor/topthink/think-orm/src/db/Connection.php ( 8.39 KB )
  109. /yingpanguazai/ssd/ssd1/www/no.67808.cn/vendor/topthink/think-orm/src/db/ConnectionInterface.php ( 4.57 KB )
  110. /yingpanguazai/ssd/ssd1/www/no.67808.cn/vendor/topthink/think-orm/src/db/builder/Mysql.php ( 16.58 KB )
  111. /yingpanguazai/ssd/ssd1/www/no.67808.cn/vendor/topthink/think-orm/src/db/Builder.php ( 24.06 KB )
  112. /yingpanguazai/ssd/ssd1/www/no.67808.cn/vendor/topthink/think-orm/src/db/BaseBuilder.php ( 27.50 KB )
  113. /yingpanguazai/ssd/ssd1/www/no.67808.cn/vendor/topthink/think-orm/src/db/Query.php ( 15.71 KB )
  114. /yingpanguazai/ssd/ssd1/www/no.67808.cn/vendor/topthink/think-orm/src/db/BaseQuery.php ( 45.13 KB )
  115. /yingpanguazai/ssd/ssd1/www/no.67808.cn/vendor/topthink/think-orm/src/db/concern/TimeFieldQuery.php ( 7.43 KB )
  116. /yingpanguazai/ssd/ssd1/www/no.67808.cn/vendor/topthink/think-orm/src/db/concern/AggregateQuery.php ( 3.26 KB )
  117. /yingpanguazai/ssd/ssd1/www/no.67808.cn/vendor/topthink/think-orm/src/db/concern/ModelRelationQuery.php ( 20.07 KB )
  118. /yingpanguazai/ssd/ssd1/www/no.67808.cn/vendor/topthink/think-orm/src/db/concern/ParamsBind.php ( 3.66 KB )
  119. /yingpanguazai/ssd/ssd1/www/no.67808.cn/vendor/topthink/think-orm/src/db/concern/ResultOperation.php ( 7.01 KB )
  120. /yingpanguazai/ssd/ssd1/www/no.67808.cn/vendor/topthink/think-orm/src/db/concern/WhereQuery.php ( 19.37 KB )
  121. /yingpanguazai/ssd/ssd1/www/no.67808.cn/vendor/topthink/think-orm/src/db/concern/JoinAndViewQuery.php ( 7.11 KB )
  122. /yingpanguazai/ssd/ssd1/www/no.67808.cn/vendor/topthink/think-orm/src/db/concern/TableFieldInfo.php ( 2.63 KB )
  123. /yingpanguazai/ssd/ssd1/www/no.67808.cn/vendor/topthink/think-orm/src/db/concern/Transaction.php ( 2.77 KB )
  124. /yingpanguazai/ssd/ssd1/www/no.67808.cn/vendor/topthink/framework/src/think/log/driver/File.php ( 5.96 KB )
  125. /yingpanguazai/ssd/ssd1/www/no.67808.cn/vendor/topthink/framework/src/think/contract/LogHandlerInterface.php ( 0.86 KB )
  126. /yingpanguazai/ssd/ssd1/www/no.67808.cn/vendor/topthink/framework/src/think/log/Channel.php ( 3.89 KB )
  127. /yingpanguazai/ssd/ssd1/www/no.67808.cn/vendor/topthink/framework/src/think/event/LogRecord.php ( 1.02 KB )
  128. /yingpanguazai/ssd/ssd1/www/no.67808.cn/vendor/topthink/think-helper/src/Collection.php ( 16.47 KB )
  129. /yingpanguazai/ssd/ssd1/www/no.67808.cn/vendor/topthink/framework/src/think/facade/View.php ( 1.70 KB )
  130. /yingpanguazai/ssd/ssd1/www/no.67808.cn/vendor/topthink/framework/src/think/View.php ( 4.39 KB )
  131. /yingpanguazai/ssd/ssd1/www/no.67808.cn/vendor/topthink/framework/src/think/Response.php ( 8.81 KB )
  132. /yingpanguazai/ssd/ssd1/www/no.67808.cn/vendor/topthink/framework/src/think/response/View.php ( 3.29 KB )
  133. /yingpanguazai/ssd/ssd1/www/no.67808.cn/vendor/topthink/framework/src/think/Cookie.php ( 6.06 KB )
  134. /yingpanguazai/ssd/ssd1/www/no.67808.cn/vendor/topthink/think-view/src/Think.php ( 8.38 KB )
  135. /yingpanguazai/ssd/ssd1/www/no.67808.cn/vendor/topthink/framework/src/think/contract/TemplateHandlerInterface.php ( 1.60 KB )
  136. /yingpanguazai/ssd/ssd1/www/no.67808.cn/vendor/topthink/think-template/src/Template.php ( 46.61 KB )
  137. /yingpanguazai/ssd/ssd1/www/no.67808.cn/vendor/topthink/think-template/src/template/driver/File.php ( 2.41 KB )
  138. /yingpanguazai/ssd/ssd1/www/no.67808.cn/vendor/topthink/think-template/src/template/contract/DriverInterface.php ( 0.86 KB )
  139. /yingpanguazai/ssd/ssd1/www/no.67808.cn/runtime/temp/6df755f970a38e704c5414acbc6e8bcd.php ( 12.06 KB )
  140. /yingpanguazai/ssd/ssd1/www/no.67808.cn/vendor/topthink/think-trace/src/Html.php ( 4.42 KB )
  1. CONNECT:[ UseTime:0.000343s ] mysql:host=127.0.0.1;port=3306;dbname=no_67808;charset=utf8mb4
  2. SHOW FULL COLUMNS FROM `fenlei` [ RunTime:0.000523s ]
  3. SELECT * FROM `fenlei` WHERE `fid` = 0 [ RunTime:0.000293s ]
  4. SELECT * FROM `fenlei` WHERE `fid` = 63 [ RunTime:0.000259s ]
  5. SHOW FULL COLUMNS FROM `set` [ RunTime:0.000506s ]
  6. SELECT * FROM `set` [ RunTime:0.000208s ]
  7. SHOW FULL COLUMNS FROM `article` [ RunTime:0.000568s ]
  8. SELECT * FROM `article` WHERE `id` = 472648 LIMIT 1 [ RunTime:0.000445s ]
  9. UPDATE `article` SET `lasttime` = 1777119945 WHERE `id` = 472648 [ RunTime:0.000653s ]
  10. SELECT * FROM `fenlei` WHERE `id` = 65 LIMIT 1 [ RunTime:0.000218s ]
  11. SELECT * FROM `article` WHERE `id` < 472648 ORDER BY `id` DESC LIMIT 1 [ RunTime:0.000462s ]
  12. SELECT * FROM `article` WHERE `id` > 472648 ORDER BY `id` ASC LIMIT 1 [ RunTime:0.004080s ]
  13. SELECT * FROM `article` WHERE `id` < 472648 ORDER BY `id` DESC LIMIT 10 [ RunTime:0.006354s ]
  14. SELECT * FROM `article` WHERE `id` < 472648 ORDER BY `id` DESC LIMIT 10,10 [ RunTime:0.006367s ]
  15. SELECT * FROM `article` WHERE `id` < 472648 ORDER BY `id` DESC LIMIT 20,10 [ RunTime:0.004378s ]
0.093629s