当前位置:首页>学习笔记>肩关节复合体肌肉与运动学习笔记

肩关节复合体肌肉与运动学习笔记

  • 2026-05-22 07:26:07
肩关节复合体肌肉与运动学习笔记
注:本文只分享肩袖肌群以外的其余肩关节复合体肌肉,关于肩袖的解剖分析请搜索阅读往期文章🤝
胸小肌和前锯肌是仅有的两块直接从胸部连接到肩胛骨的肌肉
胸小肌
起点:第3~5肋
止点:肩胛骨缘突
神经:胸前内侧神经(C8、T1),发自臂丛内侧索。
胸小肌起自助骨(第3~5肋),止于肩胛骨缘突;是导致肩胛骨前倾的主要肌肉。如果这块肌肉处于高张力或促进状态,则容易导致肩部前倾。
该肌肉的正常功能是前伸、下降和下回旋肩胛骨,此外还有辅助呼吸的作用(与第3~5肋相连),呼吸障碍被认为是导致胸小肌张力过高或过度挛缩的主要原因之一。臂丛神经血管束(C5~T1)和锁骨下动脉直接从胸小肌下方通过,故这块肌肉的持续收缩也可能导致胸廓出口综合征(TOS)。
前锯肌
起点:第 1~8/9 肋。
止点:肩胛骨脊柱内缘的前表面。
神经:胸长神经(C5、C6、C7)
在所有附着于肩关节复合体上的肌肉中,前锯肌被认为是肩胛骨的主要稳定肌。该肌肉起始于第1~8/9肋,止于肩胛骨内侧,其功能是前伸、外展和上回旋肩胛骨
然而,其最主要的功能是将肩胛骨稳定在胸廓上。该肌肉(特别是下部纤维)的肌力减弱可以在肩胛骨完成过顶运动过程中(如外展和屈曲)的上提动作时观察到。此时肩胛骨出现功能失调的运动模式,特别是当手臂从头顶位置返回时,即翼状肩。胸长神经(C5~C7)的损伤,可能会导致肩胛骨永久性的翼状突起。
胸大肌
起点:锁骨胸骨端,即锁骨前面的内侧1/2或2/3。胸肋部,即胸骨及相邻的上6根肋软骨
止点:肱骨结节间沟(肱二头肌沟)的外侧唇。
神经:上行神经纤维,即胸外侧神经(C5、C6、C7)。下行神经纤维,即胸外侧和内侧神经(C6、C7、C8、T1)。
胸大肌是唯一连接胸廓前侧和肱骨的肌肉,其功能是内旋并水平内收(屈曲)肱骨。例如,胸大肌锁骨部屈曲(从伸展)并内旋肩关节,向对侧肩关节水平内收肱骨。
胸大肌胸肋部从外展位朝向对侧髋缓慢内收肱骨,同时后伸(屈曲)并内旋肱骨。如果固定手臂,那么胸大肌和胸小肌协同作用就可以拉动躯干朝向固定的肱骨方向活动(拉起动作)。因此,该肌肉是主要的攀登肌肉之一,能够将身体向上拉到固定的手臂位置处。
大圆肌
起点:肩胛骨下角及外侧缘。
止点:肱骨上部的小结节。
神经:肩胛下神经(C5、C6),起源于臂丛后索。
与肩袖肌的重要组成之一小圆肌相比,大圆肌是一块较大的圆形肌肉。该肌肉与背阔肌协同完成内收、后伸和内旋孟肱关节。
喙肱肌
起点: 肩胛骨缘突。
止点: 肱骨内侧缘的中部。
神经: 肌皮神经(C5、C6),起源于臂丛上、中干的前支。
喙肱肌: 顾名思义,从喙突连接到肱骨(臂)。这块肌肉是肱骨的弱屈肌和内收肌,如果这块肌肉变得张力很高,肩胛骨可能会向前倾斜,使肩膀呈圆弧形
三角肌
起点:锁骨、肩峰外侧和肩胛冈。
止点:肱骨中部的三角肌粗隆。
神经:腋神经(C5、C6)。
三角肌有3组纤维:前部纤维负责肩关节的屈曲、水平内收及内旋;中部纤维辅助冈上肌进行外展运动;后部纤维负责后伸、水平外展,并使肩关节外旋。
如果冈下肌和小圆肌肌力减弱或被抑制,那么三角肌的后部纤维就会成为原动力;若如此,则有可能迫使肱骨头向前移动,通过在关节孟内向前拉动肱骨头引起肱骨前滑脱综合征。
背阔肌
起点:起自第 7~12 胸椎,以及所有腰椎和髋椎棘突上的宽大肌腱(T7~S5)。略略后部,以及下部 3/4 肋面及肩胛下角
止点:止于肱骨结节间沟(肱二头肌沟),正好在肩关节下方。
神经:胸背神经(C6、C7、C8),来自臂丛神经后束
背阔肌有多种功能,从肩关节的角度看,这块肌肉起到外展、内旋和内收肩关节的作用。它是肩关节复合体所有肌肉中唯一一块从脊柱连接到肱骨的肌肉。由于它的下部纤维与下部 3/4 肋相连,故背阔肌也可以通过提肋来协助用力呼吸。
由于背阔肌的斜行纤维交叉并附着于肩胛骨下角,故可通过控制肩胛骨在胸廓周围的侧下方运动来辅助斜方肌下部和前锯肌的活动。该肌肉也是后纵链(外核心系统)的一部分,它连接胸腰筋膜和对侧臀大肌。这些肌肉和筋膜是外核肌筋膜系统的一部分,该系统通过力闭合机制对骶髂关节(SIJ)的稳定性起着不可或缺的作用。
背阔肌也被认为是SIJ、腰椎和胸部的主要稳定器之一,并且能够加速和减缓躯干和脊柱的旋转活动。如果由于对侧(相反)臀大肌存在潜在的减弱或抑制而导致背阔肌过度激活或张力过高而无法发挥作用时,背阔肌将代替臀大肌成为SIJ的稳定结构。这种情况下肩关节生物力学将发生改变,这是由背阔肌与肱骨和肩胛骨特定的附着点的位置决定的。这会导致肩胛骨前倾和下降,造成肩胛提肌和斜方肌上部的过度活动。随着时间的推移,反复出现这些不协调的功能模式将导致患者出现颈部和肩部疼痛。
背阔肌与肩胛骨下角相连,因此它将与菱形肌和肩胛提肌一起帮助肩胛骨完成下降和下回旋。
斜方肌
起点: 颅底(枕骨)。第7颈椎(C7)和全胸椎(T1~T12)的棘突。
止点: 锁骨外1/3,肩峰突,肩胛冈。
神经:副神经(XI)。颈神经腹支(C2、C3、C4)。
肩胛提肌
起点:第1~3/4颈椎的横突(C1~C4)。
止点:肩胛骨上角和肩胛骨内侧缘的上部
神经:肩胛背神经(C4、C5)和颈丛神经(C3、C4)。
斜方肌,尤其是其上部纤维能上提肩胛骨,帮助颈椎侧屈。由于功能相似,斜方肌上部纤维常与肩胛提肌协同作用;但在某些情况下,它们又是相互拮抗(相反)的。例如,肩胛提肌会使颈椎向同侧旋转,此时斜方肌上部纤维将帮助颈椎向对侧旋转。斜方肌上、下部及前锯肌协调工作使肩胛骨上回旋,而肩胛提肌与胸小肌和菱形肌协同工作使肩胛骨下回旋。
斜方肌中部与大、小菱形肌协同工作,以后缩肩胛骨。
大、小菱形肌
起点:小菱形肌,C7 和 T1 棘突。大菱形肌,T2~T5 棘突。
止点:肩胛骨的内侧缘。
神经:肩胛背神经(C4、C5)
肱二头肌
起点:长头附着于孟上结节,短头附着于嵴突。
止点:前臂深筋腱膜和桡骨粗隆。
神经:肌皮神经(C5、C6)
我将肱二头肌定义为食物肌。举个例子:当你去捡苹果时,会先用手指抓住水果;继而是前臂旋后(二头肌的主要功能),将苹果送到嘴边,此时肘部和肩部会屈曲,故肱二头肌参与了这三个动作。肱二头肌是独特的,因为除了上面提到的功能外,它还有很多其他的作用。它起自肩胛骨孟上结节的孟唇,正好在关节孟的正上方,穿过关节囊,经位于大结节和小结节间的肱二头肌沟或结节间沟下降。肱二头肌长头通过肱骨横韧带稳定在结节间的深槽内。如果发生韧带撕裂,由于长头在凹槽中来回弹跳,会出现折断样综合征。肱二头肌长头与短头(从肩胛骨的缘突向下降)连接形成肌腹,并继续移行成肌腱,肌腱止于烧骨粗隆上,同时也附着在被称为二头肌腱膜的筋膜(结缔组织)层上。
肱二头肌长头与 4 块肩袖肌协同工作,因为从解剖位置上看,它有助于维持肱骨前部的稳定。肩关节复合体的生物力学变化,例如肱骨内旋或肩胛骨前倾等位置变化。可能会因为肱二头肌长头过度使用而导致炎症,这被称为肱二头肌腱炎。
肱二头肌长头可能发生撕脱伤,因为它的肌腱附着于孟上结节,即孟唇的一部分。如果肌腱确实从孟唇部撕裂,则通常被称为 SLAP(肩胛上孟唇自前向后撕裂伤)损伤。
肱二头肌长头也是导致或至少是参与粘连性关节囊炎(冻结肩)发展过程的重要因素。
肱三头肌
起点: 长头附着在肩胛骨盂下结节,内侧和外侧头部附着在肱骨背侧小梁。
止点: 尺骨鹰嘴突。
神经: 桡神经(C5、C6、C7、C8、T1)
顾名思义, 三头肌有3个头,而其中长头对肩关节复合体的运动尤为重要。长头与同侧背阔肌和大圆肌协同工作,帮助内收和外展肩关节。肱三头肌腱与后囊相连,也是影响肩关节稳定性的重要机制。
肩胛舌骨肌
起于肩胛骨上缘、肩胛横韧带,止于舌骨体外侧半,分为上腹、下腹,上、下两肌腹间以位于胸锁乳突肌下部深面的中间腱相连;

颈固有筋膜深层在中间腱部有不同程度增厚,形成中间腱鞘,包绕中间腱,当肩胛舌骨肌收缩时起着固定作用,改变其牵引力方向,限制前移。

肩胛舌骨肌由颈襻 C1-3 神经支配,其中颈襻 C1 支配上腹,颈襻 C2-3 支配下腹,且上腹血供主要来自甲状腺上动脉,下腹血供主要来自肩胛上动脉,血供多与支配肩胛舌骨肌的神经一起入肌。

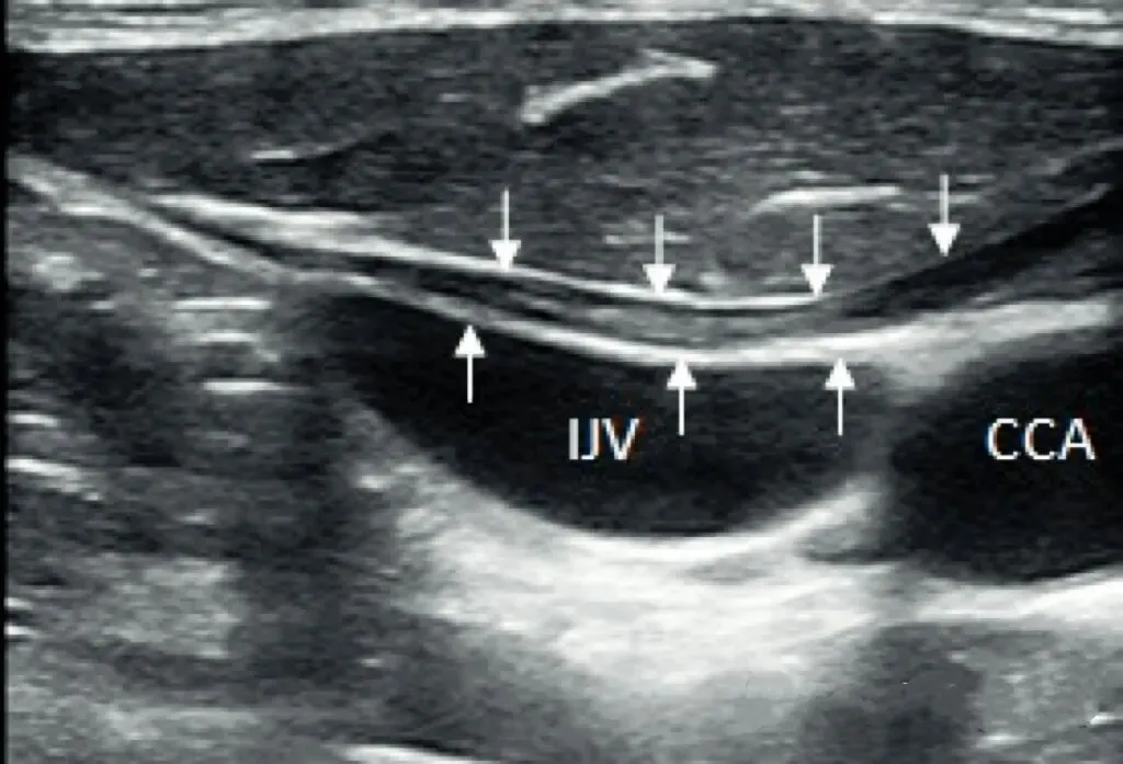
肩胛舌骨肌的超声成像

箭头示肩胛舌骨肌,IJV 颈内静脉,CCA 颈总动脉

肩胛舌骨肌主要作用为下降舌骨,在配合吞咽和发音中有重要作用。由于其起与肩胛骨,因此肩胛骨的位置变化对于舌骨的运动会有影响,需要注意排查。

临床疾病为肩胛舌骨肌综合征(OMS):患者于说话及吞咽时颈前部左或右侧(即三角肌外侧胸锁乳突肌中下部)向前突出一肿块,边界钝圆不清,吞咽动作完毕,则肿块随之消失,据此临床特点,则首先考虑本病。此外,此病主要需与甲状腺疾病、颈部肿大淋巴结相鉴别。

参考书籍:《肩关节复合体:评估、治疗与康复》,需要PDF版的老师,请帮忙点个👍和❤️,复制下方链接到夸克网盘即可领取🤝

https://pan.quark.cn/s/263ab2286579

———————end———————

友情提醒:以上内容为学习笔记分享📝,不够完善,因个体差异较大,不构成医疗意见,仅供参考学习,欢迎大家指正🤝

文字|肌骨力学笔记

图片|来源网络,如有侵权请联系删除🙏

最新文章

随机文章

基本 文件 流程 错误 SQL 调试
  1. 请求信息 : 2026-05-22 17:09:09 HTTP/2.0 GET : https://67808.cn/a/459047.html
  2. 运行时间 : 0.164254s [ 吞吐率:6.09req/s ] 内存消耗:4,829.02kb 文件加载:140
  3. 缓存信息 : 0 reads,0 writes
  4. 会话信息 : SESSION_ID=a3ec556ca6b11d1095819dbd0c1c910f
  1. /yingpanguazai/ssd/ssd1/www/no.67808.cn/public/index.php ( 0.79 KB )
  2. /yingpanguazai/ssd/ssd1/www/no.67808.cn/vendor/autoload.php ( 0.17 KB )
  3. /yingpanguazai/ssd/ssd1/www/no.67808.cn/vendor/composer/autoload_real.php ( 2.49 KB )
  4. /yingpanguazai/ssd/ssd1/www/no.67808.cn/vendor/composer/platform_check.php ( 0.90 KB )
  5. /yingpanguazai/ssd/ssd1/www/no.67808.cn/vendor/composer/ClassLoader.php ( 14.03 KB )
  6. /yingpanguazai/ssd/ssd1/www/no.67808.cn/vendor/composer/autoload_static.php ( 4.90 KB )
  7. /yingpanguazai/ssd/ssd1/www/no.67808.cn/vendor/topthink/think-helper/src/helper.php ( 8.34 KB )
  8. /yingpanguazai/ssd/ssd1/www/no.67808.cn/vendor/topthink/think-validate/src/helper.php ( 2.19 KB )
  9. /yingpanguazai/ssd/ssd1/www/no.67808.cn/vendor/topthink/think-orm/src/helper.php ( 1.47 KB )
  10. /yingpanguazai/ssd/ssd1/www/no.67808.cn/vendor/topthink/think-orm/stubs/load_stubs.php ( 0.16 KB )
  11. /yingpanguazai/ssd/ssd1/www/no.67808.cn/vendor/topthink/framework/src/think/Exception.php ( 1.69 KB )
  12. /yingpanguazai/ssd/ssd1/www/no.67808.cn/vendor/topthink/think-container/src/Facade.php ( 2.71 KB )
  13. /yingpanguazai/ssd/ssd1/www/no.67808.cn/vendor/symfony/deprecation-contracts/function.php ( 0.99 KB )
  14. /yingpanguazai/ssd/ssd1/www/no.67808.cn/vendor/symfony/polyfill-mbstring/bootstrap.php ( 8.26 KB )
  15. /yingpanguazai/ssd/ssd1/www/no.67808.cn/vendor/symfony/polyfill-mbstring/bootstrap80.php ( 9.78 KB )
  16. /yingpanguazai/ssd/ssd1/www/no.67808.cn/vendor/symfony/var-dumper/Resources/functions/dump.php ( 1.49 KB )
  17. /yingpanguazai/ssd/ssd1/www/no.67808.cn/vendor/topthink/think-dumper/src/helper.php ( 0.18 KB )
  18. /yingpanguazai/ssd/ssd1/www/no.67808.cn/vendor/symfony/var-dumper/VarDumper.php ( 4.30 KB )
  19. /yingpanguazai/ssd/ssd1/www/no.67808.cn/vendor/topthink/framework/src/think/App.php ( 15.30 KB )
  20. /yingpanguazai/ssd/ssd1/www/no.67808.cn/vendor/topthink/think-container/src/Container.php ( 15.76 KB )
  21. /yingpanguazai/ssd/ssd1/www/no.67808.cn/vendor/psr/container/src/ContainerInterface.php ( 1.02 KB )
  22. /yingpanguazai/ssd/ssd1/www/no.67808.cn/app/provider.php ( 0.19 KB )
  23. /yingpanguazai/ssd/ssd1/www/no.67808.cn/vendor/topthink/framework/src/think/Http.php ( 6.04 KB )
  24. /yingpanguazai/ssd/ssd1/www/no.67808.cn/vendor/topthink/think-helper/src/helper/Str.php ( 7.29 KB )
  25. /yingpanguazai/ssd/ssd1/www/no.67808.cn/vendor/topthink/framework/src/think/Env.php ( 4.68 KB )
  26. /yingpanguazai/ssd/ssd1/www/no.67808.cn/app/common.php ( 0.03 KB )
  27. /yingpanguazai/ssd/ssd1/www/no.67808.cn/vendor/topthink/framework/src/helper.php ( 18.78 KB )
  28. /yingpanguazai/ssd/ssd1/www/no.67808.cn/vendor/topthink/framework/src/think/Config.php ( 5.54 KB )
  29. /yingpanguazai/ssd/ssd1/www/no.67808.cn/config/app.php ( 0.95 KB )
  30. /yingpanguazai/ssd/ssd1/www/no.67808.cn/config/cache.php ( 0.78 KB )
  31. /yingpanguazai/ssd/ssd1/www/no.67808.cn/config/console.php ( 0.23 KB )
  32. /yingpanguazai/ssd/ssd1/www/no.67808.cn/config/cookie.php ( 0.56 KB )
  33. /yingpanguazai/ssd/ssd1/www/no.67808.cn/config/database.php ( 2.48 KB )
  34. /yingpanguazai/ssd/ssd1/www/no.67808.cn/vendor/topthink/framework/src/think/facade/Env.php ( 1.67 KB )
  35. /yingpanguazai/ssd/ssd1/www/no.67808.cn/config/filesystem.php ( 0.61 KB )
  36. /yingpanguazai/ssd/ssd1/www/no.67808.cn/config/lang.php ( 0.91 KB )
  37. /yingpanguazai/ssd/ssd1/www/no.67808.cn/config/log.php ( 1.35 KB )
  38. /yingpanguazai/ssd/ssd1/www/no.67808.cn/config/middleware.php ( 0.19 KB )
  39. /yingpanguazai/ssd/ssd1/www/no.67808.cn/config/route.php ( 1.89 KB )
  40. /yingpanguazai/ssd/ssd1/www/no.67808.cn/config/session.php ( 0.57 KB )
  41. /yingpanguazai/ssd/ssd1/www/no.67808.cn/config/trace.php ( 0.34 KB )
  42. /yingpanguazai/ssd/ssd1/www/no.67808.cn/config/view.php ( 0.82 KB )
  43. /yingpanguazai/ssd/ssd1/www/no.67808.cn/app/event.php ( 0.25 KB )
  44. /yingpanguazai/ssd/ssd1/www/no.67808.cn/vendor/topthink/framework/src/think/Event.php ( 7.67 KB )
  45. /yingpanguazai/ssd/ssd1/www/no.67808.cn/app/service.php ( 0.13 KB )
  46. /yingpanguazai/ssd/ssd1/www/no.67808.cn/app/AppService.php ( 0.26 KB )
  47. /yingpanguazai/ssd/ssd1/www/no.67808.cn/vendor/topthink/framework/src/think/Service.php ( 1.64 KB )
  48. /yingpanguazai/ssd/ssd1/www/no.67808.cn/vendor/topthink/framework/src/think/Lang.php ( 7.35 KB )
  49. /yingpanguazai/ssd/ssd1/www/no.67808.cn/vendor/topthink/framework/src/lang/zh-cn.php ( 13.70 KB )
  50. /yingpanguazai/ssd/ssd1/www/no.67808.cn/vendor/topthink/framework/src/think/initializer/Error.php ( 3.31 KB )
  51. /yingpanguazai/ssd/ssd1/www/no.67808.cn/vendor/topthink/framework/src/think/initializer/RegisterService.php ( 1.33 KB )
  52. /yingpanguazai/ssd/ssd1/www/no.67808.cn/vendor/services.php ( 0.14 KB )
  53. /yingpanguazai/ssd/ssd1/www/no.67808.cn/vendor/topthink/framework/src/think/service/PaginatorService.php ( 1.52 KB )
  54. /yingpanguazai/ssd/ssd1/www/no.67808.cn/vendor/topthink/framework/src/think/service/ValidateService.php ( 0.99 KB )
  55. /yingpanguazai/ssd/ssd1/www/no.67808.cn/vendor/topthink/framework/src/think/service/ModelService.php ( 2.04 KB )
  56. /yingpanguazai/ssd/ssd1/www/no.67808.cn/vendor/topthink/think-trace/src/Service.php ( 0.77 KB )
  57. /yingpanguazai/ssd/ssd1/www/no.67808.cn/vendor/topthink/framework/src/think/Middleware.php ( 6.72 KB )
  58. /yingpanguazai/ssd/ssd1/www/no.67808.cn/vendor/topthink/framework/src/think/initializer/BootService.php ( 0.77 KB )
  59. /yingpanguazai/ssd/ssd1/www/no.67808.cn/vendor/topthink/think-orm/src/Paginator.php ( 11.86 KB )
  60. /yingpanguazai/ssd/ssd1/www/no.67808.cn/vendor/topthink/think-validate/src/Validate.php ( 63.20 KB )
  61. /yingpanguazai/ssd/ssd1/www/no.67808.cn/vendor/topthink/think-orm/src/Model.php ( 23.55 KB )
  62. /yingpanguazai/ssd/ssd1/www/no.67808.cn/vendor/topthink/think-orm/src/model/concern/Attribute.php ( 21.05 KB )
  63. /yingpanguazai/ssd/ssd1/www/no.67808.cn/vendor/topthink/think-orm/src/model/concern/AutoWriteData.php ( 4.21 KB )
  64. /yingpanguazai/ssd/ssd1/www/no.67808.cn/vendor/topthink/think-orm/src/model/concern/Conversion.php ( 6.44 KB )
  65. /yingpanguazai/ssd/ssd1/www/no.67808.cn/vendor/topthink/think-orm/src/model/concern/DbConnect.php ( 5.16 KB )
  66. /yingpanguazai/ssd/ssd1/www/no.67808.cn/vendor/topthink/think-orm/src/model/concern/ModelEvent.php ( 2.33 KB )
  67. /yingpanguazai/ssd/ssd1/www/no.67808.cn/vendor/topthink/think-orm/src/model/concern/RelationShip.php ( 28.29 KB )
  68. /yingpanguazai/ssd/ssd1/www/no.67808.cn/vendor/topthink/think-helper/src/contract/Arrayable.php ( 0.09 KB )
  69. /yingpanguazai/ssd/ssd1/www/no.67808.cn/vendor/topthink/think-helper/src/contract/Jsonable.php ( 0.13 KB )
  70. /yingpanguazai/ssd/ssd1/www/no.67808.cn/vendor/topthink/think-orm/src/model/contract/Modelable.php ( 0.09 KB )
  71. /yingpanguazai/ssd/ssd1/www/no.67808.cn/vendor/topthink/framework/src/think/Db.php ( 2.88 KB )
  72. /yingpanguazai/ssd/ssd1/www/no.67808.cn/vendor/topthink/think-orm/src/DbManager.php ( 8.52 KB )
  73. /yingpanguazai/ssd/ssd1/www/no.67808.cn/vendor/topthink/framework/src/think/Log.php ( 6.28 KB )
  74. /yingpanguazai/ssd/ssd1/www/no.67808.cn/vendor/topthink/framework/src/think/Manager.php ( 3.92 KB )
  75. /yingpanguazai/ssd/ssd1/www/no.67808.cn/vendor/psr/log/src/LoggerTrait.php ( 2.69 KB )
  76. /yingpanguazai/ssd/ssd1/www/no.67808.cn/vendor/psr/log/src/LoggerInterface.php ( 2.71 KB )
  77. /yingpanguazai/ssd/ssd1/www/no.67808.cn/vendor/topthink/framework/src/think/Cache.php ( 4.92 KB )
  78. /yingpanguazai/ssd/ssd1/www/no.67808.cn/vendor/psr/simple-cache/src/CacheInterface.php ( 4.71 KB )
  79. /yingpanguazai/ssd/ssd1/www/no.67808.cn/vendor/topthink/think-helper/src/helper/Arr.php ( 16.63 KB )
  80. /yingpanguazai/ssd/ssd1/www/no.67808.cn/vendor/topthink/framework/src/think/cache/driver/File.php ( 7.84 KB )
  81. /yingpanguazai/ssd/ssd1/www/no.67808.cn/vendor/topthink/framework/src/think/cache/Driver.php ( 9.03 KB )
  82. /yingpanguazai/ssd/ssd1/www/no.67808.cn/vendor/topthink/framework/src/think/contract/CacheHandlerInterface.php ( 1.99 KB )
  83. /yingpanguazai/ssd/ssd1/www/no.67808.cn/app/Request.php ( 0.09 KB )
  84. /yingpanguazai/ssd/ssd1/www/no.67808.cn/vendor/topthink/framework/src/think/Request.php ( 55.78 KB )
  85. /yingpanguazai/ssd/ssd1/www/no.67808.cn/app/middleware.php ( 0.25 KB )
  86. /yingpanguazai/ssd/ssd1/www/no.67808.cn/vendor/topthink/framework/src/think/Pipeline.php ( 2.61 KB )
  87. /yingpanguazai/ssd/ssd1/www/no.67808.cn/vendor/topthink/think-trace/src/TraceDebug.php ( 3.40 KB )
  88. /yingpanguazai/ssd/ssd1/www/no.67808.cn/vendor/topthink/framework/src/think/middleware/SessionInit.php ( 1.94 KB )
  89. /yingpanguazai/ssd/ssd1/www/no.67808.cn/vendor/topthink/framework/src/think/Session.php ( 1.80 KB )
  90. /yingpanguazai/ssd/ssd1/www/no.67808.cn/vendor/topthink/framework/src/think/session/driver/File.php ( 6.27 KB )
  91. /yingpanguazai/ssd/ssd1/www/no.67808.cn/vendor/topthink/framework/src/think/contract/SessionHandlerInterface.php ( 0.87 KB )
  92. /yingpanguazai/ssd/ssd1/www/no.67808.cn/vendor/topthink/framework/src/think/session/Store.php ( 7.12 KB )
  93. /yingpanguazai/ssd/ssd1/www/no.67808.cn/vendor/topthink/framework/src/think/Route.php ( 23.73 KB )
  94. /yingpanguazai/ssd/ssd1/www/no.67808.cn/vendor/topthink/framework/src/think/route/RuleName.php ( 5.75 KB )
  95. /yingpanguazai/ssd/ssd1/www/no.67808.cn/vendor/topthink/framework/src/think/route/Domain.php ( 2.53 KB )
  96. /yingpanguazai/ssd/ssd1/www/no.67808.cn/vendor/topthink/framework/src/think/route/RuleGroup.php ( 22.43 KB )
  97. /yingpanguazai/ssd/ssd1/www/no.67808.cn/vendor/topthink/framework/src/think/route/Rule.php ( 26.95 KB )
  98. /yingpanguazai/ssd/ssd1/www/no.67808.cn/vendor/topthink/framework/src/think/route/RuleItem.php ( 9.78 KB )
  99. /yingpanguazai/ssd/ssd1/www/no.67808.cn/route/app.php ( 1.72 KB )
  100. /yingpanguazai/ssd/ssd1/www/no.67808.cn/vendor/topthink/framework/src/think/facade/Route.php ( 4.70 KB )
  101. /yingpanguazai/ssd/ssd1/www/no.67808.cn/vendor/topthink/framework/src/think/route/dispatch/Controller.php ( 4.74 KB )
  102. /yingpanguazai/ssd/ssd1/www/no.67808.cn/vendor/topthink/framework/src/think/route/Dispatch.php ( 10.44 KB )
  103. /yingpanguazai/ssd/ssd1/www/no.67808.cn/app/controller/Index.php ( 4.81 KB )
  104. /yingpanguazai/ssd/ssd1/www/no.67808.cn/app/BaseController.php ( 2.05 KB )
  105. /yingpanguazai/ssd/ssd1/www/no.67808.cn/vendor/topthink/think-orm/src/facade/Db.php ( 0.93 KB )
  106. /yingpanguazai/ssd/ssd1/www/no.67808.cn/vendor/topthink/think-orm/src/db/connector/Mysql.php ( 5.44 KB )
  107. /yingpanguazai/ssd/ssd1/www/no.67808.cn/vendor/topthink/think-orm/src/db/PDOConnection.php ( 52.47 KB )
  108. /yingpanguazai/ssd/ssd1/www/no.67808.cn/vendor/topthink/think-orm/src/db/Connection.php ( 8.39 KB )
  109. /yingpanguazai/ssd/ssd1/www/no.67808.cn/vendor/topthink/think-orm/src/db/ConnectionInterface.php ( 4.57 KB )
  110. /yingpanguazai/ssd/ssd1/www/no.67808.cn/vendor/topthink/think-orm/src/db/builder/Mysql.php ( 16.58 KB )
  111. /yingpanguazai/ssd/ssd1/www/no.67808.cn/vendor/topthink/think-orm/src/db/Builder.php ( 24.06 KB )
  112. /yingpanguazai/ssd/ssd1/www/no.67808.cn/vendor/topthink/think-orm/src/db/BaseBuilder.php ( 27.50 KB )
  113. /yingpanguazai/ssd/ssd1/www/no.67808.cn/vendor/topthink/think-orm/src/db/Query.php ( 15.71 KB )
  114. /yingpanguazai/ssd/ssd1/www/no.67808.cn/vendor/topthink/think-orm/src/db/BaseQuery.php ( 45.13 KB )
  115. /yingpanguazai/ssd/ssd1/www/no.67808.cn/vendor/topthink/think-orm/src/db/concern/TimeFieldQuery.php ( 7.43 KB )
  116. /yingpanguazai/ssd/ssd1/www/no.67808.cn/vendor/topthink/think-orm/src/db/concern/AggregateQuery.php ( 3.26 KB )
  117. /yingpanguazai/ssd/ssd1/www/no.67808.cn/vendor/topthink/think-orm/src/db/concern/ModelRelationQuery.php ( 20.07 KB )
  118. /yingpanguazai/ssd/ssd1/www/no.67808.cn/vendor/topthink/think-orm/src/db/concern/ParamsBind.php ( 3.66 KB )
  119. /yingpanguazai/ssd/ssd1/www/no.67808.cn/vendor/topthink/think-orm/src/db/concern/ResultOperation.php ( 7.01 KB )
  120. /yingpanguazai/ssd/ssd1/www/no.67808.cn/vendor/topthink/think-orm/src/db/concern/WhereQuery.php ( 19.37 KB )
  121. /yingpanguazai/ssd/ssd1/www/no.67808.cn/vendor/topthink/think-orm/src/db/concern/JoinAndViewQuery.php ( 7.11 KB )
  122. /yingpanguazai/ssd/ssd1/www/no.67808.cn/vendor/topthink/think-orm/src/db/concern/TableFieldInfo.php ( 2.63 KB )
  123. /yingpanguazai/ssd/ssd1/www/no.67808.cn/vendor/topthink/think-orm/src/db/concern/Transaction.php ( 2.77 KB )
  124. /yingpanguazai/ssd/ssd1/www/no.67808.cn/vendor/topthink/framework/src/think/log/driver/File.php ( 5.96 KB )
  125. /yingpanguazai/ssd/ssd1/www/no.67808.cn/vendor/topthink/framework/src/think/contract/LogHandlerInterface.php ( 0.86 KB )
  126. /yingpanguazai/ssd/ssd1/www/no.67808.cn/vendor/topthink/framework/src/think/log/Channel.php ( 3.89 KB )
  127. /yingpanguazai/ssd/ssd1/www/no.67808.cn/vendor/topthink/framework/src/think/event/LogRecord.php ( 1.02 KB )
  128. /yingpanguazai/ssd/ssd1/www/no.67808.cn/vendor/topthink/think-helper/src/Collection.php ( 16.47 KB )
  129. /yingpanguazai/ssd/ssd1/www/no.67808.cn/vendor/topthink/framework/src/think/facade/View.php ( 1.70 KB )
  130. /yingpanguazai/ssd/ssd1/www/no.67808.cn/vendor/topthink/framework/src/think/View.php ( 4.39 KB )
  131. /yingpanguazai/ssd/ssd1/www/no.67808.cn/vendor/topthink/framework/src/think/Response.php ( 8.81 KB )
  132. /yingpanguazai/ssd/ssd1/www/no.67808.cn/vendor/topthink/framework/src/think/response/View.php ( 3.29 KB )
  133. /yingpanguazai/ssd/ssd1/www/no.67808.cn/vendor/topthink/framework/src/think/Cookie.php ( 6.06 KB )
  134. /yingpanguazai/ssd/ssd1/www/no.67808.cn/vendor/topthink/think-view/src/Think.php ( 8.38 KB )
  135. /yingpanguazai/ssd/ssd1/www/no.67808.cn/vendor/topthink/framework/src/think/contract/TemplateHandlerInterface.php ( 1.60 KB )
  136. /yingpanguazai/ssd/ssd1/www/no.67808.cn/vendor/topthink/think-template/src/Template.php ( 46.61 KB )
  137. /yingpanguazai/ssd/ssd1/www/no.67808.cn/vendor/topthink/think-template/src/template/driver/File.php ( 2.41 KB )
  138. /yingpanguazai/ssd/ssd1/www/no.67808.cn/vendor/topthink/think-template/src/template/contract/DriverInterface.php ( 0.86 KB )
  139. /yingpanguazai/ssd/ssd1/www/no.67808.cn/runtime/temp/6df755f970a38e704c5414acbc6e8bcd.php ( 12.06 KB )
  140. /yingpanguazai/ssd/ssd1/www/no.67808.cn/vendor/topthink/think-trace/src/Html.php ( 4.42 KB )
  1. CONNECT:[ UseTime:0.001001s ] mysql:host=127.0.0.1;port=3306;dbname=no_67808;charset=utf8mb4
  2. SHOW FULL COLUMNS FROM `fenlei` [ RunTime:0.001562s ]
  3. SELECT * FROM `fenlei` WHERE `fid` = 0 [ RunTime:0.000710s ]
  4. SELECT * FROM `fenlei` WHERE `fid` = 63 [ RunTime:0.000683s ]
  5. SHOW FULL COLUMNS FROM `set` [ RunTime:0.001637s ]
  6. SELECT * FROM `set` [ RunTime:0.000582s ]
  7. SHOW FULL COLUMNS FROM `article` [ RunTime:0.001447s ]
  8. SELECT * FROM `article` WHERE `id` = 459047 LIMIT 1 [ RunTime:0.001069s ]
  9. UPDATE `article` SET `lasttime` = 1779440949 WHERE `id` = 459047 [ RunTime:0.002819s ]
  10. SELECT * FROM `fenlei` WHERE `id` = 65 LIMIT 1 [ RunTime:0.000298s ]
  11. SELECT * FROM `article` WHERE `id` < 459047 ORDER BY `id` DESC LIMIT 1 [ RunTime:0.000486s ]
  12. SELECT * FROM `article` WHERE `id` > 459047 ORDER BY `id` ASC LIMIT 1 [ RunTime:0.000400s ]
  13. SELECT * FROM `article` WHERE `id` < 459047 ORDER BY `id` DESC LIMIT 10 [ RunTime:0.001150s ]
  14. SELECT * FROM `article` WHERE `id` < 459047 ORDER BY `id` DESC LIMIT 10,10 [ RunTime:0.001933s ]
  15. SELECT * FROM `article` WHERE `id` < 459047 ORDER BY `id` DESC LIMIT 20,10 [ RunTime:0.001598s ]
0.165846s