当前位置:首页>学习笔记>学习笔记:肘关节正常MRI解剖与常见病变的诊断-1

学习笔记:肘关节正常MRI解剖与常见病变的诊断-1

  • 2026-05-19 16:16:43
学习笔记:肘关节正常MRI解剖与常见病变的诊断-1
      肘关节是复杂关节,稳定性受骨性结构与软组织结构共同影响。要准确解读肘关节病变表现,必须掌握为肘关节内外侧提供稳定性的支撑结构的解剖学和生物力学知识。
主要内容:
  1. MRI 检查技术;
  2. 肘关节正常 MRI 解剖结构;
  3. 肘关节正常变异与诊断陷阱;
  4. 韧带损伤、关节不稳定;
  5. 肱骨小头骨软骨损伤;
  6. 少年棒球肘(内上髁骨骺炎);
  7. 神经病变;
  8. 肌腱损伤;
  9. 鹰嘴滑囊炎;
  10. 关节炎。
学习目标:
  • 全面综述肘关节的正常解剖结构和生物力学特征。
  • 重点阐述优化解剖结构显示效果的关键技术要点。
  • 描述肘关节病变和损伤相关的常见MRI表现类型。
1.MRI 检查技术:

患者体位:

  • 仰卧位:患侧手臂置于身体一侧,肘关节伸直,前臂旋前。
  • 俯卧位:患侧手臂过头伸展。
  • 侧卧位:患者背部靠向MRI成像仪。

检查参数设置:

  1. 使用表面线圈。
  2. 矩阵:256×192 或 256×256。
  3. 视野:12-14 厘米。
  4. 层厚 2.5 毫米,层间距 0.5 毫米。
  5. 冠状面:脂肪抑制 T2 加权快速自旋回波序列(FS T2 FSE)、T1 加权快速自旋回波序列(T1 FSE)
  6. 轴面:脂肪抑制质子密度加权快速自旋回波序列(FS PD FSE)、T1 加权快速自旋回波序列(T1 FSE)、三维快速自旋回波质子密度加权序列(3D FSE PD)
  7. 矢状面:脂肪抑制 T2 加权快速自旋回波序列(FS T2 FSE)

直接MR关节造影

适用评估情况

  • 关节内游离体
  • 骨软骨损伤
  • 关节囊和韧带损伤
  • 投掷运动员的内侧肘关节疼痛
  • 肘关节脱位

成像方案

  • 轴面、冠状面和矢状面脂肪抑制 T1 加权快速自旋回波序列
  • 冠状面脂肪抑制 T2 加权快速自旋回波序列、脂肪抑制质子密度加权快速自旋回波序列或短反转时间反转恢复序列(STIR)
  • 三维容积序列
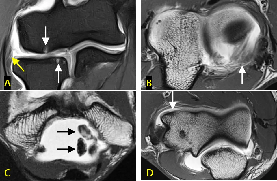
标注 A(冠状面脂肪抑制 T1 加权直接 MR 关节造影像)、B-D(轴面 T1 加权直接 MR 关节造影像):
  • A 图:骨软骨损伤(白色箭头)和外侧尺侧副韧带全层撕裂(黄色箭头)
  • B 图:后外侧滑膜皱襞(箭头)
  • C 图:关节内游离体(箭头)
  • D 图:全层软骨缺损(箭头)

远端肱二头肌腱最佳显示方式

  • 采用屈曲外展旋前位(FABS 位):肘关节屈曲、肩关节外展、前臂旋前。
  • 矢状面扫描范围应覆盖关节线上方10厘米,以显示可能回缩的肌腱。
  • 配图:3 幅不同角度 FABS 位示意图,标注 A-C;1 幅外侧尺侧副韧带显示示意图标注 D、E(E 中标注 LUCL 位置)

不同角度 FABS 位示意图

外侧尺侧副韧带(LUCL)最佳显示方式

  • 肘关节伸直时,采用相对于肱骨干呈 20° 后斜的冠状面(图中白线标注)
  • 肘关节屈曲 20°-30° 时,采用与肱骨干对齐的冠状面
  • 配图:标注 D 的示意图,展示后斜冠状面位置
外侧尺侧副韧带显示示意图标注 D、E(E 中标注 LUCL 位置)

肘关节肌腱韧带正常解剖 

Common flexor tendon(屈肌总腱)

Ulnar collateral ligament or UCL(尺侧副韧带)

Common extensor tendon(伸肌总腱)

Lateral collateral ligament(外侧副韧带)

Lateral ulnar collateral ligament(桡侧尺副韧带)

Biceps tendon(肱二头肌肌腱)

Brachialis tendon(肱肌肌腱)

Annular ligament(环状韧带)

内侧副韧带(MCL)组成:

  1. 内侧副韧带前束(AMCL)
  2. 内侧副韧带后束(PMCL)
  3. 内侧副韧带横束(TMCL)

外侧副韧带组成:

  1. 外侧尺侧副韧带(LUCL)
  2. 桡侧副韧带(RCL)
  3. 环状韧带(AL)

外侧副韧带复合体

A 图:完整的环状韧带,起自并止于尺骨半月切迹(分别用箭头和箭头头标注),环状韧带环绕桡骨头外周(* 标注)。B-D 图:完整的外侧尺侧副韧带(C、D 中 * 标注)和桡侧副韧带(B 中箭头标注);外侧尺侧副韧带从外上髁(LE 标注)延伸至尺骨的旋后肌嵴(SC 标注);桡侧副韧带从外上髁延伸至环状韧带;外侧尺侧副韧带环绕桡骨颈后方;桡侧副韧带位于外侧尺侧副韧带前方;可见共同伸肌肌腱(B 中箭头头标注)。
桡侧副韧带(RCL):
RCL。(a)28岁男性的冠状STIR磁共振成像。RCL外观均匀(箭头)。(b) RCL对应示意图(箭头)。SM = 旋后肌。
外侧尺侧副韧带(LUCL)

(a)27岁女性的冠状STIR磁共振成像。外侧尺侧副韧带近端(白色箭头)和远端(黑色箭头)信号强度正常。(b) 对应的外侧尺侧副韧带示意图显示了近端(白色箭头)和远端(黑色箭头)两个方面。CET = 伸肌总腱。
(c) 在一名32岁男性中,外侧尺侧副韧带(箭头)具有条纹信号强度图案,并广泛附着于尺骨的外翻嵴(箭头)。(d)49岁男性冠状STIR磁共振成像显示外侧尺侧副韧带近端信号强度增加(箭头)。
环状韧带(AL)
(a) 40岁男性横轴位中等加权脂肪抑制磁共振成像显示环状韧带与桡骨切迹的后方(白色箭头)和前方(黑色箭头)连接及其绕桡骨头的路径。(b) AL对应示意图显示AL在径向缺口上的后部(白色箭头)和前部(黑色箭头)连接。AM = 无尾肌,BM = 肱肌,BT = 肱肌腱。

 内侧副韧带复合体

内侧副韧带前束(白色箭头标注)从内上髁(ME 标注)下方延伸至尺骨冠突内侧的小结节(A-C中标注);内侧副韧带后束(D中黄色箭头标注)从内上髁后方延伸至鹰嘴,构成尺神经沟的底部;可见共同屈肌肌腱(箭头头标注)和尺神经(D 中标注)。
内侧副韧带前束
(a)在一名27岁女性中,内侧副韧带前束(箭头)具有条纹信号强度图案。(b) 对应的内侧副韧带前束示意图(白色箭头)。FDP = 指屈肌。(c)一名24岁男性冠状STIR磁共振成像显示内侧副韧带前束肱骨附着处信号增强(箭头)。

(a)屈曲标本内侧观:可见肘关节纤维囊由尺侧副韧带的纤维加固。除指浅屈肌肱尺头(F) 外,其余表面附着的肌肉均已剔除。尺侧副韧带前束(aU) 连接肱骨内上髁(me)与尺骨冠状突(c),同时发出指浅屈肌的深层腱纤维(tF)。需注意,指浅屈肌与尺侧副韧带前束的纤维结构及排列方式相似。构成指浅屈肌肱尺头的浅层肌纤维(mF)与深层腱纤维,分别起自肱骨内上髁和尺骨冠状突。尺侧副韧带后束(pU) 则附着于肱骨内上髁与尺骨鹰嘴(O)。图中 H 代表肱骨干。

(b)伸直标本前侧观:可见尺侧副韧带前束(aU)走行,其连接肱骨内上髁(me)与尺骨冠状突(c)。指浅屈肌(F)的表层腱纤维(tF)既起自前束外表面,也起自尺骨冠状突。指浅屈肌中位置更浅的肌纤维(mF)以短腱形式起自肱骨内上髁,随后与腱纤维融合,共同构成该肌的肱尺头。

(c)低倍光镜照片:显示尺侧副韧带前束两侧的滑膜下纤维组织(S)与滑膜(箭头标注区间)。可见前束呈假层状外观,但镜下无法观察到一层以上的独立结构。

(d)低倍光镜照片:显示尺侧副韧带前束(aU)。该韧带前束与指浅屈肌腱纤维(tF)之间,由滑膜裂隙(箭头标注)和滑膜下纤维组织(S)分隔开。图中 f 代表脂肪组织,mF 代表指浅屈肌的肌纤维。

a、b)为肘关节标本的冠状位 T1 加权自旋回波磁共振成像。其中(a)为关节腔内注射钆喷酸葡胺的成像,(b)为注射的成像,均可显示尺侧副韧带前束(箭头所示)。该韧带远端紧密附着于尺骨冠状突(长箭所示)。需注意指浅屈肌位置较浅的肌纤维(短箭所示),以及尺侧副韧带前束起点处的脂肪交错分布情况。
(c)为肘关节标本的冠状位切片,同样可见尺侧副韧带前束(箭头所示)与尺骨冠状突(黑箭所示)的紧密附着。此外,还能观察到指浅屈肌位置较浅的肌纤维,以及这些肌纤维附着于肱骨内上髁的腱性组织(白箭所示)。
(d、e)为肘关节标本的斜冠状位 T1 加权自旋回波磁共振成像。其中(d)为关节腔内注射钆喷酸葡胺的成像,(e)为注射的成像,均能显示尺侧副韧带前束(箭头所示)。
(a)关节腔内注射钆喷酸葡胺、(b)注射获取的肘关节冠状位 T1 加权自旋回波磁共振图像,以及(c)对应的标本切片,均显示尺侧副韧带前束(箭头所示)与尺骨冠状突(箭所示)相互分离。

(d)组织学切片照片可见,尺侧副韧带前束(箭所示)附着于尺骨冠状突骨膜,附着点位于关节边缘远侧3毫米处。该韧带前束为单层结构,并与一层存在空泡样变性的纤维软骨(FC)相融合。上述表现符合轻度退行性改变。图中 C 代表关节囊,H 代表肱骨,mF 代表指浅屈肌肌纤维,r 代表滑膜隐窝,S 代表滑膜,U 代表尺骨。

尺神经

  1. 尺神经在尺神经沟内与尺侧返血管伴行。
  2. 在 T2 加权序列上,尺神经沟内尺神经的信号强度通常高于其沟近端或远端的神经信号。
  3. 尺神经支配尺侧腕屈肌、指深屈肌的内侧部分、第3-4蚓状肌、掌侧和背侧骨间肌以及小鱼际肌。

尺神经(黄色箭头标注);可见肱三头肌(长头)(A 中白色箭头标注)、指深屈肌(C 中黑色标注)、尺侧腕屈肌(肱骨头)(C 中白色标注)、尺侧腕屈肌(尺骨头)(C 中黄色标注)、尺侧腕屈肌(D 中红色标注)、指浅屈肌(C、D 中蓝色 * 标注);ME = 内上髁,OP = 鹰嘴

尺神经沟(骨纤维通道)结构

  • 尺神经沟的底部由内侧副韧带后束和关节囊构成。
  • 尺神经沟的顶部由尺神经沟支持带和尺侧腕屈肌筋膜深层(弓状韧带)构成。
内侧副韧带后束(蓝色箭头标注)、尺神经沟支持带(A 中箭头头标注)、弓状韧带(B 中箭头头标注)、尺神经(黄色箭头标注);可见尺侧腕屈肌(B 中黑色箭头标注)和共同屈肌肌腱(B 中白色箭头标注)。
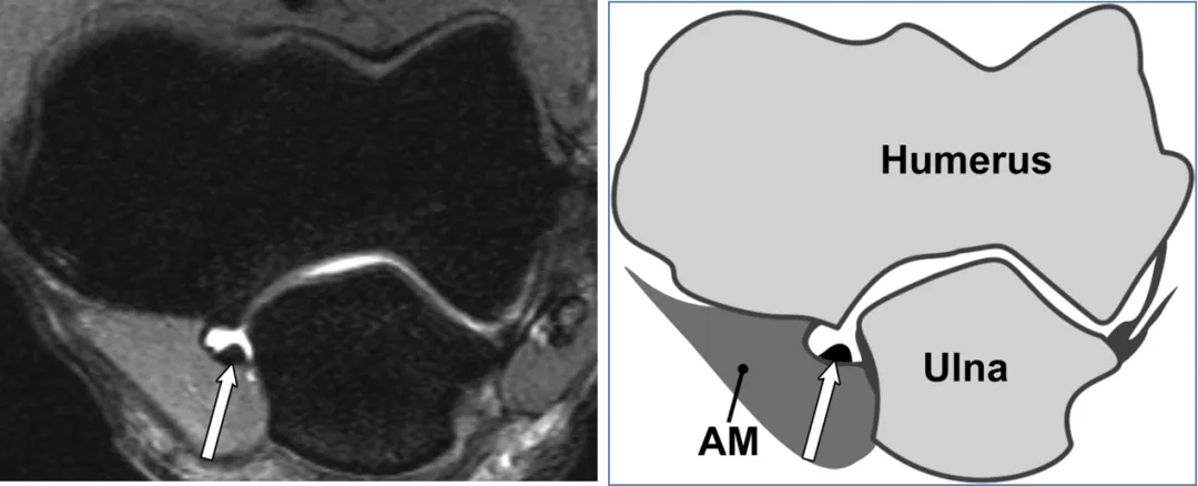
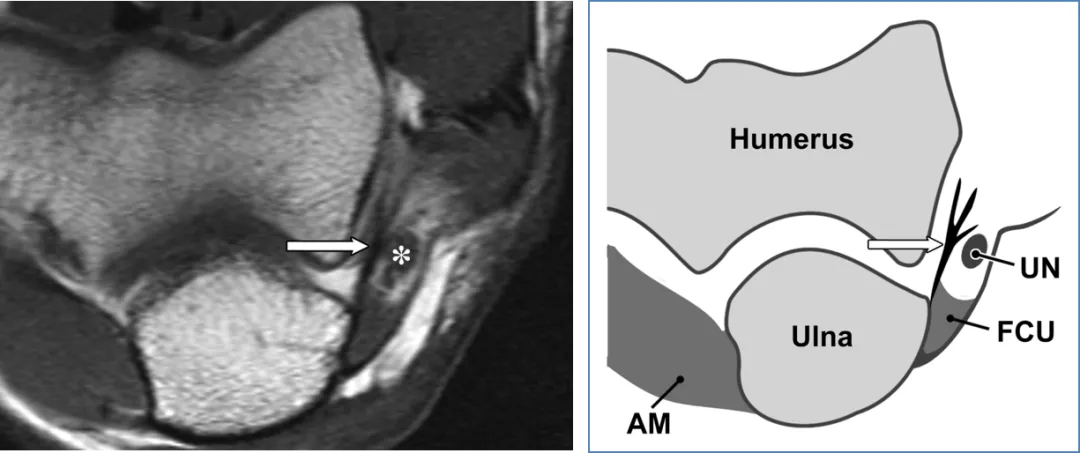
尺神经解剖及示意图:
a)33 岁女性受试者的横轴位 T1 加权磁共振成像,以及(b)对应的示意图,均清晰显示尺侧副韧带后束(箭头所示)和尺神经(图 a 中星号标注,缩写为 UN)。图中 AM 代表肘肌,FCU 代表尺侧腕屈肌。

正中神经:

  1. 前骨间神经(AIN)在前臂近端从正中神经分出。
  2. 正中神经支配旋前圆肌、桡侧腕屈肌、掌长肌和指浅屈肌。
  3. 前骨间神经支配拇长屈肌、旋前方肌和指深屈肌的桡侧部分。
正中神经(黄色箭头标注);可见肱肌(A-C 中蓝色标注)、旋前圆肌(肱骨头)(C、D 中白色标注)、旋前圆肌(尺骨头)(D 中白色箭头标注)、桡侧腕屈肌(C、D 中黄色标注)、指浅屈肌(C、D 中红色标注)、旋前肌(D 中黑色 * 标注)、肱二头肌腱(白色箭头头标注)、肱肌腱(A-C 中黑色箭头头标注)、前臂深筋膜(C 中绿色箭头头标注)、尺动脉(红色箭头头标注)、桡动脉(蓝色箭头头标注)。

桡神经:

  1. 桡神经深支穿过旋前圆肌两头之间后,延续为后骨间神经(PIN)。
  2. 桡神经支配肱三头肌、肘肌、肱桡肌和桡侧腕长伸肌。
  3. 桡神经深支支配桡侧腕短伸肌和旋前圆肌。
  4. 后骨间神经支配前臂伸肌肌群。
桡神经(A 中箭头标注)、桡神经浅支(B、C 中黄色箭头标注)、桡神经深支(B、C 中蓝色箭头标注)、后骨间神经(D 中箭头标注);可见肱肌(A-C 中蓝色标注)、肱桡肌(白色标注)、桡侧腕长伸肌(黄色标注)、桡侧腕短伸肌(C、D 中红色标注)、旋前肌深头(D 中白色箭头头标注)、旋前肌浅头(D 中黑色箭头头标注)、肱二头肌腱(绿色箭头头标注)、肱肌腱(A-C 中蓝色箭头头标注)。

肘关节正常解剖 - 肌肉与肌腱

展示不同肌肉和肌腱;各结构缩写及对应中文:ANC = 肘肌,BB = 肱二头肌,BBT = 肱二头肌腱,BR = 肱肌,BRa = 肱桡肌,BT = 肱肌腱,CET = 共同伸肌肌腱,CFT = 共同屈肌肌腱,ECRB = 桡侧腕短伸肌,ECRL = 桡侧腕长伸肌,ECU = 尺侧腕伸肌,ED = 指伸肌,FCR = 桡侧腕屈肌,FCU = 尺侧腕屈肌,FCUH = 尺侧腕屈肌(肱骨头),FCUU = 尺侧腕屈肌(尺骨头),FDP = 指深屈肌,FDS = 指浅屈肌,LF = 肱二头肌腱膜,PL = 掌长肌,PR = 旋前圆肌,SUP = 旋前肌,TL = 肱三头肌(长头),TLT = 肱三头肌(外侧头),TM = 肱三头肌(内侧头)。

正常变异与诊断陷阱(一)

  • 滑车沟假缺损(A 图):不应与骨软骨缺损混淆(箭头标注);成像序列:矢状面 T2 加权快速自旋回波图像;
  • 横行滑车嵴(B 图):不应与中央骨赘混淆(箭头标注);成像序列:矢状面 T1 加权快速自旋回波图像;
  • 肱骨小头假缺损(C 图):肱骨小头后下侧的正常裸露区(箭头标注),不应与骨软骨损伤混淆;成像序列:矢状面脂肪抑制 T2 加权快速自旋回波图像;
  • 3 幅对应 MRI 图像(标注 A-C)
滑车沟假缺损

正常变异与诊断陷阱(二)

  • 肘肌上髁肌(A 图):人群发生率约 25%(白色箭头标注),可能与尺神经卡压相关(黄色箭头标注);成像序列:轴面脂肪抑制 PD 加权图像;
  • 液体敏感序列上信号增高的尺神经(B 图):约 60% 无症状人群可见(箭头标注);成像序列:轴面脂肪抑制 PD 加权图像;
  • 完整的内侧副韧带前束(AMCL)复合体(C 图):其远端附着点可位于关节线下 3mm 处(箭头标注);成像序列:冠状面 PD 加权图像。

正常变异与诊断陷阱(三)

  • 环状韧带(A 图):前侧附着于尺骨,表现为单一的条带(箭头标注);后侧附着于尺骨时可能存在正常的开窗现象(箭头头标注);成像序列:轴面脂肪抑制 PD 加权图像;
  • 内侧副韧带前束(B 图):87%-90% 健康人群中,其近端呈条纹状表现;成像序列:冠状面 PD 加权图像;
  • 分叉的远端肱二头肌腱(C 图):分为长头腱和短头腱(箭头标注);成像序列:轴面脂肪抑制 PD 加权图像。
滑膜皱襞
后外侧滑膜皱襞,是关节滑膜增生折叠形成的结构,过度增生或损伤时可能引发关节不适。
(a)33 岁女性受试者的矢状位 T2 加权磁共振成像,以及(b)对应的示意图,清晰显示出后外侧滑膜皱襞的前后径(白色箭头所示)与头尾径(黑色箭头所示)。图中 AM 代表肘肌。
(c)与图 a 相同的磁共振影像,以及(d)对应的示意图,显示出肱骨小头的假性缺损(箭头所示),及其与后外侧滑膜皱襞的密切关联。图中 AM 代表肘肌。

(e)同一志愿者的冠状位三维稳态进动快速成像磁共振影像,以及(f)对应的示意图,显示出后外侧滑膜皱襞的外侧部分(箭头所示)。图中 CET 代表共同伸肌腱,ED 代表指伸肌,SM 代表旋后肌。

后方滑膜皱襞,是肘关节内滑膜折叠形成的结构,若受到反复刺激可能诱发炎症反应。

(a)26 岁男性受试者的横轴位质子密度加权脂肪抑制磁共振成像,以及(b)对应的示意图,均显示出后方滑膜皱襞(箭头所示)。图中 AM 代表肘肌。

水平有限,部分翻译可能不准确,如有错谬,还望各位不吝赐教;如有帮助,还望各位点赞推荐支持支持。

最新文章

随机文章

基本 文件 流程 错误 SQL 调试
  1. 请求信息 : 2026-05-22 16:10:23 HTTP/2.0 GET : https://67808.cn/a/459084.html
  2. 运行时间 : 0.075796s [ 吞吐率:13.19req/s ] 内存消耗:4,276.72kb 文件加载:140
  3. 缓存信息 : 0 reads,0 writes
  4. 会话信息 : SESSION_ID=8d087f95d9aa60e1924e80d163b1a5ce
  1. /yingpanguazai/ssd/ssd1/www/no.67808.cn/public/index.php ( 0.79 KB )
  2. /yingpanguazai/ssd/ssd1/www/no.67808.cn/vendor/autoload.php ( 0.17 KB )
  3. /yingpanguazai/ssd/ssd1/www/no.67808.cn/vendor/composer/autoload_real.php ( 2.49 KB )
  4. /yingpanguazai/ssd/ssd1/www/no.67808.cn/vendor/composer/platform_check.php ( 0.90 KB )
  5. /yingpanguazai/ssd/ssd1/www/no.67808.cn/vendor/composer/ClassLoader.php ( 14.03 KB )
  6. /yingpanguazai/ssd/ssd1/www/no.67808.cn/vendor/composer/autoload_static.php ( 4.90 KB )
  7. /yingpanguazai/ssd/ssd1/www/no.67808.cn/vendor/topthink/think-helper/src/helper.php ( 8.34 KB )
  8. /yingpanguazai/ssd/ssd1/www/no.67808.cn/vendor/topthink/think-validate/src/helper.php ( 2.19 KB )
  9. /yingpanguazai/ssd/ssd1/www/no.67808.cn/vendor/topthink/think-orm/src/helper.php ( 1.47 KB )
  10. /yingpanguazai/ssd/ssd1/www/no.67808.cn/vendor/topthink/think-orm/stubs/load_stubs.php ( 0.16 KB )
  11. /yingpanguazai/ssd/ssd1/www/no.67808.cn/vendor/topthink/framework/src/think/Exception.php ( 1.69 KB )
  12. /yingpanguazai/ssd/ssd1/www/no.67808.cn/vendor/topthink/think-container/src/Facade.php ( 2.71 KB )
  13. /yingpanguazai/ssd/ssd1/www/no.67808.cn/vendor/symfony/deprecation-contracts/function.php ( 0.99 KB )
  14. /yingpanguazai/ssd/ssd1/www/no.67808.cn/vendor/symfony/polyfill-mbstring/bootstrap.php ( 8.26 KB )
  15. /yingpanguazai/ssd/ssd1/www/no.67808.cn/vendor/symfony/polyfill-mbstring/bootstrap80.php ( 9.78 KB )
  16. /yingpanguazai/ssd/ssd1/www/no.67808.cn/vendor/symfony/var-dumper/Resources/functions/dump.php ( 1.49 KB )
  17. /yingpanguazai/ssd/ssd1/www/no.67808.cn/vendor/topthink/think-dumper/src/helper.php ( 0.18 KB )
  18. /yingpanguazai/ssd/ssd1/www/no.67808.cn/vendor/symfony/var-dumper/VarDumper.php ( 4.30 KB )
  19. /yingpanguazai/ssd/ssd1/www/no.67808.cn/vendor/topthink/framework/src/think/App.php ( 15.30 KB )
  20. /yingpanguazai/ssd/ssd1/www/no.67808.cn/vendor/topthink/think-container/src/Container.php ( 15.76 KB )
  21. /yingpanguazai/ssd/ssd1/www/no.67808.cn/vendor/psr/container/src/ContainerInterface.php ( 1.02 KB )
  22. /yingpanguazai/ssd/ssd1/www/no.67808.cn/app/provider.php ( 0.19 KB )
  23. /yingpanguazai/ssd/ssd1/www/no.67808.cn/vendor/topthink/framework/src/think/Http.php ( 6.04 KB )
  24. /yingpanguazai/ssd/ssd1/www/no.67808.cn/vendor/topthink/think-helper/src/helper/Str.php ( 7.29 KB )
  25. /yingpanguazai/ssd/ssd1/www/no.67808.cn/vendor/topthink/framework/src/think/Env.php ( 4.68 KB )
  26. /yingpanguazai/ssd/ssd1/www/no.67808.cn/app/common.php ( 0.03 KB )
  27. /yingpanguazai/ssd/ssd1/www/no.67808.cn/vendor/topthink/framework/src/helper.php ( 18.78 KB )
  28. /yingpanguazai/ssd/ssd1/www/no.67808.cn/vendor/topthink/framework/src/think/Config.php ( 5.54 KB )
  29. /yingpanguazai/ssd/ssd1/www/no.67808.cn/config/app.php ( 0.95 KB )
  30. /yingpanguazai/ssd/ssd1/www/no.67808.cn/config/cache.php ( 0.78 KB )
  31. /yingpanguazai/ssd/ssd1/www/no.67808.cn/config/console.php ( 0.23 KB )
  32. /yingpanguazai/ssd/ssd1/www/no.67808.cn/config/cookie.php ( 0.56 KB )
  33. /yingpanguazai/ssd/ssd1/www/no.67808.cn/config/database.php ( 2.48 KB )
  34. /yingpanguazai/ssd/ssd1/www/no.67808.cn/vendor/topthink/framework/src/think/facade/Env.php ( 1.67 KB )
  35. /yingpanguazai/ssd/ssd1/www/no.67808.cn/config/filesystem.php ( 0.61 KB )
  36. /yingpanguazai/ssd/ssd1/www/no.67808.cn/config/lang.php ( 0.91 KB )
  37. /yingpanguazai/ssd/ssd1/www/no.67808.cn/config/log.php ( 1.35 KB )
  38. /yingpanguazai/ssd/ssd1/www/no.67808.cn/config/middleware.php ( 0.19 KB )
  39. /yingpanguazai/ssd/ssd1/www/no.67808.cn/config/route.php ( 1.89 KB )
  40. /yingpanguazai/ssd/ssd1/www/no.67808.cn/config/session.php ( 0.57 KB )
  41. /yingpanguazai/ssd/ssd1/www/no.67808.cn/config/trace.php ( 0.34 KB )
  42. /yingpanguazai/ssd/ssd1/www/no.67808.cn/config/view.php ( 0.82 KB )
  43. /yingpanguazai/ssd/ssd1/www/no.67808.cn/app/event.php ( 0.25 KB )
  44. /yingpanguazai/ssd/ssd1/www/no.67808.cn/vendor/topthink/framework/src/think/Event.php ( 7.67 KB )
  45. /yingpanguazai/ssd/ssd1/www/no.67808.cn/app/service.php ( 0.13 KB )
  46. /yingpanguazai/ssd/ssd1/www/no.67808.cn/app/AppService.php ( 0.26 KB )
  47. /yingpanguazai/ssd/ssd1/www/no.67808.cn/vendor/topthink/framework/src/think/Service.php ( 1.64 KB )
  48. /yingpanguazai/ssd/ssd1/www/no.67808.cn/vendor/topthink/framework/src/think/Lang.php ( 7.35 KB )
  49. /yingpanguazai/ssd/ssd1/www/no.67808.cn/vendor/topthink/framework/src/lang/zh-cn.php ( 13.70 KB )
  50. /yingpanguazai/ssd/ssd1/www/no.67808.cn/vendor/topthink/framework/src/think/initializer/Error.php ( 3.31 KB )
  51. /yingpanguazai/ssd/ssd1/www/no.67808.cn/vendor/topthink/framework/src/think/initializer/RegisterService.php ( 1.33 KB )
  52. /yingpanguazai/ssd/ssd1/www/no.67808.cn/vendor/services.php ( 0.14 KB )
  53. /yingpanguazai/ssd/ssd1/www/no.67808.cn/vendor/topthink/framework/src/think/service/PaginatorService.php ( 1.52 KB )
  54. /yingpanguazai/ssd/ssd1/www/no.67808.cn/vendor/topthink/framework/src/think/service/ValidateService.php ( 0.99 KB )
  55. /yingpanguazai/ssd/ssd1/www/no.67808.cn/vendor/topthink/framework/src/think/service/ModelService.php ( 2.04 KB )
  56. /yingpanguazai/ssd/ssd1/www/no.67808.cn/vendor/topthink/think-trace/src/Service.php ( 0.77 KB )
  57. /yingpanguazai/ssd/ssd1/www/no.67808.cn/vendor/topthink/framework/src/think/Middleware.php ( 6.72 KB )
  58. /yingpanguazai/ssd/ssd1/www/no.67808.cn/vendor/topthink/framework/src/think/initializer/BootService.php ( 0.77 KB )
  59. /yingpanguazai/ssd/ssd1/www/no.67808.cn/vendor/topthink/think-orm/src/Paginator.php ( 11.86 KB )
  60. /yingpanguazai/ssd/ssd1/www/no.67808.cn/vendor/topthink/think-validate/src/Validate.php ( 63.20 KB )
  61. /yingpanguazai/ssd/ssd1/www/no.67808.cn/vendor/topthink/think-orm/src/Model.php ( 23.55 KB )
  62. /yingpanguazai/ssd/ssd1/www/no.67808.cn/vendor/topthink/think-orm/src/model/concern/Attribute.php ( 21.05 KB )
  63. /yingpanguazai/ssd/ssd1/www/no.67808.cn/vendor/topthink/think-orm/src/model/concern/AutoWriteData.php ( 4.21 KB )
  64. /yingpanguazai/ssd/ssd1/www/no.67808.cn/vendor/topthink/think-orm/src/model/concern/Conversion.php ( 6.44 KB )
  65. /yingpanguazai/ssd/ssd1/www/no.67808.cn/vendor/topthink/think-orm/src/model/concern/DbConnect.php ( 5.16 KB )
  66. /yingpanguazai/ssd/ssd1/www/no.67808.cn/vendor/topthink/think-orm/src/model/concern/ModelEvent.php ( 2.33 KB )
  67. /yingpanguazai/ssd/ssd1/www/no.67808.cn/vendor/topthink/think-orm/src/model/concern/RelationShip.php ( 28.29 KB )
  68. /yingpanguazai/ssd/ssd1/www/no.67808.cn/vendor/topthink/think-helper/src/contract/Arrayable.php ( 0.09 KB )
  69. /yingpanguazai/ssd/ssd1/www/no.67808.cn/vendor/topthink/think-helper/src/contract/Jsonable.php ( 0.13 KB )
  70. /yingpanguazai/ssd/ssd1/www/no.67808.cn/vendor/topthink/think-orm/src/model/contract/Modelable.php ( 0.09 KB )
  71. /yingpanguazai/ssd/ssd1/www/no.67808.cn/vendor/topthink/framework/src/think/Db.php ( 2.88 KB )
  72. /yingpanguazai/ssd/ssd1/www/no.67808.cn/vendor/topthink/think-orm/src/DbManager.php ( 8.52 KB )
  73. /yingpanguazai/ssd/ssd1/www/no.67808.cn/vendor/topthink/framework/src/think/Log.php ( 6.28 KB )
  74. /yingpanguazai/ssd/ssd1/www/no.67808.cn/vendor/topthink/framework/src/think/Manager.php ( 3.92 KB )
  75. /yingpanguazai/ssd/ssd1/www/no.67808.cn/vendor/psr/log/src/LoggerTrait.php ( 2.69 KB )
  76. /yingpanguazai/ssd/ssd1/www/no.67808.cn/vendor/psr/log/src/LoggerInterface.php ( 2.71 KB )
  77. /yingpanguazai/ssd/ssd1/www/no.67808.cn/vendor/topthink/framework/src/think/Cache.php ( 4.92 KB )
  78. /yingpanguazai/ssd/ssd1/www/no.67808.cn/vendor/psr/simple-cache/src/CacheInterface.php ( 4.71 KB )
  79. /yingpanguazai/ssd/ssd1/www/no.67808.cn/vendor/topthink/think-helper/src/helper/Arr.php ( 16.63 KB )
  80. /yingpanguazai/ssd/ssd1/www/no.67808.cn/vendor/topthink/framework/src/think/cache/driver/File.php ( 7.84 KB )
  81. /yingpanguazai/ssd/ssd1/www/no.67808.cn/vendor/topthink/framework/src/think/cache/Driver.php ( 9.03 KB )
  82. /yingpanguazai/ssd/ssd1/www/no.67808.cn/vendor/topthink/framework/src/think/contract/CacheHandlerInterface.php ( 1.99 KB )
  83. /yingpanguazai/ssd/ssd1/www/no.67808.cn/app/Request.php ( 0.09 KB )
  84. /yingpanguazai/ssd/ssd1/www/no.67808.cn/vendor/topthink/framework/src/think/Request.php ( 55.78 KB )
  85. /yingpanguazai/ssd/ssd1/www/no.67808.cn/app/middleware.php ( 0.25 KB )
  86. /yingpanguazai/ssd/ssd1/www/no.67808.cn/vendor/topthink/framework/src/think/Pipeline.php ( 2.61 KB )
  87. /yingpanguazai/ssd/ssd1/www/no.67808.cn/vendor/topthink/think-trace/src/TraceDebug.php ( 3.40 KB )
  88. /yingpanguazai/ssd/ssd1/www/no.67808.cn/vendor/topthink/framework/src/think/middleware/SessionInit.php ( 1.94 KB )
  89. /yingpanguazai/ssd/ssd1/www/no.67808.cn/vendor/topthink/framework/src/think/Session.php ( 1.80 KB )
  90. /yingpanguazai/ssd/ssd1/www/no.67808.cn/vendor/topthink/framework/src/think/session/driver/File.php ( 6.27 KB )
  91. /yingpanguazai/ssd/ssd1/www/no.67808.cn/vendor/topthink/framework/src/think/contract/SessionHandlerInterface.php ( 0.87 KB )
  92. /yingpanguazai/ssd/ssd1/www/no.67808.cn/vendor/topthink/framework/src/think/session/Store.php ( 7.12 KB )
  93. /yingpanguazai/ssd/ssd1/www/no.67808.cn/vendor/topthink/framework/src/think/Route.php ( 23.73 KB )
  94. /yingpanguazai/ssd/ssd1/www/no.67808.cn/vendor/topthink/framework/src/think/route/RuleName.php ( 5.75 KB )
  95. /yingpanguazai/ssd/ssd1/www/no.67808.cn/vendor/topthink/framework/src/think/route/Domain.php ( 2.53 KB )
  96. /yingpanguazai/ssd/ssd1/www/no.67808.cn/vendor/topthink/framework/src/think/route/RuleGroup.php ( 22.43 KB )
  97. /yingpanguazai/ssd/ssd1/www/no.67808.cn/vendor/topthink/framework/src/think/route/Rule.php ( 26.95 KB )
  98. /yingpanguazai/ssd/ssd1/www/no.67808.cn/vendor/topthink/framework/src/think/route/RuleItem.php ( 9.78 KB )
  99. /yingpanguazai/ssd/ssd1/www/no.67808.cn/route/app.php ( 1.72 KB )
  100. /yingpanguazai/ssd/ssd1/www/no.67808.cn/vendor/topthink/framework/src/think/facade/Route.php ( 4.70 KB )
  101. /yingpanguazai/ssd/ssd1/www/no.67808.cn/vendor/topthink/framework/src/think/route/dispatch/Controller.php ( 4.74 KB )
  102. /yingpanguazai/ssd/ssd1/www/no.67808.cn/vendor/topthink/framework/src/think/route/Dispatch.php ( 10.44 KB )
  103. /yingpanguazai/ssd/ssd1/www/no.67808.cn/app/controller/Index.php ( 4.81 KB )
  104. /yingpanguazai/ssd/ssd1/www/no.67808.cn/app/BaseController.php ( 2.05 KB )
  105. /yingpanguazai/ssd/ssd1/www/no.67808.cn/vendor/topthink/think-orm/src/facade/Db.php ( 0.93 KB )
  106. /yingpanguazai/ssd/ssd1/www/no.67808.cn/vendor/topthink/think-orm/src/db/connector/Mysql.php ( 5.44 KB )
  107. /yingpanguazai/ssd/ssd1/www/no.67808.cn/vendor/topthink/think-orm/src/db/PDOConnection.php ( 52.47 KB )
  108. /yingpanguazai/ssd/ssd1/www/no.67808.cn/vendor/topthink/think-orm/src/db/Connection.php ( 8.39 KB )
  109. /yingpanguazai/ssd/ssd1/www/no.67808.cn/vendor/topthink/think-orm/src/db/ConnectionInterface.php ( 4.57 KB )
  110. /yingpanguazai/ssd/ssd1/www/no.67808.cn/vendor/topthink/think-orm/src/db/builder/Mysql.php ( 16.58 KB )
  111. /yingpanguazai/ssd/ssd1/www/no.67808.cn/vendor/topthink/think-orm/src/db/Builder.php ( 24.06 KB )
  112. /yingpanguazai/ssd/ssd1/www/no.67808.cn/vendor/topthink/think-orm/src/db/BaseBuilder.php ( 27.50 KB )
  113. /yingpanguazai/ssd/ssd1/www/no.67808.cn/vendor/topthink/think-orm/src/db/Query.php ( 15.71 KB )
  114. /yingpanguazai/ssd/ssd1/www/no.67808.cn/vendor/topthink/think-orm/src/db/BaseQuery.php ( 45.13 KB )
  115. /yingpanguazai/ssd/ssd1/www/no.67808.cn/vendor/topthink/think-orm/src/db/concern/TimeFieldQuery.php ( 7.43 KB )
  116. /yingpanguazai/ssd/ssd1/www/no.67808.cn/vendor/topthink/think-orm/src/db/concern/AggregateQuery.php ( 3.26 KB )
  117. /yingpanguazai/ssd/ssd1/www/no.67808.cn/vendor/topthink/think-orm/src/db/concern/ModelRelationQuery.php ( 20.07 KB )
  118. /yingpanguazai/ssd/ssd1/www/no.67808.cn/vendor/topthink/think-orm/src/db/concern/ParamsBind.php ( 3.66 KB )
  119. /yingpanguazai/ssd/ssd1/www/no.67808.cn/vendor/topthink/think-orm/src/db/concern/ResultOperation.php ( 7.01 KB )
  120. /yingpanguazai/ssd/ssd1/www/no.67808.cn/vendor/topthink/think-orm/src/db/concern/WhereQuery.php ( 19.37 KB )
  121. /yingpanguazai/ssd/ssd1/www/no.67808.cn/vendor/topthink/think-orm/src/db/concern/JoinAndViewQuery.php ( 7.11 KB )
  122. /yingpanguazai/ssd/ssd1/www/no.67808.cn/vendor/topthink/think-orm/src/db/concern/TableFieldInfo.php ( 2.63 KB )
  123. /yingpanguazai/ssd/ssd1/www/no.67808.cn/vendor/topthink/think-orm/src/db/concern/Transaction.php ( 2.77 KB )
  124. /yingpanguazai/ssd/ssd1/www/no.67808.cn/vendor/topthink/framework/src/think/log/driver/File.php ( 5.96 KB )
  125. /yingpanguazai/ssd/ssd1/www/no.67808.cn/vendor/topthink/framework/src/think/contract/LogHandlerInterface.php ( 0.86 KB )
  126. /yingpanguazai/ssd/ssd1/www/no.67808.cn/vendor/topthink/framework/src/think/log/Channel.php ( 3.89 KB )
  127. /yingpanguazai/ssd/ssd1/www/no.67808.cn/vendor/topthink/framework/src/think/event/LogRecord.php ( 1.02 KB )
  128. /yingpanguazai/ssd/ssd1/www/no.67808.cn/vendor/topthink/think-helper/src/Collection.php ( 16.47 KB )
  129. /yingpanguazai/ssd/ssd1/www/no.67808.cn/vendor/topthink/framework/src/think/facade/View.php ( 1.70 KB )
  130. /yingpanguazai/ssd/ssd1/www/no.67808.cn/vendor/topthink/framework/src/think/View.php ( 4.39 KB )
  131. /yingpanguazai/ssd/ssd1/www/no.67808.cn/vendor/topthink/framework/src/think/Response.php ( 8.81 KB )
  132. /yingpanguazai/ssd/ssd1/www/no.67808.cn/vendor/topthink/framework/src/think/response/View.php ( 3.29 KB )
  133. /yingpanguazai/ssd/ssd1/www/no.67808.cn/vendor/topthink/framework/src/think/Cookie.php ( 6.06 KB )
  134. /yingpanguazai/ssd/ssd1/www/no.67808.cn/vendor/topthink/think-view/src/Think.php ( 8.38 KB )
  135. /yingpanguazai/ssd/ssd1/www/no.67808.cn/vendor/topthink/framework/src/think/contract/TemplateHandlerInterface.php ( 1.60 KB )
  136. /yingpanguazai/ssd/ssd1/www/no.67808.cn/vendor/topthink/think-template/src/Template.php ( 46.61 KB )
  137. /yingpanguazai/ssd/ssd1/www/no.67808.cn/vendor/topthink/think-template/src/template/driver/File.php ( 2.41 KB )
  138. /yingpanguazai/ssd/ssd1/www/no.67808.cn/vendor/topthink/think-template/src/template/contract/DriverInterface.php ( 0.86 KB )
  139. /yingpanguazai/ssd/ssd1/www/no.67808.cn/runtime/temp/6df755f970a38e704c5414acbc6e8bcd.php ( 12.06 KB )
  140. /yingpanguazai/ssd/ssd1/www/no.67808.cn/vendor/topthink/think-trace/src/Html.php ( 4.42 KB )
  1. CONNECT:[ UseTime:0.000459s ] mysql:host=127.0.0.1;port=3306;dbname=no_67808;charset=utf8mb4
  2. SHOW FULL COLUMNS FROM `fenlei` [ RunTime:0.000700s ]
  3. SELECT * FROM `fenlei` WHERE `fid` = 0 [ RunTime:0.000302s ]
  4. SELECT * FROM `fenlei` WHERE `fid` = 63 [ RunTime:0.000298s ]
  5. SHOW FULL COLUMNS FROM `set` [ RunTime:0.000542s ]
  6. SELECT * FROM `set` [ RunTime:0.000462s ]
  7. SHOW FULL COLUMNS FROM `article` [ RunTime:0.000612s ]
  8. SELECT * FROM `article` WHERE `id` = 459084 LIMIT 1 [ RunTime:0.000581s ]
  9. UPDATE `article` SET `lasttime` = 1779437423 WHERE `id` = 459084 [ RunTime:0.001008s ]
  10. SELECT * FROM `fenlei` WHERE `id` = 65 LIMIT 1 [ RunTime:0.000275s ]
  11. SELECT * FROM `article` WHERE `id` < 459084 ORDER BY `id` DESC LIMIT 1 [ RunTime:0.000564s ]
  12. SELECT * FROM `article` WHERE `id` > 459084 ORDER BY `id` ASC LIMIT 1 [ RunTime:0.000575s ]
  13. SELECT * FROM `article` WHERE `id` < 459084 ORDER BY `id` DESC LIMIT 10 [ RunTime:0.002880s ]
  14. SELECT * FROM `article` WHERE `id` < 459084 ORDER BY `id` DESC LIMIT 10,10 [ RunTime:0.001396s ]
  15. SELECT * FROM `article` WHERE `id` < 459084 ORDER BY `id` DESC LIMIT 20,10 [ RunTime:0.000691s ]
0.077386s