正常垂体的MRI表现
在基层医院处理垂体疾病的机会少,我在一家民营医院上班,医院建了新院区,购置了很多先进设备,其中包括3.0T核磁共振,所以在门诊看到垂体相关疾病的机会多了很多。
熟悉核磁共振各序列上正常垂体及其周围重要结构的特点是基础,没有这个基础,就无法识别病变。
上图就是我这方面指示欠缺的例子。所以近期我对以下知识点进行了复习:①垂体的结构组成、毗邻结构。②垂体各个部分在影像学中的信号特点及其原理;③垂体及其毗邻结构在各个断层影像上的识别。
一、垂体及其毗邻结构术语
(一)垂体的结构组成
在解剖学上(anatomically),垂体是一个“二合一(two-in-one)”结构,由腺垂体和神经垂体组成,二者有不同的胚胎起源。
1. 腺垂体(adenohypophysis)
质较硬。与蝶鞍粘连较松容易分离。主要由腺细胞组成。腺垂体分为3部分:
前部(pars anterior)= 远侧部(pars distalis)= 腺部(pars glandularis):是最大的部分,负责激素分泌;
中间部(pars intermedia)是一层薄薄的上皮层,将前后叶分开;
结节部(pars tuberalis)为垂体前部向上延伸包绕垂体柄(漏斗)[pituitary stalk (infundibulum)]下部前外侧面的部分。
2. 神经垂体(neurohypophysis)
质软,呈凝胶状。与蝶鞍粘连紧密。主要由下丘脑的轴突投射组成。神经垂体分为3部分:
后部(pars posterior)= 神经部(pars nervosa)= 后叶(posterior lobe)
漏斗干(infundibular stem)
正中隆起(median eminence)。
3. 漏斗(infundibulum)
同义词(synonym): 垂体柄(pituitary stalk)
组成:漏斗干(infundibular stem)+ 结节部(pars tuberalis)。


(二)垂体周围的重要神经血管结构
1. superiorly
下丘脑。The pituitarygland projects from the inferior aspect of the hypothalamus.
鞍膈。The pituitarygland is covered by a dural fold (diaphragm sella).
内含视交叉的鞍上池(suprasellarcistern containing the optic chiasm.)
2. laterally
海绵窦。cavernoussinuses (a large, thin-walled venous plexus).
海绵窦内含颈内动脉,动眼、滑车、外展、眼和上颌神经。The cavernoussinuses contain the internal carotid artery and cranial nerves III,(oculomotor), IV (trochlear), V [trigeminal, branches V1 (ophthalmic) and V2(maxillary)], and VI (abducens).
3. anteriorly\inferiorly\posteriorly
蝶鞍(Sella turcica)
蝶窦(sphenoid sinus)
斜坡(clival)

二、垂体的MR信号特点
(一)MR平扫
1. 腺垂体等信号:
T1WI上腺垂体与颞叶白质信号相似。
2. 神经垂体高信号:
目前公认,T1WI蝶鞍后部高信号代表了垂体后叶血管加压素的存储。
这个T1高信号标志着垂体后叶处于正常功能状态,中枢性尿崩症患者此高信号消失。
由于扫描技术问题或解剖学原因,比如鞍背富含脂肪或过厚。正常人的矢状位影像上可能看不到垂体后叶的高信号。

(二)MR增强扫描
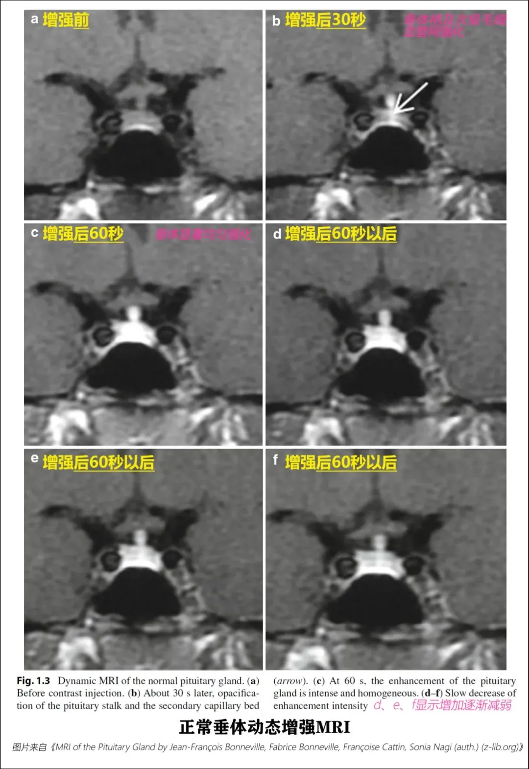
血-脑脊液屏障和血供特性决定了垂体和垂体微腺瘤的增强特点。
1. 血-脑脊液屏障
正常垂体没有血-脑脊液屏障→增强早期即明显强化。
海绵窦内不存在血-脑脊液屏障→强化明显。
2. 血供
垂体微腺瘤大多为门脉供血,对比剂到达时间较晚,因此在增强早期垂体微腺瘤呈相对低信号,与正常垂体有明显区别。随着时间延长,微腺瘤强化逐渐明显,信号逐渐增高。
少数垂体微腺瘤为颈内动脉供血,动态增强早期就出现强化。
垂体大腺瘤(直径≥10mm,且直径<3cm)和巨大腺瘤(直径≥3cm)血供丰富,早于正常垂体强化时相,呈不均质显著强化,受压垂体呈新月形强化。
Rathke囊肿,无实质成分,不强化。
注:以上垂体的血-脑脊液屏障特点与垂体微腺瘤的血供特点,决定了在垂体动态增强扫描时,微腺瘤强化与正常垂体时相不同步,强化慢于正常垂体,且强化强度仅为正常垂体的70%-90%,在垂体微腺瘤的诊断中具有较强的特异性。
三、垂体检查的常用MR序列
(一)MRI基本序列(Basic MRISequences)
临床上所有垂体疾病都做的3个基本序列包括:
1. 矢状位SE-T1WI
矢状位自旋回波T1加权成像(sagittal spinecho T1 weighted images)
作用:①为后续的冠状位成像提供解剖学平面(anatomicalplane)定位像。②对评价病灶向鞍上侵犯情况、明确解剖学边界必不可少。
2. 冠状位FSE-T2WI
冠状位快速自旋回波T2加权成像(coronal fastspin-echo T2 weighted images)
T2WI上由于脑脊液影响,观察垂体柄欠佳。
3. 冠状位SE-T1WI
冠状位自旋回波T1加权成像(coronal spinecho T1 weighted images)
T1WI适合观察解剖结构,观察视交叉、垂体柄、垂体、海绵窦、蝶窦等关系非常好。
注意,在SE-T1WI上神经垂体表现为高信号,不要误以为是病变。

(二)增补序列(AdditionalSequences)
视临床需要,增加一些序列检查:
1. CE-T1WI
对比增强T1加权成像(contrast-enhancedT1 weighted images)
作用:①更好地显示或发现病变。②更好地显示肿瘤的内部结构(瘤内变性、坏死、囊变、出血等)。③帮助判断血-脑脊液屏障的完整性以及肿瘤的血供情况(有无、丰富与否)。因为脑肿瘤的强化程度与血-脑脊液屏障破坏直接相关,即使血供差的肿瘤只要血-脑脊液屏障破坏严重,强化就会非常明显,相反则无明显强化。④更好的显示肿瘤边界。
2. 轴位FS-T1WI
轴位脂肪抑制T1加权成像(axial fatsaturation T1 weighted images)
作用:①FS-T1WI是评价血管加压素存储的最佳序列,因此在探究尿崩症时高度推荐。②FS-T1WI在明确诊断鞍内Rathke囊肿方面也极为有用,即使时在伴发垂体微腺瘤的情况下。
3. DCE MRI
动态增强磁共振成像(Dynamiccontrast-enhanced magnetic resonance imaging)
DCEMRI是诊断垂体微腺瘤的准确方法
垂体微腺瘤间接征象(仅具提示意义):①垂体柄向对侧偏移;②垂体上缘饱满;③垂体高度增加超过8mm;④鞍底下陷。
4. 3DTOF MRA
(1)全称
三维时间飞跃法磁共振血管成像(3-dimensionaltime-of-flight magnetic resonance angiography)
(2)3D TOF MRA的作用
45%-55%的垂体腺瘤具有侵袭性,可侵犯硬脑膜、骨质及周围组织(海绵窦、蝶窦等),3D TOF MRA对于显示累计海绵窦的病变,尤其是诊断颈内动脉海绵窦段动脉瘤、颈内动脉虹吸段扩张、硬脑膜动静脉漏,或证实解剖变异。
四、垂体及其毗邻结构影像解剖
(一)垂体
1.成人垂体前叶
(1)垂体前叶上缘
由于蝶鞍的大小和垂体的大小关系,垂体上缘可表现为三种形态:
上缘平坦(plane)型
上缘凹陷(concave)型
上缘隆起(convex)型
(2)垂体前叶的大小和形态因年龄和性别而变化:
女性垂体高度大多高于男性。
2个月内婴儿垂体更圆更大,青春期垂体高度可生理学增高。
垂体高度:①12岁之前一般不超过6mm;②青春期女性垂体高度为8-10mm很常见;③男性垂体高于7mm时需引起注意。
老年人存在间质和血管轴位纤维化,可以导致空蝶鞍,大多不会对垂体功能造成大的影响。
(3)注射轧对比剂:
垂体前叶主要由门脉供血,动态成像上,前叶强化晚于后叶。
注射轧对比剂后20-30秒:垂体柄及垂体上部强化。
注射轧对比剂后40-60秒:垂体显著强化,之后信号缓慢下降。
2. 垂体柄
正常情况下:上粗下细。
若垂体柄呈管状可能提示异常。
轴位上测量垂体柄最大径约为3mm。
垂体柄并非总是竖直的,经常或多或少有些倾斜,所以垂体柄偏移不是诊断垂体微腺瘤的非常可靠征象。
3. 垂体后叶
(1)神经垂体高信号的可能机制:
与垂体细胞内的脂滴有关。
高信号为抗利尿(ADH)激素颗粒或ADH与后叶激素运载蛋白的复合物。
高信号为垂体后叶存在磷脂所致。
(2)神经垂体高信号的出现及形态特点:
垂体后叶在矢状位上的典型表现:①紧贴鞍背;②规则前凸;均匀高信号。但实际上,并不是这么典型。

鞍背富含脂肪容易导致矢状位看不到垂体后叶的高信号。
轴位层面近乎100%识别垂体后叶。
实际上,并不总能看到紧贴鞍背、规则前凸及均匀高信号的垂体后叶,而是经常看到垂体后叶信号不均匀、前缘不规则。这可能提示神经分泌颗粒的不规则分布。下图为我门诊见到的一位患者,断层上看到垂体后叶高信号明显不规则。

(二)垂体毗邻结构
1. 蝶鞍
正常前后径——7-16mm;
深度——7-14mm;
宽——9-19mm。
鞍底骨质厚度——60%超过1mm,厚者可达3mm。
2. 鞍膈开口
鞍膈口位于鞍膈中央,直径2-3mm,有的大至5mm。
鞍膈口有垂体柄通过。
右侧蛛网膜随鞍膈孔入鞍内,形成空泡蝶鞍。经蝶手术可能损破而导致脑脊液漏。
鞍内肿瘤可通过此孔向鞍上发展。
3. 视交叉
视交叉距离垂体鞍膈上方约10mm,与鞍膈之间形成视交叉池。
视交叉为扁平形态,宽约12mm、长约8mm、厚约4mm。
在第三脑室前下部,视交叉与水平面形成45°侵斜面。

视交叉之上——终板、前连合。
视交叉之后——垂体柄、灰结节、乳头体和动眼神经。
视交叉之下——鞍膈和垂体。
视神经丛视神经孔到视交叉约15mm长,视神经管长约5mm。
根据与垂体的关系将视交叉分三型:①正常型(79%)——视交叉在鞍膈中央的正上方;②前置型(12%)——视交叉位于鞍结节上方;③后置型(9%)——视交叉位于鞍背上方。

4. 蝶窦
蝶窦3-4岁时开始气化,一般至12岁时向后扩大,12-20岁时有的气化向前上至蝶骨平台、前床突,向后至鞍背、斜坡。
气化程度不同分全鞍型(86%);鞍前型(11%);甲壳型(3%)。
窦内分隔多为单发,28%无纵隔。
五、MRI读片
(一)在冠、矢、轴三种断面上认识垂体
1. 矢状位
正中矢状位断层:可见视交叉、垂体柄、腺垂体、神经垂体、蝶鞍、蝶窦的关系。特别是儿童,蝶窦气化未完成,MR上可清晰可见蝶鞍的界限。

2. 冠状位



3. 轴位

参考资料:
1、《Imaging of theBrain-Saunders (2012)》
2、《MRI of the PituitaryGland by Jean-François Bonneville, Fabrice Bonneville, Françoise Cattin, SoniaNagi》
3、《中枢神经系统肿瘤磁共振分类诊断》
4、《MRI of the PituitaryGland by Jean-François Bonneville, Fabrice Bonneville, Françoise Cattin, SoniaNagi》
5、《MRI Atlas of PituitaryPathology by Kevin M. Pantalone DO ECNU CCD, Stephen E. Jones PhD,Robert J. Weil, Amir H. Hamrahian》
6、《脑肿瘤MRI诊断进阶,高培毅主编》
7、《王忠诚神经外科学,第2版》
声明:
以上部分图片摘自专业书籍,目的仅为学习交流,如有侵权,烦请联系我立即删除。
往期回顾
看 Handbook of neurosurgery 收获很多

定价248元,团购198元包邮

识别上方二维码订购
↓↓↓ 点击"阅读原文" 【立即现货预订】