当前位置:首页>学习笔记>【学习笔记】脑损心伤:ABI后应激性心功能障碍

【学习笔记】脑损心伤:ABI后应激性心功能障碍

  • 2026-03-23 20:01:09
【学习笔记】脑损心伤:ABI后应激性心功能障碍
从神经重症的角度看,脑和心是紧密相连的。急性脑损伤(ABI),比如严重的脑出血或者外伤,会直接冲击大脑的自主神经中枢。这个冲击就像打乱了司令部,导致交感神经和副交感神经的平衡被彻底破坏,交感神经会过度兴奋,通过“脑-心轴”机制引发应激性心功能障碍。一方面,大量的儿茶酚胺这类物质直接对心肌细胞产生毒性,可能引起心肌顿抑甚至坏死。另一方面,心脏的微血管会痉挛,导致心肌缺血。同时,全身的炎症反应也会被激活,进一步损伤心脏。这些因素共同作用,就引发了所谓的应激性心功能障碍,典型表现就是心尖球样综合征,也叫心碎综合征。
这种脑心共病对患者的影响是双重的。心脏功能下降会直接影响全身的血液供应,包括大脑的供血,这可能加重脑损伤,形成恶性循环。所以,在神经重症领域,必须同时对心和脑进行监测和干预。
今日学习梳理一下这方面的内容

 一、 核心概念 

  1. 急性脑损伤:指由创伤、出血、缺血、缺氧等原因导致的急性、严重脑功能损害,常伴有颅内压增高、脑水肿及自主神经功能紊乱。
  2. 应激性心功能障碍:特指由急性脑损伤等严重应激源直接诱发、而非原发性心脏疾病所致的心功能急性损害。其典型形式是心尖球囊样综合征,也叫应激性心肌病,或TC心(Takotsubo 综合征TTS),也可称为“心碎综合征”。
  3. 神经源性应激性心功能障碍(NSC/NSM):急性脑损伤(ABI)引发的可逆性心肌功能障碍,属应激性心肌病(TTS)的特殊亚型,亦称神经源性心肌顿抑。

  4. 脑心轴:大脑(尤其岛叶皮质、杏仁核、前扣带回)与心脏间的双向调控网络,ABI可致该网络失衡,引发心脏损伤;反之,心功能障碍亦会加重脑缺血缺氧。

  5. 关键术语区分:

    NSM:ABI后心肌短暂功能障碍,无典型TTS心尖气球样变。

    NSC:符合TTS诊断标准的ABI相关心肌损伤,常有特征性室壁运动异  常。

    脑心综合征:广义涵盖ABI后所有心脏异常,含心律失常、心肌酶升高、心功能不全等。

 二、病理生理机制(近年研究进展)

近年研究强调多机制、网络化相互作用:
1、儿茶酚胺风暴假说(核心机制)ABI(尤其岛叶、下丘脑、脑干受累)触发交感-肾上腺髓质系统与HPA轴,致去甲肾上腺素/肾上腺素短时间内骤升达正常100-1000倍。心肌β2受体在高浓度儿茶酚胺下由Gs→Gi信号转导切换,转为负性肌力作用。这些过高的儿茶酚胺对心肌细胞有直接毒性,引发钙超载→肌原纤维持续收缩→收缩带坏死;氧化应激→膜损伤;冠脉微循环痉挛→心肌缺血。

2、脑结构定位与自主神经失衡:

     右岛叶:交感中枢,损伤致交感亢进→高血压、心动过速、心律失常风险↑4.7倍;

     左岛叶:副交感中枢,损伤致迷走抑制→心率变异性(HRV)下降至正常23%;

     下丘脑:调控HPA轴,损伤致神经内分泌紊乱→心肌重构;

     杏仁核:介导应激反应,参与情绪应激致心血管事件。

3、炎症与免疫机制(近年热点):ABI后IL-1、IL-6、TNF-α等炎症因子释放,激活NLRP3炎症小体→线粒体功能障碍→钙超载(发生率↑42%);副交感功能抑制→抗炎作用减弱,加剧心肌损伤;小胶质细胞激活→释放细胞因子,调控交感神经活性→影响心肌功能。

4、脑-心双向损伤:心功能障碍→心输出量↓→脑灌注压(CPP)↓→脑缺血;同时促发心源性脑栓塞、氧合障碍,加重脑损伤。

 三、流行病学与临床特点 

1、发生率

    SAH:心电图异常达40%-100%,室壁运动异常8%-30%,LVEF<50%约10%-15%。

    脑出血:心肌损伤发生率约20%,ECG异常60%-70%。

    缺血性卒中:ECG异常15%-40%,岛叶受累者风险显著↑。

    TBI:严重者心肌损伤率13%-30%,与GCS评分负相关。

2、时间规律

   心脏异常多在ABI后24-72小时达峰,持续约2周,多数4-8周内完全恢复

3、心功能障碍表现
  • 症状:可能被脑损伤意识障碍掩盖,可出现胸痛、呼吸困难、急性肺水肿、低血压、心律失常(室速/室颤、房颤、窦性心动过速)、心源性休克(重症)。
  • 心电图:常见广泛导联ST段抬高/压低、T波倒置、QT间期显著延长(最常见,是预测恶性心律失常的关键指标)
  • 心脏生物标志物cTnI/T轻度升高(多<1ng/mL)、NT-proBNP显著升高(与损伤程度正相关),升高程度与心肌梗死不同,且恢复更快。
  • 心脏超声诊断金标准
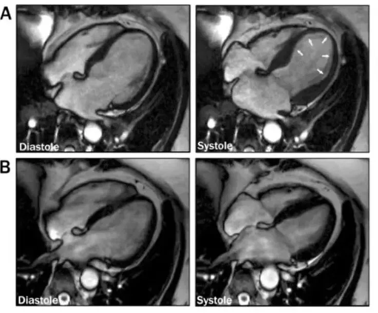
     经典型:心尖球囊样变(收缩期心尖膨出、基底收缩增强);
     变异型:基底型、中间型、局灶型(NSC更多见非心尖型);
     弥漫性室壁运动减弱:NSM常见。

4、不同ABI类型的心脏损伤特点

    SAH:发生率最高,常伴严重心律失常与心功能不全,与Hunt-Hess分级正相关,后循环动脉瘤风险更高。

    脑出血:心肌损伤与血肿量、中线移位相关,是短期/长期预后不良的独立危险因素。

    缺血性卒中:岛叶梗死最易致心脏损伤,右岛叶病变交感亢进更明显,左岛叶病变迷走症状更多见。

    TBI:与损伤严重程度相关,可与心肌挫伤并存,需超声鉴别;常伴交感风暴,心律失常风险高。

 四、诊断标准(基于2024年《欧洲心脏杂志》发表的关于Takotsubo综合征(TTS)的重要国际立场文件,它代表了当前最新的国际专家共识)

最新的国际共识和ESC指南强化了TTS的诊断框架:它不是一个“排除性诊断”,而是一个具有明确影像学和血管造影特征的“肯定性诊断”。临床医生在遇到与应激相关、症状类似心梗但冠脉通畅的患者时,应系统性地应用上述标准,并充分利用多模态影像学进行确认和鉴别。

1、核心标准(必须同时满足

左心室(或偶尔右心室)的短暂性局部室壁运动异常
    • 典型模式(心尖球囊样变):心尖和/或中段运动减弱、消失或矛盾运动,基底部收缩力增强。
    • 非典型模式:可表现为心中段型基底型局灶型。室壁运动异常范围超出单支心外膜冠状动脉的供血区域
    • 关键:运动异常通常是可逆的,在数天至数周内恢复。
无阻塞性冠状动脉疾病或急性斑块破裂的血管造影证据这是鉴别急性心肌梗死(AMI)的关键。冠状动脉造影显示狭窄通常<50%,或无显著狭窄。在极少数情况下,可存在轻度至中度的冠状动脉粥样硬化,但不足以解释所观察到的室壁运动异常程度。
新出现的心电图异常和/或心肌肌钙蛋白中度升高
    心电图:常出现ST段抬高、广泛T波倒置或QT间期显著延长。这些变化通常是动态的。
    心肌肌钙蛋白:水平升高,但其峰值水平通常远低于典型急性心肌梗死
,且升高幅度与室壁运动异常的范围不匹配。
排除其他疾病必须排除嗜铬细胞瘤、心肌炎和颅脑创伤等可能导致类似心肌损伤的疾病。
2. 神经重症特殊诊断要点

    需与脑损伤合并ACS鉴别:NSC多无典型胸痛,冠脉造影正常,室壁运动异常范围更广

    脑疝/ICP增高时,心血管异常可能被神经系统症状掩盖,需常规心电监护+每日心肌酶检测

    推荐床旁超声心动图快速评估心功能,必要时行心脏MRI明确心肌水肿/坏死

 五、 诊断流程与临床实践要点(结合指南)

1、高危患者画像(谁需要重点筛查?)
  • 脑血管病:重症动脉瘤性蛛网膜下腔出血(尤其Hunt-Hess分级高)、大量基底节或脑叶出血、累及岛叶的大面积脑梗死。
  • 颅脑创伤:严重TBI(GCS≤8)、弥漫性轴索损伤、合并颅内高压。
  • 癫痫:难治性癫痫持续状态。
  • 其他:急性脑干病变、心脏骤停后脑病。

2、疑似阶段:对于出现急性胸痛、呼吸困难、心电图异常且伴有明确情绪或躯体应激因素(如急性脑损伤、急症、剧烈情绪波动)的患者,尤其是绝经后女性,应高度怀疑TTS。
3、临床监测“组合拳”(如何筛查?)
  • 每日必查:12导联心电图(重点关注新出现的ST-T改变、QTc间期。QTc>500ms是预警恶性心律失常的强信号)。
  • 系列标志物:入院即刻、随后24-48小时内每6-8小时检测高敏肌钙蛋白、B型利钠肽。关键点:其动态变化曲线与急性心梗不同,常呈“单峰”快速升降。
  • 即时心脏超声一旦心电图或标志物异常,或出现无法用颅脑原发病解释的低血压/肺水肿,立即床旁超声。这是确诊和鉴别诊断的核心。
4、紧急评估与鉴别
     按照《2023 ESC急性冠脉综合征管理指南》流程,所有疑似急性冠脉综合征患者均应尽快进行冠状动脉造影,以排除阻塞性冠状动脉疾病。
     一旦排除阻塞性病变,应立即行经胸超声心动图评估室壁运动,这是诊断TTS的基石。
5、确诊与分型:
     根据2024年共识,确诊依赖于影像学(超声/心脏磁共振)显示的特征性室壁运动异常 + 冠状动脉造影的阴性结果
     心脏磁共振 日益重要,可用于进一步排除心肌炎、评估心肌水肿和纤维化(TTS通常无延迟钆增强)。
6、特殊注意事项
     与急性冠脉综合征并存这是临床最大挑战。心尖球囊样综合征的冠脉造影通常无阻塞性病变。但需注意,两者可并存。若高度怀疑ACS,需与心内科紧急会诊,权衡造影风险(如抗血小板药物加重脑出血)。
     神经重症患者:对于急性脑损伤患者,心功能障碍可能是TTS或神经源性应激性心肌病,诊断标准相同,但应激源明确为脑损伤。
     神经源性肺水肿:两者常共存,且都与交感风暴相关。心脏超声是区分心源性与非心源性肺水肿的关键。

六、综合管理维度:打破“脑心恶性循环”的实践策略

管理核心是在脑保护与心脏支持间取得精细平衡,核心原则是 “脑心共治,平衡优先”即在支持衰竭心脏的同时,绝不加重原发脑损伤。治疗策略高度个体化,需在神经重症监护室(NICU)内进行多模态监测。

总结:ABI后TTS的治疗无固定“套餐”,其成功依赖于对心脏和大脑功能的持续、联合监测,以及神经重症、心内科、药剂师和康复团队的紧密协作。所有治疗决策均需以不加重原发神经损伤为底线。 在临床实践中,对急性脑损伤患者保持“脑心共治”的思维至关重要。通过系统性筛查、高级血流动力学监测、多模态脑保护以及审慎的心脏特异性干预,能够有效管理这一严重并发症,从而改善患者总体预后。

以上内容为基于文献的学习总结,不构成个体化的医疗建议。每一位患者的最终治疗方案,必须由主管医生结合其具体病情做出审慎决策。

最新文章

随机文章

基本 文件 流程 错误 SQL 调试
  1. 请求信息 : 2026-04-06 08:22:16 HTTP/2.0 GET : https://67808.cn/a/467452.html
  2. 运行时间 : 0.085087s [ 吞吐率:11.75req/s ] 内存消耗:5,008.82kb 文件加载:140
  3. 缓存信息 : 0 reads,0 writes
  4. 会话信息 : SESSION_ID=4042be620741afee8d42316646ff753d
  1. /yingpanguazai/ssd/ssd1/www/no.67808.cn/public/index.php ( 0.79 KB )
  2. /yingpanguazai/ssd/ssd1/www/no.67808.cn/vendor/autoload.php ( 0.17 KB )
  3. /yingpanguazai/ssd/ssd1/www/no.67808.cn/vendor/composer/autoload_real.php ( 2.49 KB )
  4. /yingpanguazai/ssd/ssd1/www/no.67808.cn/vendor/composer/platform_check.php ( 0.90 KB )
  5. /yingpanguazai/ssd/ssd1/www/no.67808.cn/vendor/composer/ClassLoader.php ( 14.03 KB )
  6. /yingpanguazai/ssd/ssd1/www/no.67808.cn/vendor/composer/autoload_static.php ( 4.90 KB )
  7. /yingpanguazai/ssd/ssd1/www/no.67808.cn/vendor/topthink/think-helper/src/helper.php ( 8.34 KB )
  8. /yingpanguazai/ssd/ssd1/www/no.67808.cn/vendor/topthink/think-validate/src/helper.php ( 2.19 KB )
  9. /yingpanguazai/ssd/ssd1/www/no.67808.cn/vendor/topthink/think-orm/src/helper.php ( 1.47 KB )
  10. /yingpanguazai/ssd/ssd1/www/no.67808.cn/vendor/topthink/think-orm/stubs/load_stubs.php ( 0.16 KB )
  11. /yingpanguazai/ssd/ssd1/www/no.67808.cn/vendor/topthink/framework/src/think/Exception.php ( 1.69 KB )
  12. /yingpanguazai/ssd/ssd1/www/no.67808.cn/vendor/topthink/think-container/src/Facade.php ( 2.71 KB )
  13. /yingpanguazai/ssd/ssd1/www/no.67808.cn/vendor/symfony/deprecation-contracts/function.php ( 0.99 KB )
  14. /yingpanguazai/ssd/ssd1/www/no.67808.cn/vendor/symfony/polyfill-mbstring/bootstrap.php ( 8.26 KB )
  15. /yingpanguazai/ssd/ssd1/www/no.67808.cn/vendor/symfony/polyfill-mbstring/bootstrap80.php ( 9.78 KB )
  16. /yingpanguazai/ssd/ssd1/www/no.67808.cn/vendor/symfony/var-dumper/Resources/functions/dump.php ( 1.49 KB )
  17. /yingpanguazai/ssd/ssd1/www/no.67808.cn/vendor/topthink/think-dumper/src/helper.php ( 0.18 KB )
  18. /yingpanguazai/ssd/ssd1/www/no.67808.cn/vendor/symfony/var-dumper/VarDumper.php ( 4.30 KB )
  19. /yingpanguazai/ssd/ssd1/www/no.67808.cn/vendor/topthink/framework/src/think/App.php ( 15.30 KB )
  20. /yingpanguazai/ssd/ssd1/www/no.67808.cn/vendor/topthink/think-container/src/Container.php ( 15.76 KB )
  21. /yingpanguazai/ssd/ssd1/www/no.67808.cn/vendor/psr/container/src/ContainerInterface.php ( 1.02 KB )
  22. /yingpanguazai/ssd/ssd1/www/no.67808.cn/app/provider.php ( 0.19 KB )
  23. /yingpanguazai/ssd/ssd1/www/no.67808.cn/vendor/topthink/framework/src/think/Http.php ( 6.04 KB )
  24. /yingpanguazai/ssd/ssd1/www/no.67808.cn/vendor/topthink/think-helper/src/helper/Str.php ( 7.29 KB )
  25. /yingpanguazai/ssd/ssd1/www/no.67808.cn/vendor/topthink/framework/src/think/Env.php ( 4.68 KB )
  26. /yingpanguazai/ssd/ssd1/www/no.67808.cn/app/common.php ( 0.03 KB )
  27. /yingpanguazai/ssd/ssd1/www/no.67808.cn/vendor/topthink/framework/src/helper.php ( 18.78 KB )
  28. /yingpanguazai/ssd/ssd1/www/no.67808.cn/vendor/topthink/framework/src/think/Config.php ( 5.54 KB )
  29. /yingpanguazai/ssd/ssd1/www/no.67808.cn/config/app.php ( 0.95 KB )
  30. /yingpanguazai/ssd/ssd1/www/no.67808.cn/config/cache.php ( 0.78 KB )
  31. /yingpanguazai/ssd/ssd1/www/no.67808.cn/config/console.php ( 0.23 KB )
  32. /yingpanguazai/ssd/ssd1/www/no.67808.cn/config/cookie.php ( 0.56 KB )
  33. /yingpanguazai/ssd/ssd1/www/no.67808.cn/config/database.php ( 2.48 KB )
  34. /yingpanguazai/ssd/ssd1/www/no.67808.cn/vendor/topthink/framework/src/think/facade/Env.php ( 1.67 KB )
  35. /yingpanguazai/ssd/ssd1/www/no.67808.cn/config/filesystem.php ( 0.61 KB )
  36. /yingpanguazai/ssd/ssd1/www/no.67808.cn/config/lang.php ( 0.91 KB )
  37. /yingpanguazai/ssd/ssd1/www/no.67808.cn/config/log.php ( 1.35 KB )
  38. /yingpanguazai/ssd/ssd1/www/no.67808.cn/config/middleware.php ( 0.19 KB )
  39. /yingpanguazai/ssd/ssd1/www/no.67808.cn/config/route.php ( 1.89 KB )
  40. /yingpanguazai/ssd/ssd1/www/no.67808.cn/config/session.php ( 0.57 KB )
  41. /yingpanguazai/ssd/ssd1/www/no.67808.cn/config/trace.php ( 0.34 KB )
  42. /yingpanguazai/ssd/ssd1/www/no.67808.cn/config/view.php ( 0.82 KB )
  43. /yingpanguazai/ssd/ssd1/www/no.67808.cn/app/event.php ( 0.25 KB )
  44. /yingpanguazai/ssd/ssd1/www/no.67808.cn/vendor/topthink/framework/src/think/Event.php ( 7.67 KB )
  45. /yingpanguazai/ssd/ssd1/www/no.67808.cn/app/service.php ( 0.13 KB )
  46. /yingpanguazai/ssd/ssd1/www/no.67808.cn/app/AppService.php ( 0.26 KB )
  47. /yingpanguazai/ssd/ssd1/www/no.67808.cn/vendor/topthink/framework/src/think/Service.php ( 1.64 KB )
  48. /yingpanguazai/ssd/ssd1/www/no.67808.cn/vendor/topthink/framework/src/think/Lang.php ( 7.35 KB )
  49. /yingpanguazai/ssd/ssd1/www/no.67808.cn/vendor/topthink/framework/src/lang/zh-cn.php ( 13.70 KB )
  50. /yingpanguazai/ssd/ssd1/www/no.67808.cn/vendor/topthink/framework/src/think/initializer/Error.php ( 3.31 KB )
  51. /yingpanguazai/ssd/ssd1/www/no.67808.cn/vendor/topthink/framework/src/think/initializer/RegisterService.php ( 1.33 KB )
  52. /yingpanguazai/ssd/ssd1/www/no.67808.cn/vendor/services.php ( 0.14 KB )
  53. /yingpanguazai/ssd/ssd1/www/no.67808.cn/vendor/topthink/framework/src/think/service/PaginatorService.php ( 1.52 KB )
  54. /yingpanguazai/ssd/ssd1/www/no.67808.cn/vendor/topthink/framework/src/think/service/ValidateService.php ( 0.99 KB )
  55. /yingpanguazai/ssd/ssd1/www/no.67808.cn/vendor/topthink/framework/src/think/service/ModelService.php ( 2.04 KB )
  56. /yingpanguazai/ssd/ssd1/www/no.67808.cn/vendor/topthink/think-trace/src/Service.php ( 0.77 KB )
  57. /yingpanguazai/ssd/ssd1/www/no.67808.cn/vendor/topthink/framework/src/think/Middleware.php ( 6.72 KB )
  58. /yingpanguazai/ssd/ssd1/www/no.67808.cn/vendor/topthink/framework/src/think/initializer/BootService.php ( 0.77 KB )
  59. /yingpanguazai/ssd/ssd1/www/no.67808.cn/vendor/topthink/think-orm/src/Paginator.php ( 11.86 KB )
  60. /yingpanguazai/ssd/ssd1/www/no.67808.cn/vendor/topthink/think-validate/src/Validate.php ( 63.20 KB )
  61. /yingpanguazai/ssd/ssd1/www/no.67808.cn/vendor/topthink/think-orm/src/Model.php ( 23.55 KB )
  62. /yingpanguazai/ssd/ssd1/www/no.67808.cn/vendor/topthink/think-orm/src/model/concern/Attribute.php ( 21.05 KB )
  63. /yingpanguazai/ssd/ssd1/www/no.67808.cn/vendor/topthink/think-orm/src/model/concern/AutoWriteData.php ( 4.21 KB )
  64. /yingpanguazai/ssd/ssd1/www/no.67808.cn/vendor/topthink/think-orm/src/model/concern/Conversion.php ( 6.44 KB )
  65. /yingpanguazai/ssd/ssd1/www/no.67808.cn/vendor/topthink/think-orm/src/model/concern/DbConnect.php ( 5.16 KB )
  66. /yingpanguazai/ssd/ssd1/www/no.67808.cn/vendor/topthink/think-orm/src/model/concern/ModelEvent.php ( 2.33 KB )
  67. /yingpanguazai/ssd/ssd1/www/no.67808.cn/vendor/topthink/think-orm/src/model/concern/RelationShip.php ( 28.29 KB )
  68. /yingpanguazai/ssd/ssd1/www/no.67808.cn/vendor/topthink/think-helper/src/contract/Arrayable.php ( 0.09 KB )
  69. /yingpanguazai/ssd/ssd1/www/no.67808.cn/vendor/topthink/think-helper/src/contract/Jsonable.php ( 0.13 KB )
  70. /yingpanguazai/ssd/ssd1/www/no.67808.cn/vendor/topthink/think-orm/src/model/contract/Modelable.php ( 0.09 KB )
  71. /yingpanguazai/ssd/ssd1/www/no.67808.cn/vendor/topthink/framework/src/think/Db.php ( 2.88 KB )
  72. /yingpanguazai/ssd/ssd1/www/no.67808.cn/vendor/topthink/think-orm/src/DbManager.php ( 8.52 KB )
  73. /yingpanguazai/ssd/ssd1/www/no.67808.cn/vendor/topthink/framework/src/think/Log.php ( 6.28 KB )
  74. /yingpanguazai/ssd/ssd1/www/no.67808.cn/vendor/topthink/framework/src/think/Manager.php ( 3.92 KB )
  75. /yingpanguazai/ssd/ssd1/www/no.67808.cn/vendor/psr/log/src/LoggerTrait.php ( 2.69 KB )
  76. /yingpanguazai/ssd/ssd1/www/no.67808.cn/vendor/psr/log/src/LoggerInterface.php ( 2.71 KB )
  77. /yingpanguazai/ssd/ssd1/www/no.67808.cn/vendor/topthink/framework/src/think/Cache.php ( 4.92 KB )
  78. /yingpanguazai/ssd/ssd1/www/no.67808.cn/vendor/psr/simple-cache/src/CacheInterface.php ( 4.71 KB )
  79. /yingpanguazai/ssd/ssd1/www/no.67808.cn/vendor/topthink/think-helper/src/helper/Arr.php ( 16.63 KB )
  80. /yingpanguazai/ssd/ssd1/www/no.67808.cn/vendor/topthink/framework/src/think/cache/driver/File.php ( 7.84 KB )
  81. /yingpanguazai/ssd/ssd1/www/no.67808.cn/vendor/topthink/framework/src/think/cache/Driver.php ( 9.03 KB )
  82. /yingpanguazai/ssd/ssd1/www/no.67808.cn/vendor/topthink/framework/src/think/contract/CacheHandlerInterface.php ( 1.99 KB )
  83. /yingpanguazai/ssd/ssd1/www/no.67808.cn/app/Request.php ( 0.09 KB )
  84. /yingpanguazai/ssd/ssd1/www/no.67808.cn/vendor/topthink/framework/src/think/Request.php ( 55.78 KB )
  85. /yingpanguazai/ssd/ssd1/www/no.67808.cn/app/middleware.php ( 0.25 KB )
  86. /yingpanguazai/ssd/ssd1/www/no.67808.cn/vendor/topthink/framework/src/think/Pipeline.php ( 2.61 KB )
  87. /yingpanguazai/ssd/ssd1/www/no.67808.cn/vendor/topthink/think-trace/src/TraceDebug.php ( 3.40 KB )
  88. /yingpanguazai/ssd/ssd1/www/no.67808.cn/vendor/topthink/framework/src/think/middleware/SessionInit.php ( 1.94 KB )
  89. /yingpanguazai/ssd/ssd1/www/no.67808.cn/vendor/topthink/framework/src/think/Session.php ( 1.80 KB )
  90. /yingpanguazai/ssd/ssd1/www/no.67808.cn/vendor/topthink/framework/src/think/session/driver/File.php ( 6.27 KB )
  91. /yingpanguazai/ssd/ssd1/www/no.67808.cn/vendor/topthink/framework/src/think/contract/SessionHandlerInterface.php ( 0.87 KB )
  92. /yingpanguazai/ssd/ssd1/www/no.67808.cn/vendor/topthink/framework/src/think/session/Store.php ( 7.12 KB )
  93. /yingpanguazai/ssd/ssd1/www/no.67808.cn/vendor/topthink/framework/src/think/Route.php ( 23.73 KB )
  94. /yingpanguazai/ssd/ssd1/www/no.67808.cn/vendor/topthink/framework/src/think/route/RuleName.php ( 5.75 KB )
  95. /yingpanguazai/ssd/ssd1/www/no.67808.cn/vendor/topthink/framework/src/think/route/Domain.php ( 2.53 KB )
  96. /yingpanguazai/ssd/ssd1/www/no.67808.cn/vendor/topthink/framework/src/think/route/RuleGroup.php ( 22.43 KB )
  97. /yingpanguazai/ssd/ssd1/www/no.67808.cn/vendor/topthink/framework/src/think/route/Rule.php ( 26.95 KB )
  98. /yingpanguazai/ssd/ssd1/www/no.67808.cn/vendor/topthink/framework/src/think/route/RuleItem.php ( 9.78 KB )
  99. /yingpanguazai/ssd/ssd1/www/no.67808.cn/route/app.php ( 1.72 KB )
  100. /yingpanguazai/ssd/ssd1/www/no.67808.cn/vendor/topthink/framework/src/think/facade/Route.php ( 4.70 KB )
  101. /yingpanguazai/ssd/ssd1/www/no.67808.cn/vendor/topthink/framework/src/think/route/dispatch/Controller.php ( 4.74 KB )
  102. /yingpanguazai/ssd/ssd1/www/no.67808.cn/vendor/topthink/framework/src/think/route/Dispatch.php ( 10.44 KB )
  103. /yingpanguazai/ssd/ssd1/www/no.67808.cn/app/controller/Index.php ( 4.81 KB )
  104. /yingpanguazai/ssd/ssd1/www/no.67808.cn/app/BaseController.php ( 2.05 KB )
  105. /yingpanguazai/ssd/ssd1/www/no.67808.cn/vendor/topthink/think-orm/src/facade/Db.php ( 0.93 KB )
  106. /yingpanguazai/ssd/ssd1/www/no.67808.cn/vendor/topthink/think-orm/src/db/connector/Mysql.php ( 5.44 KB )
  107. /yingpanguazai/ssd/ssd1/www/no.67808.cn/vendor/topthink/think-orm/src/db/PDOConnection.php ( 52.47 KB )
  108. /yingpanguazai/ssd/ssd1/www/no.67808.cn/vendor/topthink/think-orm/src/db/Connection.php ( 8.39 KB )
  109. /yingpanguazai/ssd/ssd1/www/no.67808.cn/vendor/topthink/think-orm/src/db/ConnectionInterface.php ( 4.57 KB )
  110. /yingpanguazai/ssd/ssd1/www/no.67808.cn/vendor/topthink/think-orm/src/db/builder/Mysql.php ( 16.58 KB )
  111. /yingpanguazai/ssd/ssd1/www/no.67808.cn/vendor/topthink/think-orm/src/db/Builder.php ( 24.06 KB )
  112. /yingpanguazai/ssd/ssd1/www/no.67808.cn/vendor/topthink/think-orm/src/db/BaseBuilder.php ( 27.50 KB )
  113. /yingpanguazai/ssd/ssd1/www/no.67808.cn/vendor/topthink/think-orm/src/db/Query.php ( 15.71 KB )
  114. /yingpanguazai/ssd/ssd1/www/no.67808.cn/vendor/topthink/think-orm/src/db/BaseQuery.php ( 45.13 KB )
  115. /yingpanguazai/ssd/ssd1/www/no.67808.cn/vendor/topthink/think-orm/src/db/concern/TimeFieldQuery.php ( 7.43 KB )
  116. /yingpanguazai/ssd/ssd1/www/no.67808.cn/vendor/topthink/think-orm/src/db/concern/AggregateQuery.php ( 3.26 KB )
  117. /yingpanguazai/ssd/ssd1/www/no.67808.cn/vendor/topthink/think-orm/src/db/concern/ModelRelationQuery.php ( 20.07 KB )
  118. /yingpanguazai/ssd/ssd1/www/no.67808.cn/vendor/topthink/think-orm/src/db/concern/ParamsBind.php ( 3.66 KB )
  119. /yingpanguazai/ssd/ssd1/www/no.67808.cn/vendor/topthink/think-orm/src/db/concern/ResultOperation.php ( 7.01 KB )
  120. /yingpanguazai/ssd/ssd1/www/no.67808.cn/vendor/topthink/think-orm/src/db/concern/WhereQuery.php ( 19.37 KB )
  121. /yingpanguazai/ssd/ssd1/www/no.67808.cn/vendor/topthink/think-orm/src/db/concern/JoinAndViewQuery.php ( 7.11 KB )
  122. /yingpanguazai/ssd/ssd1/www/no.67808.cn/vendor/topthink/think-orm/src/db/concern/TableFieldInfo.php ( 2.63 KB )
  123. /yingpanguazai/ssd/ssd1/www/no.67808.cn/vendor/topthink/think-orm/src/db/concern/Transaction.php ( 2.77 KB )
  124. /yingpanguazai/ssd/ssd1/www/no.67808.cn/vendor/topthink/framework/src/think/log/driver/File.php ( 5.96 KB )
  125. /yingpanguazai/ssd/ssd1/www/no.67808.cn/vendor/topthink/framework/src/think/contract/LogHandlerInterface.php ( 0.86 KB )
  126. /yingpanguazai/ssd/ssd1/www/no.67808.cn/vendor/topthink/framework/src/think/log/Channel.php ( 3.89 KB )
  127. /yingpanguazai/ssd/ssd1/www/no.67808.cn/vendor/topthink/framework/src/think/event/LogRecord.php ( 1.02 KB )
  128. /yingpanguazai/ssd/ssd1/www/no.67808.cn/vendor/topthink/think-helper/src/Collection.php ( 16.47 KB )
  129. /yingpanguazai/ssd/ssd1/www/no.67808.cn/vendor/topthink/framework/src/think/facade/View.php ( 1.70 KB )
  130. /yingpanguazai/ssd/ssd1/www/no.67808.cn/vendor/topthink/framework/src/think/View.php ( 4.39 KB )
  131. /yingpanguazai/ssd/ssd1/www/no.67808.cn/vendor/topthink/framework/src/think/Response.php ( 8.81 KB )
  132. /yingpanguazai/ssd/ssd1/www/no.67808.cn/vendor/topthink/framework/src/think/response/View.php ( 3.29 KB )
  133. /yingpanguazai/ssd/ssd1/www/no.67808.cn/vendor/topthink/framework/src/think/Cookie.php ( 6.06 KB )
  134. /yingpanguazai/ssd/ssd1/www/no.67808.cn/vendor/topthink/think-view/src/Think.php ( 8.38 KB )
  135. /yingpanguazai/ssd/ssd1/www/no.67808.cn/vendor/topthink/framework/src/think/contract/TemplateHandlerInterface.php ( 1.60 KB )
  136. /yingpanguazai/ssd/ssd1/www/no.67808.cn/vendor/topthink/think-template/src/Template.php ( 46.61 KB )
  137. /yingpanguazai/ssd/ssd1/www/no.67808.cn/vendor/topthink/think-template/src/template/driver/File.php ( 2.41 KB )
  138. /yingpanguazai/ssd/ssd1/www/no.67808.cn/vendor/topthink/think-template/src/template/contract/DriverInterface.php ( 0.86 KB )
  139. /yingpanguazai/ssd/ssd1/www/no.67808.cn/runtime/temp/6df755f970a38e704c5414acbc6e8bcd.php ( 12.06 KB )
  140. /yingpanguazai/ssd/ssd1/www/no.67808.cn/vendor/topthink/think-trace/src/Html.php ( 4.42 KB )
  1. CONNECT:[ UseTime:0.000571s ] mysql:host=127.0.0.1;port=3306;dbname=no_67808;charset=utf8mb4
  2. SHOW FULL COLUMNS FROM `fenlei` [ RunTime:0.000765s ]
  3. SELECT * FROM `fenlei` WHERE `fid` = 0 [ RunTime:0.000302s ]
  4. SELECT * FROM `fenlei` WHERE `fid` = 63 [ RunTime:0.000231s ]
  5. SHOW FULL COLUMNS FROM `set` [ RunTime:0.000482s ]
  6. SELECT * FROM `set` [ RunTime:0.000203s ]
  7. SHOW FULL COLUMNS FROM `article` [ RunTime:0.000560s ]
  8. SELECT * FROM `article` WHERE `id` = 467452 LIMIT 1 [ RunTime:0.000446s ]
  9. UPDATE `article` SET `lasttime` = 1775434936 WHERE `id` = 467452 [ RunTime:0.007336s ]
  10. SELECT * FROM `fenlei` WHERE `id` = 65 LIMIT 1 [ RunTime:0.000246s ]
  11. SELECT * FROM `article` WHERE `id` < 467452 ORDER BY `id` DESC LIMIT 1 [ RunTime:0.000459s ]
  12. SELECT * FROM `article` WHERE `id` > 467452 ORDER BY `id` ASC LIMIT 1 [ RunTime:0.003469s ]
  13. SELECT * FROM `article` WHERE `id` < 467452 ORDER BY `id` DESC LIMIT 10 [ RunTime:0.000824s ]
  14. SELECT * FROM `article` WHERE `id` < 467452 ORDER BY `id` DESC LIMIT 10,10 [ RunTime:0.000852s ]
  15. SELECT * FROM `article` WHERE `id` < 467452 ORDER BY `id` DESC LIMIT 20,10 [ RunTime:0.002731s ]
0.086528s